ПАРОДОНТОЗ. Клиникасы. Диагностикасы



ПАРОДОНТОЗ.
Клиникасы. Диагностикасы. Салыстырмалы диагностикасы.

Пародонтоз- пародонт тіндерінің дистрофиялық зақымданулары.
Ауырлығы: жеңіл, орташа, ауыр
Ағымы: созылмалы, ремиссия
Таралуы: жайылған
Пародонтоздың таралуы 2%-10%-ды құрайды.


Пародонтоздың жеңіл түрі
Шағымы: жоқ, қызылиекте қышу сезімі және кейбір кезде ыңғайсыздық сезімі
Ауру анамнезі: ауру ұзақ уақыт аралағында болғаны анықталуы (бірнеше және одан көп жыл)
Өмір анамнезі: жалпы соматикалық патологиялары болады (жүрек-қантамыр аурулары, эндокринді жүйе аурулар)
Жалпы жағдайы: өзгеріссіз

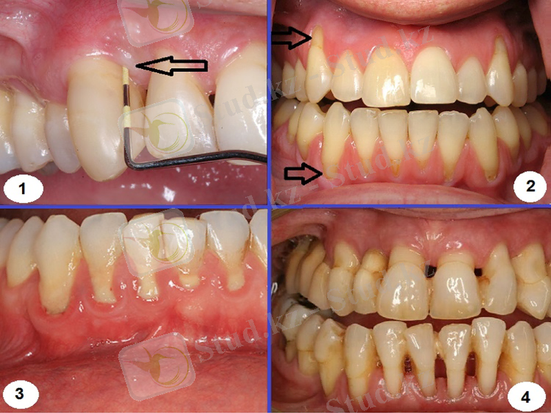
Сырттай қарап тексеру: қызылиек жиегі бозарған, тіс беткейіне тығыз орналасқан, тістер мойындарының бір қалыпты жалаңаштануы, тіс қақтары болмайды немесе шамалы анықталады.
Зондылау: тіс-қызылиек байланысы бұзылмаған, қанағыштық жоқ.
Қызылиек жиегін пальпациялау: ауру сезімінсіз
Шиллер-Писарев сынамасы: теріс
Вакуумды сынама: гематоманың пайда болу уақыты қалыпты
Реопародонтография: РПГ-ның сандық және сапалық көрсеткіштерінің өзгерісі, қантамырладың склерозданып өзгеруіне тән белгілер

Полярография: қызылиекте бос оттегі құрамынының төмендеуі (тіндік гипоксия)
Эхоостеометрия: ультрадыбыстың өту уақыты төмендеген, көрсеткіштер төмендеген
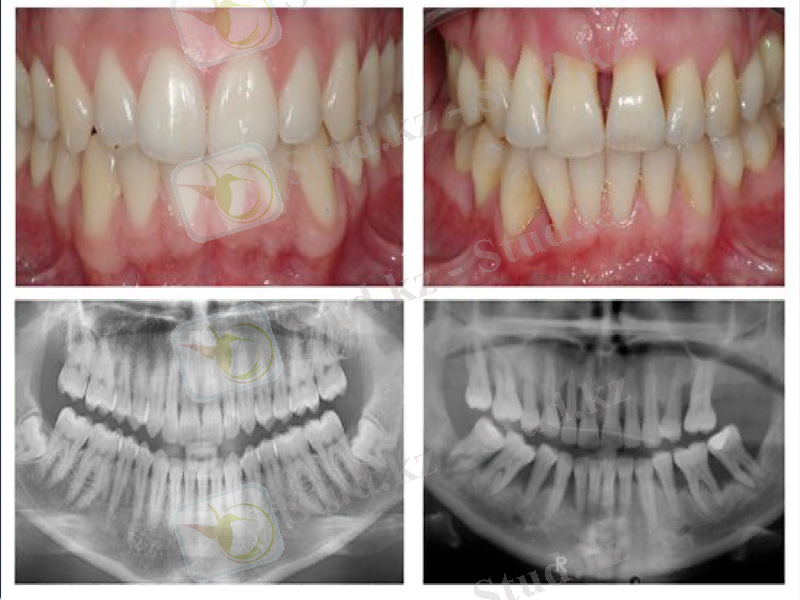
Рентгенография: кортикальды пластинка сақталған, анық. Альвеолярлы өсінді биіктігінің 1/3 бөлігі жайылмалы біркелкі төмендеуі.


Пародонтоздың орташа дәрежесі
Шағымы: тістің клиникалық сауытының ұзарғанының нәтижесінде косметикалық ақауға
Ауру анамнезі: ауру ұзақ уақыт аралағында болғаны анықталуы (бірнеше және одан көп жыл)
Өмір анамнезі: жалпы соматикалық патологиялары болады (жүрек-қантамыр аурулары, атеросклероз, эндокринді жүйе аурулар)
Жалпы жағдайы: өзгеріссіз

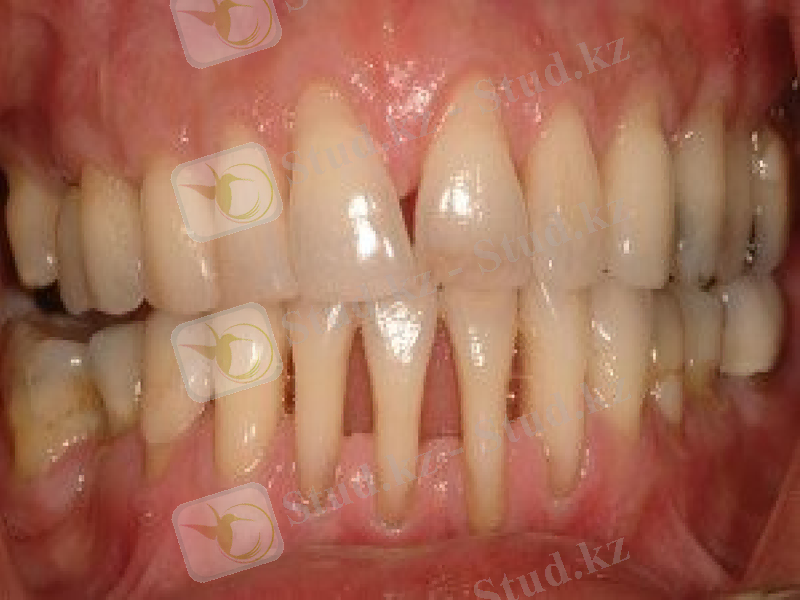
Сырттай қарап тексеру: қызылиек жиегі бозарған, тіс түбірі беткейіне тығыз орналасқан, түбір ұзындығының1/3 бөлігі деңгейінде біркелкі жалаңаштануы, тістер қозғалғыштығы анықталмайды, жарақаттық окклюзия, диастема және тремалардың пайда болуы, тіс қақтары болмайды немесе шамалы анықталады.
Зондылау: тіс-қызылиек байланысы бұзылмаған, қанағыштық жоқ.
Қызылиек жиегін пальпациялау: ауру сезімінсіз
Шиллер-Писарев сынамасы: теріс
Вакуумды сынама: гематоманың пайда болу уақыты қалыпты

Реопародонтография: РПГ-ның сандық және сапалық көрсеткіштерінің өзгерісі, қантамырладың склерозданып өзгеруіне тән белгілер
Полярография: қызылиекте бос оттегі құрамынының төмендеуі (тіндік гипоксия)
Эхоостеометрия: ультрадыбыстың өту уақыты төмендеген, көрсеткіштер төмендеген
Рентгенография: кортикальды пластинка сақталған, тісаралық қылқан биіктігінің 1/2 бөлігі жайылмалы біркелкі төмендеуі. Остеосклероз ошақтарымен остеопороз ошақтарының альвеола өсіндісінің сүйек тінінде кезектесуі.



Пародонтоздың ауыр дәрежесі
Шағымы: тістің клиникалық сауытының ұзарғанының нәтижесінде косметикалық ақауға, ½ бөлігінен аса ұзындықта түбірлердің жалаңаштануы, көптүбірлі тістер бифуркациясының, тіс аралық кеңістіктердің жалаңаштануы, тісжегі емес зақымданулар байланысты байланысты болуы мүмкін(гиперестезия, патологиялық қажалу, сына тәрізді ақау)

Ауру анамнезі: ауру ұзақ уақыт аралағында болғаны анықталуы (бірнеше және одан көп жыл)
Өмір анамнезі: жалпы соматикалық патологиялары болады (жүрек-қантамыр аурулары, атеросклероз, эндокринді жүйе аурулар)
Жалпы жағдайы: өзгеріссіз
Сырттай қарап тексеру: қызылиек жиегі жұқарған, атрофияланған, болғылт түсті, тіс түбірі беткейіне тығыз орналасқан, бифуркациясының жалаңаштануы, ½ бөлігінен аса ұзындықта түбірлердің жалаңаштануы, диастема, трема, тістер қозғалғыштығы анықталмайды, тіс қақтары болмайды немесе шамалы анықталады.

Зондылау: тіс-қызылиек байланысы бұзылмаған, қанағыштық жоқ.
Қызылиек жиегін пальпациялау: ауру сезімінсіз
Шиллер-Писарев сынамасы: теріс
Вакуумды сынама: гематоманың пайда болу уақыты қалыпты
Реопародонтография: РПГ-ның сандық және сапалық көрсеткіштерінің өзгерісі, қантамырладың склерозданып өзгеруіне тән белгілер
Полярография: қызылиекте бос оттегі құрамынының төмендеуі (тіндік гипоксия)
Эхоостеометрия: ультрадыбыстың өту уақыты төмендеген, көрсеткіштер төмендеген

Рентгенография: тісаралық қылқан биіктігінің 1/2 бөлігінен аса жайылмалы біркелкі төмендеуі, кортикальды пластинка сақталған, альвеола өсіндісінің сүйек тінінде остеосклероз ошақтарымен остеопороз ошақтарының кезектесуі.


Ауру
Салыстырылатын ауру
Жалпы клиникалық көріністері
Клиникалық көріністердің айырмашылығы
Әр дәрежедегі пародонтоз
Ремиссия сатысындағы және әс дәрежедегі пародонттың қабынуы
Пародонт тіндерінде қабыну үрдісінің клиникалық белгілердің болмауы. Қызылиек жиегі ашық-қызғылт түсті. Ауырлық дәрежесіне байланыстытіс түбірінің жалаңаштануы. Ортопантомограммада: альвеолааралық қылқындардың биіктігінің төмендеуі.
Пародонтоздың пародонтиттен ерекшелігі тіс қатарында тіс түбірі және мойнының біркелкі жалаңаштануы, тіс түбірінің айқын жалаңаштануы кезінде де тіс қозғалғыштығының болмауы. Ортопантомограммада: пародонтитте альвеолааралық қылқандар биіктігінің біркелкі емес төмендеуі, ал пародонтозда біркелкі, сүйек кемігі ұсақұяшықты құрылым тән (остеосклероз)


- Іс жүргізу
- Автоматтандыру, Техника
- Алғашқы әскери дайындық
- Астрономия
- Ауыл шаруашылығы
- Банк ісі
- Бизнесті бағалау
- Биология
- Бухгалтерлік іс
- Валеология
- Ветеринария
- География
- Геология, Геофизика, Геодезия
- Дін
- Ет, сүт, шарап өнімдері
- Жалпы тарих
- Жер кадастрі, Жылжымайтын мүлік
- Журналистика
- Информатика
- Кеден ісі
- Маркетинг
- Математика, Геометрия
- Медицина
- Мемлекеттік басқару
- Менеджмент
- Мұнай, Газ
- Мұрағат ісі
- Мәдениеттану
- ОБЖ (Основы безопасности жизнедеятельности)
- Педагогика
- Полиграфия
- Психология
- Салық
- Саясаттану
- Сақтандыру
- Сертификаттау, стандарттау
- Социология, Демография
- Спорт
- Статистика
- Тілтану, Филология
- Тарихи тұлғалар
- Тау-кен ісі
- Транспорт
- Туризм
- Физика
- Философия
- Халықаралық қатынастар
- Химия
- Экология, Қоршаған ортаны қорғау
- Экономика
- Экономикалық география
- Электротехника
- Қазақстан тарихы
- Қаржы
- Құрылыс
- Құқық, Криминалистика
- Әдебиет
- Өнер, музыка
- Өнеркәсіп, Өндіріс
Қазақ тілінде жазылған рефераттар, курстық жұмыстар, дипломдық жұмыстар бойынша біздің қор #1 болып табылады.

Ақпарат
Қосымша
Email: info@stud.kz