ЭНДОКРИНДІК ПАТОЛОГИЯСЫ БАР БАЛАЛАРДА АУЫЗ ҚУЫСЫНДАҒЫ КЛИНИКАЛЫҚ КӨРІНІСТЕРДІҢ ЕРЕКШЕЛІКТЕРІ



СӨЖ: Эндокриндік патологиясы бар балаларда ауыз қуысындағы клиникалық көріністердің ерекшеліктері
Орындаған: Жолдыгали Р. Т.
Факультет: Стоматология
Топ: 13 - 001 - 01
Қабылдаған: Онайбекова Н. М.
С. Ж. АСФЕНДИЯРОВ АТЫНДАҒЫ ҚАЗАҚ ҰЛТТЫҚ МЕДИЦИНА УНИВЕРСИТЕТІ

Жоспар
Кіріспе.
Негізгі бөлім:
Гипоталамус және гипофиз патологиясы кезіндегі стоматологиялық көріністер.
Бүйрекүсті бездерінің патологиясы кезіндегі стоматологиялық көріністер.
Қалқанша безінің патологиясы кезіндегі стоматологиялық көріністер.
Ұйқыбезі патологиясы кезіндегі стоматологиялық көріністер. (Қант диабеті) .
Қалқаншамаңы бездері патологиясы кезіндегі стоматологиялық көріністер.
Қорытынды

Кіріспе
Ауыз қуысындағы өзгерістер ішкі секреция бездерінің гипофункциясы, гиперфункциясы немесе дисфункциясының нәтижесінде туындауы мүмкін. Кейбір эндокриндік аурулардың көріністеріне өте қатты назар аударылады, себебі олар манифестті болып табылады, яғни, жалпы клиникалық симптомдардан ерте білінеді. Айта кететін жайт, кейбір эндокриндік аурулардың көріністері эндокриндік емес аурулардың көріністеріне ұқсас болып келеді.

Гипофизарлы гигантизм
Гипофиздің эозинофильді аденомасы немесе гипофизбен соматолибериннің көпбөлінуі кезінде дамиды. Егер бұл өзгерістер балалық кезде дамыса гипофизарлы гигантизм ауруы дамиды. Бұл кезде тіс сауыттарының көлемі өзгермейді, бірақ тістер түбірінің дамуы тездейді, түбір ұшының гиперцементозы көрініс береді. Тұрақты тістердің ұрықтарының дамуы жылдамдайды, уақытысынан ерте жарып шығуы мен тіс доғасының көлемі ұлғаяды. Бет сүйектерінің өсуінің тездеуі, бұл кезде 12 жасқа келгенде кортикальды пластинка қалыңдап, бұлшықеттер мен сіңірлердің бекінетін аймақтың периостальды оссификациясы күшейеді

Гипофизарлы нанизм (гипофизарлы ергежейлік) .
Гипофиздің алдыңғы бөлігінің эозинофильді жасушаларының гипофункциясы кезінде дамып, соматолибериннің бөлінуінің азаюымен немесе гипоталамуспен соматостатиннің бөлінуінің күшеюмен сипатталады. Бұл кезде бассүйек үлкен, ал бет сүйектері ересек кезде де кішкентай баланың сүйектерінің құрылысына ұқсас болады. Тіс жақ аппаратындағы өзгерістер дамиды, әсіресе тістердің физиологиялық жарып шығуының үш белгісі өзгереді: уақыты, қосарлығы, бірізділігі. Бұл өзгерістер әсіресе тұрақты тістемде көрінеді. Көмейдің «кішкентай баланың» құрылысындағыдай болуынан дауыс жоғары болады.


Иценко-Кушинг ауруы.
Кортикотропинді артығымен продуцирлейтін гипофиздің базофильді аденомасы кезінде байқалады. Бұл аурудың клиникалық көріністері гиперкортицизммен, яғни кортикостероидтарды мөлшерден тыс бөлінуімен байланысты.
Бұл кезде бет сүйектерінің остеопарозы, пародонтта дистрофиялық және қабынулық өзгерістер болады. тіс қатты тіндерінің құрылысы бұзылады, яғни кіреуке түсінің өзгеруі, тістер сынғыштығы мен қажалуы, ұлпада дентиклдердің пайда болуы мен тіс қуысының облитерациясы жүреді. Шырышты қабатта трофикалық өзгерістер байқалады: ісіну, цианоз, трофикалық эрозиялар, жаралар, және пародонттағы дистрофиялық және қабыну үрдістері.

Гипоталамикалық синдромдар
Бастамасы церебральды даму болатын уақытынан бұрын жыныстық дамуда тіс жақ аумағында өзгерістер дамиды. Ол Тұрақты тістердің ерте жарып шығуымен және олардың дамуының тездеуімен сипатталады. Тұрақты тістердің сауыттарының кальцификациясы тездейді. Бұл патология кезінде «қанқалық» жас хронологиялық жастан асады. «Тістік» жас хронологиялыққа жақын, бірақ оны да 8-10 жасқа асуы мүмкін.

Адипозогенитальды дистрофия (Фрелих ауруы)
Бұл ауру екі негізгі симптоммен жүреді: семіру және гипогонадизммен. Ауру гипоталамус пен шипофиздің туа пайда болған аутқуларында немесе әртүрлі патогендік факторладың эмбриональды және постэмбриональды даму кезеңде аралық мидың зақымдалуында дамиды. Бұл кезде уақытша және тұрақты тістердің шығуының және олардың түбірлерінің дамуының кешеуілдеуі, ол өз алдына жалпы организмнің дамуының кешеуілдеуіне сәйкес келеді; тістем аномалиялары дамиды. Көпшілік жағдайда шеміршектердің эпифизарлы сызықтарының бітіспеуі болады, оны өз алдына бет қаңқасының ұзыннан өсуінің бұзылысын көрсетеді.

Бүйрекүсті бездерінің аурулары. Аддисон ауруы (қола ауруы)
Бүйрекүсті безінің қыртысының гиперфункциясымен байланысты дамиды. Аурудың ұзақ ағымында, меланиннің жасушаларда жиналуы жүріп, шырышты қабаттың пигмантациясы жүреді. Ол ерінде, ерін бұрыштарында, тілдің бүйір аймақтарындағы, ұрттың шырышты қабатында, жұмсақ таңдай және жұтқыншақта қоңыр, сұрғылт қара дақ пен жолақтардың пайда болуымен көрініс береді. Қызылиектің шырышты қабатында да сұрғылт қара түсті дақтар байқалуы мүмкін. Бұндай пигментациялар бұл аурудың басқа көріністерінен ертен пайда болуы мүмкін (5-10 жыл) және оның ең бірінші белгісі болуы мүмкін.

Қалқанша безінің аурулары. Қалқанша безінің гиперфункциясы.
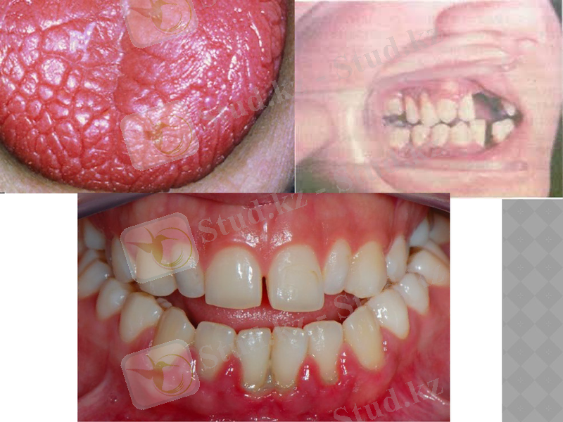
Ауыз қуысының шырышты қабатында дистрофиялық және некробиотикалық процесстердің дамуымен жүреді. Бұндай науқастарда әсіресе ерін бетінде және жоғарғы күрек тістерде эрозия, шұңқырлар және жүлгелер түріндегі кіреуке құрылысының аномалиясы жүреді. Тиреотоксикозы бар науқастарда тісжегі таралуы мен пародонт патологиясы көрсеткіші ұлғаяды. Онымен қоса тістердің сынғыштығы, кесу қырлары мен шайнау төмпешіктерінің патологиялық қажалуы және температуралық тітіркендіргіштерде жоғары сезімталдық байқалады. Токсикалық зобы бар балалардың асқазан сөлінің және ұйқы безі секрециясы өзгеріп, сілекейдің физико-химиялық қасиеті өзгереді. Сілекейдің тұтқырлығы және тіс бетіне органикалық заттардың адсорциясы төмендейді, ол өз алдына деминерализдеуші факторлардан қорғаныс механизмін төмендетеді.
Тіс мойны қатты тіндерінің зақымдануының ерекшелігі болып, бір жағдайда дентиннің жұмсаруынсыз(дентин эрозиясы) дефекттің пайда болуы жүрсе, енді бір жағдайларда ақшыл түсті өзгерген кіреукенің дентиннен түлеуімен(дентин некрозы) жүреді. Бұл процесстер әсіресе күрек, сүйір және кіші азу тістерде жүреді.
Науқастардың жартысынан көбінде катаральды қызылиек қабынуы болады.
Ауыз қуысында тұрақты тістердің жарып шығуының тездеуі, тістік жас хронологиялыққа жақын, бірақ қаңқалық жас ұлғайған болады.


Гипотиреоз
Бет құрылысының гармониясының бұзылысына және патологиялық тістем дамиды. Бет скелетінің дамуының бұзылысы жүретіндіктен: кеңсірік нәрестенікіндей дамымаған, жалпақ болады, көздер арасы кең, мұрын қысқа және жалпиған. Уақытша және тұрақты тістердің жарып шығуы төмендейді, тістер тісжегіге бейім болады. Еріндер сұрғылт болып, анемия көрінісін білдіреді. Дәм сезу бұзылыстары дамып, ауыз қуысында құрғақтық сезімі, тілдің ұлғаю болады. Ауыз қуысының шырышты қабаты құрғақ.


Ұйқыбезі аурулары (Қант диабеті)
Қант диабетімен ауыратын балалардағы пайда болатын симптомдардың біреуі - ксерокстомия. Ол науқастарды ауру басынан ақ мазалайды. Онымен қоса сусамыр қалыптасады. Ауыз қуысын қарап тексергенде тілдің жіптәрізді емізікшелерінің жоғалуы, құрғақ, жылтыр, гиперемирленген болуы байқалады. Тістердің тісжегімен зақымдану интенсивтілігі дені сау науқастармен салыстырғанда жоғары болады.
Катаральды стоматит, глоссит. АҚШҚ және оның бөлек аумақтарының қабынуы инфицирлену, тез жарақаттану нәтижесінде болады, ол шырышты қабаттың барьерлі қасиетінің төмендеуімен байланысты болып, нәтижесінде дисбактериоз қалыптасады. Оған сілекей санының төмендеуі алып келеді. Науқастар тағам қабылдаған кездегі ауру сезіміне, әсіресе ыстық, қатты тағам қабылдағандағы ауру сезіміне шағымданады. Шырышты қабат құрғақ, гиперемирленген, эрозия, қанқұюлар түріндегі жарақаттар көрінеді.
Пародонттағы өзгерістер қабынулы-дистрофиялық сипатта болады. Оның пайда болуының патогенезінде қантамырлардың, әсіресе микроциркуляторлы арнаның ангиопатиясы жатыр. Қантамырлардағы өзгерістер олардың қабырғасы мен базальды мембрананың қалыңдауында болып, тамырлық өткізгіштіктің төмендеуіне алып келеді. Рентгенологиялық қарағанда қант диабетінде әртүрлі дәрежедегі альвеолярлы сүйектің диффузды остеопарозы және атрофиясы көрінеді. Ауыз қуысының вирулентті микрофлора, әсіресе гингивопатогенді түрлердің жоғарылауы болады. Пародонттағы қабыну процесстері тіс тастарының активті жинақталуымен жүреді.


Қалқаншамаңы бездері аурулары. Гипопаратиреоз
Тиреоидэктомия кезінде қалқаншамаңы бездерін алып тастау немесе осы бездердің гипофункциясы (қабынулы, инфекционды туындаған) нәтижесінде организмдегі парат гормонының төмендеуі, сүйек тінінен кальцийдің қанға бөлінуін азайтып, бүйректерде фосфордың реабсорциясын жоғарылатады. Осыдан гипокальциемия мен гиперфосфатемия дамиды.
Күрек тістерде кедір бұдыр дақтардың пайда болуы гипоплазирленген аймақтардағы күрек тістердің күрт сынуы болады. Қанқалардың дамуы кешеуілдейді: өсу дискісінің жұқаруы, остеобласттардың пролиферациясының басылуы, энхондральды сүйектенудің артта қалуы қалыптасады. Тұрақты тістерде жүйелі гипоплазия дамиды.

Біріншілік гиперпаратиреоз.
- Іс жүргізу
- Автоматтандыру, Техника
- Алғашқы әскери дайындық
- Астрономия
- Ауыл шаруашылығы
- Банк ісі
- Бизнесті бағалау
- Биология
- Бухгалтерлік іс
- Валеология
- Ветеринария
- География
- Геология, Геофизика, Геодезия
- Дін
- Ет, сүт, шарап өнімдері
- Жалпы тарих
- Жер кадастрі, Жылжымайтын мүлік
- Журналистика
- Информатика
- Кеден ісі
- Маркетинг
- Математика, Геометрия
- Медицина
- Мемлекеттік басқару
- Менеджмент
- Мұнай, Газ
- Мұрағат ісі
- Мәдениеттану
- ОБЖ (Основы безопасности жизнедеятельности)
- Педагогика
- Полиграфия
- Психология
- Салық
- Саясаттану
- Сақтандыру
- Сертификаттау, стандарттау
- Социология, Демография
- Спорт
- Статистика
- Тілтану, Филология
- Тарихи тұлғалар
- Тау-кен ісі
- Транспорт
- Туризм
- Физика
- Философия
- Халықаралық қатынастар
- Химия
- Экология, Қоршаған ортаны қорғау
- Экономика
- Экономикалық география
- Электротехника
- Қазақстан тарихы
- Қаржы
- Құрылыс
- Құқық, Криминалистика
- Әдебиет
- Өнер, музыка
- Өнеркәсіп, Өндіріс
Қазақ тілінде жазылған рефераттар, курстық жұмыстар, дипломдық жұмыстар бойынша біздің қор #1 болып табылады.

Ақпарат
Қосымша
Email: info@stud.kz