Пародонт қабынуының клиникасы, диагностикасы, салыстырмалы диагностикасы



С. Ж. АСФЕНДИЯРОВ АТЫНДАҒЫ
ҚАЗАҚ ҰЛТТЫҚ МЕДИЦИНА УНИВЕРСИТЕТІ
КАЗАХСКИЙ НАЦИОНАЛЬНЫЙ МЕДИЦИНСКИЙ
УНИВЕРСИТЕТ ИМЕНИ С. Д. АСФЕНДИЯРОВА
Орындаған: Жүрсінбекова А
Курс: 5
Қабылдаған: Бакбаев Б
Группа: 13-001-01
Тақырыбы:Пародонт қабынуының клиникасы, диагностикасы, салыстырмалы диагностикасы

Жоспары:
I. Кіріспе
Пародонт құрылысы
II. Негізгі бөлім
Пародонттың этиологиясы
Түрлері
III. Қорытынды


Пародонтит -парадонт тіндерінің қабынуымен қатар, периодонттың альвеолярлы өсіндісінің және альвола сүйегінің деструкциялық дамуымен сипатталатын ауру болып табылады.



Пародонтиттің этиологиясы:
Жүйелі Жергілікті
-Соматикалық аурулар
-тіс қақтары
-қант диабеті -созылмалы гингивит
Қан аурулары -сапасыз жасалған тіс протезі
Созылмалы аурулар -пломбаның дұрыс қойылмауы.
Тістем бұзылысы -ауыз қуы-ң гигиенасының нашар -тістем бұзылысы
* Жүктілік кезінде -тіс қатары деформациясы
Эндокринді аурулар

Түрлері:
Ауырлығына қарай:
-Жеңіл, орта, ауыр
Ағымына қарай:
-Жедел, созылмалы, созылмалының өршуі, АБСЦЕСС, РЕМИССИЯ
Орналасуына қарай:
-Жергілікті, жайылған


Пародонттың жедел қабынуы
Шағымы: Қызылиек қатты сыздап немесе солқылдап ауыратынына, ас шайнағанда ауру сезімінің күшейтініне шағымданады.
Қарап тексергенде: Себепші ықпал әсер еткен аймақта 1-2 қызылиек бүртіктері және жиегі қатты қызарып, домбығады.
Сипап басқан кезде қатты ауырады, қызылиек сайынан сарысулы немесе іріңді жалқық бөлінеді. Сүңгі тиіп кетсе қатты қанайды.
Рентген суретте: периодонт саңылауының жиектік бөлігі кеңейгені анықталды.
Егер уақытында емделмесе созылмалы қабынуға ауысады.

Парадонт қабынуының қарқынды түрі
35-жасқа дейінгі адамдарда жиі кездеседі.
Альвеола сүйегінің жедел сорылуымен, созылмалы түрінде көптеген тістер аймағына таралумен сипатталады. Сүйек тінінің жойылуы сүйектің тігінен және көлденеңінен сорылуымен кездеседі. Тістер ерте қозғалмалы болады. Көбінесе жүйелі аурулармен ассоциациялауға болады. Олар: қант диабеті, Даун синдромы, және пародонттың әртүрлі идиопатиялық аурулары.
2 түрде кездеседі жас категориясына қарай:
-Парадонт қабынуының А типтесіне 14-26 жас аралығындағы науқастар
- Парадонт қабынуының В типтесіне 26-35 жас аралығындағы науқастар жатады.



Парадонттың жайылған созылмалы қабынуы, жеңіл дәрежесі
Шағымы:Тіс тазалағанда, қатты тағам қабылдағанда қызылиектің қанағыштығына, қызылиегінің қышуына немесе ыңғайсыздық сезіміне, температуралық, химиялық тітіркендіргіштер әсерінен қақсап ауыратынына шағымданады.
Жалпы жағдайы: өзгеріссіз
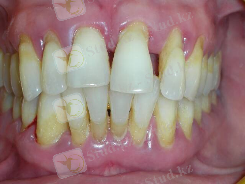
Қарап тексенгенде: Қазылиектің шырышты қабаты цианозданған, ісінген, гиперемирленген. Жұмсақ тіс қақтарын, қызылиек асты және үсті тіс тастарын көреміз. Тістердің мойын бөлігінің жалаңаштануын көреміз.
Сүңгілеу : Тіс аймағында қызылиек байламы бұзылған, қанағыштықтың жеңіл түрі, пародонтальды қалтаның тереңдігі -3, 5 мм-ге дейін болады. Шиллер-Писарев сынамасы -теріс. Қызылиектің шырышты қабаты ашық қоңырдан, қою қоңырға дейін өзгереді.

Рентгендік суретте:Альвеола өсіндісінің парадонт қабынуы бар аймағында тістер аралық қалқан сүйектер ұштарын жауып тұрған тығыз сүйек қабатының ошақты сорылуы нәтижесінде бүтіндігі бұзылғаны немесе толығымен сорылып, кемік сүйек кеуектене бастағанын анықталады. Сүйек тіні сорылып, сүйек биіктігі біраз 1/3 биіктігіне төмендеуі нәтижесінде алдыңғы тістер аралық қалқандар пішіні кертілген конусқа ұқсап қалады, кемік сүйекте ошақты немесе жайыла кеуектену үрдісі орын алады. Компактты пластинканың деструкциясы. Тістердің мойын бөлігінде периодонт саңылаулары кеңейгені байқалады.


Парадонттың жайылған созылмалы қабынуы, орта дәрежесі
Шағымы: Тістер тазалағанда, қатты тағамды тістеп үзіп алған кезде және шайнағанда қызылиегінің тұрақты түрде қанайтынына, қызылиек бүртіктерінің түсінің, пішінінің өзгергендігіне, кейбір тістерінің қозғалмалығына, тістер түбірлерінің және араларының ашылып, орындарынан ауытқи бастағанына, ауыздарынан жағымсыз иіс шығып, металл дәмін немесе қышқыл дәм сезетініне шағымданады.
Жалпы жағдайы: өзгеріссіз
Қарап тексергенде: Қызылиек көкшіл-қызыл түстенген, бүртіктері мен жиектері қатты домбыққан, тістерге тығыз жанаспаған, қызылиек бүртіктерінің көлемдері әртүрлі болғандықтан оның жиегінің біркелкі иректігі бұзылған. Тістер түбірінің ½ бөлігінің мойын бөлігінің жалаңаштануы.

Сүңгілеп тексергенде сүңгі тиіп кетсе оңай қанайды, периодонттық қалталалардың тереңдігі 4-5мм, қабырғаларын сипап басқанда олардан сарысулы немесе іріңді жалқық бөлінеді.
Тістердің қозғалғыштығы 1-2 дәрежеде
Рентгендік суретте: Тістер аралық қалқан сүйектер түбір ұзындығының 1/3-1/2 бөлігіне дейін біркелкі емес көлденең сорылған, сақталған бөліктеріндегі кемік сүйекте жайыла кеуектену үрдісі орын алған. Периодонт саңылауы кеңейіп, сүйек қалталары пайда болған.



Парадонттың жайылған созылмалы қабынуы, ауыр дәрежесі
Шағымы: Тістердің қозғалғыштығына байланысты шайнау кезіндегі қиындығына, тіс түбірінің жалаңаштануына, ауыздағы жағымсыз иіске шағымданады.
Жалпы жағдайы: өзгеріссіз
Қарап тексергенде: Қызылиектің жиегі цианозданған, борпылдақ, ісінген, жергілікті жұқарған, жеке тістердің биффуркациясы жалаңаштанған, түбірдің ½ бөлігінен артық жалаңаштанған. Қызылиек асты және үсті тіс қақтары бар. Тістердің диастемалары, тремалары, жарақаттық окклюзия.
Сүңгілеу кезінде серозды бөліндісі бар, 5мм тереңдікте парадонт қалтасы анықталады, қызылиек жиектеріне күш түсіргенде тіндік детриті бар қалта анықталады, зондылау кезінде қанағыштық анықталады.
- Іс жүргізу
- Автоматтандыру, Техника
- Алғашқы әскери дайындық
- Астрономия
- Ауыл шаруашылығы
- Банк ісі
- Бизнесті бағалау
- Биология
- Бухгалтерлік іс
- Валеология
- Ветеринария
- География
- Геология, Геофизика, Геодезия
- Дін
- Ет, сүт, шарап өнімдері
- Жалпы тарих
- Жер кадастрі, Жылжымайтын мүлік
- Журналистика
- Информатика
- Кеден ісі
- Маркетинг
- Математика, Геометрия
- Медицина
- Мемлекеттік басқару
- Менеджмент
- Мұнай, Газ
- Мұрағат ісі
- Мәдениеттану
- ОБЖ (Основы безопасности жизнедеятельности)
- Педагогика
- Полиграфия
- Психология
- Салық
- Саясаттану
- Сақтандыру
- Сертификаттау, стандарттау
- Социология, Демография
- Спорт
- Статистика
- Тілтану, Филология
- Тарихи тұлғалар
- Тау-кен ісі
- Транспорт
- Туризм
- Физика
- Философия
- Халықаралық қатынастар
- Химия
- Экология, Қоршаған ортаны қорғау
- Экономика
- Экономикалық география
- Электротехника
- Қазақстан тарихы
- Қаржы
- Құрылыс
- Құқық, Криминалистика
- Әдебиет
- Өнер, музыка
- Өнеркәсіп, Өндіріс
Қазақ тілінде жазылған рефераттар, курстық жұмыстар, дипломдық жұмыстар бойынша біздің қор #1 болып табылады.

Ақпарат
Қосымша
Email: info@stud.kz