Сүт безінің ісіктері



Марат Оспанов атындағы Батыс Қазақстан мемлекеттік медицина университеті
Студенттің өзіндік жұмысы
Орындаған: Нурсейтова Роза
Тексерген: Раманкулова Айгуль Булатовна
Факультет: Стоматология
Тобы: 303
Ақтөбе - 2016

Тақырыбы: Түрлі гистогенезді қатерлі ісіктер

Жоспары:
І. Кіріспе
ІІ. Негізгі бөлім
1. Ісіктерге жалпы сипаттама
2. Ісіктердің жіктелісі
3.
ІІІ. Қорытынды

Ісік деп соматикалық жасушалардың мутацияға байланысты тоқтаусыз және бақылаусыз көбейіп кетуі нәтижесінде пайда болатын патологиялық үрдісті атайды. Ісіктер тек адамға ғана емес жануарлар дүниесінде, тіпті өсімдіктерде де кездеседі. Кейінгі кездердегі жүргізілген зерттеулер, бізден миллион жылдар бұрын өмір сүрген динозаврларда да ісік болғанын көрсетті. Демек, ісік адамнан бұрын пайда болған патологиялық үрдіс.

Ісіктер қазіргі таңда ауру адамдар өлімнің негізгі себебі ретінде жүрек-қан тамырлар ауруларынан кейінгі екінші орында тұр. Адамдардың әрбір бесінші немесе алтыншысы осы қатерлі ісіктен өледі екен. Сол үшін ісіктердің пайда болу себептерін, оның таралу жолдарын, морфологиялық өзгешеліктерін білу және уйрену медицина тәжірибесі ушін өте маңызды мәселе. Ісіктерді зерттеуммен онкология ғылымы шұғылданады.

Қатерсіз және қатерлі ісіктердің сипаттамасы:
Қатерсіз ісіктер ұзақ уақыт өседі және организмді аса қауіпті өзгерістерге ұшыратпайды. Оларға тіндік атипизм тән. Қатерсіз ісіктер айналасындағы тінге бойламай, оларды ығыстыра өседі, олардың құрлысы өзі дамыған ағзаның құрлысына сәйкес болады, яғни гомологиялық ісіктер қатарына жатады. Қатерсіз ісіктер метастаз бермейді, хирургиялық жолмен алып тастағанда кейбір сирек жағдайда болмаса қайта өспейді.

Қатерлі ісіктерге жасушалық атипизм тән. Оларды түзуші жасушалар өзі өсіп шыққан ағза не тін жасушаларынан өзгеше болып гетерологиялық ісіктер қатарына жатады. Жасуша яролары бояуларды жақсы сіңдіріп микропрепаратта айқын көрінеді, ядрошықтары үлкейеді, жалпы ядро-цитоплазма арақатынасы ядро пайдасына шешіледі. Қатерлі ісік жасушалары тез өсіп-өнетіндіктен олардың арасында митоз құбылысы көп кездеседі, кейде ісік жасушаларының 10 пайызы митоз жағдайында болады.

Қазіргі уақытта барлық ісіктерді жеті топқа бөледі:
Арнайы даму орны жоқ эпителийлі ісіктер.
Сыртқы және ішкі секреция бездері ісіктері.
Мезенхималық ісіктер.
Меланин түзуші тін ісіктері.
Нерв жүйесі мен ми қабықтарының ісіктері.
Қан жүйесінің ісіктері.
Тератомалар.

Арнайы орны жоқ ісіктер кез келген жалпақ не безді эпителийден дамиды. Қатерлі түрі рак деп аталады. Рак түйін түрінде, не жайыла өскен, ақшыл реңдегі ісік, ол қатты, кейде жұмсақ болады. Рактың микроскопиялық түрлері:1. ”эпителийшілік рак”; 2. жалпақ жасушалы; 3. безді; 4. шырышты; 5. солиді; 6. майда жасушалы; 7. фиброзды; 8. медуллярлы рак.



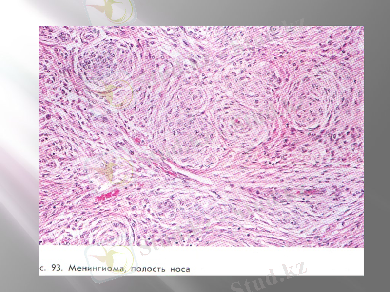
Нерв жүйесі мен ми қабықтарының ісіктері. Орталық нерв жүйесінің құрлысы өте күрделі, сондықтан оның құрамындағы барлық элементтер ісік көзі бола алады. Ми қабықтарының ісіктерінің қатерлі түрі менингиалдық саркома деп аталады.


Сыртқы және ішкі секреция бездерінің ісіктері жеке ағзалар жасушаларынан өсіп тек осы ағзаларға тән құрылымдар түзеді және сол ағзалардың кейбір қызметін атқарады

Сыртқы секреция бездеріне бауыр, бүйрек, жатыр ісігі т. б. Бауырдың қатерлі түрі:бауыр жасушалы рак. Бүйрек өзекшелерінің эпителийінен дамитын ісіктері. Қатерлі түрі: бүйрек жасушалы рак немесе невробластома. Сүт безінің ісіктері. Қатерлі түрі рак түрлері:инфильтрация бөлікшелік пен өзекшеішілік рак және Педжет ауруы жатады. Жатырдың ісіктері жүктілік кезінде хариялды эптелийден дамитын ісіктер. Қатерлі түрі: қатерлі қағанақ кезбе және хорионэпителиома жатады.

Ішкі секреция бездеріне аналық без, аталық без және қалқанша без т. б. Аналық безді ісіктері киста түрінде дамиды. Қатерлі түрі: ұйымалы цистаденкарцинома, псевдомуцинді цисткарцинома, дисгерминома. Аталық бездің ісіктері жетілмеген жыныстық жасушалардан дамиды. Қатерлі түрі: Семинома

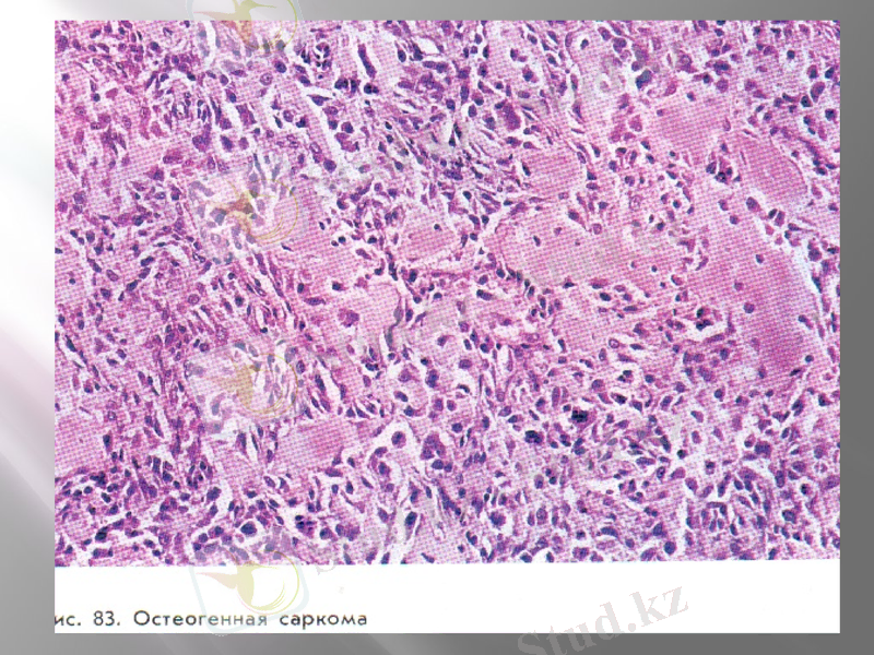
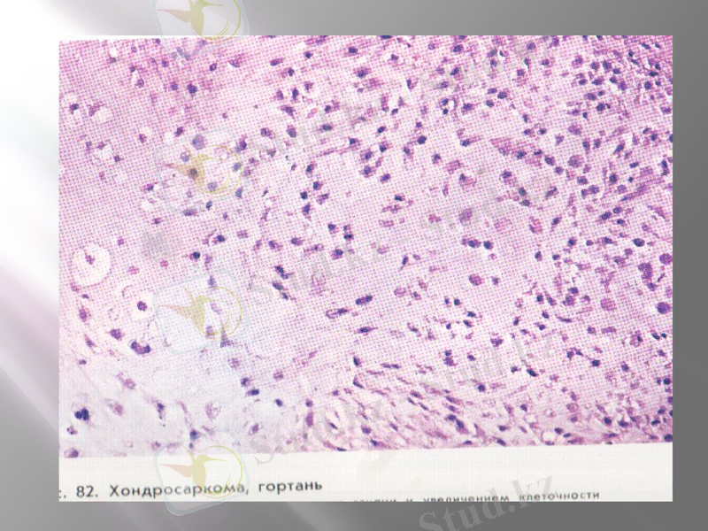
Мезенхималық ісіктерге дәнекер, сүйек, май, бұлшықет және тірек-қимыл аппаратының тіндері т. б. Дәнекер тінінен дамитын ісіктердің қатерлі түрі фибросаркома деп аталады. Май тінінен дамитын ісіктердің қатерлі түріне лейомиосаркома жатады. Сүйек тінінен дамитын қатерлі ісіктерге остесаркома жатады. Қан тамырларынан дамитын ісіктердің қатерлі түрі ангиосаркома деп аталады. Шеміршек тінінен дамитын катерлі ісікке хондросаркома жатады.



- Іс жүргізу
- Автоматтандыру, Техника
- Алғашқы әскери дайындық
- Астрономия
- Ауыл шаруашылығы
- Банк ісі
- Бизнесті бағалау
- Биология
- Бухгалтерлік іс
- Валеология
- Ветеринария
- География
- Геология, Геофизика, Геодезия
- Дін
- Ет, сүт, шарап өнімдері
- Жалпы тарих
- Жер кадастрі, Жылжымайтын мүлік
- Журналистика
- Информатика
- Кеден ісі
- Маркетинг
- Математика, Геометрия
- Медицина
- Мемлекеттік басқару
- Менеджмент
- Мұнай, Газ
- Мұрағат ісі
- Мәдениеттану
- ОБЖ (Основы безопасности жизнедеятельности)
- Педагогика
- Полиграфия
- Психология
- Салық
- Саясаттану
- Сақтандыру
- Сертификаттау, стандарттау
- Социология, Демография
- Спорт
- Статистика
- Тілтану, Филология
- Тарихи тұлғалар
- Тау-кен ісі
- Транспорт
- Туризм
- Физика
- Философия
- Халықаралық қатынастар
- Химия
- Экология, Қоршаған ортаны қорғау
- Экономика
- Экономикалық география
- Электротехника
- Қазақстан тарихы
- Қаржы
- Құрылыс
- Құқық, Криминалистика
- Әдебиет
- Өнер, музыка
- Өнеркәсіп, Өндіріс
Қазақ тілінде жазылған рефераттар, курстық жұмыстар, дипломдық жұмыстар бойынша біздің қор #1 болып табылады.

Ақпарат
Қосымша
Email: info@stud.kz