Ірі қара пироплазмозы - Piroplasma bigeminum деп аталатын қарапайымды қоздыратын жіті ауру




Орындаған:
Қабылдаған: Джангабулова А

Протозооздар- өз тіршілігі үшін жануарлар организмінде ауру тудыратын қарапайымдылар.

Пироплазмоз - жануарлардың анемиямен, сарғаюмен, жүрек жұмысының зақымдануымен, күйзелуімен, тәбеттің жоғалуымен, дене қызуының жоғарылауымен, өнім беруі және жұмыс істеу қабілетінің төмендеуімен, сондай-ақ аурудың ауыр кезеңінде кілегей қабығының қанталауымен, гемоглабинуриямен, өліммен ерекшеленетін, эритроциттердің пигментсіз эндоглобулярлы паразиттері қоздыратын трансмиссивтік ауру. Пироплазмозбен барлық үй жануарларының түрлері (ірі қара мал, түйе, ешкі және қой, жылқы, шошқа, ит) және жабайы жануарлар ауырады. Қоздырушысы: ірі қара малда - Piroplasma bigeminum, жылқыда - Piroplasma caballi, қой мен ешкіде - Piroplasma ovis, шошқада - Piroplasma trautmanni және итте - Piroplasma canis.

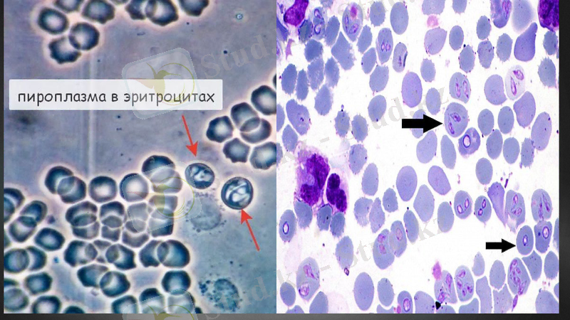
Ірі қара пироплазмозы - Piroplasma bigeminum деп аталатын қарапайымды қоздыратын жіті ауру. Ол қызба, қаназдық, сарғыштану мен гемоглобинурия белгілерімен қатар жүрек-тамыр, ас қорыту және жүйке жүйелері қызметінің бұзылуымен сипатталады.

Қоздырғышы. Романовский әдісімен бояғанда пироплазмалардың цитоплазмасы көкшіл, ядросы қызғылт түске боялады. Әдетте эритроцит ішінде бір, екі, кейде одан да көбірек паразит болады. Паразит пішіні алмұрт, дөңгелек, сақина тәрізді және ұзынша сопақ. Қосарланған алмұрт тәрізділері жіңішке жақтарымен жалғасып, эритроцит ішінде сүйір бұрыш түзейді. Жалғыз орналасқандарының тұрқы 2, 2-ден 6 мкм дейін, қосарланған алмұрт тәрізділерінің тұрқы 4, 5 мкм-ге дейін. Аурудың бас кезінде дара, кейіннен жұптасқан түрлері көбірек кездеседі. Аурудың әрі дамуына байланысты, зақымданған эритроциттердің саны тез көбейіп, 5-15%-ға жетеді (сирек жағдайларда 40%-ке дейін) .


Эпизоотологиялық деректер. Пироплазмоз негізінен еліміздің Оңтүстік бөлігінде таралған. В. calcaratus кенелері негізінен Оңтүстік Қазақстанда кездеседі. Олар көбінесе ірі қараның қанын сорады да, басқа түлікке сирек жабысады. Жайылымда олар 35-40 күн өмір сүріп, ұрғашылары мыңдаған жұмыртқа салады. Олардан 2-3 апта ішінде алты аяқты балаң кенелер дамып шығады. Олар жұмыртқадан шығысымен ірі қара денесіне жабысып, паразиттік өмір сүре бастайды да, 3-4 апта ішінде нимфа және имаго сатыларына жетеді. Жылы кезеңде В. calcaratus кенелері үш ұрпақ беріп үлгереді. Осыған орай Оңтүстік өңірінде ірі қара мал арасында пироплазмоз 3 рет байқалуы мүмкін. Бірінші рет көктемде-сәуір, мамыр айларында, пироплазмоздың бұл толқыны өлім-жітімсіз жеңіл түрде өтеді. Екінші рет жазда шілде-тамыз айларында ауру кең етек алып, өлім-жітім көбейеді. Үшінші рет күзде-тамыз айының аяғынан бастап, қазан айына дейін байқалады. Бұл кезде ауру мал арасына көбірек тарайды.

Ауру белгілері. Пироплазмоздың жасырын кезеңі 14-24 күн. Бір жасқа дейінгі төлде және жергілікті малда пироплазмоз әдеттегіден жеңілдеу өтеді. Ауруға шалдыққан ірі қара малының ең алдымен дене ыстығы 41-42°С дейін көтеріледі де, осы деңгейден төмендемей тұрып алады. Ауырған мал қатты күйзеледі. Жемге сылбыр қарап, қатты шөліркейді. Сауын сиырдың сүті азаяды. Тамыр соғуы минутына 100-120-ға дейін шапшаңдап, жүрек соғуы, тыныс алуы жиілейді. Ішектің жиырылып-созылуы аурудың алғашқы 1-2 күндері күшейеді, көздің кілегей кабығы алғашқыда қызарады, сонан соң бозарып, сарғыштанады. Екінші күннен бастап-ақ ауру мал басын салбыратып, күйзеледі, көзінен жас жиі ағады. Жем мен суға сылбыр қарайды, кейде мүлде жем жемейді. Мес қарынның қозғалысы сирейді. Несеп алғашында сары түсті, аурудың жіті түрінде 2-күннен бастап-ақ қызыл түске боялады. Гемоглобинурияға несеп шығарудың жиілеуі қосылады, 3-4 күннен соң ауру белгілері ең жоғарғы дәрежесіне жетеді. Бұл мезгілде мал қатты күйзеледі, жем-судан бас тартып, жатып алып тісін қайрайды. Мес қарын қозғалуын мүлде қояды немесе өте баяу қозғалады. Жүрек соғу ырғағы бұзылады. Несеп қоңырлау-қызыл түсті, жиі және аз мөлшерде шығады. Осы белгілері 5-7 күнге созылып, мал өлім-жітімге ұшырауы мүмкін. Егер күтімі жақсы болып, ауырған малға мезгілінде мал дәрігерлік көмек көрсетілсе, ауру белгілері бірте-бірте қайтып, мал пироплазмоздан айыға бастайды. Бірақ ауырып сауыққан малдың қаны бірден толыға қоймай, 2-3 айдан кейін ғана бұрышы қалпына келеді.


Өлекседегі өзгерістер. Кілегей және сірі қабықтары бозарыңқы, сарғыш тартқан және ұсақ нүкте тәрізді қанқұйылған. Сөл бездері ұлғайған. Талағы қызыл-қышқыл түсті, үлкейген, үстіңгі жағы қанталаған, ұлпасы жұмсарып босаңсыған. Бауыры үлкейген, қоңыр-қызыл түсті, ал кейде сары балшық түстес. Бүйректері үлкейген қыртыс қабаты мен жұмсақ қабатының шекарасы байқалмайды. Қуығы әдетте қоңыр-қызыл, сирек жағдайда қоңыр-сары түсті несепке толы. Жалбыршағы әдетте қатты, ішіндегі жемі құрғақ жентектелген. Өкпесі, өлексенің жатқан жағынан ісінген. Бронхтарында көпіршіген қызғылт түсті сұйық зат бар. Жүрек, әсіресе жүрекше үсті нүкте және сызықша тәрізденіп қанталаған. Жүрек еті оңай жыртылады, түсі қоңыр, әр жерінде қанталаған ошақтар бар. Жүректің ішкі жағы қанталаған, ішінде қан ұйыған. Өлекседе қан аздық, талақтың үлкеюі, қуығы қызыл түсті қанға толуы және жалбыршықтың тығындалуы байқалады. Дайындаған қан жағындысынан ауру қоздырғышы табылады.



Диагнозы. Пироплазмоздың эпизотологиялық деректерін ескереді. Ауырған малдың жайылымда болуы және аталған кенелердің мал денесінен табылуы, өткен жылдарда осы аймақта аурудың кездесуі еске алынады. Ауру малды тексеріп, қарағанда дене қызуының көтерілуі, қан аздық, кілегей қабықтарының сарғыштануы және гемоглобинурия сияқты белгілерді байқауға болады.


Безноитиоз (лат. Besnoitia) - малдың жұқпалы, созылмалы ауруы. Індеттің қоздырғышы - бір жасушалы қарапайым жәндіктер. Оны тұнғыш рет 1912 ж. Францияда К. Бенуа мен В. Робин тапты. Безноитиозбен мүйізді ірі қара, жылқы, есек, солтүстік бұғысы ауырады. Аурудың бірнеше түрі бар, Қазақстанда оның бір-ақ түрі Besnoitia besnoiti кездеседі. Бұл ауру шетелдерден Санта-гертруда сыйырымен (1956 ж. ) келген.

Аурудың таралуы
Безноитиоз Балқаш көлі, Іле, Талас, Шу, Сырдария, Амудария өзендерінің бойында, қамысты көлдердің маңында байқалады. Бұл жерде шыбын-шіркей, маса, сона көп болады. Олар малды шағып, сау малға ауру жұқтырады. Көбінесе 2 жастағы ірі қара ауырады. Безноитиозбен адам ауырмайды.
Ауру белгілері
- Іс жүргізу
- Автоматтандыру, Техника
- Алғашқы әскери дайындық
- Астрономия
- Ауыл шаруашылығы
- Банк ісі
- Бизнесті бағалау
- Биология
- Бухгалтерлік іс
- Валеология
- Ветеринария
- География
- Геология, Геофизика, Геодезия
- Дін
- Ет, сүт, шарап өнімдері
- Жалпы тарих
- Жер кадастрі, Жылжымайтын мүлік
- Журналистика
- Информатика
- Кеден ісі
- Маркетинг
- Математика, Геометрия
- Медицина
- Мемлекеттік басқару
- Менеджмент
- Мұнай, Газ
- Мұрағат ісі
- Мәдениеттану
- ОБЖ (Основы безопасности жизнедеятельности)
- Педагогика
- Полиграфия
- Психология
- Салық
- Саясаттану
- Сақтандыру
- Сертификаттау, стандарттау
- Социология, Демография
- Спорт
- Статистика
- Тілтану, Филология
- Тарихи тұлғалар
- Тау-кен ісі
- Транспорт
- Туризм
- Физика
- Философия
- Халықаралық қатынастар
- Химия
- Экология, Қоршаған ортаны қорғау
- Экономика
- Экономикалық география
- Электротехника
- Қазақстан тарихы
- Қаржы
- Құрылыс
- Құқық, Криминалистика
- Әдебиет
- Өнер, музыка
- Өнеркәсіп, Өндіріс
Қазақ тілінде жазылған рефераттар, курстық жұмыстар, дипломдық жұмыстар бойынша біздің қор #1 болып табылады.

Ақпарат
Қосымша
Email: info@stud.kz