Гриптен болған пневмониялар



Жпд тәжрибесіндегі пневмониялар. Эпидемиологиясы. Этиологиясы. Жіктемесі. Диагностикасы. Амбулаторлық жағдайда жүргізү тәсілі. 60 жастан асқан асқынбаған пневмониясы және қосарланған ауруы бар пациенттерді жүргізу ерекшеліктері. Алдын алу.

Жоспар
Пневмониялар
Эпидемиологиясы
Этиологиясы
Патогенезі
Жіктемесі
Диагностикасы
Клиникалық көрінісі
Диф диагностикасы
Балаларда, жасөспірімдерді, егде және карт адамдарды жүргізу ерекшеліктері
Емдеу және алдын алу шаралары
Диспансеризациясы


Пневмониялар- этиологиясы мен патогенезі әр түрлі болып келетін өкпе паренхимасы мен аралық тканнің экссудативті қабынуы . Процеске тамыр жүйесі жиі қатысады.
Эпидемиологиясы: Пневмония жиі кездесетін, өлімге әкелетін себептердің ішінде алтыншы орындағы, ал ауруханаішілік инфекциядан болатын өлім себебі ретінде бірінші орындағы ауру. Соңғы 30 жылда оның жиілігі бес есе көбейіп 1000 адамға шаққанда даму саны 10-13, 8 шамасында. Пневмониядан ауруханадағы өлім саны 8, 0-8, 7%



Этиологиясы :
Бактериялар (пневмококк -70-96%, алтын сары стафилакокк- 0, 5-5 %, Фридлиндер пневмобацилласы - 3-8 %, көкшіл- ірің таяқшасы- 3-8 %, стрептакокк -1-4% ) .
Вирустар ( А2 -грипінің вирусы - 77, 1%, Б- грипінің вирусы -16, 4%, С- грипінің вирусы 1%, аденовирус - 3, 6% парагрипп вирусы- 1, 2%, тыныс синцитий вирусы-1, 5%) .
Орнитоз -0, 6% .
Микоплазма- 0, 5-1, 5% .
Риккетсиялар
Аллергия.
Табиғи және химиялық факторлар: салқын тию, күйік, сәуле.


Патогенезі
1. Қоздырғыш организмге екі жолмен енеді:
а) эндогендік жол: стафилакокк, стрептококк, протей, пневмококк, ішек таяқшасы.
б) экзогендік жол: орнитоз қоздырғышы, микоплазма, пневмококк.
2. Организм реактивтілігінің өзгеруі және шартты патогендік флораның бас көтеруі.
3. Инфекцияның бронх арқылы тарауы
4. Бейімдеуші факторлар әсері
5. Бронхтың секреция бөлу функциясының бұзылуы мен оның кірпікшелі эпителийінің өзгеруі .
6. Мукоцилиарлық клиренстің өзгеруі мен гуморалдық иммунитеттің төмендеуі.
7. Паренхиманың жергілікті қорғаныс механизімдерінің әлсіреуі және қан айналысының бұзылуы.
8. Өкпе тканінің инфильтрациясы пайда болу.
9. Қабыну процесінің тарауы.



Жіктемесі
Себебіне қарай:
1. Бактериалық пневмониялар.
2. Вирустық пневмониялар .
3. Орнитоздық пневмониялар .
4. Рикетсиалық пневмониялар.
5. Микоплазмалық пневмониялар .
6. Гриптен болған пневмониялар .
7. Аралас себепті пневмониялар .
8. Аллергиялық, инфекциялы-аллергиялық пневмониялар.
9. Себебі белгісіз пневмониялар.


Патогенезіне қарай:
1. Бірінші ретті пневмониялар.
2. Екінші ретті пневмониялар.
а) қан айналысы өзгерістермен байланысты туындайтын пневмониялар.
б) аспирация және бронхтың басылып қалуымен байланысты туындайтын пневмониялар.
в) жарақатқа байланысты пневмониялар.
г) операциядан кейінгі пневмония.
д) уланғаннан кейінгі пневмония.
е) температура әсерінен болатын пневмония.
ж) басқа табиғи факторлар әсерінен болатын пневмония.
з) сепсиске байланысты пневмония .
и) басқа екінші ретті дамитын пневмония.





Клиникалық- морфологиялық сипатына қарай:
1 Паренхиматоздық пневмония.
а) крупозды пневмония
б) түйінді пневмония
2 . Интерстициялық пневмония. Орны және көлеміне қарай 2 жақты болып бөлінеді.
1. Бір жақты ( сол не оң жақты)
а) тұтас пневмония.
б) бөлік пневмония.
в) сегментарлық пневмония.
г) тұтас бөліктік емес пневмония.
д) орталық пневмония.
2. Екі жақты пневмония (көлемін көрсету керек) .



Ауырлығына қарай:
1. Өте ауыр пневмония.
2. Ауыр пневмония .
3. Орташа ауырлықты пневмония.
4. Жеңіл және абортивті пневмония.
Даму барысына қарай:
1. Жедел пневмония.
2. Ұзарған пневмония.


Клиникасы:
1. Жай қабыну синдромы: интоксикация, дене Т көтерілуы, бас ауруы, қан қақыру, кеуденің ауырсынуы, ЭТЖ жоғарылауы, лейкоцитоз, СРБ, ДФА фибриногеннің көбеюі.
2. Өкпе инфильтрациясы синдромы: кеуденің зақымданған жағының тыныс алуда қалыңқы болуы, дауыс дірілі мен бронхофонияның күшеюі, өкпе дыбысының әлсіреуі, везикула тынысының өзгеруі, крепитация, рентгенологиялық белгілер.
3. Бронхообструктивті синдром: қақырық қиналып түсетін жөтел, экспираторлық демікпе, қысқырған өкпе дыбысының қорап реңі болуы, құрғақ сырылдардың естілуі.
4. Тыныс жетіспеушілік синдромы: демікпе, цианоз, ӨТС жүрек әлсіздігінің белгілері болуы мүмкін
6. Астения синдромы: әлсіздік, тәбеттің болмауы, тез шаршау.
7. Басқа органдар мен жүйелер зақымдану синдромы:асқазан-ішек жолы, бүйрек, нерв жүйесі өзгерістері.


Диагностикасы : Кеуде қуысының аускультациясы (везикулалық тыныстың әлсіреу, майда калибрлі ылғалды сырылдар, крепитация)
Кеуде қуысының перкуссиясы: қораптық дыбыс
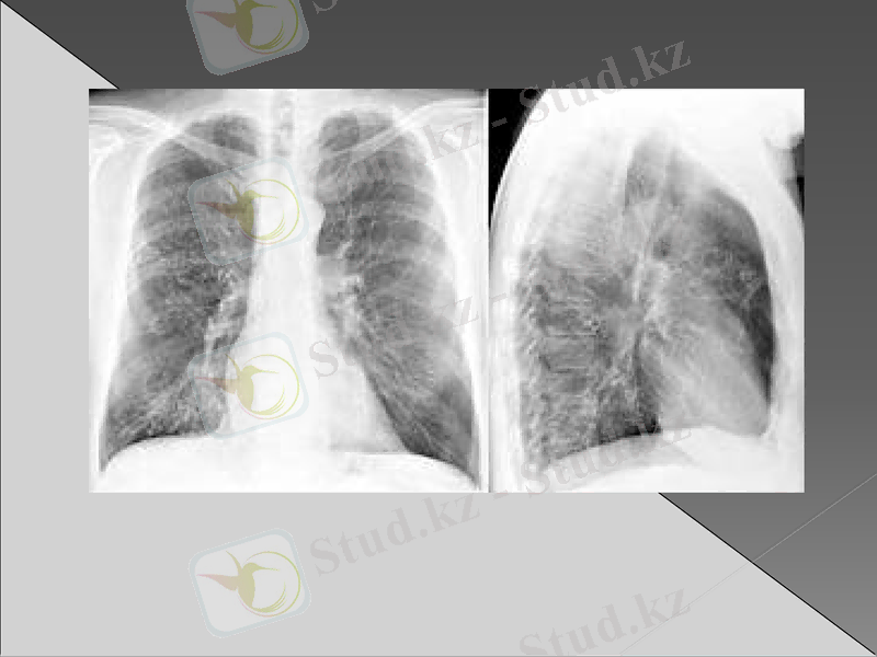
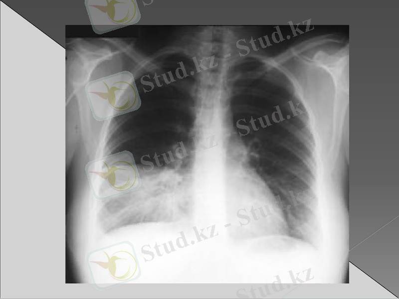
Рентгенография : инфильтрация немесе қараю зоналары (пневмонияның түріне байланысты өкпе тінінің зақымдалуы)
Бронхография: инфильтрат, бронхтардың зақымдалуы
Лабороториялық мәліметтер: қжа, қанның биохимиялық анализі, қақырықты бактериологиялық зерттеу (қоздырғышты анықтау)

Рентгендік зерттеуде бірінші күні айқын көрінетін инфильтрациялық өзгерістер болмайды. Бұл кезде әрең байқалатын вуаль тәрізді нәзік көлеңкелену болуы мүмкін. Оның интенсивтілі біртіндеп күшейіп нағыз шыңына 5- тәулікте жетеді. Қан анализінде лейкоцитоз 15-30х 10/л дейін көбейеді. Лейко формулада нейтрофилдердің жетілмеген жас түрі көбейеді. ЭТЖ жоғарылайды. Сонымен бірге қанда қабынудың биохимиялық белгілері анықталады. Альфа және гамма глобулиндердің, фибриногеннің жоғарылауы, С реактивті белоктің пайда болуы. Қақырықта белоктің, фибриннің, эритроциттердің, лейкоциттердің мөлшері көп. Қақырық жағындысында қоздырғыш табылады.




Диф. диагностикасы:
Өкпе инфаркты
Өкпе туберкулезі
Өкпе ісігі
Экссудативті плеврит
Пневмонит немесе өкпе васкулиті
Радиациялық пневмонит

Кейбір деректерде жазылуынша 55, 9% егде және карт адамдарда пневмония орташа ауырлықта өткен, ал оның 38, 7% ауыр түрінде, 6% ғана жеңіл түрде өткен. Бұл кісілердің барлығында қосымша аурулар болған. Олар: гипертония, семіздік, жиа, анемия, остеохондроз, қантты дибет, созылмалы бронхит. . т. б. Карт адамдарда көбінесе пневмонияның асқынуы жедел тыныс жетіспеушілігі болып табылды 40, 5%, экссудативті плеврит 9, 5% ал қалған пайызын пневмоторакс пен іріңді менингит құрады. Статистика бойынша пневмонияның салдарынан қайтыс болған адамдардың 69% карт кісілер болып есептелді. Уакытылы диагностика және госпитализация бұл көрсеткішті төмендетеді.

Емдеу принциптері
- Төсектік режим, құнарлы тамақтандыру және тамақтың ішінде белоктің, майдың, көмірсудің, витаминдердің жеткілікті мөлшерде болуы.
- Іс жүргізу
- Автоматтандыру, Техника
- Алғашқы әскери дайындық
- Астрономия
- Ауыл шаруашылығы
- Банк ісі
- Бизнесті бағалау
- Биология
- Бухгалтерлік іс
- Валеология
- Ветеринария
- География
- Геология, Геофизика, Геодезия
- Дін
- Ет, сүт, шарап өнімдері
- Жалпы тарих
- Жер кадастрі, Жылжымайтын мүлік
- Журналистика
- Информатика
- Кеден ісі
- Маркетинг
- Математика, Геометрия
- Медицина
- Мемлекеттік басқару
- Менеджмент
- Мұнай, Газ
- Мұрағат ісі
- Мәдениеттану
- ОБЖ (Основы безопасности жизнедеятельности)
- Педагогика
- Полиграфия
- Психология
- Салық
- Саясаттану
- Сақтандыру
- Сертификаттау, стандарттау
- Социология, Демография
- Спорт
- Статистика
- Тілтану, Филология
- Тарихи тұлғалар
- Тау-кен ісі
- Транспорт
- Туризм
- Физика
- Философия
- Халықаралық қатынастар
- Химия
- Экология, Қоршаған ортаны қорғау
- Экономика
- Экономикалық география
- Электротехника
- Қазақстан тарихы
- Қаржы
- Құрылыс
- Құқық, Криминалистика
- Әдебиет
- Өнер, музыка
- Өнеркәсіп, Өндіріс
Қазақ тілінде жазылған рефераттар, курстық жұмыстар, дипломдық жұмыстар бойынша біздің қор #1 болып табылады.

Ақпарат
Қосымша
Email: info@stud.kz