Тіс қатарының ақауы



Тақырыбы: Қызметтік окклюзияның бұзылуының диагностикасы және емі

Жоспар
І. Кіріспе
Жалпы түсінік
ІІ. Негізгі бөлім
Этиологиясы
Патогенезі
Классификациясы
Диагностикасы
Емі
Notes: спе

“Тіс қатарының деформациясы” және “тіс-жақ аномалиясы” түсініктерін ажырата білу керек.
Аномалия - бұл тіс-жақ жүйесі қалыптасуы кезіндегі бұзылыстар әсерінен осы биологиялық ағзаның құрылымның және қызметінің бұзылысы.
Деформация - бұл тіс-жақ жүйесі қалыптасқаннан кейінгі патологиялық өзгерістердің нәтижесінде пайда болған тіс қатарының пішінінің, окклюзияның бұзылысы. Аномалиялардан айырмашылығы генетикалық қасиетке ие емес.

Ақаулар тіс-жақ жүйесінің әртүрлі патологиялық үрдістерінің асқынулары ретінде дамиды. Көбіне олар :
Тістер тісжегімен зақымдалғанда;
Тіс қатарының ақауы кезінде;
Қажалу қарқынды кезде;
Пародонтқа функциональді күш түскенде;
Жарақат кезінде;
Жақтардағы ісік кезінде.
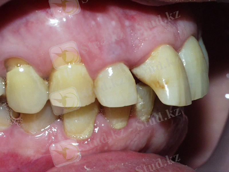
Тіс қатары ақауы
этиологиясы

Ақаудың пайда болуы, тек тіс қатарының морфологиялық бірлестігінің өзгерісімен ғана шектелмей, оның толық қайта құрылуына алып келеді. Дефекттің қасында дамып, кейін бүкіл тіс қатарына таралады. Тіс қатарының деформациясы, тістердің қайта құрылуына басты себеп бір тістің ақауға қарай қисаюы, антоганисі жоқ тістің вертикальді, және тіл жаққа қисаюы, ось бағытында айналуы және т. б.
Патогенезі

КҮШТІК ДИССОЦИАЦИЯ

Пациентің жасы
Жоғалған тістер саны
Ерте жұлынған тістер немесе қажалу
қарқындылығы.
-тістем түрі
-қосымша патологиялардың болуы
(пародонтит)
ТІС ҚАТАРЫНЫҢ ДЕФОРМАЦИЯСЫ
Тіс қатарының деформацияларының пайда болуына әсер ететін факторлар:

Тіс қатарының окклюзиялық бетінің ақауының классификациясы
Гаврилов Е. И. тіс қатарының ақауының 5 тобын ажыратқан.
I-тістің вертикальді бағытта орын ауыстыруының әсерінен туындаған ақау;
II-тістің мезиальді немесе дистальді бағытта ығысуының әсерінен туындайтын ақау;
III- тістің тілдік немесе ұрттық жаққа қарай иілуінің әсерінен туындайтын ақау;
IV- Тістердің өз өсінен айналуы барысында пайда болған ақаулар.
V-тістердің комбинирленіп орын ауыстыруының нәтижесінде дамитын ақау;

ПОНОМАРЕВ БОЙЫНША ЖІКТЕМЕ
Түбірдің жалаңаштануынсыз дентоальвеолярлы ұзаруы
Түбірдің жалаңаштануымен дентоальвеолярлы ұзаруы
(В. А. Пономарева, 1951)
¼ дейін
3\4 жоғары


Кривая Уилсона
Кривая Шпее

Тіс қатарының ақауы
Тіс қатарының ақауына, патологиясына қарамастан тістің және альвеолярлы өсіндінің жылжуы әр түрлі бағытта жүруі мүмкін.
Жоғарғы тістердің вертикальді тісальвеолярлы бағытта ұзаруы (біржақты немесе екіжақты)
Төменгі тістердің вертикальді тісальвеолярлы бағытта ұзаруы (біржақты немесе екіжақты)
Екі жақтағы вертикальді тіс-альвеолярлы ұзару (біржақты немесе екіжақты)
Жоғарғы немесе төменгі жақ тістерінің саггитальді ығысуы (біржақты немесе екіжақты)
Тіс қатарының тілдік, ұрттық немесе таңдайлық ығысуы.
Тіс қатарының комбинирленген ығысуынан болған ақау

ТІС ҚАТАРЫ АҚАУЫНЫҢ БІРІНШІ ТОБЫ
Жоғарғы және төменгі жақ тістерінің вертикальді ығысуынан пайда болған ақау. Біржақты немесе екіжақты.

ТІС ҚАТАРЫ АҚАУЫНЫҢ БІРІНШІ ТОБЫ
Жоғарғы және төменгі жақ тістерінің өзара вертикальді ығысуынан болған ақаулар. Біржақты немесе екіжақты.

Тіс қатарының ақауы

ТІС ҚАТАРЫ АҚАУЫНЫҢ ЕКІНШІ ТОБЫ
Тістердің сагиттальді ығысуы.
(мезиальді және дистальді)

ТІС ҚАТАРЫ АҚАУЫНЫҢ ҮШІНШІ ТОБЫ
Тістердің таңдай(тіл) немесе ұрттық бетке иілуінен пайда болған горизонтальді ақаулар


ТІС ҚАТАРЫ АҚАУЫНЫҢ ТӨРТІНШІ ТОБЫ
Тістердің өз өсінен айналуы барысында пайда болған ақаулар.

ТІС ҚАТАРЫ АҚАУЫНЫҢ БЕСІНШІ ТОБЫ
Тістердің комбинирленген ығысуынан пайда болған ақаулар.

Тіс қатары дефектіне қарай 7 тістің мезиальды иілуі.

Алдыңғы топ тістерінің аса қажалуы кезіндегі азу тістердің орнынан жылжуы кезіндегі мүсін


Өзара вертикальды ығысқан төменгі жақ қимылының блокадасы

Кіші азу тістің дистальды жаққа иілуі

Жоғары тіс қатары деформациясы

Төменгі жақтың екіншілік азу тістің компенсирленген фукциональды жүктелімі

Кіші азу тістің ұяшыққа енуі

Тіс қатарының деформациясы
Екіншілік жартылай адентия нәтижесінде болған деформация кезіндегі емдік шаралар:
Окклюзиялық ауытқуларды нормаға келтіру
Төменгі жақ қимылының шектелуін жою;
Тіс пародонтына түсетін функциональды қысымды жою;
Рациональды конструкция дайындау үшін жағдай жасау

Тістердің окклюзиялық бетінің деформациясын түзету әдістері
Тістерді деформациялауды түзету әдістері:
1. Ортопедиялық:
а) тістерді тегістеу;
б) төменгі жақты қозғалту;
в) аппараттық.
2. Хирургиялық.
3. Біріккен немесе аспаптық-хирургиялық.

1. Тістерді қысқарту жолымен окклюзиялық бетін теңестіру оны рентгенограммада соның ішінде телерентгенограммада және жақтың диагностикалық мүсінінде жоспарлаған соң жүргізіледі.
Тістерді тегістеген соң дәрежесіне байланысты бетін тегістеу, кальций мен фтор қосылыстарын сіңдіру және қысқартылған тістерді сауытпен жабу жүргізіледі.
Егер жақтың диагностикалық мүсінінде немесе телрентгенограммада окклюзиялық жазықтықты жүргізу барысында ол берілген тістің қуысын кесіп өтетін болса тегістеуден алдын ол тістің нервтері алынады.

2. Төменгі жақты жылжыту -оның дистальды жылжуы кезінде, клиникалық және рентгенологиялық тұрғыдан анықталған кезде немесе анатомиялық-топографиялық жағдайлар болған кезде жүзеге асырылады. (СТЖБ ның алдыңғы бөлігінде кең саңылаудың болуы) .

Қозғалыс кезінде негізгі қауіп - артқы окклюзиядан орталық окклюзияны қалыптастыру барысында «бос» буындардың қалыптасуы.
Сонымен қатар шайнау бұлшықеттерінде төменгі жақты жылжыту кезінде бекінген орындарының арасындағы арақашықтық өзгереді.
Көбінесе альвеола аралық биіктік ұлғаюы натижесінде бұлшықеттер созылады.
Аталған бұлшықеттердің функциональды тыныштық кезіндегі тонустан 4-5 күні 2-2, 5 есе жоғарылайтын реакциямен көрінеді (миостатистикалық рефлекс) (И. С. Рубинов, 1964) .

Шамамен бір аптадан кейін тонустың төмендеуі және 19-21 күні оның қалыпты жағдайға келуі басталады. 4-6 апта өткен соң шайнау бұлшықеттерінің бейімделуі аяқталады, СТЖБ бейімделуі жалғасады. Көптеген ғалымдардың айтуынша альвеола аралық биіктік функциональды тыныштық кезіндегі биіктіктен аспау керек.

Төменгі жақты қалыпты жағдайда ұстап тұру үшін жиі жағдайда айқын төмпешіктері бар жасанды тістермен алмалы пластиналы протездер қолданылады. Төмпешіктер төменгі жақтың сагитальды жылжуын болдырмайды және дистальды жылжудың қайталанудың алдын алады. Көп жағдайда протезге қосымша тістем алаңдары және каппалар ұсынылады.

Аппараттық әдіс
Тістем алаңы бар протездерді қолдану. Олар сонымен қатар ортодонтиялық функционалды аппараттарға жатады.
Дезокклюзия әдісі
Көрсеткіші: Попов-Годон феноменінің 1 типінде 35-40 жас аралығындағы науқастарға.
- Іс жүргізу
- Автоматтандыру, Техника
- Алғашқы әскери дайындық
- Астрономия
- Ауыл шаруашылығы
- Банк ісі
- Бизнесті бағалау
- Биология
- Бухгалтерлік іс
- Валеология
- Ветеринария
- География
- Геология, Геофизика, Геодезия
- Дін
- Ет, сүт, шарап өнімдері
- Жалпы тарих
- Жер кадастрі, Жылжымайтын мүлік
- Журналистика
- Информатика
- Кеден ісі
- Маркетинг
- Математика, Геометрия
- Медицина
- Мемлекеттік басқару
- Менеджмент
- Мұнай, Газ
- Мұрағат ісі
- Мәдениеттану
- ОБЖ (Основы безопасности жизнедеятельности)
- Педагогика
- Полиграфия
- Психология
- Салық
- Саясаттану
- Сақтандыру
- Сертификаттау, стандарттау
- Социология, Демография
- Спорт
- Статистика
- Тілтану, Филология
- Тарихи тұлғалар
- Тау-кен ісі
- Транспорт
- Туризм
- Физика
- Философия
- Халықаралық қатынастар
- Химия
- Экология, Қоршаған ортаны қорғау
- Экономика
- Экономикалық география
- Электротехника
- Қазақстан тарихы
- Қаржы
- Құрылыс
- Құқық, Криминалистика
- Әдебиет
- Өнер, музыка
- Өнеркәсіп, Өндіріс
Қазақ тілінде жазылған рефераттар, курстық жұмыстар, дипломдық жұмыстар бойынша біздің қор #1 болып табылады.

Ақпарат
Қосымша
Email: info@stud.kz