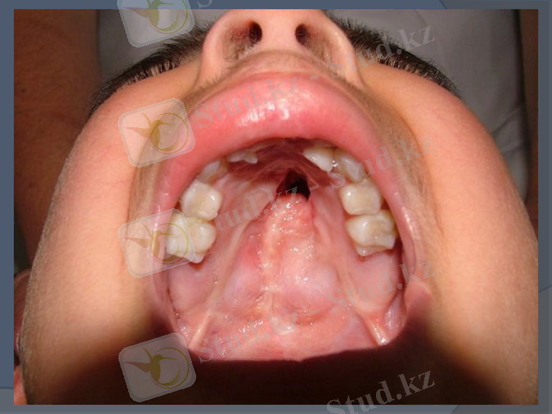
ТАҢДАЙ ЖЫРЫҒЫ



Таңдай жырығы

ЖЫРЫҚ - іштен туа бітетін ерін және таңдай кемістіктері

Этиологиясы:
Бұл әр түрлі себептерден (физ., хим., биол., т. б. ) пайда болады: физикалық себеп - сыртқы ортаның қолайсыз жағдайлары. Қоршаған ортада радиациялық сәулелер деңгейінің жоғары болуынан, жергілікті тұрғындардың денсаулығы нашарлап, организмнің ішкі органдарының (жыныс бездерінің) қызметі бұзылады; химиялық себеп - ауадағы қышқыл, тұз, сілті, ауыр элементтердің, улы заттардың деңгейі жоғарылап, оттегінің құрамы азайып, адам организмінің зат алмасу процесі нашарлайды, бұл жағдай жыныс клеткаларының дұрыс қалыптасуына кедергі келтіреді; биологиялық себепте тамақ құрамындағы қажетті заттардың (белок, көмірсу, витамин, т. б. ) жеткіліксіз болуынан организмде зат алмасу процесі бұзылады.

Таңдай Ж-ғы - алғашқы 1 - 2 айда ұрықтың зат алмасуы бұзылуынан немесе ананың жүкті кезінде жұқпалы аурулармен науқастануынан пайда болады.

Таңдай Ж-ғы:
-жасырын,
-жартылай,
-толық,
-бір жақты
-екі жақты болып бөлінеді.

Таңдай сүйектерінің бұлшық еттері бірікпеуінен болатын таңдай Ж-ғы бала туысымен-ақ байқалады. Нәрестені емізгенде, емшек сүтіне шашалып, сүт мұрнынан шығады. Таңдайы жырық баланы тамақтандыру өте қиын болады. Тілі шыққанда бала дұрыс сөйлей алмайтын болады. Кейде тыныс жолдары ауруына шалдығуы мүмкін. Бұл ауру тұқым қуалайды.


Таңдай Ж-ғын жабу үшін балаға пластикалық операция 1 - 6 жас кезінде жасалады. Операциядан кейін бала сөзінің дұрысталуы үшін, маман дәрігердің (логопед) бақылауында болады. Бала сөзінің қалпына келуі - операцияның дұрыс өтуіне және логопедиялық жаттығуға байланысты. Ауруды дер кезінде анықтап, емделетін болса, бала мектепке барғанда өз құрбыларынан ешқандай кемістігі білінбейді.

- «Қоян жырық» немесе «қасқыр таңдай» диагнозымен туылу себептері қандай?
- 2011-2012 жылдарға дейін аурудың себептерін тұқым қуалаушылықпен байланыстырып келдік. Өйткені, оңтүстікте ағайындардың отбасын құруы жиі кездеседі. Ал бүгінгі таңда экология өзінің әсерін көптеп тигізіп отыр. Байқоңыр мен Теміртау қалаларында аурудың бұл түрі өте көп кездеседі. Мәселен, ОҚО-да 639 баланың біреуі жақ-бет аймағы кемістігімен туылса, Байқоңырда 420 баланың біреуі, ал Теміртауда 410 баланың біреуі осындай кемістікпен дүниеге келуде. Нақты себебін дөп басып айта алмаймыз. Ал «жүкті әйелдің қоян етін жегеннен баласы қоянжырық болып туылады» деген әңгіме шындыққа жанаспайды. Айта кетер жағдай, анасы жас кезінде жыныс ауруларымен ауырса, кіндігін ашып жүрсе, темекі тартып, арақ ішсе - дамуында ауытқуы бар баланың дүниеге келетіні жасырын емес.

- Туабітті кемістігі бар сәбилерге отаны қай кезде жасаған дұрыс?
- Ерні жырық болып туылған сәбилерге отаны 3-4 айдан соң жасаймыз. Ал таңдайы жарық болып болып туылғандарға бір жастан соң жасалынады. Өйткені, бұл өте күрделі ота саналады. Баланың неғұрлым үлкен болғаны бізге де жақсы, ота сәтті өтеді. Ал бір жасқа дейін балалар стоматологы нәрестенің таңдайын тіккенше, ас-ауқатын дұрыс ішу үшін пластинка салып береді.

Таңдай жырықты балаларға күтім
Бірінші айдан бастап олардың тамақтануын қадағалау керек. Ол үшін оларға арнайы соскалар бар. Үлкен, эластикалық, әр түрлі формадағы соскалар. Егерде олар соскаменде тамақтана алмаса, онда оперативті емге көшеміз, сондай-ақ арнайы қасықтармен немесе пипеткалармен тамақтанады.

Тамақтандыру кезінде оларды жартылай вертикальді қалыпта ұстаймыз.
Тамақтану кезінде тыныс алу жолдарының қабыну ауруларынан алдын алу қажет. Осы кезде оларды серуендеу кезінде суықтатпау үшін маскалар тағамыз және ол 2-3 қабатты марлыдан болу керек. Ол ауаны тазалайды және жылытады.
Бұның барлығы тікелей педиатрдың кеңесімен болады.

Емдеу ерекшелігі
Уранопластика- таңдай пластикасы. Бұл операция 1 жасқа дейін жасалатын 2 этаптан тұратын операция. Бірінші этап 6-8 айында пластика жұмсақ таңдайына жасалады. Бұл қалыпты сөйлеуімен және формасының қалыптасуына бағытталып жасалады.
Екінші этап 12-14 айында пластиканы қатты таңдайға жасайды, сөйлеyді қалыптастыру үшін, ауа кіру жолдарын жақсарту үшін жасалынады.

Үшінші этап- костнопластика. Жоғарғы жаққа 8-12 жаста жасалады, ортаңғы күрек тістерге тұрақты тістерге.
18 жасында косметикалық операция жасалады.
Сондай-ақ ортодонтиялық ем жүргізіледі, ол тістердің аномалиясы үшін, тістер қатары үшін, дұрыс тістем үшін және де олар логопедтермен жұмыс жасайды, психологтармен психологиялық және физикалық соққы алғандардың жағдайына көмектеседі.
- Іс жүргізу
- Автоматтандыру, Техника
- Алғашқы әскери дайындық
- Астрономия
- Ауыл шаруашылығы
- Банк ісі
- Бизнесті бағалау
- Биология
- Бухгалтерлік іс
- Валеология
- Ветеринария
- География
- Геология, Геофизика, Геодезия
- Дін
- Ет, сүт, шарап өнімдері
- Жалпы тарих
- Жер кадастрі, Жылжымайтын мүлік
- Журналистика
- Информатика
- Кеден ісі
- Маркетинг
- Математика, Геометрия
- Медицина
- Мемлекеттік басқару
- Менеджмент
- Мұнай, Газ
- Мұрағат ісі
- Мәдениеттану
- ОБЖ (Основы безопасности жизнедеятельности)
- Педагогика
- Полиграфия
- Психология
- Салық
- Саясаттану
- Сақтандыру
- Сертификаттау, стандарттау
- Социология, Демография
- Спорт
- Статистика
- Тілтану, Филология
- Тарихи тұлғалар
- Тау-кен ісі
- Транспорт
- Туризм
- Физика
- Философия
- Халықаралық қатынастар
- Химия
- Экология, Қоршаған ортаны қорғау
- Экономика
- Экономикалық география
- Электротехника
- Қазақстан тарихы
- Қаржы
- Құрылыс
- Құқық, Криминалистика
- Әдебиет
- Өнер, музыка
- Өнеркәсіп, Өндіріс
Қазақ тілінде жазылған рефераттар, курстық жұмыстар, дипломдық жұмыстар бойынша біздің қор #1 болып табылады.

Ақпарат
Қосымша
Email: info@stud.kz