КӨЗ ҰЯСЫНЫҢ ІСІКТЕРІ



Көз ұясының ісіктері.

Көру мүшесінде, адамда кездесетін ісіктердің барлық түрі дамиды. Олар әр түрлі генезді:
көрші аймақтардан таралады (бассүйек қуысынан, жоғарғы жактан, тамырлы қабаттан және т. б. )
басқа мүшелердің ісіктерінің метастазы болуы мүмкін және де көздің ішінде орналасқан - бұлшықет, тамыр, нервтің қабырғаларынан пайда болуы мүмкін.
Көпшілік жағдайда науқастарда көру мүшесінің біріншілікті ісігі анықталады.

Көздің онкологиялық ауруға шалдығуларының арасында көп кездесетін көз ұясының ісіктері (14-28%) арасында 70-80 көпшілікті қатерлі ісіктер.
Ісіктер қатерлі және қатерсіз болады.

Ісіктің белгілері:
Экзофтальм
Көздің алмасының қозғалшықтығының бұзылуы
Көз алмасының репозициясының бұзылысы
Көз алмасының деформациясы
Көз түбінің өзгерісі

Қатерсіз ісік
Скелетогенді (остеома, хондрома)
Эпителиальді(липома, миома, миксома, гемангиома, нейрофиброма)
Көру нервтен (глиома)

Гемангиома
Экзофтальммен қатар, көгерулер және қабақтың терісінің ісінуі болады.
жөтелде, басты шалқайтқанда, экзофтальм күшейеді
Тері асты қан кетулер
Дифференциальді диагностика көру мушесінде варикозды тарылуларда, гематома, жарықтар кезінде қолданылады

Лимфангиома
Лимфа түйіндерінде дамиды
Ісік лимфаға толы болады
Баяу өседі
Гемангиомага қарағанда сирек кездеседі

Глиома
Көз ұясының қатерлі ісігі
Экзофтальм
Қөздің көруінің төмендеуі(ранний признак)
Көз түбінің өзгерістері(көру нервісінің атрофиясы)
Дифференциальді диагностикасы ангиомамен қатар, тиреотоксикоз, көз ұясына қан кетумен сипатталады.

Нейрофиброма
Эндоневриялық қатерсіз ісік
Белгілері: теріде кофе түстес қоңыр дақтар
Тұрақты емес-даму ақаулары, психикалық және физикалық даму бұзылысы
Бас сүйек қаңқасының асимметриялық өзгерісі

Қатерлі ісік
Шеңбер тәрізді жасушалы, ұршық тәрізді полиморфты жасушалы саркома
Фибросаркома (Fibrosarcoma)
Остеосаркома (Osteosarcoma)

Шеңбер тәрізді жасушалы, ұршық тәрізді полиморфты жасушалы саркома
Өте тез өседі
Дамуы айқын инфильтративті, науқастарда көру бұзылыстары ерте дамиды және көз түбі бұзылысы байқалады: көру нервісінің атрофиясы, тоқырау емізікшелері, қан кетулер, тор қабығының дегенартивті өзгерулері. Метастаздар мойын аймағындағы бездерде, өкпеде, мида болады.

Фибросаркома (Fibrosarcoma)
Баяу өседі
Ісіктің көз ұясында нақты локализацияланбайды, көз ұясының алдыңғы, жоғарғы, төменгі, артқы бөлімдерінде бірдей орналасады.
Фибросаркомаға тән қасиет периорбитоальді бөлікпен тығыз болады, әдетте периорбитальді бөліктен басталады.


Инструментальды диагностика:
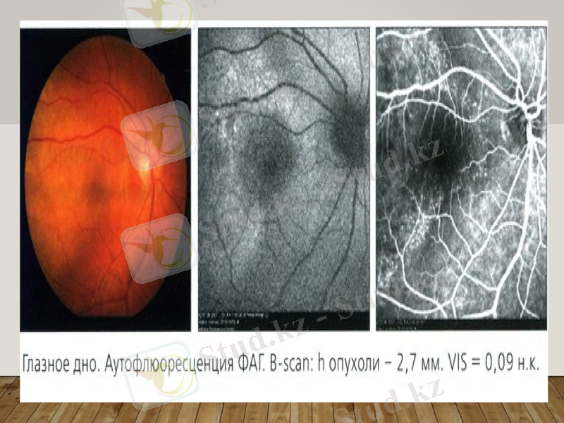
1. Флюоресцентті ангиография -көз ішілік ісіктерде қолданылады.
2. Ультра кү. тәс. -радиофосфорная диагностика, рентгендиагностика, МРТ,
УДЗ
3. Айналы микроскоп
4. Термография
5. Жіңішке инелік аспирациондық биопсия.
6. Иммунодиагностика


МРТ ми мен көз орбитасының. Болжам диагноз- менингиомма.

Термографе. 2-лік қатерлі ісік оң жақ орбитада орналасқан.


Киста - көз шарасы терісінің астынан өскен, қабақтан алға қарай шығып айқын көрінетін домалақ, кейде сопақ пішінді, сипағанда ауырмайтын, жұмсақ, аздап бүлкілдейтін өсінді.
Липома - сирек кездеседі. Кистаға клиникалық белгісі ұқсас. Бұл ісік көз шарасының тек сыртында ғана емес көздің ретробульбарлақ кеңестігінде де өседі. Бұл екеуі де баяу дамиды, қабыну болмайды. Көз шарасы терісімен жабысып өспеді, сондықтан оның үстіндегі тері қозғалғыштығын сақтайды.


Көз шарасының (орбитаның) ісіктері

экзофтальм;
көз алмасының ығысуы және оның қозғалысының шектелуі;
диплопия;
ауырсыну;
невриттің әсерінен немесе көру нервісі дискісіндегі іркілдеу;
көру өткірлігінің төмендеуі.
Клиникалық көрінісі:

1. Тез дамитын экзофтальммен, көздің шетке ығысуымен және оның қозғалысының шектелуімен сипатталады және ерте ісік белгілерімен көрінеді.
3. Пальпация арқылы ісіктің көлемін және тығыздығын, орналасуын, пішінін, оның көз және көз шарасымен байланысын анықтауға болады.
2. Қатерлі ісіктердің ішінде саркома мен карцинома жиі дамиды, олар алғаш сүйек үсьіндегі қабаттан, тенонды капсуладан, көру нервісінің қабығынан дамиды.
Қатерлі ісік

Хирургиялық ем
Лазеркоагуляция
Криолечение
Сәулелік ем:
Брахитерапия
Протонотерапия
Сыртқы сәулелік терапия
Химиотерапия
Иммунотерапия
Емі

Папиллома - эпителийден туындаған, сүйелше ісіктер болып саналады.
Невус - немесе дәнекер қабықтың қалың пигментті аймағы, ісік мөлдір сұйығы бар көпіршік.
Липодермоид - немесе липома, көздің сыртқы және ішкі тік бұлшықеттері арасындағы орналасқан жұмсақ, сары түсті дәнекер қабықтың қатпары.
Гемангиома - көбінесе туа пайда болады, қою-қызыл түсті, домалық келген құрылым.

Дәнекер қабықтың қатерлі ісктері
Меланома - меланиннен тұратын ісік тегіс немесе кедір-бұдырлы, түсті кейде түссіз ісік, лимбке жақын немесе күмбез маңында орналасады. Бұл ісік басқа ағзаларға метастаз беретіндіктенқатерлі болып саналады.
- Іс жүргізу
- Автоматтандыру, Техника
- Алғашқы әскери дайындық
- Астрономия
- Ауыл шаруашылығы
- Банк ісі
- Бизнесті бағалау
- Биология
- Бухгалтерлік іс
- Валеология
- Ветеринария
- География
- Геология, Геофизика, Геодезия
- Дін
- Ет, сүт, шарап өнімдері
- Жалпы тарих
- Жер кадастрі, Жылжымайтын мүлік
- Журналистика
- Информатика
- Кеден ісі
- Маркетинг
- Математика, Геометрия
- Медицина
- Мемлекеттік басқару
- Менеджмент
- Мұнай, Газ
- Мұрағат ісі
- Мәдениеттану
- ОБЖ (Основы безопасности жизнедеятельности)
- Педагогика
- Полиграфия
- Психология
- Салық
- Саясаттану
- Сақтандыру
- Сертификаттау, стандарттау
- Социология, Демография
- Спорт
- Статистика
- Тілтану, Филология
- Тарихи тұлғалар
- Тау-кен ісі
- Транспорт
- Туризм
- Физика
- Философия
- Халықаралық қатынастар
- Химия
- Экология, Қоршаған ортаны қорғау
- Экономика
- Экономикалық география
- Электротехника
- Қазақстан тарихы
- Қаржы
- Құрылыс
- Құқық, Криминалистика
- Әдебиет
- Өнер, музыка
- Өнеркәсіп, Өндіріс
Қазақ тілінде жазылған рефераттар, курстық жұмыстар, дипломдық жұмыстар бойынша біздің қор #1 болып табылады.

Ақпарат
Қосымша
Email: info@stud.kz