Тіс қатты тіндерінің өлеттенуі



Организмнің микронутриенттермен қамтамасыз етілуі және оның тістің кариозды емес зақымдануының және пародонтоздың алдын алу.

Микронутриенттер
Олар үнемі азық-түлікпен қамтамасыз етілуі керек, өйткені. Адам ағзасы микроэлементтерді синтездемейді және оларды дайын түрде қабылдауы керек. Витаминдер қартаю процесін, жұқпалы ауруларды, ісіктердің пайда болуын болдырмайды және адам ағзасының иммундық қорғаныс функцияларын арттырады. Олар жаңа піскен өсімдіктерде - жемістерде, жидектер мен тамыр дақылдарында, мәдени және жабайы өсімдіктерде кездеседі.
Микронутриенттер-бұл дәрумендер мен минералдар. Микронутриенттер маңызды тағамдық заттарға жатады. Зат алмасуды қалыпты жүзеге асыру, ағзаның өсуі мен дамуы, аурулардан және қоршаған ортаның зиянды факторларынан қорғау, өмірдің барлық функцияларын сенімді қамтамасыз ету үшін қажет.

Энергия шығындары
Энергияны тұтыну келесі құрамдас бөліктерден тұрады: негізгі зат алмасу + жұмыста жұмсалатын энергия + бос уақытта жұмсалатын энергия + ас қорытуға кететін энергия. Диета келесі талаптарға сай болуы керек:
диетаның энергетикалық құндылығы организмнің энергия шығындарын жабуы керек;
2) тағамның тиісті химиялық құрамы - теңдестірілген тағамдық (қоректік) заттардың оңтайлы мөлшері болуы керек;
3) тағам жақсы сіңірілуі керек, бұл оның құрамына және дайындау әдісіне байланысты;
4) тағамның органолептикалық қасиеттері жоғары болуы керек - сыртқы түрі, құрылымы, дәмі, иісі, түсі, температурасы. Бұл қасиеттер адамның тәбетіне және тағамның сіңімділік дәрежесіне әсер етеді;
5) диета өнімдердің кең ассортиментін және оларды аспаздық өңдеудің әртүрлі әдістерін қамтуы керек;
6) диета толықтық сезімін тудыруы керек (тағамның құрамы, көлемі, пісіру) ;
7) санитарлық және эпидемияға қарсы зиянсыз болуы. Бұл азық-түлік қауіпсіздігіне кепілдік берілмейтін және тамақтан улану қаупі бар қазіргі заманғы «тағамдық қызмет көрсетудегі» маңызды факторлардың бірі.

Өнімдердегі дәрумендердің мөлшері айтарлықтай өзгеруі мүмкін:
Сүтті қайнатқанда оның құрамындағы витаминдердің мөлшері айтарлықтай азаяды.
Орташа алғанда, жылына 9 ай, еуропалықтар жылы жайларда немесе ұзақ сақтаудан кейін өсірілген көкөністерді жейді. Мұндай өнімдер ашық жердегі көкөністермен салыстырғанда дәрумендердің төмен деңгейіне ие.
Тоңазытқышта үш күн сақтағаннан кейін С витаминінің 30% жоғалады (бөлме температурасында бұл көрсеткіш 50% құрайды) .
Тамақты термиялық өңдеу кезінде 25% - дан 90-100% - ға дейін дәрумендер жоғалады.
Жарықта витаминдер жойылады (В2 дәрумені өте белсенді), А дәрумені ультракүлгін сәулелерге ұшырайды.
Қабығы жоқ көкөністерде дәрумендер аз болады.
Кептіру, мұздату, өңдеу, металл ыдыста сақтау, пастерлеу бастапқы өнімдердегі дәрумендердің мөлшерін азайтады.
Көкөністер мен жемістердегі дәрумендердің мөлшері әр түрлі мезгілде әр түрлі болады.

Тістің қатты тіндерінің тіс жегі емес ақауларының жүйесі. (Патрикеев 1968 ж )
Тістің қатты тіндерінің қалыптасу сатысында немесе тіс жарып шыққанға дейінгі пайда болған бұзылыстар:
Тіс кіреукесінің гипоплазиясы
Тіс кіреукесінің гиперплазиясы
Тістің флюорозы
Тіс тіндері дамуының тұқым қуалайтын бұзылыстары
Тіс тіндері дамуының және жарып шығу аномалиялары

Тістің қатты тіндерінің тіс жегі емес ақауларының жүйесі. (Патрикеев 1968 ж )
II. Тістің қатты тіндерінің тіс жарып шыққаннан кейінгі пайда болған бұзылыстар:
Тістердің пигментациясы мен қақтары.
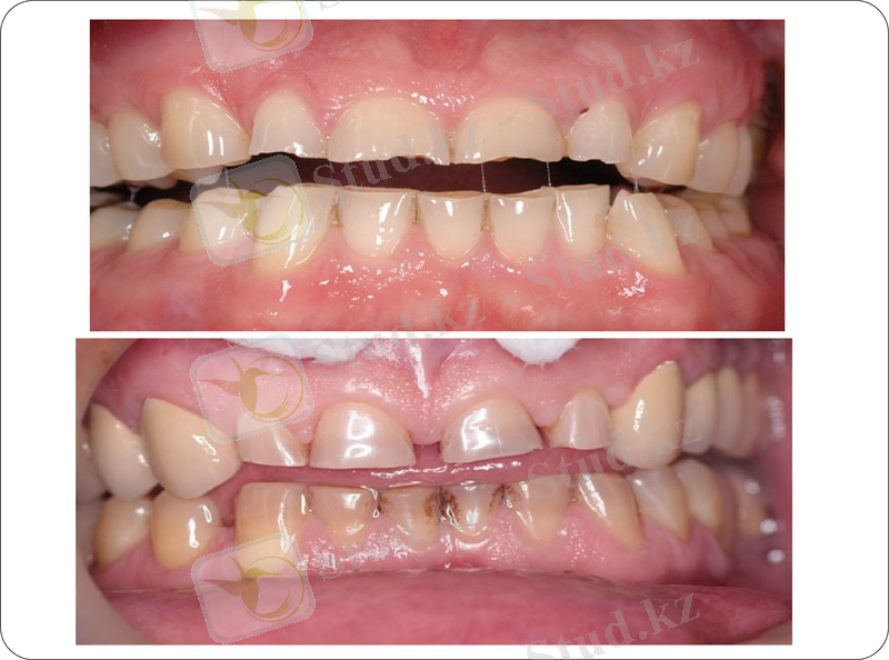
Тістердің патологиялық қажалуы.
Тістердің сына тәріздес ақауы.
Тістердің эрозиясы.
Тіс қатты тіндерінің өлеттенуі.
Тіс жарақаты.
Тіс гиперэстезиясы.

ГИПОПЛАЗИЯ
Тістің қатты тіндерінің дамымай қалуы. Сүт тістерде сирек кездеседі, көбінесе жүкті ана организмінде зат алмасуының бұзылуы салдарынан болады. Бір кейде екі тіс дамуындағы өзгерістермен сипатталады.
Түрлері:
1.
Сүт тістерде
Тұрақты тістерде
2.
Агапов бойынша
Дақты
толқынды
Тостаған
Сайлы
Пішіні өзгерген тістер( гетчинсон, фурнье, пфлюгер. )
3.
Жергілікті
Жүйелі
Тетрациклинді тістер

СЕБЕПТЕРІ:
Сүт тістерінде:
Екіқабат әйелдің организміндегі әртүрлі зат алмасу үрдісінің бұзылуы;
Жұқпалы аурулар;
Токсикоз;
Тұрақты тістерде:
Рахит ;
Тетания
Жұқпалы аурулар;
Асқорыту жолдары
Эндокриндік жүйе;
Алиментарлық дистрофия;
Мидағы функционалдық өзгерістер;

ЕМІ
Эстетикалық және психологиялық маңызы зор. Косметикалық ыңғайсыздық тудыратынақаулар болса, композиттік пломбылық материалдардың көмегімен олардың бетін жабу немсе ақауларды толтыру арқылы тіс сауытын өалпына келтіру.




ФЛЮОРОЗДЫҢ ПАТОМАРФОЛОГИЯСЫ
Флюороз-құрамында фтордың мөлшері көп суды пайдалану нәтижесінде организмнің фтормен созылмалы уыттануынан туындаған эндемиялық ауру.
Жолақты немесе штрихті формасы
Дақты
Бордақты-шұбар
Эрозиялы
Деструкциялаушы


Сына тәріздес ақаудың патомарфологиясы.
Сына тәріздес ақау жоғарғы және төменгі тістердің мойын аймағында, ұрт және еріндік бетінде болады. Ақаудың қабырғасы нығыз, жылтыр, тегіс болады.
Себептері:
Мәсуекпен тіс тазалау кезіндегі механикалық әсер;
Ас қабылдау кезінде түзілетін қышқылдың әсері;


Сынаға ұқсас ақауды емдеу
Қатты тіндерінің төзімділігін күшейтетін дәрілік препараттар:
Кальций глюканатының 10% ерітіндісі;
Фторлы натрийдің 2 % ерітіндісі
75 % фторлы қойыртпақ

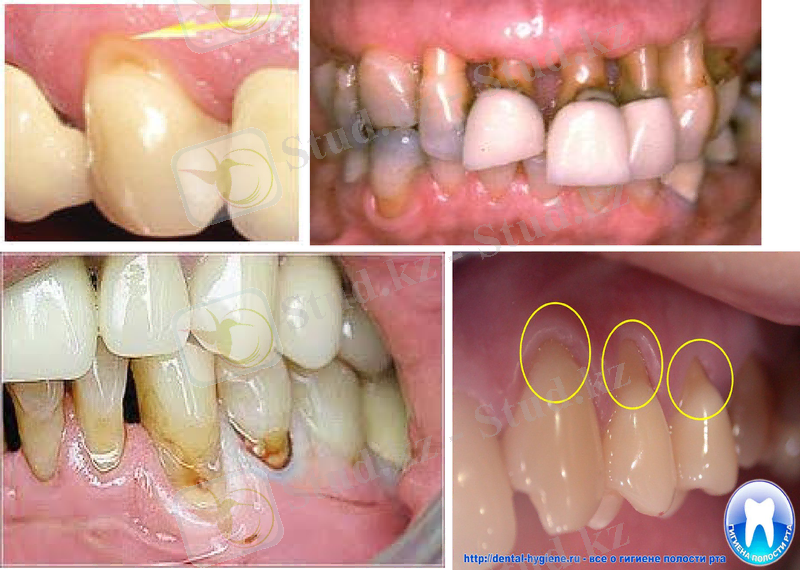
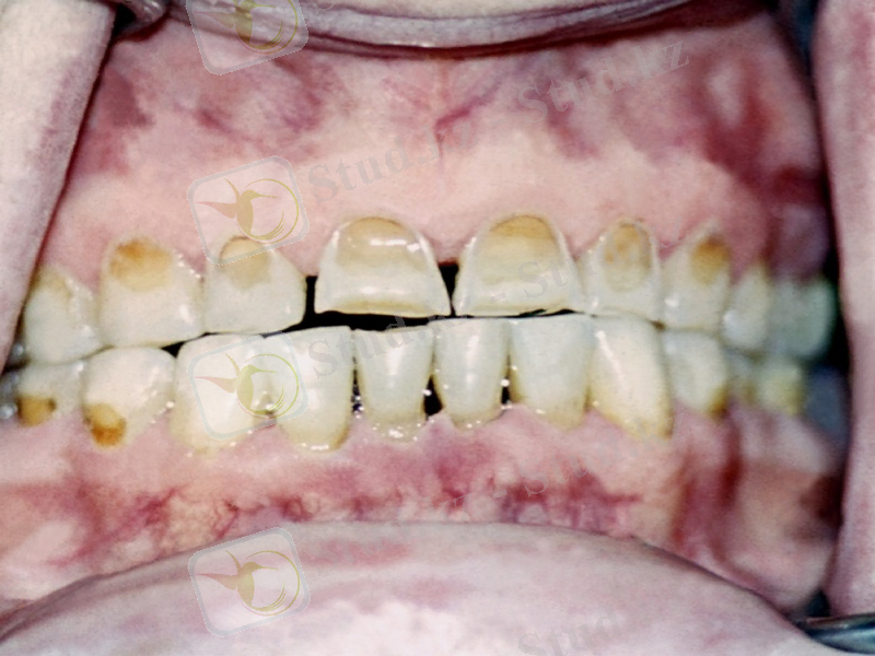
Тістер эрозиясы
Тістер эрозиясы деп тістердің қатты тіндерінің белгілі бір себепсіз жойылуымен сипатталады.
Тереңдігіне байланысты:
Бастапқы сатысы-кіреукенің жоғарғы қабаттарының жойылуы;
Орта сатысы-кіреукенің кіреуке-дентин шекарасына дейін;
Терең сатысы-дентиннің жоғарғы қабаттарының қоса жарақаты.

Кіреуке эрозиясының патомарфологиясы.
Кіреуке эрозияның шекарасы микроскопиялық зерттеуде беткей қабатында анықталады.
Поляризациялық микроскопия кезінде тістің беткі қабатында қарайған сызаттар көрінеді. Осы қабаттың астында кариестік өзгерістер жоқ.


Кіреуке қажалуының патоморфологиясы.
Тістің қатты тіндерінің тамақ шайнау нәтижесінде қажалуы немесе физиологиялық қажалу. Тіндердің жедел жойлуымен сипатталатын патологиялық қажалу.
Себептері:
Патологиялық тістем ;
Кейбір тістерге шайнау күшінің көп түсуі;
Биік қойылған пломбылар;
Сапасыз дайындалған протездер;
Грошиков бойынша:


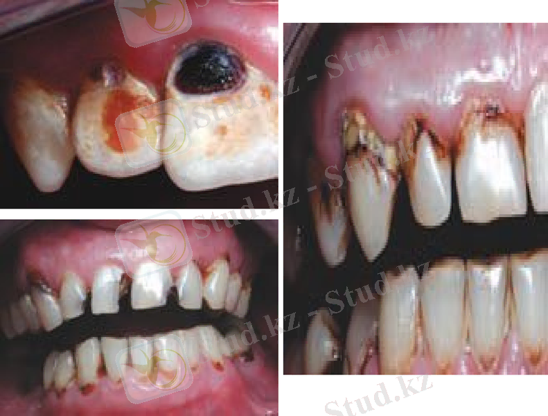
Тістің қатты тіндерінің өліеттенуі
Кіреукенің жылтырлығы жойылып, ошақ ортасында тіндер жұмсарып, ақау пайда болады. Кіреуке өте нәзік сынғыш болып келеді.
Тістердің қышқылдардың ісерінен некроздануы;
Жарақаттаушы әсерлерден зақымдануы;
Тістердің жедел зақымдануы;
Тістің жаншылуы;
Тістің орнынан таюы;
Тістің сынуы;

Кіреуке некрозы


Тістер дамуының тұқым қуалайтын ауытқулары.
Бұл аурулардың негізгі этиологиялық факторы - мутация болып табылады. Виноградова 1987 мына жіктелуді ұсынады:
Стейнтон- Капдепон синдромы-біруақытта эмаль мен дентиннің аутосомды -доминантты типте тұқым қуалайтын бұзылысы.
Толық қалыптаспаған гипопластикалық амелогенез-х хромасомамен жабысқан,
Толық қалыптаспаған гипопластикалық дентиногенез-рецессивті тұқым қуалау.

Стейнтон- Капдепон синдромы.
Тістердің түсі қоңыр- сары, эмалі болмайды, тістер тез қажалады, дентин мөлдір болып, ар шетінен ұлпа көрініп тұрады. тіс түбірлері қысқа, жіңішке болады, тістерде тісжегі болмаса да периапикальді аймақта сүйек тіндерінің сорылуы байқалады. Науқастарда жоғары сезімталдық болмайды, бірақ шайнағанда қызылиек емізікшелері зақымдалады. Тістер тез қажалатындықтан тістердің сауыт бөлігің ұзындығы 1-2 мм-ге қысқарып кетеді. Тістердің жарып шығу мерзімі кешігеді, бірақ жақ сүйектері қалыпты болады.

Эмаль түзілуінің тұқым қуалайтын ауруы болып табылады. Бұл ауру уақытша тістермен қатар тұрақты тістерді де зақымдап, олардың құрылымын, минерализациясын бұзады. Тіс түсі өзгеріп, тіс тінінің жартылай немесе толық жоғалуына әкеледі.

Дентиннің толық жетілмеуімен сипатталатын, тұқым қуалайтын ауру. Оған тән: тіс түбірлерінің толық қалыптаспауы, қысқа түбірлер, не түбірдің мүлдем болмауы. Бірақ тіс сауыты қалыпта болуы мүмкін. Тіс өзегі болмауы мүмкін. Тістің периапикальді аумағында сүйек түзілу процесінің бұзылуы есебінен кистозды өзгерістер болуы мүмкін.

Пародонт ауруы-бұл дистрофиялық процестермен сипатталатын барлық пародонт тіндерінің жалпы зақымдануы. Периодонтальды аурудың дамуының мәні пародонт тіндерінің қоректенуінің бұзылуы, ақуыздардың, минералды тұздардың алмасуы, олардың өсуі мен жаңаруының кешігуі болып табылады. Науқастар қызыл иектің ауырсынуына, күйдіруге, қышынуға, тістерін тазалағанда және тамақ ішкенде қан кетуге, ауыздан жағымсыз иіске, тіс түбірлерінің ашылуына (сүйек резорбциясы жәнесағызды азайту) . Тістер тән көрініске ие болады - олар байламдық аппараттың бұзылуына байланысты желдеткіш тәрізді бөлінеді.

Қызыл иектің кез келген өзгерістерге мұқият болу.
Кәсіби мамандардың жеке гигиена құралдарын таңдауы.
Протездеу.
Шиналау.
- Іс жүргізу
- Автоматтандыру, Техника
- Алғашқы әскери дайындық
- Астрономия
- Ауыл шаруашылығы
- Банк ісі
- Бизнесті бағалау
- Биология
- Бухгалтерлік іс
- Валеология
- Ветеринария
- География
- Геология, Геофизика, Геодезия
- Дін
- Ет, сүт, шарап өнімдері
- Жалпы тарих
- Жер кадастрі, Жылжымайтын мүлік
- Журналистика
- Информатика
- Кеден ісі
- Маркетинг
- Математика, Геометрия
- Медицина
- Мемлекеттік басқару
- Менеджмент
- Мұнай, Газ
- Мұрағат ісі
- Мәдениеттану
- ОБЖ (Основы безопасности жизнедеятельности)
- Педагогика
- Полиграфия
- Психология
- Салық
- Саясаттану
- Сақтандыру
- Сертификаттау, стандарттау
- Социология, Демография
- Спорт
- Статистика
- Тілтану, Филология
- Тарихи тұлғалар
- Тау-кен ісі
- Транспорт
- Туризм
- Физика
- Философия
- Халықаралық қатынастар
- Химия
- Экология, Қоршаған ортаны қорғау
- Экономика
- Экономикалық география
- Электротехника
- Қазақстан тарихы
- Қаржы
- Құрылыс
- Құқық, Криминалистика
- Әдебиет
- Өнер, музыка
- Өнеркәсіп, Өндіріс
Қазақ тілінде жазылған рефераттар, курстық жұмыстар, дипломдық жұмыстар бойынша біздің қор #1 болып табылады.

Ақпарат
Қосымша
Email: info@stud.kz