Плевра синусы



СӨЖ
Тақырыбы: Плевра. Плевра синусы
Алматы 2023
Орындаған:Жантореева Жанерке
Факультет:Қоғамдық денсаулық сақтау
Курс: 1
Тобы: 101 а
Тексерген: Жунусова А. Ж

Жоспар:
КІРІСПЕ
НЕГІЗГІ
Плевра туралы түсінік;
Плеврит туралы түсінік;
Пайда болу себептері;
Профилактикасы;
Емі;

Кіріспе
Плевра - өкпелерді қаптап тұратын шырышты қабықша болып табылады және кеуде қуысының қабырғаларын төсеп тұрады. Плевра жапырақшалары (париетальды, висцеральды) арасында қалыпты жағдайда 20-25 мл. сұйықтық болады.


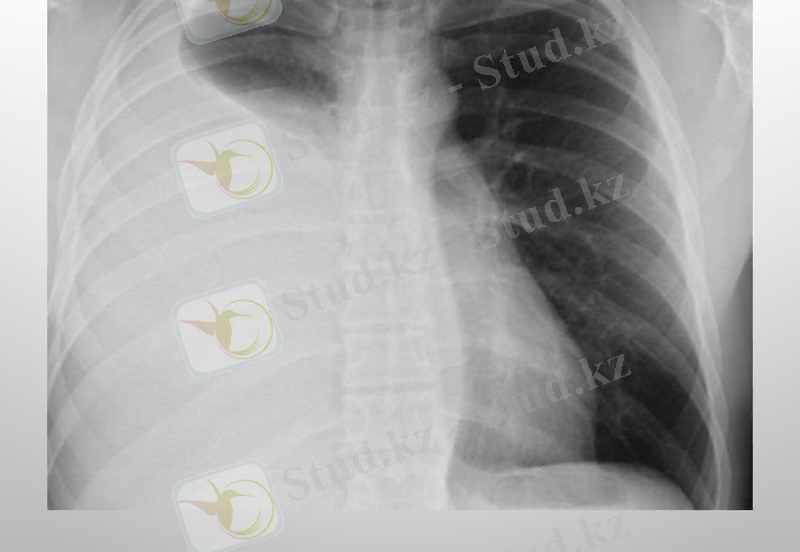
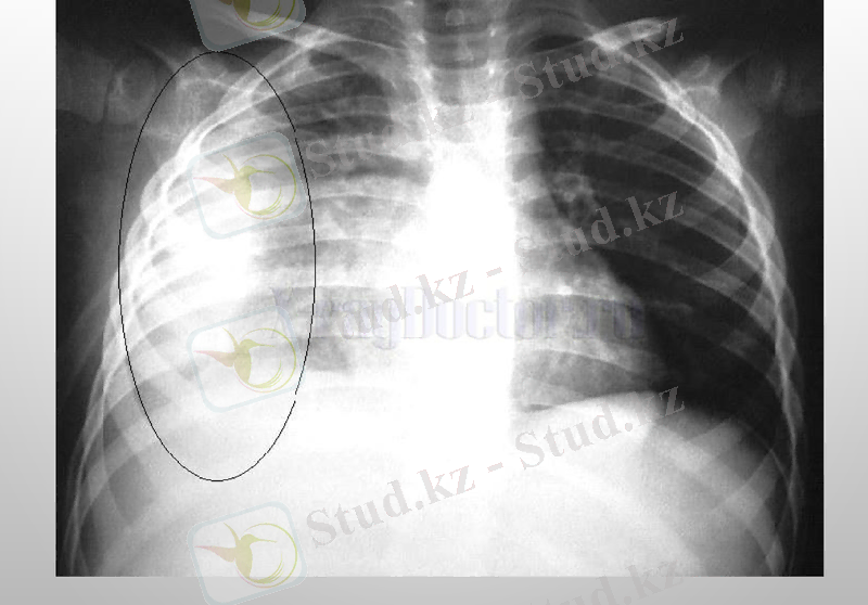
Плеврит - плевра қуысында сұйықтықтың жиналуы. Плевра - көкіректің ішкі бетін астарлап жататын сірі қабық.


Плевриттің пайда болуына өкпе қабынуының және лимфа бездерінің асқынуы, ревматизм, әр түрлі ісік және аллергиялық аурулар немесе көкірек қуысының жарақаттары әсер етеді. Плевриттің жұқпалы түрінің қоздырғыштары: стафилококк, пневмококк, туберкулез таяқшалары, эхинококк, т. б.




Плевритті шартты түрде құрғақ (фибринозды) және іріңдік (экссудативті) деп бөледі. Құрғақ Плеврит кезінде сірлі қабық ісініп, қалыңдайды да қабыну процесі басталады. Ал іріңдік Плевритте плевра қуысы қан, ірің аралас сұйықтыққа толып кетеді. Адамда туберкулезді Плеврит жиі кездеседі. Плевриттің бұл түрі өкпеде немесе лимфа түйіндерінде басталып, кейін өкпені түгел қабындырады. Науқастың дене қызуы көтеріліп, құрғақ жөтел пайда болады.

Аурудың өтуіне қарай жедел және созылмалы түрлерге ажыратылады. Жедел Плеврит кезінде адам дел-салданып, әлі кетеді, тыныс алғанда кеудесі шаншиды, ентігеді, жөтеледі, қанның құрамы өзгереді. Кей жағдайда сірлі қабықта пайда болған ірің бір жерге жиналып, сырты қабықпен қапталады да, сау тіннен оқшауланады. Бұл кезде ауру ұзаққа созылуы мүмкін.





Плевриттің диагностикасында рентгенография рентгеноскопии кеуде жасушаларының, плевральді қуыста УЗИ, плевральді пункции, диагностикалық торакоскопия жасалынады.


Туберкулезді плеврит


Емі: алдымен аурудың этиологиясын анықтау керек. Соған байланысты антибиотиктер беріледі. Сондай-ақ, плевра қуысына жиналған сұйықтықты сорып алады. [1]

Қолданылған Әдебиеттер
Б. Н. Айтымбет (Ішкі ағза ауруларының пропедевтикасы) 2005
http://www. krasotaimedicina. ru/diseases//pleurisy
http://kazorta. org/plevrit-auruy-keude-astaryny-abynuy/

Көңіл қойып тыңдағандарыңыз үшін рахмет!
- Іс жүргізу
- Автоматтандыру, Техника
- Алғашқы әскери дайындық
- Астрономия
- Ауыл шаруашылығы
- Банк ісі
- Бизнесті бағалау
- Биология
- Бухгалтерлік іс
- Валеология
- Ветеринария
- География
- Геология, Геофизика, Геодезия
- Дін
- Ет, сүт, шарап өнімдері
- Жалпы тарих
- Жер кадастрі, Жылжымайтын мүлік
- Журналистика
- Информатика
- Кеден ісі
- Маркетинг
- Математика, Геометрия
- Медицина
- Мемлекеттік басқару
- Менеджмент
- Мұнай, Газ
- Мұрағат ісі
- Мәдениеттану
- ОБЖ (Основы безопасности жизнедеятельности)
- Педагогика
- Полиграфия
- Психология
- Салық
- Саясаттану
- Сақтандыру
- Сертификаттау, стандарттау
- Социология, Демография
- Спорт
- Статистика
- Тілтану, Филология
- Тарихи тұлғалар
- Тау-кен ісі
- Транспорт
- Туризм
- Физика
- Философия
- Халықаралық қатынастар
- Химия
- Экология, Қоршаған ортаны қорғау
- Экономика
- Экономикалық география
- Электротехника
- Қазақстан тарихы
- Қаржы
- Құрылыс
- Құқық, Криминалистика
- Әдебиет
- Өнер, музыка
- Өнеркәсіп, Өндіріс
Қазақ тілінде жазылған рефераттар, курстық жұмыстар, дипломдық жұмыстар бойынша біздің қор #1 болып табылады.

Ақпарат
Қосымша
Email: info@stud.kz