Қан ұлпасы



Гистология пәні, биологиялық ғылымдар арасындағы орны, проблемалары, маңызы

Жоспар:
Гистология ғылымы, пәні
Ұлпалар типі
Ұлпалар типіне сипаттама
Онтогенезде және филогенезде ұлпалардың пайда болуы
01
02
03
04

Гистология
Гистология - (грек. hіstos - ұлпа және logos - ілім) - тірі ағзалардың (адам, жануар және басқа да көпжасушалы ағзалардың) ұлпаларын, олардың түзілуін, құрылымын, қызметін және өзара әрекеттесуін зерттейтін ғылым;

А. А. Заварзин барлық ұлпаларды 4 негізгі типке бөлді: шекаралық (эпителиалды), ішкі ортаның ұлпалары (қан, интерстициалды және қаңқа ұлпалары), бұлшық ет және нерв ұлпалары.


Гистологияның міндеті
Гистология
Ұлпа эволюциясын анықтау, оның организмде дамуын (гистогенез), хим. қасиеттерін (гистохимия), жасушаларының құрылысын, атқаратын қызметін (гистофизиология) зерттеу.
Жеке ғылым саласы болып Гистология 19 ғ-дың басында микроскоппен зерттеудің дамуына байланысты қалыптасты.
Жалпы Гистология - ұлпаның дамуын, құрылысын және атқаратын қызметін зерттесе, жеке Гистология - адам және көп жасушалы жануарлар органдарының микроскопиялық құрылымын зерттейді. Кейде мұны «микроскопиялық анатомия» деп те атайды.
01
02
03

«Гистология» терминін ғылымға неміс ғалымы К. Майер енгізген (1819ж. ) .
1930-1960 ж. омыртқалы жануарлардың ұлпалары, олардың құрылымындағы ерекшеліктер, ұлпа филогенезі мен ұлпа айналасындағы жағдайларға байланысты зерттелді.
1970 жылдан бері кейбір жалпақ құрттар мен жұмыр құрттардың жүйке жүйесі, ас қорыту мүшелері, сондай-ақ, малдың еті мен өкпесі, жүрегі мен қан тамырлары, терісі гистология тұрғыдан айқындалды.

ЭПИТЕЛИЙ ҰЛПАСЫ
организмді сыртқы жағынан қаптап, ішкі мүшелердін кілегейлі және сірлі қабықтарын астарлайтын және әртүрлі бездер паренхимасын түзетін ұлпа.


Жабынды және безді болып екіге бөлінеді.
Жабынды эпителий
Жабынды эпителий ұлпасы организмді қаптап, оның ішкі ортасын қоршаған сыртқы ортадан бөліп тұрады. Шырышты және серозды қабықшаларды ішінен астарлап жатады. Организммен сыртұы ортаның арасындағы зат алмасуға қатысады.
Безді эпителий ұлпасы
Безді эпителий ұлпасы - организмде өздерінен арнайы бөліңділер бөлетін бездер паренхимасын құрайды.
Бездер: экзокринді және эндокринді болып бөлінеді.
Ұйқы безі белоктар, көмірсулар, майларды аш ішекті қорытуға қатысады.

Эпителий ұлпаларының ерекшеліктері
Эпителий - шекаралық ұлпа, организмнің ішкі ортасын сыртқы ортадан бөліп тұрады.
Эпителий клеткалары бір тұтас қабаттарды құрап, дәнекер ұлпаларын сыртынан берік сақтап тұрады.
Эпителийдің негізігі көлемін клеткалар құрайды. Клеткаралық зат өте аз. Тығыз
Эпителий сыртқы ортадан басқа ұлпаларды сақтап, өзі жиі зақымданады. Регенерация жақсы дамыған.
Эпителий клеткалары полярлы. 2 полюсі: апикальді және базальді
Эпителий базальды мембранада жатады. Эпителийдің қоректенуі базальді мембарана арқылы диффузды түрде жүреді. Қан, лимфа тамырлары болмайды.


Ішкі орта ұлпалары.
Организмнің ішінде жататын және сыртқы ортамен қарым қатынаста болмайтын ұлпалар тобы.
Сыртқы ортадан эпителий бөліп тұрады.
Олар:
Қан, лимфа
Дәнекер ұлпасы

Ішкі орта ұлпаларының негізгі қызметтері:
1
Торфикалық;
2
Тірек;
3
Қорғаныс;
4
Ішкі ортаның гомеостазын сақтау;
5
Пластикалық (регенрация процестеріне қатысу)

Қан ұлпасы
Адам және жануарлардың қан айналым жүйесіндегі ішкі ортаның ұлпасы
Ол плазмалеммадан және қан клеткаларынан тұрады.
Плазма - сұйық клеткааралық зат
90-93% - су
7-10% - құрғақ зат
6, 6-8, 5% - белок
1, 5-3, 5% - органикалық және минералды қосындылар
Плазма белоктары: альбумин, глобулин, фибриноген және ферменттер.

Қан ұлпасының қызметтері:
Тасымалдаушы
Гомеостатикалық
Қорғаныс
1
2
3
(тыныс алу, қоректік гормондарды тасымалдау)
(ішкі ортаның тұрақтылығын сақтау)
(гуморальды және клеткалық иммунитет, фагоцитоз

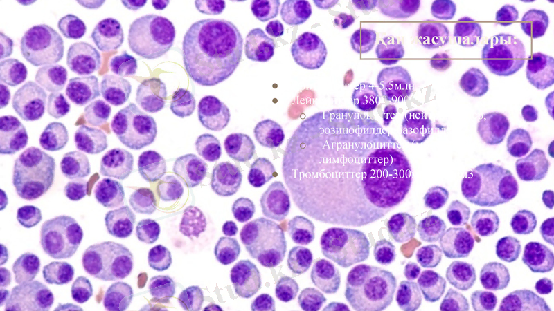
Қан жасушалары:
Эритроциттер 4-5, 5млн - 1мм3
Лейкоциттер 3800-9000 - 1мм3
Гранулоциттер (нейтрофилдер, эозинофилдер, базофилдер)
Агранулоциттер (моноциттер, лимфоциттер)
Тромбоциттер 200-300мың - 1мм3


Бұлшықет ұлпасы
Бұлшықет тіндері құрылысы мен шығу тегі әртүрлі болғанымен атқаратын қызметі ұқсас.
Дененің орын ауыстыру, жүректің соғуы, қан лимфаның жылжуы, асқазан, ішек бойымен тағамның жылжуы, несептің шығуы, жатырдың жиырылуы (босану) т. б. қозғалыс-қимылдарға қатысып, ағзадағы жиырылғыш қызмет атқаратын ет тіндері.
Ет тіндерінің морфологиялық ерекшеліктеріне құрамындағы жасушалары - миоциттері мен талшықтарының ұзынша пішіні, бұлардың құрамындағы арнайы органелларлары, миофибриллалары мен миофиламенттері жатады.
Сонымен қатар, ет тіндерінің миоциттері мен мисимпласттарының цитоплазмасында жасуша қосындыларынан гликоген, миоглобин мен липидтер, жиырылғыштық қызметке энергия қоры болып табылатын митохондриялары өте көп.
Арнайы жиырылғыш элементтерінің (миофиламенттері мен миофибриллаларында) құрамында кальций ионының қатысуымен өзара әрекеттесетін актин және миозин белоктары немесе миофаламенттері бар.

Бұлшық ет ұлпасы
Морфофункционалды классификациясы
Гистогенетикалық классификациясы
Көлденең жолақты бұлшықет
Бірыңғай салалы бұлшықет
Мезенхималық
Эпидермальды
Нейральді
Целомды
Соматикалық

Көлденең жолақты бұлшықет
Көлденең жолақты ет тіндеріне қаңқалық ет тінімен жүректің миокардысы (ет қабығы) жатады.

Қаңқалық бұлшықет тіні
Қаңқалық бұлшықеттің құрамындағы бірлігі ет талшықтары болып саналады.
Ет талшықтарының сырты базальді мембранамен қоршалған құрамында миосимпласт пен миосателлиттері бар құрылым.
Ет талшықтарының ұзындығы сантиметрден 50-100 мкм болады.
Миосимпласттың құрамында көптеген сопақша келген ядролары болады, олар саколемманың астында орналасады.
Мифибриллалары миосимпласттың бойында ұзынша созылып орналасады.
Саркомер - миофибриллалардың құрылыс-қызметін атқаратын бірлігі болып саналады.
Миосателлитоциттер - аз дифференцияланған жасушалар ет тінінің регенерациясына қатысады. Олар мисимпласттың сыртындағы базальды мембрана мен сарколемманың арасында орналасады.

Жүректің көлденең жолақты тіні
Жүректің көлденең жолақты тіні немесе ет қабығы - миокард. Шығу тегі спланхнотомның висцеральді жапырақшасынан - миоэпикардиальды пластинкадан дамыған.
Жүректің миокардындағы жасушалар - кардиомиоциттер.
Даму барысында кардиомиоциттердің бірнеше түрін ажыратады.
Жиырылғыш
Өткізгіш
Аралық
Секреторлық

Біріңғай салалы бұлшықет
Миоциттердің ұзындығы 20-500 мкм, ал ені 5-8 мкм, жіп тәрізді жасушалар.
Ядросы тақша пішіндес болып келген миоцит жиырылған кезде бұл пішіні өзгеріп, майысып, бұралып та кетеді.
Органеллаларынан ең көбі митохондриялар, ал Гольджи комплексі мен түйіршікті ЭПТ аз болғанымен, рибосомдар бос орналасады.
Актин филаменттері көбінесе миоциттердің цитоплазмасында ұзыннан орналсып плазмолеммаға арнайы тығыз денешіктер арқылы байланысады. Миозин мономерлері актинмен қосақтаса орналасады.
Миоциттер бір-бірімен нексустер арқылы байланысады. Әрбір миоциттердің сыртын немесе тобының эластинді, ретикулярлы талшықтар торы орналасып, жалпы тіндік комплексті түзеді.
Тегіс салалы ет тіндері мезенхималық, эпидермальды, нейральды болып бөлінеді

Онтогенез бен филогенездегі ұлпаның пайда болуы
Онтогенезде тіндердің дамуының келесі кезеңдері бөлінеді:
Жалпы гистология |
Дәнекер ұлпасы |
Тіректі-қоректі ұлпалар |
Бұлшықет ұлпалары |
Сүйек ұлпасы |
ДӘНЕКЕР ҰЛПАЛАР |
Шеміршек ұлпасы |
Бұлшықет ұлпасы |
Ағзаның құрылымдары |
Эпителий ұлпасы |
- Іс жүргізу
- Автоматтандыру, Техника
- Алғашқы әскери дайындық
- Астрономия
- Ауыл шаруашылығы
- Банк ісі
- Бизнесті бағалау
- Биология
- Бухгалтерлік іс
- Валеология
- Ветеринария
- География
- Геология, Геофизика, Геодезия
- Дін
- Ет, сүт, шарап өнімдері
- Жалпы тарих
- Жер кадастрі, Жылжымайтын мүлік
- Журналистика
- Информатика
- Кеден ісі
- Маркетинг
- Математика, Геометрия
- Медицина
- Мемлекеттік басқару
- Менеджмент
- Мұнай, Газ
- Мұрағат ісі
- Мәдениеттану
- ОБЖ (Основы безопасности жизнедеятельности)
- Педагогика
- Полиграфия
- Психология
- Салық
- Саясаттану
- Сақтандыру
- Сертификаттау, стандарттау
- Социология, Демография
- Спорт
- Статистика
- Тілтану, Филология
- Тарихи тұлғалар
- Тау-кен ісі
- Транспорт
- Туризм
- Физика
- Философия
- Халықаралық қатынастар
- Химия
- Экология, Қоршаған ортаны қорғау
- Экономика
- Экономикалық география
- Электротехника
- Қазақстан тарихы
- Қаржы
- Құрылыс
- Құқық, Криминалистика
- Әдебиет
- Өнер, музыка
- Өнеркәсіп, Өндіріс
Қазақ тілінде жазылған рефераттар, курстық жұмыстар, дипломдық жұмыстар бойынша біздің қор #1 болып табылады.

Ақпарат
Қосымша
Email: info@stud.kz