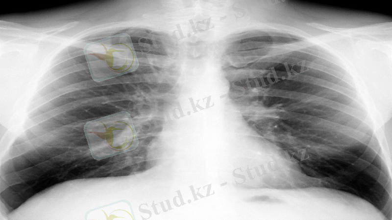
Рентгенография кезінде оларға перпендикуляр және қиғаш сәулелену бағытындағы қалыпты плевраның жұқа жапырақшалары ешқандай көлеңке



Жоспары

КІРІСПЕ
Плевра аурулары жалпы тәжірибеде жиі кездеседі және өкпеге, кеуде қабырғасына, сондай-ақ жүйелік ауруларға әсер ететін негізгі патологиялық жағдайлардың кең ауқымын көрсете алады. Олардың ең көп таралған көрінісі плевра эффузиясының пайда болуында және мұндай науқастардың басым көпшілігінде рентгендік растау және одан әрі тексеру қажет.
Экссудативті плеврит

Қалыпты плевраның көріністері
Рентгенография кезінде оларға перпендикуляр және қиғаш сәулелену бағытындағы қалыпты плевраның жұқа жапырақшалары ешқандай көлеңке қалдырмайды. Егер плевраның аймақтары сәулелер бойымен едәуір қашықтықта орналасса, онда олар сызықты (жіп тәрізді немесе шаш тәрізді) тығыз көлеңкелер құра алады. Мұндай көлеңкелер көбінесе кеуде қуысының бүйір рентгенограммаларында, көбінесе түзу сызықтарда ортоградтық орналасу учаскелерін анықтайды.

Аралық саңылаулардың кеңістіктік орналасуы

Оң жақтағы аралық саңылаулардың кеңістіктік орналасуы

Сол жақтағы аралық саңылаулардың кеңістіктік орналасуы

Өкпенің қосымша үлестері


Плевра синустары

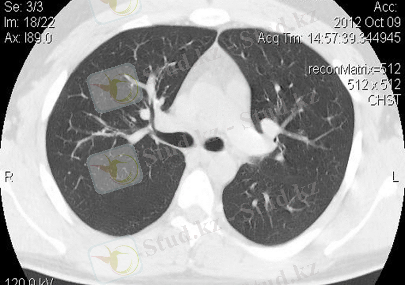
Бөлікаралық плевраның КТ суреті
КТ әр өкпедегі өкпе лобтарын бейнелей алады. Бірақ 10 мм қалыңдықтағы кесіндіде қиғаш орналасуына байланысты бөлікаралық жарықтар көрінбейді. Олардың орналасуын жанама белгілермен анықтауға болады, ені 20-30 мм кеңістіктерде үлкен тамырлар жоқ.

РЕНТГЕН ТҮТІГІ |
ПЛЕВРАНЫҢ ҚАБЫНУЫ |
Микоплазмалы пневмония |
РАДИАЦИЯЛЫҚ ҚАУІПСІЗДІК НОРМАЛАРЫ |
Рентгендік сәулелену |
ЖАРЫҚ ҚЫСЫМЫ |
Операциялық блок |
ӨНДІРІСТІК ЖАРЫҚ |
Рентген сәулесі |
Аурудың анамнезі |
- Іс жүргізу
- Автоматтандыру, Техника
- Алғашқы әскери дайындық
- Астрономия
- Ауыл шаруашылығы
- Банк ісі
- Бизнесті бағалау
- Биология
- Бухгалтерлік іс
- Валеология
- Ветеринария
- География
- Геология, Геофизика, Геодезия
- Дін
- Ет, сүт, шарап өнімдері
- Жалпы тарих
- Жер кадастрі, Жылжымайтын мүлік
- Журналистика
- Информатика
- Кеден ісі
- Маркетинг
- Математика, Геометрия
- Медицина
- Мемлекеттік басқару
- Менеджмент
- Мұнай, Газ
- Мұрағат ісі
- Мәдениеттану
- ОБЖ (Основы безопасности жизнедеятельности)
- Педагогика
- Полиграфия
- Психология
- Салық
- Саясаттану
- Сақтандыру
- Сертификаттау, стандарттау
- Социология, Демография
- Спорт
- Статистика
- Тілтану, Филология
- Тарихи тұлғалар
- Тау-кен ісі
- Транспорт
- Туризм
- Физика
- Философия
- Халықаралық қатынастар
- Химия
- Экология, Қоршаған ортаны қорғау
- Экономика
- Экономикалық география
- Электротехника
- Қазақстан тарихы
- Қаржы
- Құрылыс
- Құқық, Криминалистика
- Әдебиет
- Өнер, музыка
- Өнеркәсіп, Өндіріс
Қазақ тілінде жазылған рефераттар, курстық жұмыстар, дипломдық жұмыстар бойынша біздің қор #1 болып табылады.

Ақпарат
Қосымша
Email: info@stud.kz