Экологиялық факторлардың балықтарға әсері


Реферат.
Бұл жұмыстың тақырыбы «Экологиялық жағдайлардың кейбір балықтардың бауырына тигізетін әсері». Жұмыста екі биотоптан алынған бұзаубас балықтың, майшабақтың, килька майшабағының бауырларына гистологиялық зерттеулер жүргізілген. Зерттеулер барысында атап айтқан балықтардың бауырларында көптеген морфологиялық өзгерістер байқалған. Бітіру жұмысы 32 беттен тұрады, ішінде 23 микросуреттер бар.
Кілттік сөздер: Купфер клеткалары, некроз, пролиферация, периваскулярлы ісіну, гепатопанкреас, қабыну инфильтраттары.
Жұмыстың мақсаты: Каспий теңзінің екі ауданынан алынған үш түрлі балықтың (бұзаубас балық, майшабақ, килька майшабағы) бауырын гистологиялық әдіспен зерттеп, экологиялық жағдайлардың әсерінен қандай патоморфологиялық өзгерістердің болуын анықтау.
Кіріспе.
Кез келген тірі организм өзін айнала қоршаған табиғи ортамен тығыз байланыста ғана өмір сүре алады. Олар - топырақ, су, минералды заттар, жер бедері және атмосфералық әр түрлі құбылыстар. Табиғи ортаның компоненттері тірі организмдерге оң немесе теріс әсер етуі мүмкін. Сондықтан әрбір организмнің өзіне ғана колайлы ортасы немесе мекені болуы тиіс.
Қазіргі кезеңдегі шиеленісіп отырған экологиялық мәселелерге байланысты табиғи ортаның сапасын жақсарту өзекті мәселе болып отыр. Табиғат ресурстарын барыншы пайдалану оның қорларын азайтумен қатар, сапалық күйін де нашарлата түсті. Жер шарының кейбір аймақтарында қайтымсыз табиғат өзгерістері мен апаттар болуда. Оған топырақтың құнарсыздануына байланысты ауыл шаруашылығы өнімдерінің төмендеуін, шөлге айналған экожүйелерді, климаттағы өзгерістерді, фауна мен флораның азаюын және басқа да көптеген табиғат факторларын мысал ретінде келтіруге болады. Өнеркәсіптің қарқынды дамуы мен адам іс-әрекетінің нәтижесінде қоршаған табиғи ортаның тепе-теңдігі бұзылуда. Табиғатқа қатты, сұйық, синтетикалық, газ күйінде заттар шығарылып, су, ауа, топырақ сапасын төмендетті.
Аса қауіп төндіретін мәселелердің бірі - теңіздер мен мұхиттардың мұнаймен ластануы. Біздің республикамызда Каспий теңізінің көтерілуінен мұнай қоймалары мен мұнай ұңғымалары су астында қалып, балықтар, теңіз жануарлары мен құстарын көп шығынға ұшыратуда. Балықтар - сулы ортада тіршілік етуге бейімделген төменгі сатыдағы омыртқалы жануарлар. Бұл тақырыптың өзектілігі - балықтар бауырына гистологиялық зерттеу жүргізіп, онда экологиялық жағдайлар әсерінен қандай патологиялық өзгерістердің болуын анықтау және олардың болмауы үшін қандай шараларды қолдану керек екендігін айту.
1. Әдебиеттерге шолу
1. 1. Балықтар - табиғи биоиндикаторлар.
Республикамыздың қоршаған ортасының, әсіресе, су қоймаларының антропогенді әсерлер нәтижесінде ластануы, сол су қоймаларында тіршілік ететін балықтардың әр түрлі мүшелерінде морфологиялық өзгерістердің пайда болуына алып келеді. Көп уақытта балықтардың организмінде залалсыздандыру қызметін атқаратын және ластану нәтижесінде көптеген морфофункциональдік өзгерістерге ұшырайтын бауыры зақымдалады.
Организмдердің қоршаған орта ластануына төзімділігіне байланысты көптеген мәселелер қазіргі кезде физиолог, морфолог, гистологтардың назарында.
Біз зерттеу жұмысымызда екі ауданнан үш түрлі балықты алып, олардың бауырына гистологиялық зерттеулер жүргіздік. Балықтар өзінің тіршілік ететін ортасында биоиндикатор қызметін атқарады. Биоиндикация дегеніміз биологиялық жүйелер көмегімен тірі организмдерге әсер ететін абиотикалық немесе биотикалық факторларды анықтау және бағалау әдісі.
Мысалы, кейбір балық түрлері (сәулелі форель, минога) кадмий немесе қорғасынмен ластанған орта үшін биоиндикатор бола алады, себебі осы түрлер кадмий мен қорғасынның төмен концентрациясында ғана көшіп кетеді және т. б.
1. 2. Балықтардың бауырының құрылысы.
Бауыр берік дәнекер капсуламен қапталған, ол бауырды сырттан келген механикалық соққылардан қорғайды [1] .
Карптәрізділердің бауырының паренхимасы эндодермадан дамыған эпителиальді клеткадан тұрады, олар бауыр клеткалары немесе гепатоциттер деп аталады. Бауыр паренхимасында көптеген қан капиллярлары бар. Бауыр капиллярларының төсеніші, кәдімгі капиллярлар төсенішіне қарағанда құрылысы күрделі және ол жерде бірнеше клеткалар типі болады: негізгі клеткалар - эндотелиоциттер (синустәрізді клеткалар), Купфер клеткалары, Ито клеткалары [2] .
Купфер клеткаларының ультрақұрылымы мен цитохимиялық ерекшеліктері мокрофагтарға ұқсас. Осылардың шығу тегінің бір екендігін ескере отырып, осы клеткаларды мононуклеарды фагоциттер жүйесіне қосуға болады. Клетка формалары көптеген цитоплазмалық өсінділердің болуынан вариабельді, бұл клеткалар ірі және кесіндіде жұлдыз тәрізді болып көрінеді [2; 3] .
Балықтар бауырына гепатоциттермен қорытылмаған қалдықтарды және гепатоциттер цитоплазмасынан Диссе қуысына бөлінетін цитосегрессомдарды синустәрізді клеткаларымен жұту қасиеті тән. Жоғары сатыдағы омыртқалыларда цитосегрессомалар көп мөлшерде өт капиллярлары арқылы өтке бөлінеді, ал балықтарда бұлар аз болғандықтан, бұл қызметті синустәрізді клеткалар атқарады. Синустәрізді тамырды қоршап тұратын кеңістікте пурисинустәрізді клеткалар кездеседі. Олар май жинайтын немесе Ито клеткалары деп атайды [4] .
Цитоплазмалық матриксінде көптеген микротүтікшелермен микрофиламенттер бар. Олар сыртқы клеткалық мембранаға жақын және эндоплазмалық тор цистерналарының арасынан өтеді. Бұл клеткаларды сипаттайтын белгі - липид тамшылары. Олардың көлемі мен мөлшері әр түрлерде әр түрлі болады.
Балықтарда гликоген құрамы және өт пигменттері арасындағы белгілі қажеттілік болады. Егер клеткада өт пигменттері болса, ол жерде гликоген аз болады және керісінше. Бауырдың шеткі бөліктеріндегі клеткаларында көп мөлшерде өт пигменттері, ал орталық зоналарда гликоген болады [7] .
1. 3. Экологиялық факторлардың барлық организмдерге әсері.
«Экологиялық фактор» - тірі организмдерге олардың дербес дамуының бір ғана кезеңінде болса да тікелей немесе жанама әсер ете алатын, ортаның кез келген әрі қарай бөлшектенбейтін элементі.
Су қоймасының тереңдігін немесе тіршілік ету орнының теніз деңгейінен биіктігін экологиялық фактор ретінде қарастыруға болмайды, себебі тереңдік суды мекендеуші организмдерге тікелей емес, қысымның артуы, жарықталудың кемуі, температураның төмендеуі, еріген оттегінің азаюы, су тұздылығының жоғарылауы, т. б. арқылы әсер етеді. Биіктіктің әсері температураның, атмосфералық қысымның төмендеуі арқылы жүзеге асырылады. Шын мәнінде температура, жарықталу, тұздылық және т. б. тірі организмдерге тікелей әсер етуші сыртқы ортаның экологиялық факторлары ретінде білінеді. Экологиялық факторлар табиғаты жағынан қаншалық әр алуан болмасын, олардың әсерінің нәтижелері экологиялық тұрғыдан салыстыруға келеді, өйткені әр қашанда организмдердің тіршілік әрекетінің өзгерісі арқылы білінеді.
Мысал ретінде, негізгі экологиялық факторлардың бірі саналатын жарықты алуға болады. Жарық өсімдіктердің фотосинтезі үшін қажет энергияның негізгі көзі болып табылады және экожүйелердің өнімділігінде маңызды роль атқарады. Сонымен қатар оның басты экологиялық ролі - ұзақтығы әр түрлі биологиялық ырғақтарды (ритмдерді) синхрондастыру (уақыт бойынша үйлестіру) болып табылады. Жарықтың экологиялық фактор ретіндегі мұндай «екі жақты сипаты» бұл топтастырудың да құндылығын төмендетеді.
Организмдердің экологиялық фактор әсеріне төзімділігін анықтаудың бұдан басқа әдістерін де қолдануға болады: зерттеуші жануарларды әр турлі температура жағдайларында ұстап, белгілі уақыт аралығы ішінде олардың тірі қалу процентін есептейді. Жүргізілген тәжірибе нәтижелері бойынша қисық сызық сызылады да, оның бойынан, температуралық оптимум аймағына сәйкес келетін, өзімізге белгілі орталық аймақ бөліп көрсетіледі.
Егер біз екі түрге жататын организмдердің температура әсеріне жауап реакцияларын салыстыратын болсақ, олардың тіршілік ету оптимумдарының мөлшері тең болған жағдайдың өзінде де, термо-преферендум немесе термо-оптимум қисық сызықтары бірдей бола бермейтіндігі анықталады. Демек, әр түрдің өзіне ғана тән бейімділігі, фактордың әсеріне әр түрлі дәрежеде төзімділігі болады [12] .
1. 4. Экологиялық факторлардың балықтарға әсері.
Балықтар, амфибийлер және бауырмен жорғалаушылардың ерекшелігі болып меланомакрофагті орталықтар саналады, олар метаболизм процессінің өнімдерінің және бүйрек, бауыр, көкбауырда болатын эритроциттер депосы. Жоғарғы сатыдағы сүйекті балықтарда осындай жиналулар клеткалардың әр түрлі мөлшерінен тұрады. Ол клеткалар диаметрі 40-1000 мкм болған домалақ аралшықтар құрайды [6] .
Полиплоидияның негізгі бір себебі болып цитоплазмалық құрылымның қызметінің артуы саналады. Бұған біріншіден, бүйректі алып тастау және бауырдың бір бөлігін алып тастау тәжірибелері мысал бола алады. Осы операция нәтижесінде мүшеге қызмет нагрузкасы артуына байланысты, полиплоидті клеткалар мөлшері көбейген [5] .
Қарапайымдыларда полиплоидияның болуы және таралуы, түрлену деңгейінің жоғары болуы, бөлінудің аяқталмай қалуына алып келеді. Осыдан, балық бауырында полиплоидті ядролардың болмауынан, оның қызметінің әлсізденуін көруге болады [5] .
Балықтардың бауыры қыста үлкен, гепотоциттері гликогенге толы, ядро айналысында бөлек ГЭР цистерналары және митохондриялар орналасқан. Жылдық маусымдық өзгеруінен бауырдың қанмен толтырылуы өзгереді. Көктемде бауыр көлемі кішірейеді, бірақ гепатоциттер құрылымы өзгермейді. Жазда бір икра периодыдан кейін гепатоциттер цитоплазмасында ірі митохондриялар, пероксисомалар, липидті қосылыстар пайда болады. Гликоген мөлшері өзгермейді. Күз және қыста гепатоциттер ядролары үлкейеді, ал гликоген гепатоцит цитоплазмасын толтырады [6] .
Қазіргі заманғы өнер - кәсіптік технологиялар экологиялық таза өндіріске өтуге мүмкіндік бермейді. Нәтижеде құрамында токсиканттар бар өнер - кәсіптік су қажетті тазартудан өтпей немесе авария нәтижесінде табиғи су қоймаларына түсіп, оларды ластайды. Осындай токсиканттардың бірі - кадмий, оның иондары қатты бөлшектерде адсорбцияланады және үлкен қашықтыққа таралады. Кадмий өте қауіпті, себебі ол аз концентрацияда да организмнің бірнеше жүйелерінің қызметінің бұзылуына алып келеді [8-9] .
Кейбір балық түрлері (сәулелі форель, минога) кадмий және қорғасынмен ластанған орта үшін биологиялық индикатор бола алады, себебі осы түрлер осы полютанттардың төмен концентрациясында ғана көшіп кетеді [18; 19] .
Су жануарлары үшін аса қауіпті ол аммиак пен аммоний тұздары. Бұлардың төменгі концентрациясы оларды өлтіреді. Аса қауіпті бұлар үшін тағы азот пен күкірт қышқылдары болады. Олар автокөлік қалдықтарында болады. Су қоймаларында рН көрсеткіші төмендеп жатыр. рН 6, 5 - 6, 0 болғанда, рактәрізділер, молюскалар, балық пен қосмекенділер икрасы, ал рН 6, 0-5, 0 болғанда балықтар өледі. Ал рН 4, 5 түссе, су қоймасындағы барлық организмдер өледі [20-21] .
Химиялық ластану, ластанудың аса қауіпті түріне жатады. Химиялық ластануға бірінші болып су ресурстары мен ауа ұшырайды. Ағын емес сулардың негізгі ластаушылары ол ауыр металлдар иондары. Сулы ортаға түскенде олар басқа компоненттермен әсерге түсіп, гидратталған иондар, комплексті бейорганикалық және органикалық байланыстар түзеді [22; 23] .
1. 5. Ауыр металлдардың балықтар бауырына әсері.
Балықтардың ұлпа және мүшелерінде ауыр металлдардың жиналуы, олардың желбезек эпителійін, бүйрек каналдарын, бауыр паренхимасын, асқазан асты безінің аралшықтарының ұлпаларының қызметтерін бұзады. Эритроциттер морфологиясына әсер етеді және басқа улы заттардың токсикалық әсер етуін күшейтеді [10-11] .
Организмге улы әсерінен басқа, ауыр металлдар белгілі мүшелерге арнайы әсер ету қасиетіне ие. Металлдың мүшеге арнайылығы оның келіп түсуіне, жиналу деңгейіне және организмден шығарылуына байланысты. Кадмий байланыстарының гепатоксикалық және нефротоксикалық әсер етуі жоғары, себебі металлдың жоғары концентрациясы бауыр мен бүйректе болады. Кадмийдің бауыр мен бүйректе жиналуы металлотионеин белогінің синтезінің индукциялануы нәтижесінде болады, ол белоктың көп мөлшерде металлдарды байланыстыратын қасиеті бар.
Металл - белок комплекс организмнен өт және зәр арқылы өте баяу шығарылады, сондықтан белгілі уақыттан кейін бауыр мен бүйректе деструктивті процесстер дамиды [13] .
Кадмийге қарағанда стронций көп мөлшерде сүйек ұлпасында жиналып, остеотропты әсер етеді. Остеотропты әсер етуден басқа стронций организмнің әр түрлі мүшелерінің клеткалық метаболизміне әсер етеді. Стронций кальцийдің физико-химиялық аналогы болғандықтан ол көптеген биохимиялық процесстердің жүруін өзгерте алады [14-15] .
Көптеген теңіз балықтары, молюсктәрізділер және рактәрізділер түрлерінде кейбір ауыр металлдардың детоксикация процесстері олардың металлотионеин белоктарымен байланысуымен жүреді. Мысалы, сынаппен 5мкгл концентрациясымен албыртқа әсер еткенде, ұлпаларда сынап концентрациясы жоғарылап кеткені және өсу көрсеткішінің төмендегені байқалған. Ал 1мкгл концентрациясымен әсер еткенде ондай жағдай байқалмаған, себебі барлық металл металлотионеиндермен комплекс түзген [16-17] .
М. Л. Голованова мен В. Т. Комова зерттеулері нәтижесінде сынаптың ауыр металлдар ішінде гидрабионттар үшін улы әсері өте жоғары екендігі анықталған. Балық организміне олар қорекпен бірге түседі де, әртүрлі мүше мен ұлпаларда жиналуы мүмкін. Балық организмінде сынаптың жиналуы, олардың әрекеттерін өзгертеді, мутагенді және тератогенді әсер етеді. Май және белок алмасуын бұзады [24-25] .
Қоршаған орта ластануынан Каспийдің албырт тәрізділерінің бауыры мен жыныс бездерінде әр түрлі жаңа өсінділер пайда болады. Осы жаңа өсінділер сүйекті балықтарда кең тараған. Ісіктер балықтардың қырықтан астам түрінде кездеседі. Бұларға тері және қан жасау жүйесінің жаңа өсінділері, кейде жыныс және шығарушы жүйелер ісіктері жатады. Соңғы жылдары севрюга, осетр, белуга балықтарының жұмыртқа клеткасында, бауырында көптеген өзгерістер байқалған [26-27] .
Каспийдің албырт тәрізділерінің жыныс бездері мен бауырын зерттегенде осы мүшелер морфогенезінің бұзылғаны анықталған. Осы бұзылулардың негізгі себебі - су қоймаларының әртүрлі химиялық заттармен ластануы. Су қоймаларының мұнай қалдықтарымен ластануы, осы судағы концерогенді заттардың көбеюіне әкеледі. Осы заттар албырт тәрізді балықтардың әр түрлі ісіктерінің пайда болуына себеп болады. Тағы су, грунт және албырт тәрізділердің мүшелері мен ұлпаларын зерттегенде, балықтардың физиологиялық жағдайының нашарлауы және әртүрлі патологиялық формалардың пайда болуы созылмалы токсикозға байланысты болуы анықталды [28-29] .
Тері және желбезекпен тыныс алатын балықтарда қышқылды су қоймаларының жағымсыз факторларына нысана болып балықтардың сенсорлы мүшелері мен желбезектері табылады. Ольфакторлы және дәм сезу мүшелері сыртқы сенсорлы мүшелерге жатады. Олар «сыртқы тосқауыл»мен қорғалмаған, сондықтан судың рН - ның төмен болуынан әр түрлі өзгерістерге ұшырайды. Улы заттар қалыпты хемосенсорлы қызметтерді бұзады. Биологиялық, табиғи химиялық сигналдарға қарсы тұрады және рецепторлардың морфологиялық және физиологиялық зақымдануына алып келеді [30-31] .
Қышқылды ортада әсер ету агенттері (алюминий) желбезектерінің құрылымдық өзгеруіне алып келеді. Биохимиялық және физиологиялық процесcтерді бұзады. Егер судың рН төмен болса, эпителиальді клеткалардың қорғаныш реакциясы ретінде көп мөлшерде шырыш бөлінеді [32; 33] .
Балықтардың қышқылды жағдайда клеткалық мембраналарының өткізгіштігінің жоғарлауы, организмге тек алюминий емес, басқа да металлдардың түсуіне жол береді. Бұл организмнің микроэлементті құрамын бұзады. Көптеген зерттеулер нәтижесінде қышқылды ортада балық организміне қауіпті элементтердің (сынап, кадмий, мырыш, қорғасын және т. б) көп мөлшерде жиналатыны анықталды [34-35] .
Қышқыл және нейтрал көлдерде тіршілік ететін бірнеше балықтардың организміне кейбір элементтердің аккумуляциясын зерттегенде, қышқыл көлдердегі балықтардың организміндегі алюминий және басқа элементтердің құрамы нейтралды көлдердегі балықтардың организміндегі элементтерге қарағанда көп. Әсіресе, бауыры мен бүйректерінде [36-37] .
Балықтардың минерал алмасуының бұзылуынан организмде бірқатар патологиялық процесстер пайда болады. Мысалы, бүйректің клеткалық құрылымының патологиялық өзгерістері никель концентрациясы өте жоғары көлдерде тіршілік ететін балықтарда да және осы элементтің концентрациясы төмен тундра көлдерінде тіршілік ететін балықтарда да байқалған [38; 39] .
рН төмен болған жағдайда балық организмінің жүйелерінде белсенді металл аккумуляциясы байқалды. Бұл жағдай микроэлементозға алып келеді. Микроэлементоздар балық организмінде болатын патологиялардың дамуының себебі болады. Бұл патологиялар остеопароз, околиоз, нефрокальцитоз, бауырдың липоидті дегенерациясы т. б. [40] .
Балықтардың бүлшықеттерінің қатпарлануымен бірге анықталатын белгінің тағы бірі - құрамындағы судың аз болуы. Су бұлшықетте үш сұйықтық кеңестігінде болады - тамырлар ішінде, интерстициальді және клетка ішілік фазаларда.
Гипогидратация бұлышқет ұлпасының ауыр патологиясы. Балық организмінің негізгі реакцияларының бірі - зақымдануды толықтыру, ұлпа қызметін қалыптастыру [41-42] .
Албырт тәрізділер басқа балықтарға қарағанда нефтьпен ластануға сезімтал. Нефть концентрациясы жоғары болса, дернәсілдердің өлуіне алып келеді [43] .
Улы заттар аккумуляциясы мүшелеріне бауыр, бүйрек, гонадалар жатады. Суда кобальттың көп болуы желбезектерді зақымдайды. Сынап әсерінен балық қозу жағдайына түседі, координация бұзылады, асфикация байқалады [44-45] .
Балықтарға улы компоненттердің табиғи су қоймаларда ұзақ уақыт әсер етуі, кейбір мүшелердің үлкеюіне алып келеді [46-47] .
С. С. Шварц (1980) қанның қоюлануын организмнің қолайсыз жағдайларға бейімделу механизмдерінің бірі деп қараған [48-49] .
Балық бүйректерінің негізгі қызметі балықтың тіршілігінің өнімдерін шығару, ал бас жағы қан жасау процесстеріне қатысады [50; 51] .
Желбезектер балық организмінде маңызды физиологиялық роль атқарады. Ол тыныс алу органы [52-53] .
Май жиналулар балық организміңдегі барлық физиологиялық процесстермен тығыз байланысты, сондықтан организмдегі бейімделу өзгерістерінің индикаторы болады [54; 55] .
Ортаның ластануының ұзақ уақыт әсер етуінен балықтардың өсу механизмдерінің іске қосылуы стимулданады. Май жиналады, себебі қолайсыз жағдайларда организм энергиямен қамтамасыз етілуі керек [56] .
Балықтардың маңызды мүшелерінде пестицидтердің жиналуы, балықтардың физиологиялық жағдайының және шығарушы жүйесінің бұзылуына алып келеді. Жиналу процессі негізінен пестицидтердің тағам тізбегімен берілуімен жүзеге асады [56] .
Балық бауыры басқа мүшелерге қарағанда сыртқы ортаның өзгеруіне өте сезімтал. Осы жағдайда әртүрлі патологиялық өзгерістер байқалады, бұлар белгілі гистологиялық және гистохимиялық өзгерістермен сипаталлады [57; 58] .
Улы заттар әсері бауырда қанның көбеюіне алып келеді. Венозды қан тамырларының қуысының қанмен толып, кеңеюі байқалады [59; 60 ] .
Бауырдың созылмалы ауру нәтижесінде клеткалардың өлуіне жауапты репаративті регенерациясы клеткалардың бөлінуінен жүзеге асырылады [61; 62 ] .
Морфологиялық және биохимиялық зерттеулер нәтижесінде, кадмий қосылыстары бауырды деструктивті өзгерістерге алып келетіні анықталды. Кадмийдің улы әсері нәтижесінде бауыр паренхимасының белгілі бөлігінің клеткаларының некрозы байқалды [63] .
Кадмий мен стронцийдің бауыр паренхимасының клеткасының құрылымы мен қызметіне улы әсері, олардың митохондрияларда жиналуына және процесстердің арасындағы тепе - теңдіктің бұзылуына байланысты болады [64; 65] .
Кадмий мен стронцийдің жиналуы бауырда құрылымдық бұзылуларға, созылмалы улы гепатитке және постнекротикалық циррозға алып келеді. Тағы кадмий мен стронций гепатоциттердің көмірсу және белок метаболизміне әсер етеді [66; 67] .
Бауыр - организмде улы заттарды детоксикациялауда маңызды роль атқарады. Улы жағдайларда бауыр массасы үлкейеді. Бауыр мөлшері ластанған ортада 5-7 есе үлкеюі мүмкін [68-69] .
Әдебиеттердегі мәліметтерге қарағанда, балық бауырларында әр түрлі улы агенттердің әсерінен бірқатар деструктивті өзгерістер болады. Әртүрлі құрылымдық бұзылыстарға ұшырайды.
1. 6. Кейбір балықтардың бауырындағы морфологиялиқ өзгерістер.
Табиғи ортаны антропогенді әсерлерден сақтау адамзат үшін маңызды әлемдік проблема, әсіресе экономикалық дамыған елдерде антропогенді әсерлер көп. Әр түрлі құрылыстардың салынуы, өндірістің дамуы Каспий теңізінің айналасындағы экологиялық жағдайды нашарлатуда.
2. Зерттеу нәтижелері.
2. 1. Зерттеу әдістері мен материалдары.
Каспий теңізінің екі ауданынан алынған бұзаубас балық, майшабақтың, килька майшабағының бауырлары зерттелген. Бірінші ауданнан ұзындығы 9, 10, 12, 16 см болған 4 бұзаубас балық, 1 майшабақ алынған. Екінші ауданнан ұзындығы 9, 12, 16 см болған 3 бұзаубас балық, 2 майшабақ, 1 килька майшабағы алынған.
Мүше кесінділері 80% нейтрал формалинде бекітілді. Бауыр кесінділерінің қалыңдығы 5-7 мкм. Гематоксилин - эозинмен боялған.
Препараттарды зерттеп, суретке түсіру Leica PMIS жарық микроскопы, Leica DFS, 280 сандық камера көмегімен жүзеге асырылды. Екі ауданнан алынған майшабақ (3 дара), бұзаубас балық (4дара), килька майшабағы (4 дара) балықтарының бауыры зерттелді. Мүше кесінділері 10% формалинде бекітілді.
Алынған суреттер Pentium 4 компьютерінде өңделді.
2. 2. Каспийде мекендейтін кейбір балықтардың бауырын морфологиялық зерттеу.
Бірінші ауданнан алынған бұзаубас балықтарының бауырын гистологиялық зерттеулердің нәтижелері.
Бауыр паренхимасы түтіктәрізді құрылымға ие. Түтікшелер өт капиллярларын қоршап орналасқан бес гепатоциттен тұрады. Гепатоциттер мөлшерінің үлкею салдарынан синусоидтер күрт тарланған. Ұйқы безі участкілері кездеседі (1-сурет) .
1-сурет. Бірінші ауданнан алынған бұзаубас балығының ұйқы безі элементтері бар бауыры. Гематоксилин-эозинмен бояу. 400 есе үлкейту.
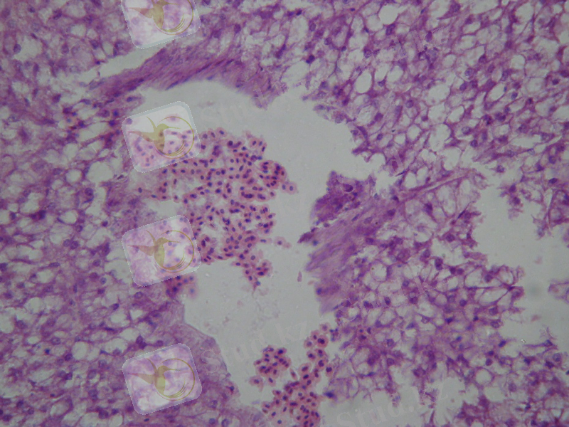
Бұл ауданнан алынған балықтардың бауырында кейбір патологиялық өзгерістер байқалады. Ол өзгерістер ірі және кіші қан тамырларының тамыр қабырғасының бұзылуы, қан стазы, қабырға тромбтарының пайда болуы, периваскулярлы ісіну (2-сурет) .
2-сурет. Бірінші аудан. Бұзаубас балық бауыры. Қабырға тромбы пайда болған қан стазы. Периваскулярлы ісіну. Некроз ошақтары. Гематоксилин-эозинмен бояу. 400 есе үлкейту.
Купфер клеткасының пролиферацияланған участкілерінің пайда болуы байқалады (3-сурет) . Пролиферация - зақымдалған бауыр клеткаларының митоз жолымен бөлініп, қайта қалпына келуі.
3-сурет. Бірінші аудан. Бұзаубас балық бауыры. Периваскулярлы ісіну. Купфер клеткаларының пролиферациясы. Некроз ошақтары. Гематоксилин-эозинмен бояу. 400 есе үлкейту.
... жалғасы- Іс жүргізу
- Автоматтандыру, Техника
- Алғашқы әскери дайындық
- Астрономия
- Ауыл шаруашылығы
- Банк ісі
- Бизнесті бағалау
- Биология
- Бухгалтерлік іс
- Валеология
- Ветеринария
- География
- Геология, Геофизика, Геодезия
- Дін
- Ет, сүт, шарап өнімдері
- Жалпы тарих
- Жер кадастрі, Жылжымайтын мүлік
- Журналистика
- Информатика
- Кеден ісі
- Маркетинг
- Математика, Геометрия
- Медицина
- Мемлекеттік басқару
- Менеджмент
- Мұнай, Газ
- Мұрағат ісі
- Мәдениеттану
- ОБЖ (Основы безопасности жизнедеятельности)
- Педагогика
- Полиграфия
- Психология
- Салық
- Саясаттану
- Сақтандыру
- Сертификаттау, стандарттау
- Социология, Демография
- Спорт
- Статистика
- Тілтану, Филология
- Тарихи тұлғалар
- Тау-кен ісі
- Транспорт
- Туризм
- Физика
- Философия
- Халықаралық қатынастар
- Химия
- Экология, Қоршаған ортаны қорғау
- Экономика
- Экономикалық география
- Электротехника
- Қазақстан тарихы
- Қаржы
- Құрылыс
- Құқық, Криминалистика
- Әдебиет
- Өнер, музыка
- Өнеркәсіп, Өндіріс
Қазақ тілінде жазылған рефераттар, курстық жұмыстар, дипломдық жұмыстар бойынша біздің қор #1 болып табылады.

Ақпарат
Қосымша
Email: info@stud.kz