Дәнекер тінінің гиалинозы


ҚАЗАҚСТАН РЕСПУБЛИКАСЫНЫҢ АУЫЛ ШАРУАШЫЛЫҚ МИНИСТРЛІГІ
ҚАЗАҚ ҰЛТТЫҚ АГРАРЛЫҚ ЗЕРТТЕУ УНИВЕРСИТЕТІ
РЕФЕРАТ
Ветеринария факультеті
Тақырыбы: «Гиалиноз, этиопатогенезі, патологиялық анатомиясы, морфологиялық сипаты, организм үшін маңызы»
Орындаған: Набиев Ерлан
Топ: В-30Қ
Тексерген: Орынтай Мақпал
Алматы 2020 ж
Жоспар
I. Кіріспе
II. Негізгі бөлім
2. 1. Дистрофия.
А) Гиалинді дистрофия
2. 2. Гистопрепарат. Шумлянский капсуласының гиалинозы
2. 3. Гиалиноздың жіктелуі.
Қорытынды
Пайдаланылған əдебиеттер тізімі
Кіріспе
Гиалиноз-бұл дәнекер тінінің дистрофиясы, онда гиалинді шеміршекке ұқсайтын біртекті, тығыз, мөлдір массалар пайда болады. Осыдан дәнекер тінінде пайда болатын зат гиалин деп аталады. Гиалин құрамында фибрин, иммуноглобулиндер, липидтер бар фибриллярлы ақуыз; қышқылдардың, сілтілердің әсеріне ферменттердің әсеріне төзімді, тығыз. Гиалин эозинмен қызғылт түске боялған. Неғұрлым үлкен болса, соғұрлым қызыл түс басым болады. Гиалиннің пайда болуы әрдайым дистрофияның нәтижесі емес. Тромботикалық массалар, қабыну экссудаты, зәрдегі цилиндрлер-өлі ұлпада гиалиннің пайда болуының нәтижесі. Гиалинді дистрофия жасушаішілік және жасушадан тыс болуы мүмкін. Өз кезегінде жасушадан тыс гиалинді дистрофия дәнекер тінінің гиалинді дистрофиясына және қан тамырлары қабырғаларының гиалинді дистрофиясына бөлінеді.
Жасушаішілік гиалиноз олардағы секрецияның сақталуымен жасушалардың секреторлық белсенділігінің бұзылуына байланысты пайда болады. Бұл асқазанның, ішектің және қуықтың шырышты қабығының созылмалы катаральды эпителий жасушаларында байқалады.
Гиалинді дистрофияның макроскопиялық көрінісі әртүрлі. Кейбір жағдайларда зерттелетін органдардағы гиалиноз сыртқы жағынан көрінбейді. Оны тек гистологиялық зерттеу арқылы анықтауға болады. Жақсы анықталған гиалинозбен өзгертілген тін тығыз консистенцияға ие және сұр түске ие болады.
2. 1. Дистрофия.
Дистрофия -бұл патологиялық процесс құрылымдық өзгерістерге әкелетін тін алмасуының бұзылуына негізделген. Бұл зақымданудың бір түрі.
Мәні: биохимді бұзу нәтижесінде. (қалыпты, бірақ үлкен мөлшерде кездеседі; осы тінге және осы санға тән, бірақ басқа сапада; денеде немесе осы ұлпада кездеспейтін) .
Себептері: ауторегуляцияның (ферментопатияның) бұзылуы; гипоксияға әкелетін трофика көлік жүйесінің функциясының бұзылуы; трофиканың интегративті жүйесінің бұзылуы, оның эндокриндік және жүйке реттелуі; экзо-және эндогенді текті уытты метаболиттерді тіндерге жеткізу.
Механизмдер: инфильтрация (избыт. қан мен лимфадан алмасу өнімдерінің түсуі, олардың кейіннен жинақталуы фермент-х жүйелерінің жетіспеуіне байланысты), декомпенсация (фанероз; метаболизмнің бұзылуына және алмасу өнімдерінің жиналуына әкелетін жасушалар мен жасушааралық заттардың ультрақұрылымдарының ыдырауы), бұрмаланған синтез (тін мен организм үшін аномальды заттардың синтезі) .
Жіктелуі: метаболизмнің бұзылған түріне байланысты: ақуыз, май, көмірсулар, минералды; процестің локализациясына байланысты: паренхималық, мезенхималық, аралас; таралуына байланысты: жалпы және жергілікті; шығу тегі бойынша: туа біткен және сатып алынған.
Мысалдар: паренх. дистрофиялар жоғары дифференциалды органдарда дамиды-жүрек, бауыр, бүйрек; дистрофияның бір түрінің екіншісіне ауысуы іс жүзінде болмайды; жұптардың әртүрлі түрлері. дистрофия жасуша жетіспеушілігінің морфологиялық мәнін құрайды, сондықтан олар сына негізінде жатыр. органдардың функционалдық жетіспеушілігін көрсететін синдром.
А) Гиалинді дистрофия
Гиалиноз немесе гиалинді дистрофия тіндердің тығыздалуымен сипатталады, оларды қышқыл бояулармен қарқынды боялған біртекті, шыны тәрізді, мөлдір массамен сіңдіреді. Сонымен, пикрин қышқылы мен қышқыл фуксинмен (Ван Гизон әдісі) боялған кезде гиалин ашық қызыл, тіпті Рубин түсіне ие болады. Бұл процесс гиалиноз деп аталады, өйткені қайта туылған тін гиалинді шеміршектің негізгі затына ұқсайды. Тіндерде гиалиннің пайда болуы қан тамырлары қабырғаларының өткізгіштігінің бұзылуымен, дәнекер тінінің ерекше өзгеруімен, сондай-ақ гиалиннің жасушаішілік түзілуімен байланысты.
1-сурет. Гиалиноз
Гиалин - ақуыздық сипаттағы зат-су, алкоголь, эфир, қышқылдар мен сілтілерге қатысты тіректер. Жасушаішілік гиалиноз бар, онда гиалин жасушаларға тамшылар немесе блоктар мен шарлар түрінде (Руссель және фуксинофильді денелер), ал жасушадан тыс - дәнекер тінінде және тамыр қабырғаларында жиналады. Жасушадан тыс гиалиноз сонымен қатар некрозға ұшыраған тіндерде, тромбтарда, кейбір бездердің қалыңдатылған секрецияларында және т. б. кездеседі. Гиалинді деградация дәнекер тінінің капсулаларында, атеросклероздағы қан тамырларының қабырғаларында салыстырмалы түрде жиі байқалады, ал олардың люмені тарылып, интима мен медиа қалыңдайды және әдеттегі құрылымы мен икемділігін жоғалтады.
Жасушаішілік гиалиноз олардағы секрецияның сақталуымен жасушалардың секреторлық белсенділігінің бұзылуына байланысты пайда болады. Бұл асқазанның, ішектің және қуықтың шырышты қабығының созылмалы катаральды эпителий жасушаларында байқалады.
Гиалинді дистрофияның макроскопиялық көрінісі әртүрлі. Кейбір жағдайларда зерттелетін органдардағы гиалиноз сыртқы жағынан көрінбейді. Оны тек гистологиялық зерттеу арқылы анықтауға болады. Жақсы анықталған гиалинозбен өзгертілген тін тығыз консистенцияға ие және сұр түске ие болады.
Гиалиноздың жалпы белгілеріне зардап шеккен тіннің тығыздығы, мөлдірлігі, мөлдірлігі жатады.
Созылмалы патологиялық процестерде дәнекер тінінің адгезиясы гиалинді деградацияға ұшырайды. Көбінесе дәнекер тінінің тыртықтары гиалинденеді, олар бір уақытта тығыздалады. Гиалинді цилиндрлер бүйрек ауруларында бүйрек түтікшелерінде біртекті ақуыз құймасы түрінде пайда болады.
Гиалиноз әртүрлі процестердің нәтижесінде дами алады:
* плазмалық сіңдіру;
* фибриноидты ісіну (фибриноид) ;
* склероз.
Тамырлар мен дәнекер тіндердің жүйелі гиалинозы коллаген ауруларында, артериосклерозда, жұқпалы және уытты ауруларда, созылмалы қабынуда, ақуыз алмасуының бұзылуымен байланысты ауруларда, әсіресе жоғары өнімді сиырлар мен шошқаларда байқалады. Тамырлардың айқын гиалинозы созылмалы гломерулонефритте, әсіресе иттерде кездеседі. Сонымен қатар, жергілікті гиалиноз (склероз) жаңадан пайда болған дәнекер (тыртық) тінінде кездеседі.
Патогенез . Жүйелік гиалиноздың пайда болуы мен дамуында тіндердің гипоксиясы, тамыр қабырғасының эндотелийі мен базальды қабатының зақымдануы, ретикулярлы, коллаген, серпімді талшықтар мен дәнекер тінінің негізгі затының синтезі мен құрылымының бұзылуы маңызды рөл атқарады. Бұл жағдайда Тамырлы және тіндік өткізгіштіктің жоғарылауы, тіндердің плазмалық ақуыздармен сіңуі, күрделі ақуыз қосылыстарының пайда болуымен олардың адсорбциясы, ақуыз массаларының преципитациясы және тығыздалуы жүреді.
Иммунологиялық механизмдер гиалиноздың дамуына да қатысады, өйткені гиалинді массалар антиген-антидене иммундық кешендерінің кейбір қасиеттеріне ие екендігі дәлелденді.
Гистологически гиалин табу да межклеточном заттағы дәнекер тіннің. Қан тамырлары мен дәнекер тінінің қабырғаларының жүйелі гиалинозы артериялар мен капиллярлардың интима мен периваскулярлық дәнекер тінінің негізгі затында гиалиннің пайда болуымен көрінеді. Нәтижесінде қышқыл бояғыштармен боялған біртекті тығыз ақуыз массасы пайда болады. Гиалин бейферентті зат болса да, оның жинақталуы тамыр қабырғасының қалыңдатылуымен, медианы гиалинді массамен люменнің тарылуымен, оны ұсақ тамырларда толығымен жабуға (облитерацияға) дейін ығыстырумен бірге жүреді. Гиалинозға ұшыраған тіндердің некротизациясы олардың кальцийленуімен, қан кету мен тромбоздың пайда болуымен тамыр қабырғасының бұзылуымен бірге жүруі мүмкін. Безді органдарда дәнекер тінінің гиалинозы бездердің базальды мембраналарының қалыңдатылуымен, безді эпителийдің қысылуымен, содан кейін атрофиямен бірге жүреді. Жергілікті гиалиноз созылмалы қабыну ошақтарында, жаңадан пайда болған дәнекер тінінде (дәнекер тінінің капсулалары мен ескі тыртықтар) кездеседі. Бұл жағдайда коллаген талшықтары ісініп, біртекті тіндерге біріктіріліп, жасушалар атрофияға ұшырайды.
Макроскопиялық тұрғыдан, гиалино-зомнан әлсіз дәрежеде зардап шеккен органдар мен тіндерде айтарлықтай өзгерістер болмайды, процесс тек микроскоппен анықталады. Айқын гиалинозбен тамырлар икемділігін жоғалтады, ал зардап шеккен органдар бозғылт және тығыз болады. Кальций тұздары гиалинді массаларға түскен кезде олар одан да тығыздалады.
Гиалиноздың функционалды мәні оның дәрежесі мен таралуына байланысты. Жүйелі гиалиноз Атрофияның, көз жасының және басқа да ауыр зардаптардың дамуымен органдардың, әсіресе олардың тамырларының дисфункциясын тудырады. Жергілікті гиалиноз айтарлықтай функционалды өзгерістер тудырмауы мүмкін.
Нәтижесі әртүрлі . Гиалинді массалар, мысалы, тыртықтарда, келоидтер деп аталатын жерлерде қопсытылып, еруі немесе орналасуы мүмкін екендігі анықталды. Алайда, көп жағдайда жалпы гиалиноз қайтымсыз процесс ретінде көрінеді.
Дифференциалды диагностика. Патологиялық гиалинозды физиологиялық тұрғыдан ажырату керек, ол тіндердің инволюциясы мен қалыпты қартаю процесінде көрінеді (мысалы, корпус лютеумінің, жатыр тамырларының, сүт бездерінің және т. б. инволюциясы) . Бұл жағдайда жатыр мен сүт безінің гиалинозы орган функциясының жоғарылауына байланысты қайтымды болады. Сыртқы жағынан, өлі тіндердің, секреция өнімдерінің гиалинге ұқсас өзгеруі гиалинге ұқсас (мысалы, нефроз-нефрит, гиалинді қан ұйығыштары, фибриннің гиалинизациясы және т. б. ) .
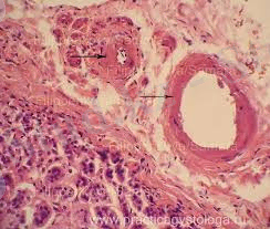
2. 2. Гистопрепарат. Шумлянский капсуласының гиалинозы
Микроскоптың аз өсуімен Шумлянскийдің капсуласында күрт өзгерістер байқалады. Капсула едәуір қалыңдатылған, эозинмен қызғылт-қызыл түске боялған кең белдеу пайда болады. Сақталған жасуша ядролары өте аз, мальпигиялық гломерулалардың қуысы тарылған.
2-сурет. Шумлянский капсуласының гиалинозы
1-гиалинді капсула, 2 - тамырлы гломерулус, 3-бүйрек каналы.
Микроскоптың орташа ұлғаюымен капсула кең, біркелкі боялған, біртекті жіптерден тұратындығын көруге болады, олардың арасында ұзартылған ядролары бар жасушалар аз болады.
Бүйректің интерстициясындағы тамырлардың қабырғалары да күрт қалыңдайды, олардың люмені тарылады. Эндотелий сақталған, оның астында интимде жиналған біртекті ақуыз массасы орналасқан. Ван-Гизон әдісімен боялған кезде Шумлянскийдің капсуласы, қан тамырларының қабырғалары, сондай-ақ өсіп келе жатқан дәнекер тін қызыл болады. Интерстицияның өзінде маңызды жасушалық инфильтрация байқалады.
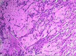
Гистопрепарат. Гельминт түйінінің айналасындағы дәнекер тінінің капсуласының гиалинозы
Микроскоптың шамалы ұлғаюымен кәдімгі радиалды орналасқан сәулелері бар сақталған бауыр тіндерінің арасында дөңгелек және дұрыс емес дөңгелек пішінді түзілімдер көрінеді-ортасында қызғылт-қызғылт құрылымсыз эозинофильді массадан тұратын түйіндер, оларда мыжылған пикнотикалық ядролар орналасқан. Орталықтағы кейбір түйіндерде гематоксилинмен көк-күлгін түске боялған әк сақталған. Түйіндегі эозинофильді массаның айналасында ұзартылған ядролар көрінетін қызғылт біртекті талшықты дәнекер тінінен тұратын кең белдеу бар. Дәнекер тінінің сымдары мен сақталған бауыр тіндерінің арасында эозинофильді лейкоциттердің кластерлері көрінеді.
2. 3. Гиалиноздың жіктелуі.
Ажыратады:
- қан тамырларының гиалинозы;
- дәнекер тінінің гиалинозы.
Гиалиноздың екі түрінің әрқайсысы жүйелік және жергілікті сипат.
Қан тамырларының гиалинозы
Жүйелік тамырлы гиалиноздың себептері:
- гипертония;
- гипертониялық жағдайлар, гипертензия (бүйрек аурулары, эндокриндік және жыныс бездерінің ісіктері) ;
- диабет (диабеттік артериологиалиноз) ;
• ревматологиялық аурулары;
- атеросклероз.
Оның дамуындағы жетекші механизмдер:
- талшықты құрылымдардың бұзылуы;
- тамыр-тін өткізгіштігінің жоғарылауы (плазморрагия) .
Тіндердің ақуыздармен сіңуі плазморрагиямен байланысты
плазмалар және олардың өзгерген талшықты құрылымдарда адсорбциясы
кейінгі преципитация және ақуыз - гиалинді қалыптастыру.
Тамыр гиалинозының патогенезінің ерекшеліктерін басшылыққа ала отырып, тамырлы гиалиннің 3 түрі бар:
1. қарапайым, аз өзгертілген компоненттерден пайда болады қан плазмасы (гипертонияда жиі кездеседі қатерсіз ағым, атеросклероз және дені сау адамдарда) ;
2. липидтер мен бета-липопротеидтерден тұратын липогиалин(көбінесе қант диабетінде кездеседі) ;
3. иммундық кешендерден тұратын күрделі гиалин, фибрин және тамыр қабырғасының ыдырайтын құрылымдары(иммунопатологиялық бұзылулары бар ауруларға тән, мысалы, ревматикалық аурулар үшін) .
Гиалиноз негізінен ұсақ артериялар мен артериолалардан өтеді. Оның алдында эндотелийдің, базальды мембрананың және тамыр қабырғасының тегіс бұлшықет жасушаларының зақымдануы және оны қан плазмасының ақуыздарымен сіңдіру болады. Гиалин субендотелий кеңістігінде кездеседі, ол сыртқа қарай итеріп, серпімді табақты біртіндеп бұзады, ортаңғы қабық жұқарады. Финалда артериолалар күрт тарылған немесе толығымен жабылған люмені бар қалыңдатылған шыны тәрізді түтіктерге айналады. Кіші артериялар мен артериолалардың гиалинозы мінезі, бірақ бүйректе, мида, торда айқын көрінеді көз, ұйқы безі, тері.
3-сурет . Гиалиноз стенки центральной артерии селезенки. Стенки центральных артерий утолщены и окрашены гомогенно в ярко-розовый цвет, вследствие отложения гиалина, который хорошо воспринимает кислые краски (эозин) . В других артериях наряду с гиалинозом имеется наличие светло-розовой гомогенной массы (цитоплазматическое пропиты-вание) .
Физиологиялық құбылыс ретінде артериялардың жергілікті гиалинозы ересектер мен қарттардың көкбауырында байқалады, көкбауырдың Функционалды және морфологиялық ерекшеліктерін қанның тұндыру органы ретінде көрсетеді.
Көп жағдайда бұл қолайсыз, өйткені процесс қайтымсыз. Кішкентай артериялар мен артериолалардың гиалинозы атрофияға, деформацияға және органның әжіміне әкеледі (мысалы, нефроцирроздың дамуы)
Мәні. Гиалиноздың орналасуына, дәрежесіне және таралуына байланысты әр түрлі. Жалпы гиалиноз артериоласы ағзаның функционалды жеткіліксіздігіне әкелуі мүмкін ( нефроцирроздағы бүйрек жеткіліксіздігі) . Тамырлардың сынғыштығы қан кетудің дамуына әкеледі (мысалы, гипертониядағы геморрагиялық инсульт) .
Классификациясы
I. биологиялық маңызы
Физиологиялық нұсқалар
Патологиялық формалар.
II. Этиологиялық принцип
Кейбір органдардағы тамырлардың инволютивті өзгеруімен
Артериялық гипертензия және атеросклероз кезінде
Қант диабеті кезінде
Аллергиялық процестер кезінде
Созылмалы қабыну және фиброз ошақтарында.
III. Процесті локализациялау
Ангиогиалиннің түрлері:
Қарапайым гиалин -қан плазмасының өзгермеген немесе аз өзгерген ақуыздары (артериялық гипертензия, атеросклеротикалық бляшкалар) бар ангиогиалин)
Күрделі гиалин -құрамында иммундық кешендер (аллергиялық аурулар) кездесетін ангиогиалин)
Липогиалин-липидтерге бай ангиогиалин (қант диабеті) .
IV. Өзгерістердің таралуы
Жалпыланған гиалиноз (артериялық гипертензия және атеросклероз кезіндегі кең таралған ангиогиалиноз; бірқатар аллергиялық ауруларда, әсіресе жүйелі склеродермияда кең таралған фиброгиалиноз)
... жалғасы- Іс жүргізу
- Автоматтандыру, Техника
- Алғашқы әскери дайындық
- Астрономия
- Ауыл шаруашылығы
- Банк ісі
- Бизнесті бағалау
- Биология
- Бухгалтерлік іс
- Валеология
- Ветеринария
- География
- Геология, Геофизика, Геодезия
- Дін
- Ет, сүт, шарап өнімдері
- Жалпы тарих
- Жер кадастрі, Жылжымайтын мүлік
- Журналистика
- Информатика
- Кеден ісі
- Маркетинг
- Математика, Геометрия
- Медицина
- Мемлекеттік басқару
- Менеджмент
- Мұнай, Газ
- Мұрағат ісі
- Мәдениеттану
- ОБЖ (Основы безопасности жизнедеятельности)
- Педагогика
- Полиграфия
- Психология
- Салық
- Саясаттану
- Сақтандыру
- Сертификаттау, стандарттау
- Социология, Демография
- Спорт
- Статистика
- Тілтану, Филология
- Тарихи тұлғалар
- Тау-кен ісі
- Транспорт
- Туризм
- Физика
- Философия
- Халықаралық қатынастар
- Химия
- Экология, Қоршаған ортаны қорғау
- Экономика
- Экономикалық география
- Электротехника
- Қазақстан тарихы
- Қаржы
- Құрылыс
- Құқық, Криминалистика
- Әдебиет
- Өнер, музыка
- Өнеркәсіп, Өндіріс
Қазақ тілінде жазылған рефераттар, курстық жұмыстар, дипломдық жұмыстар бойынша біздің қор #1 болып табылады.

Ақпарат
Қосымша
Email: info@stud.kz