Жергілікті амилоидоз - амилоидтың дәнекер ұлпаға және мүшенің қабырғасына шектеулі жерде ғана шөгуі


ҚАЗАҚСТАН РЕСПУБЛИКАСЫНЫҢ АУЫЛ ШАРУАШЫЛЫҒЫ МИНИСТРЛІГІ
"ҚАЗАҚ ҰЛТТЫҚ АГРАРЛЫҚ ЗЕРТТЕУ УНИВЕРСИТЕТІ" КОММЕРЦИЯЛЫҚ ЕМЕС АКЦИОНЕРЛІК ҚОҒАМЫ
"Биологиялық қауіпсіздік" кафедрасы
Реферат
Тақырыбы: Стромалық-қантамырлық дистрофиялардың патоморфологиясы
Орындаған: "Ветеринариялық медицина"
Мамандығының 3 курс 306- топ студенті
Атабаева Махаббат Ертисовна
Тексерген : Мухпулова Гузалай Акимжанқызы
АЛМАТЫ 2021
Жоспар
І. Кіріспе . . . 3
ІІ. Негізгі бөлім
2. 1 Мукоидтық ісінудің мәні, морфологиясы, гистологиялық сипаты және ақыры . . . 4-5
2. 2 Фибриноидтық ісінудің мәні, морфологиясы, гистологиялық сипаты және ақыры . . . 6-7
2. 3 Гиалиноздың мәні, морфологиясы, гистологиялық сипаты және ақыры8-9
2. 4 Амилоидоздың мәні, морфологиясы, гистологиялық сипаты және ақыры. 10-13
ІІІ. Қорытынды . . . 14
ІV. Пайдаланылған әдебиеттер тізімі . . . 15
Кіріспе
Стромалық-қантамырлық нәруыздық дистрофиялар деп дәнекер ұлпада нәруыз алмасуының бұзылуы салдарынан туындайтын өзгерістерді айтады. Дәнекер ұлпа нәруыздарының арасында макромолекулалары коллаген және ретикулярлық талшықтарды құратын коллагеннің орны ерекше. Міндетті түрде табандық жарғақтар (эндотелийдің, эпителийдің) мен серпімді талшықтардың құрамында да болатын бұл коллагенді дәнекер ұлпа торшалары, негізінен фибробластар түзеді. Фибробластар дәнекер ұлпа негізгі затының гликозамингликандарын да түзеді. Негізгі заттың құрамында сонымен қатар нәруыздар мен қан плазмасының полисахаридтері де болады. Дәнекер ұлпаның өздеріне тән ультрақұрылымдары бар талшықтары жай микроскоппен бірнеше гистологиялық әдістерді қолдану арқылы ажырата танылады: коллаген талшықтары пикрофуксинмен қызыл түске, серпімді талшықтар орсеинмен, фукселинмен қара-көк түске, ретикулярлық талшықтар күміс тұздарын сіңіріп қара түске боялады. Дәнекер ұлпада фибробластар мен ретикулярлық торшалардан және биологиялық белсенді заттарды өндіретін лабароциттерден (мес торшалар) басқа қаннан енген торшаларда болады. Олар фагоцитозға қабілетті бунақталған ядролы (полиморфты ядролы) лейкоциттер, гистиоциттер және иммундық реакция-ларды жүзеге асыратын плазмобластар, плазмоциттер, лимфоциттер мен макрофагтар. Стромалық-қантамырлық диспротеиноздар қатарына му-коидтық ісіну, фибриноидтық ісіну, гиалиноз және амилоидоз жатады. Бұлардың алдыңғы үшеуі көбінесе дәнекер ұлпа ыдырауына байланысты туындайтын, бірізді дамитын біртұтас процестің жеке сатылары. Олар негізгі зат пен талшықты құрылымдар ыдырап, тамыр-ұлпа өткізгіштігінің күшеюі (плазморрагия) салдарынан дәнекер ұлпада қан мен лимфа нәруыздары жиналып, нәруыз-полисахарид кешенінің қалыптасуына байланысты туады. Амилоидоз әдетте организмде кездеспейтін талшықты нәруыз - амилоидтың пайда болуымен сипатталады. Бұл нәруызды арнайы торшалар - амилоидобластар түзеді.
Негізгі бөлім
2. 1 Мукоидтық ісінудің мәні, морфологиясы, гистологиялық сипаты және ақыры
Мукоидтық ісіну - дәнекер ұлпа ыдырауының алғашқы сатысы. Торшааралық заттағы нәруыз-полисахарид кешені ыдырайды да өзіне суды тарту қасиетіне ие глюкозамингликандар (негізінен гиалурон қышқылы) босап шығады. Олардың әсерінен ұлпа-тамыр өткізгіштігі күшейеді. Нәтижесінде қан плазмасының нәруыздары (негізінен глобулиндер мен гликопротеидтер) тамырлар сыртына шығып, ұлпалық глюкозамингликандарға араласады, сөйтіп торшааралық зат суланып, ісінеді. Микроскоп арқылы ұлпаның бояу сіңіру қасиетінің өзгергеніне көз жеткізуге болады: тіліндіні гематоксилин-эозинмен бояғанда торшааралық негізгі зат көкшіл тартады, ал толуидин көгімен - ұлпа әдеттегідей көк түске емес қызғылт түске боялады, яғни, метахромазияға ұшырайды (латын. metha - басқа, chromasia - бояймын) . Ісінген, тармақталған коллаген талшықтары пикрофуксинмен әдеттегідей қызыл түске емес сарғыш-қызыл түске боялады. Зақымданған ұлпа мен мүшенің сыртқы көрінісі өзгермейді. Сонымен бұл процеске тән өзгерістер тек микроскоп арқылы, гистохимиялық реакциялар арқылы анықталады. Мукоидтық ісіну әртүрлі мүшелер мен ұлпаларда кездесетін процесс, көбінесе артериялар қабырғаларын, жүрек қақпақшаларын, эндокардты, эпикардты шарпиды. Мукоидтық ісінудің алуан түрлі себептері бар: оттегінің тапшылығы, улану, инфекциялық аурулар, аллергиялық аурулар, кейбір зат алмасу аурулары (С, Е және К витаминдерінің тапшылығы), эндокриндік жүйе аурулары. Ақыры: бұл дистрофия сәтті аяқталып, ұлпа бұрынғы қалпына келуі де, керісінше асқынып, фибрин тәрізденіп ісіну дистрофиясына ұласуы да мүмкін.
Мукоидты ісіну - дәнекер ұлпасының үстіртін және қайтымды зақымдалуы. Бұл кезде дәнекер ұлпасының негізгі затында гликозамингликандар ыдырап, гиалурун қышқылы көбейеді.
Процеске тән қасиеттер:
Зақымданған ұлпа мен мүшенің сыртқы көрінісі өзгермейді. Бұл процеске тән өзгерістер тек гистохимиялық реакциялар арқылы анықталады. Мукоидтық ісіну әртүрлі мүшелер мен ұлпаларда кездесетін процесс, көбінесе артериялар қабырғаларын, жүрек қақпақшаларын, эндокардты, эпикардты зақымдайды.
Микроскопиялық көрінісі
Микроскоп арқылы ұлпаның бояу сіңіру қасиетінің өзгергеніне көз жеткізуге болады: тіліндіні гемотоксилин-эозинмен бояғанда торшааралық негізгі зат көкшіл тартады, ал толуидин көгімен ұлпа қызғылт түске боялады, яғни, метахромазияға ұшырайды.
Мукоидтық ісінудің себептері:
оттегінің тапшылығы, улану, инфекциялық аурулар, аллергиялық аурулар, витаминдерінің тапшылығы, эндокриндік жүйе аурулары.
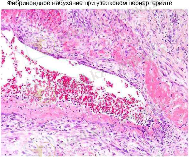
2. 2 Фибриноидтық ісінудің мәні, морфологиясы, гистологиялық сипаты және ақыры
Фибриноидтық ісіну (фибриноид) деп негізгі зат пен талшықтардың бүлінуімен, тамыр қабырғасы өткізгіштігінің күрт күшеюімен, фибриноидтың түзілуімен сипатталатын дәнекер ұлпаның өте зілді және біржола ыдырауын айтады. Фибриноид күрделі зат: оның құрамында күйреген негізгі зат пен коллаген талшықтарының нәруыздары, полисахаридтер, торша нуклеопротеидтері болады. Оның гистохимиялық құрамы әр жағдайда әркелкі, бірақ оған әрдайым фибрин араласқан. Микроскоп арқылы өздеріне плазма нәруыздарын сіңірген коллаген талшықтарының ісінгеніне, бір-бірімен жабысқанына көз жеткізіледі. Талшық будалары осылайша біркелкіленеді (гомогенденеді) . Олар фибринмен бірігіп өте берік, ерімейтін қосынды - фибриноидқа айналады. Фибриноид эозинмен өте айқын қызғылт түске, пикрофуксинмен сары түске боялады, ал Браше реакциясын қойғанда пиронинмен қызыл, ШИК-реак-циясын қойғанда фуксинмен қызыл боялады, тіліндіні күміс тұздарымен әсерлегенде, күмісті өзіне сіңіріп, сарғыш не қоңырқай тартады. Фибрин тәрізденіп ісінген дәнекер ұлпаға метахромазия құбылысы жалпы тән емес, бірақ кейде ол сәл ғана байқалуы мүмкін. Кей жағдайда фибриноидтық ісіну фибриноидтық некрозға ұласады да, зақымданған ұлпа құрылымы біржола жойылып, түйіршікті-кесекті затқа айналады. Әдетте мұндай некроз ошақтарының айналасына макрофагтар жиналады. Дистрофияның бұл түріне ұшыраған мүшелер мен ұлпалардың сыртқы нышаны өзгермейді. Фибриноидтық өзгерістер әртүрлі себептерден туады: аллергиялық, инфекциялық факторлар, белгілі бір жерде ұзаққа созылған қабыну процесі. Фибриноидтық ісінудің клиникалық маңызы өте зор: зақымданған мүшенің қызметі әлсірейді, тіптен мүлдем тоқтауы мүмкін.
Микрокөрінісі : коллаген талшықтарының бумалары гомогенденеді, қалыңдайды, бір-бірімен қосылады. Талшықтық құрылымы жойылады. Пиронин бояуымен қызыл түске қанық боялады. Мүшенің сыртқы көрінісі өзгермейді.
Себептері: инфекиялық және аллергиялық аурулар.
Ақыры: фибриноидты некрозға жалғасады. Соңынан гиалинозға ұшырайды.
Организмге әсері: мүше қызметі бұзылады.
2. 3 Гиалиноздың мәні, морфологиясы, гистологиялық сипаты және ақыры
Гиалиноз (грек. hyalos - мөлдір, шыны тәріздес) немесе гиалиндік дистрофия дәнекер ұлпада торшадан тыс жерге орналасқан біркелкі күңгірт нығыз заттың - гиалиннің пайда болуымен сипаталады. Ұлпа нығызданады.
Гиалин - талшықты протеин, оның түзілуінде плазма нәруыздарының, мысалы, фибриннің үлкен рөлі бар. Құрамында иммундық глобулиндер, комплемент фракциялары және май болады. Гиалин кесектері қышқыл, сілті және фермент әсеріне төзімді. Олар қышқыл бояуларға (эозин, қышқыл фуксин) бейім, пикрофуксинмен сары не қызыл түске, ШИК - реакциясы бойынша фуксинмен қызыл түске боялады. Гиалиноздың даму механизмі күрделі: қан плазмасының ұлпаға сіңуіне, ұлпаның фибриноидтық ісінуіне, қабыну, некроз, склероз процестеріне байланысты туындайды. Қан - лимфа айналымындағы ауытқулар, зат алмасуының бұзылуы және иммундық-дерттік процестердің салдарынан дәнекер ұлпа талшықты құрылымының бүлінуі, ұлпа-тамыр өткізгіштік қасиетінің күшеюі (плазморрагия) - дерттің негізгі белгілері. Ұлпа және оның зақымданған талшықтары қан нәруыздарын бойына сіңіреді де (адсорбция), ұйыйды (преципитация), мұның нәтижесінде гиалин түзіледі. Гиалин қан тамырларын, көбінесе жіңішке артерияларды, дәнекер ұлпаны зақымдайды. Ол белгілі бір жердегі және етек алған (жүйелі) процестер түрлерінде кездеседі. Тамыр қабырғасының гиалинозы эндотелиоциттердің, аргирофильдік жарғақтың, тегіс ет торшаларының зақымдануымен, қан плазмасының тамыр қабырғасына сіңуімен басталады. Эндотелий астында гиалин жиналады да, серпімді қабатша сыртқа қарай ығысып бұзылады, ортаңғы қабық жұқарады. Осылайша артериола қабырғасы жуандайды да, түтігі, керісінше, тарылады, сөйтіп шыны тәріздес түтікшеге айналады. Дәнекер өрменің гиалинозы көбінесе фибриноидтық ісіну салдарынан болады. Микроскоппен қарағанда дәнекер ұлпалық будалардың ісінгені, олардағы талшықты құрылымдардың бір-біріне жабысып, шеміршек тәріздес біркелкі затқа айналғанын, торшалардың қысымға түсіп семгенін, олардың санының азайғанын көруге болады.
Жергілікті гиалиноз ұзаққа созылған қабыну ошақтарында, тыртықтарда кездеседі. Мұнда да коллаген талшықтары ісініп, бір-біріне жабысады, біріңғай сүреңсіз затқа айналады, ұлпа торшалары семіп, кейін жойылып кетеді. Көбінесе гиалинозға ұшыраған мүшелер мен ұлпалардың сырт көрінісінде айтарлықтай өзгерістер болмайды. Тек, процесс өте ауыр түрде өткен жағдайда ғана қан тамырларының қатайғанын, зақымданған мүшенің бозарып нығызданғанын байқауға болады. Бүлінген ұлпаға кальций тұздары шөгуі мүмкін (дистрофиялық әктену) .
Микрокөрінісі: қантамырлар қабырғасы қалыңдайды, қуысы тарылады, құрылымы жойылып, біркелкі затқа айналады. Дәнекер ұлпада талшықар ісінеді, нығыздалып, шеміршекке ұқсаған массаға айналады.
Ақыры: гиалиноз көбінесе сәтті бітпейтін процесс. Тек кейде ғана гиалин шоғыры бірте-бірте сорылып, тарап кетеді. Гиалиноздың клиникалық мәні зақымданған мүшеге, процестің ауыр-жеңілдігіне байланысты. Кең тараған гиалиноз мүшелердің қызметін нашарлатады, зақымданған тамырлар тіпті жарылып кетуі де мүмкін.
2. 4 Амилоидоздың мәні, морфологиясы, гистологиялық сипаты және ақыры
Амилоидоз немесе амилоидтық дистрофия (лат. amylym -крахмал, oid -тәрізді) дегеніміз нәруыз алмасуы әбден бұзылып, ұлпада күрделі зат - амилоидтың пайда болуымен сипатталатын стромалық-қантамырлық диспротеиноз. Химиялық тұрғыдан алғанда амилоид - гликопротеид. Ол негізінен ерекше, талшықты құрылымды нәруыздан тұрады. Бұл нәруыз қанның нәруыздарымен, полисахаридтерімен, зақымданған ұлпаның туындысы - хондроитин күкірт қышқылымен, т. б. қосымшалармен (фибрин, иммундық кешен) күрделі байланысқан. Амилоид әр-түрлі қышқылдардың, сілті мен ферменттің әсеріне төтеп бере алатын өте нығыз, әрі берік зат. Осы дертке ұшыраған мүшеге алдымен йод, содан кейін күкірт қышқылының 10%тік ерітіндісін тамызса амилоид көкшіл - қызыл немесе күңгірт - жасыл боялады. Амилоидты өзіне ұқсас нәруыздардан, мысалы, гиалиннен ажырату үшін, бірқатар гистохимиялық реакциялар мен арнайы бояулар қолданылады. Ұлпа тіліндісін Конго қызылмен бояса амилоид күрең қызыл түске, ал ұлпа элементтері қызыл түске, метил көгімен немесе генциан көгімен бояса препарат түгелдей көк түске, ал амилоид метахромазияға ұшырап қызыл түске боялады. Амилоид кесектері ШИК - реакциясы бойынша оң боялады. Амилоидтың химиялық құрамы тұрақты емес, әркелкі, сондықтан ол метахромазиялық реакция бермеуі де мүмкін. Амилоидоздың себептері әртүрлі. Себептеріне қарай бірінші кезекті, тұқым қуалаған, кәріліктік және екінші кезекті (жүре болған) амилоидоздар деп бөледі. Алдыңғы үшеуі адамға тән, олар өз алдына дербес аурулар болып есептеледі. Екінші кезекті амилоидоз негізгі дерттің асқыну процесі ретінде, мысалы, мал денесіндегі ірің немесе некроз ошақтарына байланысты ұлпа нәруыздарының ыдырауынан болады. Амилоидоз негізінен өте сүтті сиырда, құста, мамық терілі аңда және жылқыда кездесетін дерт. Лабораториялық жануарларға тәжірибе жасап, тері астына, бұлшық етке бірнеше қайтара нәруыз (мысалы, казеин) жіберіп олардың денесінде жасанды амилоидоз тудыруға болады. Биологиялық комбинаттарда иммунды сұйық алу мақсатында жылқы не есек қанына немесе терісінің астына айлар бойы әлсін-әлсін бөгде нәруыз жіберсе көптеген мүшелерді (бауырды, талақты, т. б. ) зақымдайтын жүйелі амилоидоз туады. Жергілікті амилоидоз - қан мен лимфаның іркілуіне ұласатын созылмалы қабыну процестерінің салдары. Процесс организмде таралуына қарай кең таралған - жүйелі және жергілікті амилоидоз болып бөлінеді. Екінші кезекті амилоидоз әдетте кең тараған сипатта болады. Жергілікті амилоидоз - қан мен лимфаның іркілуіне ұласатын созылмалы қабыну процестерінің салдары. Амилоидоз патогенезі өте күрделі және әрдайым бір
мағыналы емес. Ол жөнінде диспротеиноз теориясы, аутоиммунитет теориясы, бір түбірден дамыған торшалар теориясы және мутациялық теория ұсынылған. Амилоидоздың дамуы бірізді 4 сатыдан тұрады. Алғашқы сатыда нәруыз түзетін мезенхималық торшалар (плазмоциттер, ретикулоциттер, фибробластар, т. б. ) амилоид түзетін торшалар - амилоидобластарға айналады. Екінші сатыда осы амилоидобластар талшықты нәруыз түзеді. Кейін (үшінші саты) осы талшықтар бір-біріне жабысып амилоид қаңқасын құрайды. Ең ақырғы төртінші сатыда талшықты нәруыз қаңқасына қан гликопротеидтері мен ұлпа хондроитин сульфаттары қосылып күрделі гликопротеид - амилоид пайда болады. Амилоид ретикул талшықтары мен коллаген талшықтарын бойлай орналасады. Ол паренхималық мүшелердің (мысалы, бауыр, талақ, бүйрек) стромасына, жіңішке және жуандау тамырлардың интимасына, жүйке, тері стромасына шөгеді. Зақымданған мүшенің сыртқы көрінісі дерт процесінің ауыр-жеңілдігіне байланысты. Мүшенің сыртқы көрінісі өзгермей, амилоидозға тән өзгерістер тек микроскоп арқылы анықталуы мүмкін. Амилоидоз әбден дамыған жағдайда зақымданған мүше ұлғаяды, ақшыл-сұрғылт тартып нығызданады (жылқы мен есекте босаңсиды) . Амилоид шөгіндісі қысымының әсерінен паренхималық торшалар (бауыр уықтары) семеді, ақыры өледі. Бауырда амилоид Диссе қуысында, яғни, синусоидтық қылтамырлар айналасында, жұлдызша мен гепатоциттердің арасында, және бауыр бөлекшелері аралығындағы артериолалар мен қылтамырлар қабырғаларында шоғырланады. Бауыр бірнеше есе үлкейеді, жылқыда оның салмағы 16 - 33 кг дейін жетуі мүмкін. Мүшенің әдеттегі қызыл-қоңыр түсі өзгеріп солғын тартады, сұрланады. Строманың балқуына байланысты мүше жарылады, қанталайды, қара-қошқыл түсті ұйыған қан ошақтары пайда болады.
... жалғасы- Іс жүргізу
- Автоматтандыру, Техника
- Алғашқы әскери дайындық
- Астрономия
- Ауыл шаруашылығы
- Банк ісі
- Бизнесті бағалау
- Биология
- Бухгалтерлік іс
- Валеология
- Ветеринария
- География
- Геология, Геофизика, Геодезия
- Дін
- Ет, сүт, шарап өнімдері
- Жалпы тарих
- Жер кадастрі, Жылжымайтын мүлік
- Журналистика
- Информатика
- Кеден ісі
- Маркетинг
- Математика, Геометрия
- Медицина
- Мемлекеттік басқару
- Менеджмент
- Мұнай, Газ
- Мұрағат ісі
- Мәдениеттану
- ОБЖ (Основы безопасности жизнедеятельности)
- Педагогика
- Полиграфия
- Психология
- Салық
- Саясаттану
- Сақтандыру
- Сертификаттау, стандарттау
- Социология, Демография
- Спорт
- Статистика
- Тілтану, Филология
- Тарихи тұлғалар
- Тау-кен ісі
- Транспорт
- Туризм
- Физика
- Философия
- Халықаралық қатынастар
- Химия
- Экология, Қоршаған ортаны қорғау
- Экономика
- Экономикалық география
- Электротехника
- Қазақстан тарихы
- Қаржы
- Құрылыс
- Құқық, Криминалистика
- Әдебиет
- Өнер, музыка
- Өнеркәсіп, Өндіріс
Қазақ тілінде жазылған рефераттар, курстық жұмыстар, дипломдық жұмыстар бойынша біздің қор #1 болып табылады.

Ақпарат
Қосымша
Email: info@stud.kz