Жатырдан тыс жүктілік


Тақырыбы:Жыныс мүшелерінің ісіктері. Гинекологияда «іштеспе»
Жоспар:
- Кіріспе
- Негізгі бөлім
- Сыртқы жыныс мүшесі мен қынаптың ісік алдындағы аурулары
- Гинекологияда «іштеспе»
- Қорытынды
- Пйданылған әдебиеттер
Кіріспе
Қазіргі уақытта әйел жыныс мүшелерінің қатерлі ісіктерінің өсу жиілігі жоғарлауына, сонымен қатар төмендеу қарқынының жоқтығына байланысты онкологиялық гинекологияның бұл мәселесі маңызды болып табылады.
Онкологиялық гинекологияның жиі кездесетін дерттеріне- жатыр мойынының, жатыр денесінің және аналық бездің қатерлі ісіктері жатады. Бұл үш науқас барлық әйел жыныс мүшелерінің қатерлі ісіктерінің 95% құрайды.
Қалған бес нозологиялық онкогинекологиялық қатерлі ісіктер -олар қынаптың, жатыр түтікшелерінің, жатыр саркомасы және трофобластық ауру, сыртқы жыныс мүшелерінің қатерлі ісіктері 5% құрайды.
1. Сыртқы жыныс мүшесі мен қынаптың ісік алдындағы аурулары.
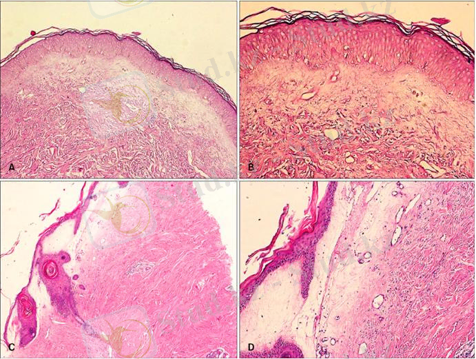
Сыртқы жыныс мүшесінің ісік алдындағы ауруларына вульваның тері, шырышты және тері асты май шел қабаттарының созылмалы дистрофиялық процестері-крауроз және лейкоплакия жатады. Бұл аурулар жиі постменопауза кезінде кездеседі және барлық гинекологиялық аурулардың 0, 06%-тің құрайды. Осы аурулардан 20-50% жағдайда қатерлі ісік дамиды. Крауроз және лейкоплакия аурулары орталық жүйке жүйесі жоғары бөлімдерінің жас шамасына сәйкес функциональды өзгерістеріне байланысты нейроэндокринді және зат алмасудың ауыр түрдегі бұзылуларына, гиппофиздің гонадотропты қызметін реттейтін гипоталамус структурасының жоғарғы қалыптағы қозуына Вегетоневрозды реакциялардың пайда болуына қатысы бар орталықтар қызметіне негізделген. Бұл науқастарда бүйрек үсті қабығының қызметі әлсірейді, вульва тіндеріндегі кортикостероидты деңгейі төмендейді. Осының әсерінен вульва рецепторларының эндогенді гормонды әсерлерге деген реакциясы өзгереді.
Крауроз
Крауроз-үлкен және кіші жыныс еріндерінің, шошақайдың біртіндеп дамитын атрофиясы, ол сыртқы жыныс мүшесінің тері және шырышты қабаттарын патологиялық бүрісуге әкеліп соқтырады. 1-ші кезеңі-сыртқы жыныс мүшесі маңайының ісініп, қызарып, қышынуымен сипатталады. Үлкен және кіші жыныс еріндері ісініп көгерген. 2-ші кезеңінде атрофиялық өзгерістер күшейе түседі, үлкен және кіші жыныс еріндері тегістеліп, шошақай атрофияға ұшырайды, терісі ақшыл тартып құрғайды, қынапқа кірер жол тартылады. 3-ші кезеңде /склерозды/ сыртқы жыныс мүшеісінің толық атрофиясы және склерозды дамиды. Сыртқы жыныс ернінде түк болмайды, тері және шырышты қабаттары жұқарады, бозарып қорлана-көгереді /қыржымдалған пармагент бетіне ұқсайды/. Қынапқа кірер жер, несеп ағар каналының және көтеншектің тесіктері тарылады. Жыныс қатынасы және зәр шығаруы қиындайды.
Лейкоплакия
Лейкоплакия-шырышты қабат бетіндегі сүт тәрізді ағарған дақ, эпителий гиперплазия мен эпителий асты тінінің инфильтрациясы. Ары қарай тін склерозы дамиды. Жалпақ, гипертрофиялы, сүйел тәрізді болып бөлінеді. Лейкоплакия даму деңгейіне қарай жоғарыда аталған үш түрге бөлінеді. Лейкоплакия құрғақ ақ не көгеріп-ағарған қатпарлы табақша тәрізді шектелген бөліктерде немесе вульваның түгелдей бойына таралуы мүмкін. Вульва краурозы мен лейкоплакиясының бірігіп дамуы, малигнизациясы /қатерлі ісікке айналуы/ жөнінен қауіпті келеді. Бұл аурулар клиникалық белгісіз өтеді және алдын-ала қарау кезінде анықталынады. Кейде крауроз ұзаққа, көп жылға созылады, түнде қинап қышытады, ол неврозды бұзылуларға, ұйқы мен еңбек қабілеттерінің төмендеуіне әкеледі. Қышыған жерлердің орнында кішкене жарықшалар, тілінулер, соңында вульва қабынуы пайда болады. Диагноз клиникалық суреттеме негізінде қойылады. Қосымша зерттеу әдістерінен кольпоскопия, Шиллер сынағы /сыртқы жыныс мүшесін Люголь спиртті ерітіндісімен майлағанда, лейкоплакия бөліктері боялмайды/ қолданылады. Кольпоскопия кезіндегі іріктелген малигназацияға күдікті аймақтар биопсия және гистологиялық тексеруден өткізіледі.
Емі. Крауроз және лейкоплакия ұзаққа созылады. Оны емдеу дәрігер мен науқастан шыдамдылықты қажет етеді. Комплексті ем құрамына сыртқы жыныс мүшелерін жуу, диета, гормонды ем, ультрадыбысты, спиртті новокаин блокадасы, крио ем жатады, ал ем тиімсіз болған жағдайда вульвоэктомия жасалады. Сыртқы жыныс мүшелерін гидрокарбонат натрий, түймедағы не календула тұнбасы қосылған қайнатылған сумен күніне бірнеше рет жуады. Перманганат калий, бор қышқылының ерітінділерімен жууға болмайды, өйткені олар тіндерді тітіркендіріп құрғатады. Жүнді синтетикалық іш киімдерді киюге болмайды, олар қышыманы күшейте түседі. Диета-сүтті-өсімдікті, ащы тағамдар және ішімдіктер қолдануға болмайды. Эстроген және андроген гормондарымен /дипропионат эстродиолдың 0, 1 %-1 мл ерітіндісін және пропионат тестостеронның 1%-1 мл ерітіндісін аптасына бір рет 5-7 апта көлемінде, бір шприцпен жібереді/ емдейді. Осы гормондарды май, крем ретінде де қолданады, глюкокортикоид майларын /фторокорт, синалар, локакортен белгілейді. Сонымен қатар седативті және ұйықтатқыш дәрілерін береді. Қынаптың ісік алдындағы ауруларына лейко және эритроплакия жатады. Қынап лейкоплакиясы көп қабатты жалпақ эпителийдің мүйізденуі, ағарған қатпарлы табақша, кейде папиллома тәрізді болады. Эритроплакияға бет қабатты эпителийдің мүйізденіп жұқаруы тән. Оның шекарасы анықталынған, беті жарқыраған, ашық-қызылды дақ, тигенде жеңіл қанайды. Анықтауға биопсия қажет. Емдеу тәсілінен крио ем немесе хирургиялық шара қолданылады. Сыртқы және ішкі /қынап/ жыныс мүшелерінің ісік алдындағы аурулары бар әйелдер диспансерлік қадағалауда болады. Әйелдер консультациясына 3-6 айда 1 рет көрінулері тиіс.
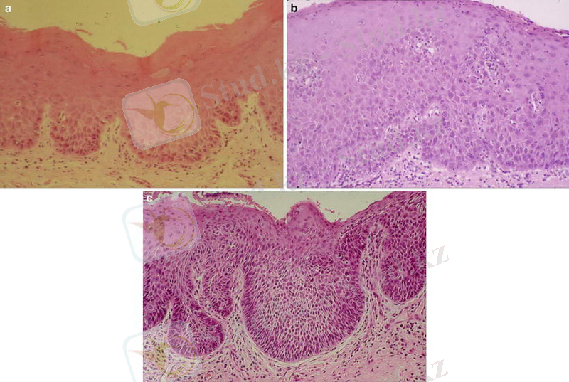
Сыртқы жыныс мүшесі мен қынаптың рагы және саркомасы. Вульва рагы жиі егде тартқан әйелдерде крауроз не лейкоплакия ауруларымен қатар кездеседі, шошақай, үлкен не кіші жыныс еріндері, қынап сағасындағы үлкен бездер маңайында орналасады. Вульва рагы инфильтративті және түйінді/ыдыраған жара болуы мүмкін/ болып бөлінеді. Қышу, ауыру ағарған және қанды бөліндінің көрінуі сияқты белгілер ертерек пайда болады. Ақырғы диагноз биопсия және гистологиялық тексеруден соң қойылады. Сыртқы жыныс мүшелерінің рагын емдеу кең түрде жасалған вульвоэктотомиядан, сонан кейінгі сәулелі емнен тұрады. Оперативті шара жасауға жағдай болмаса қосарланған сәулелі ем жасалады.
Қынап рагы көп жағдайда метастаз түрінде болады.
Жатыр мойнының рагыне қынап қабырғаларының инфильтративті рагы тән, ал эндометрий рагының метастазында ісікті түйін пайда болады, кейін ыдырап жараға айналады. Қынаптың біріншілік /алғашқы/ рагы өте сирек кездеседі. Анықтау қиынға түспейді, биопсияға алынған материальды гистологиялық тексеруден өткізу қынап рагын, туберкулез, мерез /қатты шанкр/ ауруларын бірі-бірінен ажыратуға мүмкіндік береді. Емі негізгі процестің орналасуына, таралу деңгейіне, қосарланған сәулелі ем нәтижесіне байланысты.
Вульва және қынап саркомасы.
Ересек әйелдерде сирек кездеседі. Жиі қыз балаларда кездеседі, олар шошақай, жыныс еріндері, қынап маңайында орналасады. Ол шектеулі түйін, төмен орналасқан тіндерге өсіп кетеді және ыдырағанда жара пайда болады. Емі-зақымданған мүшені-вульва мен қынапты алып тастайды, сонан кейін сәулелі ем жасайды
Жедел іш - шұғыл көмекті қажет ететін және құрсақ қуысының ағзаларының жедел аурулары мен зақымдануларында дамитын, өмірге қауіп төндіретін клиникалық белгілердің жиынтығы.
Жедел іштің клиникасы пайда болатын ішкі әйел жыныс мүшелерінің ауруларының топтары:
1. Ішкі жыныс мүшелерінен жедел қан кету:
• жатырдан тыс жүктілік;
• аналық без апоплексиясы;
• жатырдың жарақаттық зақымданулары (ятрогенді немесе криминальды) .
2. Ішкі жыныс мүшелерінің ісіктері мен ісік тәрізді түзілістердегі қан айналымның жедел бұзылыстары:
• аналық без ісігінің аяқшасының бұралуы;
• фиброматозды түйіннің қоректенуінің бұзылыстары.
3. Перитониттің дамуымен ішкі жыныс мүшелерінің жедел іріңді аурулары:
• пиосальпинкс және пиовар, іріңді тубовариальды түзілістер;
• пельвиоперитонит;
• жайылмалы перитонит.
Жатырдан тыс жүктілік
Ұрықтанған жұмыртқа жатыр қуысынан тыс дерде имплантацияланып дамитын жүктілікті - жатырдың тыс немесе эктопиялық жүктілік деп атайды.
Жіктелуі:
Ұрықтанған жұмыртқаның жабысу орнына байланысты:
-Түтіктік;
-Аналық бездік;
-Іш қуыстық.
Сирек жағдайда жатырдан тыс жүктілік жатырдың рудиментарлы мүйізінде орын алады.
Патологиялық жиі формасы бұл түтіктік жүктілік (98-99%) . Өз кезегінде түтіктік жүктілік ұрықтың ену орнына байланысты: ампулярлы, истмикалық және истерстициалды бөліктерінің жүктілігі депбөлінеді. Түтікшелік жүктілік көбңне сол жақ түтікшеге қарағанда оң жақ түтікте жиі дамиды.
Этиологиясы және патогенезі . Қалыпты жағдайда аналық жасушаның ұрықтануы түтікшенің ампулярлы бөлігінде жүреді, содан соң ұрықтанған аналық жасуша түтік арқылы жатырға қарай жылжиды. Жатыр түтіктерінің тасымал қызметі көптеген факторларға тәуеді: аналық бедің гормонды қызметіне және оның экзогенді гормон бөлінісіне, түтік қабырғасының барлық қабатының толық болуына, қанмен қамтамасыз етілуі және ішкі жыныс мүшелерінің иннервациясы. Осы аталған факторлардың бұзылыстары - ұрықтанған аналық жыныс жасушасының қалыпты механизммен тасмалдануына кедергі жасап, жатырдан тыс жүктілікке әкелуі мүмкін. Мұндай жағдайлар әртүрлі болады:-жыныс мүшелерінің қабыну аурулары;
-жатыр түтігінде жасалған пластикалық операциядан кейін;
-жатыр мен жатырқосалқыларының ісіктері;
-эндометриоз;
-жыныс инфантилизмі;
-жыныс мүшелерінің даму ақаулары мен дұрыс емес орналасы;
-ұрық жұмыртқасының миграциясының бұзылыстары;
-трофобластың протеолитикалық белсенділігінің жоғарлауы;
-эндокринді аурулар.
Клиникасы. Әдетте жатырлық жүктілік кезінде ұрықтанған жұмыртқа жасушасы трофобластардың көмегімен дицидуальды қабатты ерітіп оған енеді. Түтіктің кілегей қабаты децидуальды өзгеріске ұшырамайды, сондықтан трофобластардың бүрлері кңлегей қабатты бүзып, бұлшықетті қабатқа еніп, онын бүтіндігін бұзады. Түтіктік жүктілік 5-6 апталық мерзімге дейін өседі, қте сирек одан да үлкен жүктіліктің мерзіміне дейін жетуі мүмкін.
Түтіктік жүктілікті прогрессирлеуші және үзілген деп бөледі.
Үзілген түтіктік жүктілік - аборт немесе түтіктің жарылуы болып екіге бөлінеді.
Прогрессирлеуші жатырдан тыс жүктілік. Жатырдан тыс жүктілік кезінде қалыпты жатырлық жүктілікте сияқты әйел организмі өзгерістерге ұшырайды: етеккірдің тоқтауы, сүт бездерінің дөрекіленуі, уыздың пайда болады, жүрек айну, тәбеттің бұрмалануы кездеседі. Қынаптың және жатыр мойнының кілегей қабатының цианозы анықталады. Жатыр үлкееді және жұмсарады. Жатырдың кілегей қабаты децидуальді қабатқа айналады. Аналық бездерде жүктіліктің сары денесі түзіледі. Жүктіліктің имуннологиялык реакциясы оң болады. Түтіктік жүктілікте ерте кезінде диагноз қою қиын. Бірақ, жатырдан тыс жүктілікке тән белгілер бар: жатырлық жүктілік кезінде жатыр көлемі үлкееді және жатыр көлемі жүктілік мерзіміне сәйкес келеді.
Жатыр түтігінің жарылуы . Ұрық жатыр түтікшесіне еніп, өскенде, белгілі бір мезетте оның жарылуы болады, содан сон іш қуысына массивті қан кетіп, шоққа алып келеді. Бұл кезде жедел клиникалық көрінісін болады: науқаста физикалық күш түскенде немесе дефекация акті кезінде кенеттен іштің төменгі жағының жедел ұстама ауырсынуы, ауру сезімінің тік ішекке берілуі болады. Салқын тер, бозару, аз уақыт естен тану, АҚ төмендеуі байқалады. Пульс әлсіз, жиі болады. Іштің бүйір жағын перкуссиялағанда дыбыстың тұйықталуы анықталады. Іштің бұлшық ет ерінің керілуі және іштің төменгі жағының ауырсынуы болады. Қынаптық зерттеуде: жатыр мойнының қозғалуы бірден ауырсынады, жатыр мойнынан қою қанды бөліністер бөлінеді. Науқастың жағдайы белгілі бір уақытта стабилизерленуі тіпті жақсаруы да мүмкін. Бірақ іш астарлық қан кетудің жоғарылауымен коллапс және шок дамуы мүмкін. Науқас күйінің ауырлығы қан жоғалту көлеміне және оған бейімделуіне байланысты болады. Клиникалық лабораторияда зертеулер нәтижелері науқастың жалпы жағдайымен сәйкес келуі мүмкін, гемоглабмннің құрамы төмендеген және эритроциттердің саны азайғанмен науқас өзге қанағаттанарлық серігуі мүмкін.
Түтіктік аборт.
Түтіктік аборт әдетте ұзақ өтеді, көп жағдайда жедел клиникалық көрініссіз. Түтіктік аборттың кеш клиникалық көрінісі іш қуысына екіншілік қан кетумен, жатыр-тік ішек қуысында гемотома түзілуімен, анемия және іш астардың тітіркенуімен сипатталады.
Емі: диагностикаланған жатырдан тыс жүктілікке жедел жасалатын оперативті ем жүргізеді. Әдетте жатыр түтігінің патологиялық өзгеріске алып тастайды. Пластикалық операция жасалады. Пластикалық операция дәрігердің хирургиялық техникасының жоғарғы дәрежелігін талап етеді.
Үзілген жатырдан тыс жүктілікке диагноз қойып болғаннан соң, 30-40 минуттың ішінде операция жасау керек. Осы уақыттан бастап, қан құю немесе қан алмастырғыш заттар құю керек. Қанның жедел құйылуы науқаста қан жоғалтудан дамитын гиповалемиалық шокқа қарсы жүргізіледі.
Науқастың күцінің ауырлығына байланысты операцияға дейін қан алмастырғыш заттарды вена ішілік енгізе бастайды. Іш қуысты ашқан соң қанның 1-ші мөлшерін содан соң қан кетуін анықтап, оны тоқтатып қалған қан мөлшерін (порция) содан соң қан кетуін анықтап, оны тоқтатып қалған қан мөлшерін майдаланған қуыс қанын қолданғанда физиологиялық ерітіндіден басқа бір мезгілде 2500 ЕД геарин енгізеді. Ол қан ұюының қалыптасуын және коагуляция қасиетінің төмендеуіне негізделген.
Аналық бездің апаплексиясы
- Іс жүргізу
- Автоматтандыру, Техника
- Алғашқы әскери дайындық
- Астрономия
- Ауыл шаруашылығы
- Банк ісі
- Бизнесті бағалау
- Биология
- Бухгалтерлік іс
- Валеология
- Ветеринария
- География
- Геология, Геофизика, Геодезия
- Дін
- Ет, сүт, шарап өнімдері
- Жалпы тарих
- Жер кадастрі, Жылжымайтын мүлік
- Журналистика
- Информатика
- Кеден ісі
- Маркетинг
- Математика, Геометрия
- Медицина
- Мемлекеттік басқару
- Менеджмент
- Мұнай, Газ
- Мұрағат ісі
- Мәдениеттану
- ОБЖ (Основы безопасности жизнедеятельности)
- Педагогика
- Полиграфия
- Психология
- Салық
- Саясаттану
- Сақтандыру
- Сертификаттау, стандарттау
- Социология, Демография
- Спорт
- Статистика
- Тілтану, Филология
- Тарихи тұлғалар
- Тау-кен ісі
- Транспорт
- Туризм
- Физика
- Философия
- Халықаралық қатынастар
- Химия
- Экология, Қоршаған ортаны қорғау
- Экономика
- Экономикалық география
- Электротехника
- Қазақстан тарихы
- Қаржы
- Құрылыс
- Құқық, Криминалистика
- Әдебиет
- Өнер, музыка
- Өнеркәсіп, Өндіріс
Қазақ тілінде жазылған рефераттар, курстық жұмыстар, дипломдық жұмыстар бойынша біздің қор #1 болып табылады.

Ақпарат
Қосымша
Email: info@stud.kz