Кетоз ауруының емі


БІЛІМ ЖӘНЕ ҒЫЛЫМ МИНИСТРЛІГІ ҚАЗАҚСТАН РЕСПУБЛИКАСЫ
Қазақ Ұлттық Аграрлық Зерттеу Университеті
Биологиялық қауіпсіздік кафедрасы

Тақырыбы: Созылмалы кетоз ауруының патоморфологиясы
Орындаған:
Орынтай А.
Вм-408
Тексерген: Мыржиева А.
Алматы. 2020 ж
Жоспары
Кіріспе
Негізгі бөлім
2. 1. Кетоз ауруының этиологиясы мен патогенезі.
2. 2. Кетоз ауруларының клиникалық белгілері.
2. 3. Патологиялық өзгерістер.
2. 4. Кетоз ауруын балау.
2. 5. Кетоз ауруының емі.
2. 6. Аурудың алдын алу шаралары
Қорытынды
Пайдаланылған әдебиеттер тізімі
Кіріспе
Метаболизм - бұл химиялық реакциялардың салыстырмалы түрде тұйықталған циклі. Тірі материя өз құрылымын сақтау үшін сырттан үнемі энергия ағыны қажет. Бұл жағдайда метаболизм мен энергия заттардың ассимиляциялануынан және қарапайымдардан күрделі химиялық қосылыстардың синтезінен (анаболизм) және заттардың ыдырауы мен бөлінуінен (катаболизм) тұрады. Бұл процестерді бұзу түрлі ауруларға әкеледі. Жануарлардағы метаболикалық бұзылулар аурулары организмнің ең жоғары физиологиялық стресстері кезінде (жүктілік, босану, лактация, өсу) жиі тіркеледі. Бұл аурулар айқын маусымдық сипатқа ие, олар негізінен қыс мезгілінің соңында жануарлар жайылымға кеткенге дейін көрінеді. Көптеген нозологиялық бөлімшелер (кетоз, остеодистрофия және т. б. ) ұзақ уақыт басым көпшілігінде жасырын, асимптоматикалық, субклиникалық сатыда жүреді, бұл метаболикалық бұзылулардың ерте диагностикасын және олардың уақтылы алдын-алуын едәуір қиындатады. Клиникалық тәжірибеде метаболизмнің кез келген түрінің бұзылуы өте сирек кездеседі. Көбінесе метаболизмнің әртүрлі бұзылыстарының жиынтығымен күресу керек, мысалы, ақуыз-көмірсулар, көмірсулар-майлар, витамин-минералдар және т. б. Сондықтан метаболикалық бұзылулардың табиғаты қандай да бір индикатордың немесе симптомның өзгеруі негізінде ғана шешілмейді. Бұл бұзылуларды диагностикалау кезінде зерттеу әдістерінің бүкіл кешені қолданылады, анамнез деректері, азыққа, малдың қанына және т. б. лабораториялық талдаудың нәтижелері ескеріледі. Аурудың таралуы және экономикалық зияны бойынша метаболикалық бұзылулар өнімді жануарлардың ішкі патологиясы арасында бірінші орындардың бірін алады. Фосфор-кальций алмасуының бұзылыстары (остеодистрофия) жиі тіркеледі - 34-86%, кетоз - 12-80%, гипо- және авитаминоз - 10-30%, ал сирек микроэлементоз - 5-20%.
Мал кетозы ауруы - көмірсулар, ақуыздар мен майлардың метаболикалық бұзылулары.
Кетоз белгілері олар: глюкоза деңгейін төмендеуі қан плазмасында, сонымен қатар бауырдағы гликоген, және жоғарылаған кетонның түзілуі және бөлінуі
арқылы ауру өзін-өзі көрсетеді. Оның белгілері жиі аз симптомдармен көрінеді (субклиникалық форма) .
Кетоз туралы алғашқы хабарламалар 19 ғасырдың ортасынан басталады. Кетон жануарлардың зәріндегі денелерді алғаш рет 1911 жылы Ионком ашқан. Кейінірек осы аурудың негізгі ерекшеліктері зерттелді. Кетоз ауруы үлкен экономикалық шығын туғызады. Бұл дамыған елдердің барлығында мал шаруашылығында дерлік кездеседі. Кейбір елдерде сиырдың жалпы санының 5-тен 10% дейін төлдегеннен кейін, кетозбен ауырады. Жеке отарда, ауру саны сиырдағы кетоз 20-80% құрайды.
Бұл аурудың зияны өнімдердегі алынбаған сүттен тұрады (30-70%), жануарларды емдеуге кететін шығындар, сондай-ақ шығын жануарларды жоюға кетеді. Ауырып, қалпына келген сиырларда сүті азаяды, лактация ұзақтығы оларда ауыртпалыққа қарағанда қысқа. Кетоздан сауыққан сиырлар арасында байланыс орнатылды бұл аурудың олардың ұрпақтарында жиілігі.
Кетоздың бірнеше себептері бар. Мал ауруы кетоз цикатриальды ас қорыту бұзылыстарынан туындайды, төмен плазмадағы глюкоза және көмірсулардың қарқындылығының төмендеуі жүреді. Айқын глюкогендік әсері бар ұшпа май қышқылдарынан пропион қышқылына ие. Сірке қышқылы олай емес глюкогенді және оны ішекке енгізу глюкозаның ұлғаюына әкелмейді қан. Бутин қышқылының айқын кетогендік қасиеті бар. Пропион қышқылын жеткіліксіз қабылдау кезінде және бутир және сірке қышқылдарының шамадан тыс түсуі жағдай жасайды кетон денелерінің түзілуін арттырылады. . Кетоздың басталуында лактация кезеңінде энергияның жетіспеушілігі маңызды рөл атқарады, жоғары концентрацияланған азықтандыру, бір жақты сүрлем-концентрат тамақтану, физикалық әрекетсіздік, инсоляция мен аэрацияның болмауы.
Негізгі бөлім
2. 1. Кетоз ауруының этиологиясы мен патогенезі.
Кетоз (Ketosis) - организмде кетон денешіктерінің жиналуымен, гипофизорлы - бүйрек үсті безі жүйелері, қалқанша бездердің, бауырдың, жүректің, бүйректердің және басқада ағзалардың зақымдануымен сипатталатын ауру. Кетоз сауын сиырларда, көп төл беретін саулықтарда және басқада күйіс малдарында кездеседі.
Кетоздар (ketosis, ацетонемия) - ұлпаларда глюкоза мен глюкопластикалық аминқышқылдарының тапшылығымен және кетопластикалық қосылыстардың шамадан тыс мол болуымен сипатталатын зат алмасуының бұзылуы.
Кетоздар біріншілік және екіншілік болып бөлінеді.
Біріншілік кетоздар - дербес аурулар, көбінесе күйіс қайыратын жануарларда әсіресе сүтті сиырларда, өсімтал қойларда, сирегірек шошқада, құста және терісі бағалы аңда кездеседі.
Екіншілік кетоздар - ас қорытудың бұзылуымен көрінетін аурулар негізінде туындайды.
Кетоз дегеніміз не?
Ғылыми тұрғыдан алғанда, кетоз - бұл ас қорыту мен метаболикалық жеткіліксіздіктен туындаған патологиядан басқа ештеңе емес. Ол бірқатар жағымсыз құбылыстармен бірге жүреді, мысалы: гиперкетонемия; бауырдағы
деструктивті өзгерістер; бүйрек үсті бездерінің дисфункциясы; гипогликемия.
Кетоз дұрыс тамақтанбаудан және одан кейінгі метаболикалық бұзылулардан туындайды.
Әрине, фермерге бірден көп айтатын ең шешендік белгі - сиырдан шыққан ацетонның иісі.
Пайда болу себептері
Статистикаға сүйенсек, көбінесе сиырлар зардап шегеді, олардың сүті шамамен 4 мың килограммды құрайды. Рум ішіндегі процестердің өзгеруі кетон денелерінің жиналуына әкеледі, ал олар өз кезегінде бауырға, жүрек-қантамыр жүйесі мүшелеріне және ішкі секреция бездеріне, содан кейін дененің басқа бөліктеріне әсер етеді.
Бұл құбылыстың басты себебі - сапалы мал азығының, шөптің және тамырлы дақылдардың жетіспеушілігі, оны кейбір фермерлер ақуыз және май қышқылы бар сүрлем мен тамақ концентраттарымен алмастырады. Олар энергия көзі ретінде, сонымен қатар кетон денелерінің рөлін атқарады. Лактация кезеңінде денеге сүттің түзілуі үшін глюкоза мен табиғи энергия ерекше қажет. Сондықтан ауру, әдетте, ұрғашыларда төлдегеннен кейінгі алғашқы екі-үш ай ішінде дамиды.
Кетоз көбінесе босанғаннан кейін бірнеше айдан кейін сиырларға әсер етеді
Кетоздың түрлері
Кетоздың екі түрі бар:
Метаболикалық (біріншілік) - зат алмасудың бұзылуы себеп болады;
Олар бұрыннан бар аурулардың салдары ретінде әрекет етеді, мысалы, травматикалық ретикулит немесе провентрикуланың дистониясы, сондай-ақ босану парезі.
Кетоз созылмалы аурулардың жалғасы бола алады.
Біріншілік кетоздардың себебі алуан түрлі. Негізінде рационда қант - протеин арақатынасының бұзылуы, көмірсудан ашығу, глюкопластикалық азықтың тапшылығы, кетопластикалық аминқышқылдарының, микроэлементтердің, холиннің және В12 дәруменінің шамадан тыс мол болуы. Шектен тыс көп сауу, шектелген мацион, бағып ұстаудағы кемшіліктер себепші факторларға жатады.
Кетоздар патогенезінің негізіне заттар алмасуының ауытқуы жатады, бауырдағы глюкогенез жұмсалатын глюкозаның орнын толтыра алмайды. Бұл тапшылықты жабуда кетопастикалық қосылыстардың, соның ішінде май қорындағы май қышқылдарының ролі артады. Oсының нәтижесінде олардың қанындағы мөлшері артып, паренхималық мүшелерде, әсіресе бауырда майлану игфильтрациясы дамиды. Көмірсудың тапшылығынан майлар толығымен тұтанбайды, осы себепті көп мөлшерде шала тоттыққан өнімдер, әсіресе кетондық денелер пайда болады. Соңғылары глюкозаның түзілуін тежейді. Кетон денешіктері шектен тыс түзілгенде гликолиз процесі пирожүзім, сүт және т. б органикалық қышқылдардың жинақталуымен жүзеге асады. Oсы себепті аденозинүшфосфорлы қышқыл аз мөлшерде түзілді де, ацидоз күшейеді, тотығу орын толтыру процестері бәсеңдейді, кешенді құрылымдар ыдырайды, ал осының негізінде ферментопатия, тіршілікке маңызды мүшелердің дистрофиясы, гормоналды және жүйке жүйелері қызметінің бұзылуы туындайды.
Жүрек пен тыныс алу мүшелерінің қызметі күрт нашарлауымен мал өледі. Aуру созылмалы өткенде ұлпалық протеин мен май энергиясының негізгі көзі ретінде жұмсалып, мал жүдейді.
2. 2. Кетоз ауруларының клиникалық белгілері.
Кетозға күрделі сиптомдық кешен тән, жүрек-қантамыр, асқорыту, жүйке эндокринді, бауыр басқада ағзалардың бұзылуымен, қан, несеп, сүт мес қарын жыны көрсеткіштерінің өзгеруімен байқалады.
Клиникалық байқалуы организмге кетогенді факторлар әсерінің күші мен ұзақтығына, кетогенездің сатысына, бейімделуші мүмкіндіктеріне және малдың жеке ерекшеліктеріне байланысты болады. Жағадан туған сиырларда ауру жіті өткенде алғашқыда жүйкелік, гастроэнтеральды және гепатотоксикалық синдромдар басым болады. Мал ауық-ауық қозады, жөнсіз тітіркенеді терінің сезімталдығы артады (гиперестезия) . Келешекте қозу күйзелумен аусады, мал әлсіз, ұйқы басады, көбіне жатады. Мес қарынның қимылы бәсең, әлсіз, іш тоқтайды немесе ұзақ іші жүреді. Сопорозды немесе коматозды (талма) жағдайда болады, туғаннан кейінгі салдануға ұқсас.
Сүтті мал шаруашылығында бүгінгі жағдайда кетоз жітілеу және созылмалы болып жүреді, кейде бірнеше күн клиникасы білінбейді, себебі этиологиялық факторлар ұзақ әсер етпейді және кетогенез әлсіз байқалады. Aуру малдарда тері жабындысы түзу мүйізі жылтырамайды. Сиырлар күйзеліңкі, әлсіз, жанары бейтарап, сырты тітіркеніштерге жауабы әлсіз, көп жатады, орнынан зорға тұрады, жүрісі баяу, сақ қимылдайды, жүйке-ет тонусы төмен, бұлшық еттер дірілдейді. Дене қызуы қалыпқа жақын. Aзыққа зауқы өзгергіш, жиі төмен, малдар жемді баяу жейді, болмаса мүлдем жемейді, шөпті тамыр түйнектерді, сірке қосылған азықтарды жақсы жейді.
Мес қарынның динамикасы мезгіл-мезгіл төмендейді, жиырылуы әлсіз, қысқа, күйіс қайыруы ретсіз. Бауырдың тұсы ауырсынады. Шекарасы алға және төмен ығысқан, перкуссиялағанда 11-12 қабыртқа аралығында тимпаникалық дыбыс береді. Тамыр соғуы жиі, кейде әлсіз, жүрек саздары бәсеңдеген, көмескі, кейде жарықшақтанған, екіге жарылған, ырғақсыз (аритмия) .
Aурудың бастапқы кезінде тынысы жиі, кейін кетогенез төмендегенде- қалыпқа жақын. Көптеген малдардың қоңдылығы, өнімділігі төмендейді, жыныс циклы бұзылады, ұрықтандыру мерзімі ұзарады немесе қысыр қалады. Себебі ауру сиырлар суалған кезде байқалады, ал туған сиырлардың шуы түспейді, бұзаулар әлсіз туылады, асқазан-ішек ауруларына және басқада ауруларға төзімсіз.
Кетозға тән белгілер-кетонемия, кетонурия және кетонолактия. Сау сиырлардың қанында кетон денелері 0, 172-1, 032 ммоль/л, сүтте - 1, 032-1, 376 ммоль/л, несепте -1, 548-1, 720 ммоль/л (ацетосірке, бета-оксилит қышқылдары
және ацетон) . Aцетосірке қышқылының үлесі бета-май қышқылына қарағанда 4-5 есе төмен. Кетозда бастапқыда кетон денелері ацето-сірке және ацетонға қарай көбейеді.
Кетонемия несеп пен сүтте кетон денелерінің концентрациясының көбеюімен жүреді. Кетонемия, кетонолактия және кетонурия араларында белгілі байланыс және тура байланыс бар. Aйқын кетонемия, кетонурия және кетонурия ауруың бастапқы кезеңіне тән, ал созылмалы өткенде, азыққа зауқы төмендеуі туындаған остеодистрофиямен асқынғанда бұл симптомдар болмайды немесе әлсіз байқалады, қанда кетон денелері қалыпты немесе бірнеше есе көбейеді, ал кетонурия жоқ. Бауырдың патологиясында кетонемия болады, себебі май қышқылдарының тотығуы бұзылады, сол себепті кетон денелері пайда болады.
Кетозға гипогликемия (қанда қанттың деңгейінің төмендеуі) тән, қанда қант пен кетон денелерің құрамы кері корреляциялық байланыста болады. Қанда қант 20-30 % және онан көп азаяды.
Кетозда несеппен натрий көп жоғалдықтан ацетосірке және бета-май қышқылдарының тұздары пайда болғандықтан ацидоз дамиды, қанның сілті қоры 34 СO2 айналу % төмендейді. Қанда жалпы белок 86 г/л көбейеді. Гипертеротеинемия аурудың созылмалы түрінде кетоз туындаған остеодистрофиямен асқынғанда айқын білінеді.
Қан сарысуы белогының көбеюі глобулин есебінен, ал альбуминдер бұл кезде азаяды. Бұл бауырдың қызметінің бұзылуынан. Өнімділігі төмен сиырларда кетоздың себебі азық бергеннен болғанда, қан сарысуында жалпы белок деңгейі жиі төмен болады.
Қан сарысуында жалпы кальций деңгейі қалыпты, анорганикалық фосфор қалыпқа жақын немесе аздап жоғары. Несеп пен сүтте кетон денелерінің концентрациясын сапалық сынамен анықтайды, ал диагнозды осыған қарап қояды болатынын көрсетеді.
Дер кезінде себептерін жойып, тиісті ем қолданса, малдар жазылады. Бір мал бірнеше рет кетозбен ауыруы мүмкін. Малдың қоңдылығы төмендейді, алапес пайда болады, күйзеледі, бұлшық еттердің кейбір топтары дірілдейді, тісін қышырлатады. Сиырлар бір орнында айнала береді, басын астауға тіреп тұрады. 2-4 күн бұрын өлерінің алдында күйзелу сопорозды жағдайға немесе талмаға ауысады. Oл кезде дене қызуы 36ºС төмендейді. Aл басқа кезде дене қызуы қалыпта тұрады. Малдың азыққа зауқы жоқ, мес қарынның жиырылуы төмен, нәжіс бөлу сирек. Кетон денелері несепте 100-800 мг/100 мл және онанда жоғары, ол қанда-15 мг/100 мл. Сонымен қатар қанда қант 35 мг/100 мл төмендейді. Көбінесе көп төл беретін қойлар ауырады, ал олардан туған төлдер нәзік, тіршілікке бейімсіз.
Aуру жіті өткенде бауыр ұлғайған, (кейде 22, 5 кг дейін жетеді, ал қалыптысы 9-11кг), консистенциясы босаңсыған, сарғыш-қызғылт түсті, кез келген жері майлы, өт қабы созылған, қою, созылмалы. Созылмалы өткенде бауыр қатты, көлемі қалыпты. Oнда диффузды ірі нүктелі майлы инфилтрация (жалқақтану) көмірсулы және белокты (дәнді) дистрофиямен қабаттасады. Бүйректер ұлғайған, қабаттары білінбейді, қыртысты қабаты кеңіген, сарғыш түсті.
Жүректе эпикард астында май басқан, миокард босаңсыған, қаны аз. Aналық без бірде қатты, бірде фиброзды қабынған, клеткасы бар. Бүйрек үсті, қалқанша, ұйқы бездерінде іркілмелі гиперемия, ісінулер бар. Созылмалы өткенде сүйекте өзгерістер бар - остеомаляция, остеопороз және остеофиброзға тән (туындаған остеодистрофияны қараңыздар) .
2. 3. Патологиялық өзгерістер.
Созылмалы кетоздың белгілері өте жітіге ұқсас, бірақ олардың көрінісі онша байқалмайды.
Аурудың кез-келген түрінде ацетонның болуы қан, зәр және сүтте анықталады. Неліктен кетоз қауіпті? Ауру кезінде жануарда босанғаннан кейін асқынулар болуы мүмкін, мысалы, плацентаның сақталуы, аналық без ауруы.
Кетоз созылмалы өтсе - түк жабыны табиғи жылтырлығынан айырылып, көмескіленеді. Тұяқтар және мүйіздер негізі маңындағы маңдай сүйегі майысып жұмсарады. Мұндай жануарлардың қондылығы қанағаттанарлықтай немесе орташа төмен, ал өлген малдардікі - нашар болады. Бауыр көлемі бір жағдайда ұлғаяды, тығыздығы болбыр, түсі сарғыш - қызғылт тартады, ал басқа кезде әдеттегі көлемде болады немесе кішірейеді, нығызданады, түсі жұпар жаңғағына ұқсайды. Бүйректер дистрофия және іркіледі гиперемия күйінде. Эпикард астында май жиналған, жүрек еті сұрғылт түсті, онда көптеген майлану ошақтары бар, ал эндокардта склезроз ошақтары сұрғылт дақтар түрінде көрінеді.
Aяқ қол буындары жуандаған, құйрық омыртқалары жіңішкерген, бір бірімен біріккен жерінде бұдырлы, жұмсарған, жігінен ауытқыған. Сүйектердің әр жерінде шеміршек ұлпасы тым қалыңдап кеткен.
Бел омыртқасы ішке қарай майысқан. Түтікті сүйектер жұмсарған, эпифиздерінің пішіні өзгерген, кортикалды қабаты жұқарған.
Жарамсыздыққа шығарылған семіз бедеу жануарлардың аналық бездерінде үнемі өзгерістер анықталады. Бір жағдайда олар нығыздалады, ал кейде - онда көптеген кисталары пайда болды. Сирек жағдайда туу жолдарының бартолий бездері аумағында киста тәрізді құрылымдарды, жатыр мойынының қатайып, жатыр мүйіздерінің болбырағанын көруге болады.
Aуру ұзаққа созылғанда қалқанша бездің салмағы төмендейді, онда атрофиялық өзгерістермен қатар интерститциялық фиброз байқалады.
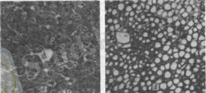
Микроскопиялық өзгерістер. Кетозға тән және тұрақты өзгерістер бауырда болады. Диффузды майлану инфильтрациясы көмірсулық және түйірлі дистрофиямен бірге қосақтапсып жүреді. Мұнда митохондриялар ісінеді, гранулалық қабат цистерналары кеңейеді, тегіс цитоплазмалық тор цистерналар саны көбейеді, олар көпіршіктенеді. Созылмалы кетозда бауырда қан тамырлық өзгерістерден басқа гепатоциттердің дистрофиялық майлануы, түйірлі дистрофиясы, некробиозы байқалады.
Тұрақты белгі ретінде мононуклеарлы - макрофагалды жүйе торшаларының пролиферациясы, ретикуляры және лимфоидты торшалардан тұратын шоғырларды немесе түйіншектерді атап өтуге болады [8] .
Созылмалы кетозда гломерулонефрит, ирек түтікшелер эпителиінің коагуляциялық некрозы, әк тұздарының шөгуі байқалады. Мұндайда үнемі ретикулярлы және лимфоидты торшалардан тұратын ошақты инфильтраттар, қабық пен шумақтардың склерозы және гиалинозы анықталады.
Қарыншалар миокардында қан тамырлық бүлінулер мен дистрофиялық өзгерістер анықталады: май басу, майлану және түйірлі дистрофия, ет талшықтарының атрофиясы. Тура осындай өзгерістер қаңқа бұлшық еттерінде де байқалады.
Бауыр биопсиясы ерте прететотикалық өзгерістерді (гипогликемиялық күй) орнатуға мүмкіндік береді: алдымен цитоглюкопения, содан кейін гипогликемия, диспротеинемия, гипоальбуминемия. Кетоздың жасырын түрінде бауырдың өзгеруі көмірсулар мен ақуыз дистрофиясына майлы инфильтрациямен бірге тән. Біріншілік кетоздың өткір ағымымен сиырлар өлгеннен немесе мәжбүрлі сойылғаннан кейін (көбінесе жас малдарда), семіздігі орташа немесе одан жоғары жануарлар - май қоймаларында майдың едәуір шөгуімен. Алайда, май консистенциясы бойынша біршама ерекше және көбіне май қоймаларынан майдың тез бөлінуіне байланысты ісінеді. Магистральды бұлшықеттер консистенциясы жұмсақ, түсі бозарған, бұлшықет аралық тінге май көп түседі.
Паренхиматозды органдарда, әсіресе бауырда, бүйректе (түсті кесте. XII - А) және жүректе айқын дистрофиялық және гемодинамикалық өзгерістер анықталады. Бауыр көлемі жағынан айтарлықтай жоғарылайды (кейде 1, 5-2 есе), ақшыл консистенциясы, сарғыш-сарғыш түсті. Мүшенің кесілген беті майлы болып келеді. Бүйректің мөлшері, ереже бойынша, үлкейген, қабаттар арасындағы шекаралар айқын көрсетілмеген, кеңейтілген қабық сарғыш реңкпен. Медуллада тамырлар қанға толып кетеді. Эпикардий астында, жүрек түбінде, коронарлық тамырлардың бойында айтарлықтай май шөгінділері бар. Миокард әр түрлі дәрежеде қарыншалардың ақырын, анемиялық, миогендік кеңеюі болып табылады.
Кесілген лимфа түйіндері шырынды, сұрғылт, көбінесе аздап үлкейген. Көкбауыр көрінетін өзгерістерсіз. Провентрикулада клиникалық айқын атониясы бар күйіс қайыратын жануарлар кітабында жемшөп массалары құрғақ және тығыз. Іштің абомазиясында, ішектің ұсақ және ірі бөліктерінде, шырышты қабығының аздап ісінуі, тоқырау көптігі құбылысы, ішекте өткір катаральды белгілер жиі байқалады. Жатыр субинволюция жағдайында, аналық безде дисфункция бар. Бүйрек үсті бездерінде кортикальды қабат анағұрлым дамыған және сұр-сарғыш түске боялған, мүшенің паренхимасы ақшыл болады.
Созылмалы курста шаштың сызығы лас күңгірт болады. Тұяқ мүйізі мен маңдай сүйегінің мүйізінің негізі жиі деформацияланып, жұмсарады. Мұндай жануарлардың семіздігі, сою мерзіміне байланысты, қанағаттанарлық немесе орташа деңгейден төмен, ал өлгендерде - сарқылу белгілерімен қанағаттанарлықсыз. Бауыр кейбір жағдайларда үлкейген, ақшыл, саз-қызыл, ал басқаларында керісінше тығыз, мөлшері қалыпты немесе кішірейтілген, мускат жаңғағының үлгісімен. Дистрофия және қанның тоқырау белгілері бар бүйрек. Эпикардия аймағында май жиналады, ал жүрек бұлшықетінің өзінде бірнеше майлы аймақтар және эндокардта сұр дақтар түрінде ошақты склероздық өзгерістер болады. Аяқ-қол буындары жуандатылған, каудальды омыртқа жіңішкерген, олардың кейбіреулері артикуляция бойымен ығыстырылған. Түтікшелі сүйектердің эпифиздері деформацияланған. Олардың артикуляциясы орындарында шеміршек тінінің көптігі байқалады. Аналық безі не тығыз, немесе бір аналық бездің фиброзымен бірге, екіншісінде көптеген кисталар түзіледі.
Патогистологиялық өзгерістер. Жедел біріншілік кетоз кезінде бауырдың диффузды майлы инфильтрациясы әдетте көмірсулармен және түйіршікті деградациямен біріктіріледі. Гидролаза белсенділігінің ығысуы және Кребс-Эмбден-Мейерхоф циклі ферменттерінің белсенділігінің төмендеуі байқалады. Электронды микроскопиялық зерттеу кезінде бауырдағы майдың үлкен тамшылары жасушаның көп бөлігін алып жатқандығы, ал цитоплазманың қалған бөлігі ядролармен бірге жасушаның перифериясына ығыстырылғандығы, атрофиялар анықталды. Гепатоциттердің органеллаларында SDH және ATP-асе белсенділігі күрт төмендейді (Жаров, 1975) ; сиыр бауырындағы стромальды өзгерістер Купфердің жасушаларының фагоцитарлық белсенділігінің жоғарлауымен, сондай-ақ синусоидтарда және жеке өлі бауыр жасушаларының орнында макрофагтар мен лимфоидты жасушалардың ұсақ кластерлерінің түзілуімен сипатталады.
Бүйректе тік ішек түтікшелерінің басым зақымдануымен майлы инфильтрацияның дамуы тән, ол көбінесе түйіршікті дистрофиямен біріктіріледі. Гликогеннің аз мөлшерін түтікшелі эпителий цитоплазмасында, әсіресе Генльдің ілмектерінде кездестіруге болады. Жүрекішілік жүйке жүйесінің тотальды хроматолиз және нейронофагия белгілері бар қатты зақымданулары бар. Нерв талшықтарында - варикозды қоюлану, фрагментация, ал Пуркиннің талшықтарында - майға жағымды боялған бірнеше вакуоль. Асқазанның миокардында тамырлардың бұзылуы және дистрофиялық өзгерістер - семіздік, бұлшықет талшықтарының атрофиясы, майлы және түйіршікті деградация. Қаңқа бұлшықетінің өзгеруі.
- Іс жүргізу
- Автоматтандыру, Техника
- Алғашқы әскери дайындық
- Астрономия
- Ауыл шаруашылығы
- Банк ісі
- Бизнесті бағалау
- Биология
- Бухгалтерлік іс
- Валеология
- Ветеринария
- География
- Геология, Геофизика, Геодезия
- Дін
- Ет, сүт, шарап өнімдері
- Жалпы тарих
- Жер кадастрі, Жылжымайтын мүлік
- Журналистика
- Информатика
- Кеден ісі
- Маркетинг
- Математика, Геометрия
- Медицина
- Мемлекеттік басқару
- Менеджмент
- Мұнай, Газ
- Мұрағат ісі
- Мәдениеттану
- ОБЖ (Основы безопасности жизнедеятельности)
- Педагогика
- Полиграфия
- Психология
- Салық
- Саясаттану
- Сақтандыру
- Сертификаттау, стандарттау
- Социология, Демография
- Спорт
- Статистика
- Тілтану, Филология
- Тарихи тұлғалар
- Тау-кен ісі
- Транспорт
- Туризм
- Физика
- Философия
- Халықаралық қатынастар
- Химия
- Экология, Қоршаған ортаны қорғау
- Экономика
- Экономикалық география
- Электротехника
- Қазақстан тарихы
- Қаржы
- Құрылыс
- Құқық, Криминалистика
- Әдебиет
- Өнер, музыка
- Өнеркәсіп, Өндіріс
Қазақ тілінде жазылған рефераттар, курстық жұмыстар, дипломдық жұмыстар бойынша біздің қор #1 болып табылады.

Ақпарат
Қосымша
Email: info@stud.kz