Өкпе артериясындағы тромб


ҚАЗАҚ ҰЛТТЫҚ АГРАРЛЫҚ УНИВЕРСИТЕТІ
коммерциялық емес акционердік қоғам
Ветеринария факультеті
Биологиялық қауіпсіздік кафедрасы
СТУДЕНТТІҢ ӨЗІНДІК ЖҰМЫСЫ
Тромбоэмболия. Тромбоэмболиялық синдром. Тромбоэмболияның ағзалық, ұлпалық, торшалық морфогенезінің сипаты және гистохимиясы тақырыбына орындалған
Орындаған:
Тексерген:
Алматы, 2020
Жоспары:
- Кіріспе
- Негізгі бөлім
2. 1 Тромбоэмболия
2. 2 Тромбоэмболиялық синдром
2. 3 Тромбоэмболияның ағзалық, ұлпалық, торшалық морфогенезінің сипаты және гистохимиясы
- Қорытынды
Пайдаланылған әдебиеттер
Кіріспе
Эмболия (грек. embole-баса көктеп кіру) - қан тамырында, қалыпты жағдайда кездеспейтін əр түрлі заттардың көшіп жүруін жəне олардың қан тамырларын тығындап қоюын атайды. Қанмен келген бұл заттарды эмбол дейді.
Эмболияның тасылу бағытына қарап үш түрін ажыратады: 1. Тура бағыттағы эмболияда эмбол қан ағысымен 3 бағытта жылжиды.
- қан айналымы үлкен шеңберінің веналары мен жүректің оң жақ қуыстарынан шыққан эмбол қан айналымының кіші шеңберінің тамырларына, яғни өкпе тамырларына барып тоқтайды;
- жүректің сол жақ қуыстарынан, қолқадан және ірі артериялардан және кейде өкпе қан тамырларынан щыққан эмбол жүрек артерияларын, ми, бүйрек, көкбауыр, ішек, аяқ тамырларын т. б. бітейді;
- қақпалық жүйе тамырларынан шыққан эмбол бауыр қақпасы венасының тармақтарына жетеді.
2. Кері бағыттағы (ретроградтық) эмболияда эмбол өз салмағының ықпалымен қан ағу бағытына қарама-қарсы əрекеттенеді. Мысалы: жоғарғы қуыс вена арқылы эмбол бүйрек, бауыр, тіпті кейде бел веналарына түсуі мүмкін.
3. Күтпеген (пародоксалдық) бағыттағы эмболия - жүректің қарыншаларының немесе жүрекшелер арасындағы пердеде тесік болса эмбол өкпеге соқпастан үлкен қан айналу шеңберіндегі веналардан кіші қан айналу шеңберіндегі артерияларға өтеді.
Негізгі бөлім
2. 1 Тромбоэмболия
Тромбоэмболия (ұйыс эмболия) - тромбтар алғашқы орнынан үзіліп немесе бөлшектеніп кеткенде пайда болады, ол эмболияның басым бөлігін құрайды. Тромбоэмболдардың мөлшері тек микроскоп арқылы көрінетін пішіннен бастап бірнеше сантиметрге жетуі мүмкін.
1-сурет. Қан тамырын бітеп тұрған тромб
Тромбоэмболияның негізгі себептерінің бірі - веналық тромбтарды ң тез өсу жағдайында қан тамыры қабырғасымен байланысын жоғалтып алуы, яғни акциалдық тромбтардың түзілуі. Сондықтан, əсіресе отадан кейінгі кезеңде, сəл əсер нəтижесінде (жөтелу, дефекация) тромб орнынан жылжып кетіп, өкпе артериясының тромбозы белгілері пайда болады. Ғылыми мəліметтерге қарағанда, тромбоэмболдардың 60%-ы ірі веналарда табылады. Артерия жүйесіндегі тромбоэмболдар көбінесе қолқа атеросклерозымен, ревматизмдік аурулармен, жүрек инфарктының асқынуымен байланысты. Артериялық тромбоэмболиялар жүрек инфаркты, мидың ишемиялық инсульты, ішек, аяқ гангреналары түрінде көрініс береді. Бұл асқынулардың əрқайсысы ауру өлімінің себебі бола алады.
Тромбтың түрі, көлемі, пайда болу механизмдері əр түрлі. Кейде оның ұзындығы ондаған сантиметрге дейін жететін болса, кейде оны тек микроскоппен ғана көре аламыз. Сыртқы көрінісіне, түсіне жəне құрамына қарап тромбтың төрт түрін ажыратады:
1) Қызыл тромб көбінесе вена тамырларында кездеседі. Оның тез пайда болуына байланысты фибрин жіпшелері коагуляция фазасында ағып жатқан қанның бүкіл элементтерін өз құрамына қосып алады. Сондықтанда қызыл тромб құрамы қалыпты жағдайдағы қан құрамына сəйкес келеді, яғни ол эритроцит, лейкоцит жəне тромбоциттерден түзілген.
2) Ақ тромб фибрин, лейкоцит жəне тромбоциттерден түзіліп, негізінен артерия тамырларында кездеседі. Артерияда қан өте жылдам аққандықтан фибрин торларына тамырды шеттей ағатын қанның ең жеңіл элементтері тромбоцит пен лейкоцит қана ілінеді, сондықтан ақ тромбтың көлемі үлкен болмайды.
3) Аралас тромб. Оның құрамында ақ жəне қызыл тромб злементтері араласа орналасқандықтан түсі шұбар болады . Аралас тромбтың бас жағы ақ тромбтан, орта шені нағыз аралас тромбтан, ал аяқ жағы қызыл тромбтан түзілген. Тромбтың басы əдетте қан тамырларының кемеріне тығыз жабысқан. Тромб бірнеше сағат өткен соң ретракция (сығылуы) нəтижесінде құрамындағы сұйықтардан арылып қатты құрғақ затқа айналады. Микроскоппен қарағанда микроциркуляция арнасындағы майда қан тамырларда жəне капиллярларда гиалиндік, фибриндік, тромбоциттік, эритроциттік, лейкоциттік жəне аралас тромбтарды көреміз (Д. Д. Зербино) . Тек қана лейкоциттерден (лейкозда), эритроциттерден (стаздан кейін), фибриннен түзілген тромбтар болуы мүмкіндігін И. В. Давыдовский да айтып кеткен.
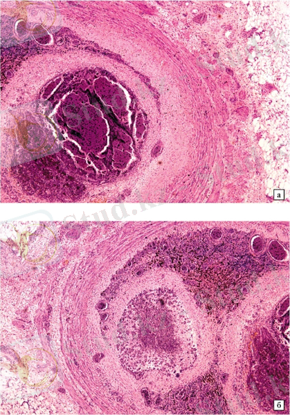
2-с. Вена қан тамырындағы аралас тромб
Микроскопиясы:
- вена қан тамырының арнасы түгелімен аралас тромбпен толған;
- вена қан тамырының қабырғасы.
4) Гиалинді тромб ең майда тамырларда, микроциркуляция арнасында кездеседі. Ол біртектес, қатты, эозинофилді массалардан түзіліп, тамыр ішінде бос жатады. Гиалинді тромбтың түзілу механизмдері жəне қүрамы өте күрделі. Оның құрамында бір-бірімен өте тығыз байланысқан тромбоцит, лейкоцит, фибрин бар. Гиалинді тромб стаз салдарынан бір-бірімен жабысып қалған эритроциттердін ыдырауынан да, кейде плазма белогінің шөгіндісінен де пайда болуы мүмкін. ҚШҰ синдромында таза фибрин жіптерінен немесе фибрин мен қанның ақ түйіршіктерінің қоспаларынан тұратын фибринді тромбтар түзіледі.
Тромбтың пайда болуы өте күрделі, ақырына дейін анықталмаған үдеріс. Тромбтың пайда болу жөніндегі Р. Вирховтың өткен ғасырда айтып кеткен болжамдары өз күшін осы күнге дейін жойған жоқ. Олар: қан тамырының бүтіндігінің бұзылуы, қан ағымының баяулауы немесе өзгеруі жəне қан элементтері арасындағы тепе-теңдігінің бұзылуы (Вирхов триадасы) .
3- сурет . Тромбтың түзілуі
Жалпы тромбоз бен тромбоэмболияның айырмашылығы неде? Тромбоз - тромбтардың пайда болуы, яғни қанның ұюы болып келсе, тромбоэмболия - сол тромбтардың салдарынан қан тамырларының бітеліп қалуы болып саналады.
2. 2Тромбоэмболиялық синдром
Үлкен қан айналым шеңберінің тромбоэмболиясының көзі болып сол жақ жүректің қақпақшаларында пайда болатын, сол жақ қарынның трабекулярлы бұлшық еттерінің арасында, қолқада және тағы да басқа артерияларда орналасқан тромбтар саналады. Осындай жағдайларда инфаркпен қатар көптеген мүшелерде тромбоэмболиялық синдром дамиды . Көп жағдайда тромбоэмболиялық миндром емдеуге оңай берілмейді.
Синдромның негізгі көрінісі-қан айналымының үлкен шеңберінің артериялық бөлігінде тромбтың және тромбоэмболияның дамуы. Кітаптарда жиі осы синдромды белгілеу үшін тағы бір термин қолданылады - "жүйелік тромбоз". Осы синдром кезінде тромбоздар мен тромбоэмболиялар артерия саңылауларының обтурациясымен және инфаркт пен гангренаның мүшелерінде дамуымен бірге жүреді. Тромбоэмболиялық синдромның негізгі морфологиялық және клиникалық көріністері үш процесспен - тромбозбен, тромбоэмболиямен және инфарктпен немесе гангренамен байланысты болғандықтан, осы патологиялық процестердің сипаттамасына тоқтау керек. Тромбоэмболиялық синдром сол қарыншаның және сол жүрекшенің қуыстарында, сол жүрекшенің-қарыншаның (митральды) және аортальды қақпақшалардың жармаларында, сондай-ақ қолқада және оның тромбоэмболиямен ұштасатын ірі тармақтарында қабырға тромбаларының дамуымен қоса жүретін әртүрлі аурулар кезінде кездеседі. Клиникалық практикада жүрек-қан тамырлары, онкологиялық және инфекциялық (сепсис) аурулары бар жануарларда, сондай-ақ отадан кейінгі кезеңде тромбоэмболиялық синдроммен жиі кездеседі. Аталған жағдайларда тромбоэмболия жағдайларының 30% - ында қайталанатын сипат бар.
2. 3 Тромбоэмболияның ағзалық, ұлпалық, торшалық морфогенезінің сипаты және гистохимиясы
... жалғасы- Іс жүргізу
- Автоматтандыру, Техника
- Алғашқы әскери дайындық
- Астрономия
- Ауыл шаруашылығы
- Банк ісі
- Бизнесті бағалау
- Биология
- Бухгалтерлік іс
- Валеология
- Ветеринария
- География
- Геология, Геофизика, Геодезия
- Дін
- Ет, сүт, шарап өнімдері
- Жалпы тарих
- Жер кадастрі, Жылжымайтын мүлік
- Журналистика
- Информатика
- Кеден ісі
- Маркетинг
- Математика, Геометрия
- Медицина
- Мемлекеттік басқару
- Менеджмент
- Мұнай, Газ
- Мұрағат ісі
- Мәдениеттану
- ОБЖ (Основы безопасности жизнедеятельности)
- Педагогика
- Полиграфия
- Психология
- Салық
- Саясаттану
- Сақтандыру
- Сертификаттау, стандарттау
- Социология, Демография
- Спорт
- Статистика
- Тілтану, Филология
- Тарихи тұлғалар
- Тау-кен ісі
- Транспорт
- Туризм
- Физика
- Философия
- Халықаралық қатынастар
- Химия
- Экология, Қоршаған ортаны қорғау
- Экономика
- Экономикалық география
- Электротехника
- Қазақстан тарихы
- Қаржы
- Құрылыс
- Құқық, Криминалистика
- Әдебиет
- Өнер, музыка
- Өнеркәсіп, Өндіріс
Қазақ тілінде жазылған рефераттар, курстық жұмыстар, дипломдық жұмыстар бойынша біздің қор #1 болып табылады.

Ақпарат
Қосымша
Email: info@stud.kz