Бүйрек амилоидозы


Қазақ Ұлттық Аграрлық Зерттеу Университеті
Коммерциалық емес акционерлік қоғамы
«Биологиялық қауіпсіздік» факультеті
Реферат
Тақырыбы: «Стромалық-қантамырлық дистрофиясының патоморфологиясы»
Орындаған: Нұрмұханбетова А
Топ: ВС-416
Тексерген: Ибажанова. А. С.
Алматы, 2021
Жоспар:
І. Кіріспе
ІІ. Негізгі бөлім:
- Стромалық қантамырлық дистрофияның жіктелуі
- Стромалық қантамырлық дистрофия түрлеріне жеке сипаттама
ІІІ. Қорытынды
ІҮ. Пайдаланылған әдебиеттер
І. Кіріспе
Дистрофия - жасушалар мен тіндерде зат алмасуының бүзылуьша байланысты дамитын патологиялық үрдістерді түсінеміз. Дистрофияның даму механизмдерінің негізінде, зат алмасу үрдісін қамтамасыз етуші жасушалық жөне жасушааралық қарым-қатынастардың бұзылуы жатады. Дистрофияның дамуына төмендегі өзгерістер себеп болады.
1. Инфильтрация. Қан арқылы келген заттардың жасушаға немесе жасушааралық тінге мөлшерден тыс сіңіп қалуы. Мысалы, атеросклероз ауруында қанда холестерин мөлшері өте көбейіп кетіп, ол қан тамырларының ішкі қабатына (интимада) сіңіп қалады, семіздік кезінде майлар бауырда, жүректе жиналады.
2. Декомпозиция (ыдырау) . Бұл қалыпты жағдайда бір-бірімен берік байланысқан, бірақ та патология жағдайында ыдырап жеке-жеке көрініп қалатын заттарға тән. Мысалы, май-белок қоспалары ыдырағанда келткада жеке-жеке май жөне белок заттары жиналып қалады. Бұл көбінесе жасуша ультрақұрылымдарының ыдырап жойылуына байланысты үрдіс.
3. Трансформация. Бұл бір заттың орнына екінші заттың түзілуі. Мысалы, май және көмірсу түзуші затгардан белоктың пайда болуы немесе көмірсулардан майдың түзілуі.
4. Денатурация - белоктардың әр түрлі жағдайларға байланысты ұйып немесе бірігіп ірі тамшылар (коагуляттар) түзуі.
5. Бұрмалаушы синтез. Бұған мысал ретінде жасушалар мен тіндерде табиғи жағдайда кездеспейтін заттардың, амилоид белогінің, алкоголь гиалинінің пайда болуын келтіруге болады. Дистрофияныц түрлері 1) морфологиялық өзгерістердің стромада немесе паренхимада дамуына байланысты дистрофиялардың: паренхималық (паренхимада өтетін), стромалық-қан тамырлық және аралас түрлерін; 2) зат алмасуының түріне қарап: белоктық, майлы, көмірсулы жөне минералдық; 3) тұқым қуалаушылық жағдайына тәуелділігіне қарап: туа пайда болған және тұқым қуалау жолымен пайда болған түрлерін; 4) таралуына қарай: жалпы және жергілікті түрлерін ажыратады.
ІІ. Негізгі бөлім
Стромалық- қантамырлық протеиндік дистрофия деп дәнекер ұлпа мен ондағы қантамырларда белок алмасуының бұзылуы салдарынан туындайтын өзгерістерді айтады. Жіктелуі:
- Мукоидты ісіну
- Фибриноидты ісіну
- Гиалиноз
- Амилоидоз
Мукоидты ісіну - дәнекер ұлпасының үстіртін және қайтымды зақымдалуы. Бұл кезде дәнекер ұлпасының негізгі затында гликозамингликандар ыдырап, гиалурун қышқылы көбейеді.
Микроскопиялық көрінісі . Микроскоп арқылы ұлпаның бояу сіңіру қасиетінің өзгергеніне көз жеткізуге болады: тіліндіні гемотоксилин-эозинмен бояғанда торшааралық негізгі зат көкшіл тартады, ал толуидин көгімен ұлпа қызғылт түске боялады, яғни, метахромазияға ұшырайды.
Процеске тән қасиеттер. Зақымданған ұлпа мен мүшенің сыртқы көрінісі өзгермейді. Бұл процеске тән өзгерістер тек гистохимиялық реакциялар арқылы анықталады. Мукоидтық ісіну әртүрлі мүшелер мен ұлпаларда кездесетін процесс, көбінесе артериялар қабырғаларын, жүрек қақпақшаларын, эндокардты, эпикардты зақымдайды.
1 сурет. Мукоидты ісіну
Мукоидтық ісінудің себептері: оттегінің тапшылығы, улану, инфекциялық аурулар, аллергиялық аурулар, витаминдерінің тапшылығы, эндокриндік жүйе аурулары.
Фибриноидтық ісіну деп негізгі зат пен талшықтардың бүлінуімен, тамыр қабырғасы өткізгіштігінің күрт күшеюімен, фибриноидтың түзілуімен сипатталатын дәнекер ұлпаның терең, қайтымсыз зақымдалуын айтады.
Фибриноид күрделі зат. Құрамында белок, полисахарид, ыдыраған дәнекер ұлпа, қан плазмасының белоктары бар.
Микрокөрінісі: коллаген талшықтарының бумалары гомогенденеді, қалыңдайды, бір-бірімен қосылады. Талшықтық құрылымы жойылады. Пиронин бояуымен қызыл түске қанық боялады. Мүшенің сыртқы көрінісі өзгермейді.
2 сурет. Фибриноидты ісіну
Себептері: инфекиялық және аллергиялық аурулар.
Ақыры: фибриноидты некрозға жалғасады. Соңынан гиалинозға ұшырайды.
Организмге әсері: мүше қызметі бұзылады.
Гиалиноз - дәнекер ұлпасының біркелкі мөлдірлеу нығыз затқа айналуы.
Гиалин - күрделі фибрилярлы белок. Құрамында белок, гликозамингликан-дар және қан белоктары бар. Қышқыл, сілті, спирттердің әсеріне төзімді.
Гиалиноз жергілікті және жүйелі түрде дамиды. Қан тамырлар қабырғасында және дәнекер ұлпада кездеседі.
3 сурет. Гиалиноз
Микрокөрінісі: қантамырлар қабырғасы қалыңдайды, қуысы тарылады, құрылымы жойылып, біркелкі затқа айналады. Дәнекер ұлпада талшықар ісінеді, нығыздалып, шеміршекке ұқсаған массаға айналады.
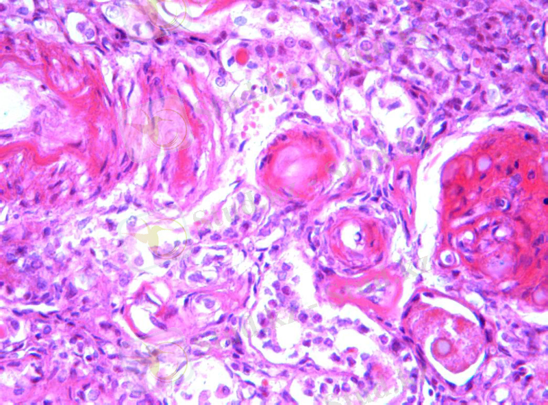
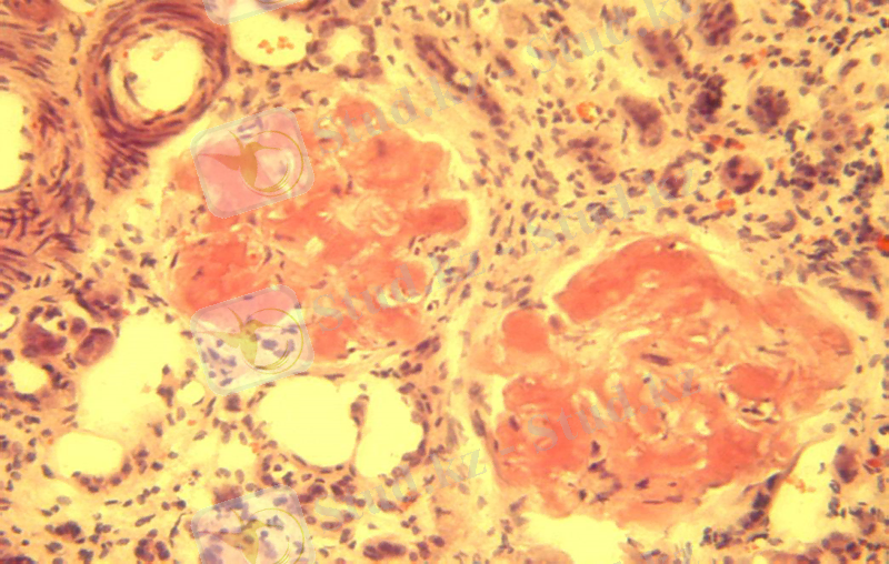
Амилоидоз - дәнекер ұлпада және қан тамырлар қабырғасында аномалді белок - амилоидтың пайда болуымен сипатталады. Амилоид құрамында организмге бөтен, тән емес фибрилярлы белок бар. Оны амилоидобластар түзеді.
Амилоидоз: жүйелік және жергілікті сипатта кездеседі. Жалпы немесе жүйелі амилоидоз - әртүрлі мүшелердегі амилоидты массалардың бір мезгілде түзілуі. Ол ұсақ қан тамырларының қабырғаларында, эндотелий астында, сондай-ақ ретикулярлы талшықтардың жүрісінде және бездердің эпителийінің базальды мембранасының астында жиналады. Патология жағдайында дәнекер ұлпаның плазмалық торашалары, фибробластар, ретикулярлы торшалар, Купфер торшалары амилоидобластарға ауысады. Амилоид ұлпада ретикулярлы және коллаген талшықтарын бойлай орналасады. Амилоидозбен жиі бауыр, бүйрек, көк бауыр, ішек, бүйрек үсті бездері зақымдалады.
4 сурет. Бүйрек амилоидозы
Көкбауырда амилоидоздың 2 түрі болады: фолликулды және диффузды.
Фолликулды амилоидоз - алдымен фолликулдардың перифериясы бойынша ретикулярлы ұлпаға, содан кейін лимфоциттерді ығыстырып, барлық фолликулға жиналады. Макроскопиялық көкбауыр шамалы ұлғайған. Тілік бетінде Саго дәндеріне ұқсайтын түйіршіктер болады («Саголық көкбауыр») .
Диффузды амилоидозда - көкбауырда амилоидты масса жинақталып, бүкіл мүшені қойыртпақтайды. Амилоид ретикулярлы талшықтардың жүрісімен және синустардың эндотелийінің астына жиналуының салдарынан, торша атрофияға ұшырайды. Макроскопиялық сипатында диффузды амилоидозда көкбауыр тек жылқыларда консистенциясы қамыр тәрізді, ал басқа жануарларда ол тығыз болады. Мұндай зақым түрі бар майлы көкбауыр немесе ветчина тәрізді көкбауыр деп аталады.
Амилоидоздың патогенезі күрделі. Сондықтан да оның дамуы әртүрлі, иммунологиялық процесс ретінде, ретикулоэндотелиалды жүйе торшаларының ақуыз синтезінің өнімі ретінде қарастырылады.
Жалпы амилоидоздың нәтижесі қолайсыз, себебі олар атрофияны және торшалар некрозын тудырады.
Жергілікті амилоидоз - амилоидтың дәнекер ұлпаға және мүшенің қабырғасына шектеулі жерде ғана шөгуі.
Липидоздар - строма-тамырлық құрылымдарда нейтрал майлар мен холестерин және эфирлер алмасуы бұзылатын дистрофиялар.
Май тінінде нейтрал майлар көбейіп немесе азайып, жергілікті немесе жалпы сипатта болады.
Семіздік - жалпы сипатты үдеріс; нейтрал майлар қорындағы май мөлшері көбейеді.
Семіздіктің даму механизмдері:
- Алиментарлық (отбасылық әдет-ғұрып, кәсіп)
- Метаболизмдік (көмірсулы тағам, көмір-сулар майға айналады)
- Милық (ісік, энцефалит, нейроэндокриндік реттеу дүйесін зақымдаған жарақат)
- Эндокриндік (адипоза-огениталдық дистрофия, гиперкотицизм - Иценко -Кушинг синдромы)
- Аралас
Липидоздың морфологиясы.
Макробейнесі. Терінің шел майында, шарбыда, шажырқайда, көкірек қуысында, эпикард астында май тіні тым көбейеді.
Клиникалық тұрғыдан, май тіні жүректіні қапталдап қоршалып, миокардтың стромасын май жасушалары жайлап, кардиомиоциттер семетін «майлы жүректің» ерекше мәні бар. Кейде, жүрек жыртылып, «гемоперикардиум» немесе «жүрек тампонадасы» дамиды.
Ақыры қолайсыз, әдетте үдерістің ауқымы мен дамыған мүшесіне байланысты.
Семіздіктің морфологиялық типтері.
Гипертрофиялық тип. Май жасушала-ры 2 есеге дейін ұлғайып, құрамында-ғы үшглицеридтер көбейіп, адипоцит-тер саны өзгермейді. Ағымы қатерлі.
Гиперплазиялық тип. Адипоциттер саны тым көбейеді. Ағымы қатерсіз.
Жалпы семіздік дәрежелері.
1-дәрежелі - масса 20-29%-ға,
2-дәрежелі - масса 30-49%-ға,
3-дәрежелі - 50-99%-ға,
4-дәрежелі - масса 100%-дан астам артады.
Жалпы семіздік типтері.
- Симметриялы - жалпы (универсал)
- Жоғарғы - бет, желке, мойын, иық белдеуі қамтылады.
- Ортаңғы - іш алжапқыш тәрізді қамтылады
- Төменгі - бөксе мен жіліншік
5 сурет. Қалыпты және майлы жүрек
Жалпы семіздіктің ақыры:
Жергілікті: липомалар, липоматоз
Вакаттық семіздік (май басу) . Мысалы, айыршық безді, бүйректі.
Тіннің (мүшенің) атрофиясы
Мүшелер мен тіндерде ишемия дамыту қаупі.
Холестерин мен оның эфирлері алмасуының бұзылуы.
Холестерин мен оның эфирлері алмасының бұзылуы ауыр зардапты аурулардың бірі - атеросклероздың дамуы негізделген.
Атеросклероздың даму барысында ірі тамырлар интимасына липид-белоктық кешендер жиналып, атероматоздық түйнектер қалыптастырады.
Холестерин мен оның эфирлері алмасуының бұзылуы
Микробейнесінің даму кезеңдері:
- липидозға дейінгі;
- липоидоз;
- липосклероз;
- атероматоз;
- атерокальциноз,
- ойық жаралы атероматоз түйнектері.
Микробейнесін анықтау үшін суданом-III қолданылады.
Ақыры қолайсыз, функциялық мәні даму кезеңі мен асқыну зардаптарына байланысты.
6 сурет. Қолқаның атеросклерозы
Мезенхималық көмірсулық дистрофиялар гликлпротеидтер мен гликозамингликандар тепе-теңдігінің бұзылуынан дамиды.
Мезенхималық шырышты дистрофия - гликопротеидтер алмасуы бұзылады.
Тіндердің шырыштануы - коллаген талшықтары, мүшелер стромасы, малы тін, шеміршекті жалқаяқ тәрізді зат басады.
Себептері:
- Эндокриндік дисфункция
- Жүдеу
- Ісіктер
- Қабыну
ІІІ. Қорытынды
... жалғасы- Іс жүргізу
- Автоматтандыру, Техника
- Алғашқы әскери дайындық
- Астрономия
- Ауыл шаруашылығы
- Банк ісі
- Бизнесті бағалау
- Биология
- Бухгалтерлік іс
- Валеология
- Ветеринария
- География
- Геология, Геофизика, Геодезия
- Дін
- Ет, сүт, шарап өнімдері
- Жалпы тарих
- Жер кадастрі, Жылжымайтын мүлік
- Журналистика
- Информатика
- Кеден ісі
- Маркетинг
- Математика, Геометрия
- Медицина
- Мемлекеттік басқару
- Менеджмент
- Мұнай, Газ
- Мұрағат ісі
- Мәдениеттану
- ОБЖ (Основы безопасности жизнедеятельности)
- Педагогика
- Полиграфия
- Психология
- Салық
- Саясаттану
- Сақтандыру
- Сертификаттау, стандарттау
- Социология, Демография
- Спорт
- Статистика
- Тілтану, Филология
- Тарихи тұлғалар
- Тау-кен ісі
- Транспорт
- Туризм
- Физика
- Философия
- Халықаралық қатынастар
- Химия
- Экология, Қоршаған ортаны қорғау
- Экономика
- Экономикалық география
- Электротехника
- Қазақстан тарихы
- Қаржы
- Құрылыс
- Құқық, Криминалистика
- Әдебиет
- Өнер, музыка
- Өнеркәсіп, Өндіріс
Қазақ тілінде жазылған рефераттар, курстық жұмыстар, дипломдық жұмыстар бойынша біздің қор #1 болып табылады.

Ақпарат
Қосымша
Email: info@stud.kz