Фибриноидты ісіну


Қазақ Ұлттық Аграрлық Зерттеу университеті
коммерциялық емес акционерлік қоғамы
Ветеринария факультеті
РЕФЕРАТ
Тақырыбы: «Стромалық-қантамырлық дистрофиялардың патоморфологиясы».
Орындаған : Төлеман Е. Қ.
Топ: ВМ - 404
Тексерген : Мухпулова Г. А.
Жоспар
I. Кіріспе
II. Негізгі бөлім
2. 1. Стромалық-қантамырлық дистрофиялардың патоморфологиясы
2. 2. Белокты стромалық-қантамырлық дистрофиялар
III. Қорытынды.
Пайдаланылған әдебиеттер тізімі.
- Кіріспе
Дистрофия (др. -греч. dystrophe, Dys-тен . . . - префикс, бұл қиындықты, бұзылуды және трофе-тамақтануды білдіреді) - құрылымдық өзгерістерге әкелетін жасушалық метаболизмнің бұзылуына негізделген күрделі патологиялық процесс. Дистрофия жасушалардың және жасушааралық заттардың зақымдалуымен сипатталады, нәтижесінде органның қызметі өзгереді. Дистрофияның негізі-трофизмнің бұзылуы, яғни метаболизм мен жасушалар мен тіндердің құрылымының қауіпсіздігін қамтамасыз ететін механизмдер кешені. Трофикалық механизмдер өзіне тән функцияны жүзеге асыратын жасушалық және жасушадан тыс болып бөлінеді. Жасушадан тыс механизмдерге метаболизм өнімдерін тасымалдау жүйесі (қан және лимфа микроциркуляторы), мезенхималық жасушааралық құрылымдар жүйесі және метаболизмді нейроэндокринді реттеу жүйесі кіреді. Егер трофикалық механизмдердің кез-келген байланысы бұзылса, дистрофияның бір немесе басқа түрі пайда болуы мүмкін.
II. Негізгі бөлім
2. 1. Стромалық-қантамырлық дистрофиялардың патоморфологиясы
Стромальды-тамырлы дистрофиялар.
Дәнекер тінінің фибриллярлық компоненттеріндегі өзгерістер.
Дәнекер тінінде талшықтардың үш негізгі түрі бар: коллаген, ретикулин және эластин. Олардың ішінде коллагеннің негізгі маңызы бар.
Ретикулин термині үш өлшемді торлы құрылымдардың (немесе ретикулумның) пайда болуына қатысатын жеке коллаген фибриллаларына қатысты қолданылады. Ретикулин Жарық микроскопиясымен тек күміспен импрегнация кезінде анықталады.
Эластин. Серпімді талшықтар қышқыл гликопротеиннен (фибриллин) тұратын микрофибриллярлы өзек айналасындағы эластин фибриллаларының бұзылған плексусынан тұрады. Мұндай құрылым дәнекер тінінде, әсіресе теріде, өкпеде және қан тамырларында кең таралған осы талшықтардың ерекше серпімділігін қамтамасыз етеді. Серпімді талшықтар арнайы бояғыштармен қара түске боялған (мысалы, орсеин) .
Жаңа коллаген синтезі регенерация процесінің ажырамас бөлігі болып табылады, бірақ бұл процесс созылмалы қабыну кезінде де байқалады. Коллаген синтезінің бұзылуы жараларды емдеудің бұзылуына және капиллярлардың сынғыштығының жоғарылауына әкеледі (мысалы, С дәрумені жетіспеушілігімен) . Қабыну кезінде жасушалар шығаратын коллагеназалардың әсерінен коллагеннің үш спиралы бұзылады, ал қабынған ұлпада орналасқан протеазалардың әсеріне сезімтал фрагменттер пайда болады. Эластин эластазамен жойылады, ол қабыну ошағында бактериялар мен жасушалар шығаруы мүмкін. Коллаген де, эластин де қартаю кезінде дистрофияға бейім.
Фибриллин түзілуінің мұраланған (аутосомды-доминантты) ақауы Marfan синдромының негізінде жатқан серпімді талшықтар құрылымының бұзылуына әкеледі, ол дәнекер тінінің патологиялық дистрофиясымен сипатталады, магистральдық қан тамырлары (аорта) және буындар жиі әсер етеді. Ehlers-Danlos синдромында (мұрагерлік бұзылулар тобы, олардың көпшілігі аутосомды доминантты түрде беріледі) коллаген жіптерінің өзара қосылуында ақау бар, бұл дәнекер тінінің жалпы нәзіктігіне және бірлескен ұтқырлықтың жоғарылауына әкеледі.
Дәнекер тінінің негізгі затындағы өзгерістер. Негізгі зат тіндік сұйықтықтан, плазмалық ақуыздардан, әртүрлі (сульфатталған - хондроитин-, дерматан-, гепаран - және кератансульфаттардан және сульфатталмаған - гиалурон қышқылынан) және фибронектиннен тұрады. Бұл заттардың молекулалары тіндердің тұтастығын сақтауға және жасушалардың дифференциациясына қатысады. Көптеген жасушаларда фибронектин, ламинин және коллагенмен байланысқан Үстірт рецепторлар бар. Ламинин, IV типті коллаген және гепаран сульфаты базальды мембраналарды құрайды. Қабыну ошағындағы бактериялар мен жасушалар шығаратын ферменттер қабынудың белгілі бір түрлерінде негізгі заттың жойылуына әкеледі. Мысалы, вирустық стрепто және стафилококктар шығаратын гиалуронидаза микроорганизмдердің таралуын жеңілдетеді.
Дәнекер тінінің жасушалары. Биологиялық белсенді заттар шығаратын коллаген мен гликозаминогликандар мен лаброциттерді (мастикалық жасушалар, тіндік базофилдер) синтездейтін фибробласттардан басқа, фагоцитозды жүзеге асыратын (полиморфты-ядролық лейкоциттер, гистиоциттер, макрофагтар), сондай-ақ иммундық реакцияларды қамтамасыз ететін (плазмобласттар, плазмоциттер, лимфоциттер, макрофагтар) гематогенді жасушалар болады. Олар талшықтар мен интерстициальды зат алмасуына белсенді қатысады.
Мукоидты ісіну, фибриноидты ісіну және гиалиноз көбінесе дәнекер тінінің бұзылуының дәйекті кезеңдері болып табылады.
Амилоидоз бұл процестерден ерекшеленеді, ақуыз-полисахарид кешендерінің құрамына арнайы жасушалар - амилоидобласттармен синтезделетін қалыпты емес фибриллярлы ақуыз кіреді.
Мукоидты ісіну
Мукоидты ісіну-мукополисахаридтердің, негізінен (олардың ақуыздан бөлінуіне байланысты), негізінен дәнекер тінінің негізгі затының көбеюі және қайта бөлінуі. жинақталуы әрдайым микроциркуляторлық арнаның тамырларының зақымдануынан басталады, бұл тіндік гипоксияның дамуына, гиалуронидазаның активтенуіне және гликозаминогликандар мен ақуыз арасындағы байланыстың әлсіреуіне әкеледі. Гликозаминогликандар айқын гидрофильді қасиеттерге ие, бұл тамырлы-тіндік өткізгіштіктің жоғарылауы аясында дәнекер тінінің негізгі затының айқын ылғалдануына (ісінуіне) әкеледі. Сонымен бірге протеогликандардың және аз дәрежеде гликопротеидтердің концентрациясы артады.
1. сурет. Мукойдты ісіну
анықтау үшін арнайы түстер қолданылады (мысалы, альцианин көк, коллоидты темір) . Гематоксилин-эозинмен боялған кезде олар аздап азофильді түске ие болады, өйткені ақуызбен байланыс әлсіреген кезде олардың қышқыл радикалдары босатылады. Көбінесе іс жүзінде метахроматикалық катионды бояғыштар қолданылады, олар бояғыштың өзіндік түсінен өзгеше түске бояйды. Мысалы, толуидин көк сирень немесе күлгін түс береді. Микроскопиялық түрде коллаген талшықтары әдетте сәуленің құрылымын сақтайды, бірақ ісініп, ыдырайды. Негізгі зат көлемінің ісінуі және ұлғаюы дәнекер тінінің жасушаларының бір-бірінен алыстауына әкеледі. Макроскопиялық тұрғыдан алғанда, органдар іс жүзінде өзгермейді.
Локализация. Мукоидты ісіну көбінесе артериялардың қабырғаларында, жүрек клапандарында, эндо - және эпикардияда, бірлескен капсулаларда дамиды.
Себептері:
- инфекциялық-аллергиялық аурулар;
- ревматикалық аурулар (ревматизм, жүйелі қызыл
лупус, жүйелік склеродерма, ревматоидты артрит,
түйіндік периартериит және т. б. ) ;
- атеросклероз;
- гипертония ауруы;
- гипоксия.
Нәтиже екі есе болуы мүмкін. Мукоидты ісіну-бұл қайтымды процесс, патогендік фактордың әсерін тоқтатқан кезде құрылым мен функцияның толық қалпына келуі жүреді. Егер патогендік фактордың әсері жалғасса, мукоидты ісіну фибриноидты ісінуге айналуы мүмкін.
Мәні. Мукоидты ісіну дамитын гистиондағы органның қызметі аздап бұзылады.
Фибриноидты ісіну
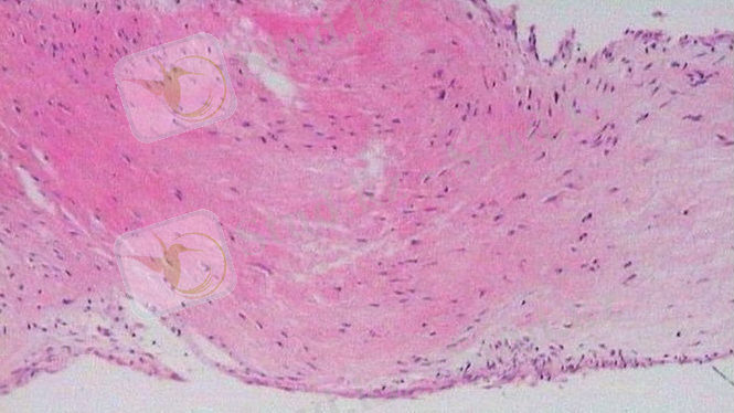
Фибриноидты ісіну-бұл ақуыздың (коллаген, фибронектин, ламинин) ыдырауына және ГАГ деполимеризациясына негізделген дәнекер тінінің терең және қайтымсыз ыдырауы, бұл оның негізгі заты мен талшықтарының жойылуына әкеледі, тамыр өткізгіштігінің күрт жоғарылауымен және фибриноидтың пайда болуымен бірге жүреді.
Фибриноид-ыдырайтын коллаген талшықтары мен негізгі заттың ақуыздары мен полисахаридтері, сондай-ақ плазмалық қан ақуыздары мен бұзылған дәнекер тінінің жасушаларының нуклеопротеидтері нәтижесінде түзілетін күрделі зат. Фибриноидтың міндетті компоненті-фибрин.
Микроскопиялық түрде коллаген талшықтарының байламдары біртекті, эозинофильді болады (қышқыл радикалдардың плазмалық ақуыздармен бітелуіне және рН ортаның сілтілік жағына ауысуына байланысты), күрт шикі болады, бұл олардағы гликопротеидтер санының едәуір артуын көрсетеді. Фибриннің түсі әрқашан оң болады, бірақ оның қарқындылығы өзгереді. Толуидин көкімен боялған кезде Метахромазия жоқ. Бұл толықтай жойылуына байланысты.
Фибриноидты ісіну пайда болатын макроскопиялық органдар мен тіндер аз өзгереді.
2. сурет. Фибринойдты некроз (Г - Э)
Фибриноидты ісіну жүйелі (жалпы) немесе жергілікті (жергілікті) сипатта болады.
Жүйелік зақымдану кезінде байқалды:
- инфекциялық-аллергиялық аурулар (фибриноид
гиперергиялық реакциясы бар туберкулез кезіндегі тамырлар) ;
- аллергиялық және аутоиммунды аурулар (ревматикалық
аурулар, гломерулонефрит) ;
- ангионевротикалық реакциялар (фибриноид
гипертония және артериялық гипертензия) .
Жергілікті фибриноид созылмалы қабыну кезінде анықталады. Мысалы, созылмалы асқазан жарасының түбінде, трофикалық тері жаралары.
Фибриноидты ісінудің нәтижесінде кейде дәнекер тінінің толық жойылуымен сипатталатын фибриноидты некроз дамиды. Некроз ошақтарының айналасында әдетте макрофагтардың реакциясы байқалады. Болашақта деструктивті фокусты тыртықты дәнекер тінімен (склероз) немесе гиалинозмен алмастырады.
Фибриноидты ісінудің мәні. Фибриноидтық ісіну бұзылуға және көбінесе органның жұмысын тоқтатуға әкеледі (мысалы, фибриноидтық өзгерістермен және гломеруланың артериолалары мен капиллярларының некрозымен сипатталатын қатерлі гипертониядағы жедел бүйрек жеткіліксіздігі. Фибриноидты некроздың нәтижесінде пайда болатын склероз немесе гиалиноз жүрек клапандарының функциясының бұзылуына (жүрек ақауларының пайда болуына), буындардың қозғалғыштығына, люменнің тарылуына және қан тамырлары қабырғаларының икемділігінің төмендеуіне және т. б.
2. 2. Белокты стромалық-қантамырлық дистрофиялар
Белокты стромалық-қантамырлық дистрофиялар дәнекер тінде зат алмасуының бұзылуымен, осыған байланысты ағзалар стромасы мен қан тамырлары қабырғасының альтерияциясымен сипатталады.
Зат алмасуының бұзылу турлеріне қарап: Белоктық, майлы және көмірсулық стромалық-қантамырлық дистрофияларды ажыратады.
Белоктық стромалық-қан тамырлық дистрофияларға:
мукоидтық ісіну, фибринойдты ісіну, гиалиноз және амилоидоз кіреді.
Мукоидтық ісіну . Бұл үрдістің негізінде дәнекер тін құрылысының үстірт бұзылуы жатады. Коллаген талшықтары ісініп, түтелініп, бір-бірінен алшақтайды, дәнекер тін құрамынан хондроидтық күкірт және гиалурон қышқылдары, глюкозамингликандар бөлініп шығады. Осыған байланысты қан тамырлары қабырғаларының өткізгіштігі күшейіп, плазма белоктары, оның ішінде глобулиндер айналадағы тіндереге жиналады. Нәтижесәнде бұл тіндер (жасушаарралық заттар) өздерінің белгілі бір бояулармен боялу қасиеттерін өзгертеді (метахромазия) . Әдетте толуидин көгі, қалыпты тіндерді көк түске бояса, мукоидтық ісіну ошақтарында тін көкшіл-қызыл түске боялады, осылайша бұл үрдісті микроскоппен анықтауға болады.
Мукоидтық ісіну ревматизм тобына кіретін ауруларда көбірек кездеседі. Бұл үрдіс дәнекер тіннің толық қайта қалпына келуімен аяқталады немесе ол фибриноидтық ісінуге өтеді.
Фибрионоидтық ісіну . Фибрионоидтық ісіну дәнекер тіннің терең және қайтымсыз бұзылуымен, яғни деструкциясымен, қан тамыры мен тіндер өткізгіштігінің өте артып кеткендігімен сжәне фибринге ұқсас заттың (фибрионоид) пайда болуымен сиппатталады.
Фибрионоидтық ісіну нәтижесінде тін бүтіндей өледі, кейінірек склерозға немесе гиалинозға айналады.
Гиалиноз
(грекше hyalos-мөлдір, шыны тәріздес) тіндерде біртекті, күңгірт, гиалин шеміршегіне ұқсас, қатты заттардың болуымен сипатталады. Гиалиноз дәнекер тінде, ағзалар стромасында және қан тамырлары қабырғаларында көрінеді.
3. сурет . Көк бауыр қабының гиалинозы Пикрофуксин Ван Гизон бойынша х400
... жалғасы- Іс жүргізу
- Автоматтандыру, Техника
- Алғашқы әскери дайындық
- Астрономия
- Ауыл шаруашылығы
- Банк ісі
- Бизнесті бағалау
- Биология
- Бухгалтерлік іс
- Валеология
- Ветеринария
- География
- Геология, Геофизика, Геодезия
- Дін
- Ет, сүт, шарап өнімдері
- Жалпы тарих
- Жер кадастрі, Жылжымайтын мүлік
- Журналистика
- Информатика
- Кеден ісі
- Маркетинг
- Математика, Геометрия
- Медицина
- Мемлекеттік басқару
- Менеджмент
- Мұнай, Газ
- Мұрағат ісі
- Мәдениеттану
- ОБЖ (Основы безопасности жизнедеятельности)
- Педагогика
- Полиграфия
- Психология
- Салық
- Саясаттану
- Сақтандыру
- Сертификаттау, стандарттау
- Социология, Демография
- Спорт
- Статистика
- Тілтану, Филология
- Тарихи тұлғалар
- Тау-кен ісі
- Транспорт
- Туризм
- Физика
- Философия
- Халықаралық қатынастар
- Химия
- Экология, Қоршаған ортаны қорғау
- Экономика
- Экономикалық география
- Электротехника
- Қазақстан тарихы
- Қаржы
- Құрылыс
- Құқық, Криминалистика
- Әдебиет
- Өнер, музыка
- Өнеркәсіп, Өндіріс
Қазақ тілінде жазылған рефераттар, курстық жұмыстар, дипломдық жұмыстар бойынша біздің қор #1 болып табылады.

Ақпарат
Қосымша
Email: info@stud.kz