Апоптоз - кең таралған жалпы биологиялық құбылыс


Тақырыбы:
апоптоз
Орындаған:Жұмағазы Нұржан Факультет:Жалпы медицина Курс:1-інші курс
Тобы:108 Б
Қабылдаған:Тұрарбекова А.
![]()
![]()
- Апоптоз-бұл генетикалық
бағдарланған, энергияны қолданумен өтетін, жасуша өлімінің белсенді процесі. Жасуша өлімінің ерекше түрі.
Апоптоз-кең таралған жалпы биологиялық құбылыс. Ересек организде ол тіндердің оптималды мөлшерін-оларды құрайтын әртүрлі жасушалар санының гомеостазын реттеу қызметін атқарады.
Апоптоздың рөлі онтогенездік және эмбриогенездік даму процестері кезінде, атап айтқанда мүшелер морфогенезінде (пішін қалыптасу), мысалы жәндіктердің-метаморфозы, сүт қоректілердің көзі, жүрегі, нерв жүйесі дамуы кезінде өте
зор. Тірі болуы организмге қажет емес, ақаулы, мысалы мутанттық, вирус жұққан жасушалар жарамсыз деп табылып, апоптоз арқылы жойылып отырады.
Апоптоздың рөлі онтогенездік және эмбриогенездік даму
процестері кезінде, атап айтқанда мүшелер морфогенезінде (пішін қалыптасу), мысалы жәндіктердің-метаморфозы, сүт қоректілердің көзі, жүрегі, нерв жүйесі дамуы кезінде өте
зор. Тірі болуы организмге қажет емес, ақаулы, мысалы мутанттық, вирус жұққан жасушалар жарамсыз деп табылып, апоптоз арқылы жойылып отырады.
Жалпы организмде өзінің тіршілік ету мүмкіншілігін әлі толық жойылмаған
жасушалардың өлетіні белгілі болды, яғни сол жасушалардың өлуін тек соңғы 15-20 жылға дейін тек табиғи жолмен, қоршаған орта жасуша тіршілігі үшін керек заттарды шектеуі нәтижесінде пайда болды деп келген. Бірақ соңғы 15-20
жылдың ішінде жасушалардың өлуі тек табиғи
жолмен емес жасушаның өзін-өзі өлтіретіндігі, яғни жасушаның өлуіне өзі белсенді рөл атқаратындығы белгілі болды. Жасушаның мұндай өлуін-генетикалық бағдаланған өлуі-
АПОПТОЗ деп атайды. Жалпы жасушалардың өлуі
екі түрге бөлінеді:
![]()
![]()
Жасушада терең өсінділер, қалақтар пайда болады, олар біртіндеп үзіледі және оларды апоптозды денелер деп атайды. Оларда ядролы фрагменттер немесе цитоплазма бөліктері болуы мүмкін.
Апоптоздық денешіктерді фагоцитоздауға фагоциттер ғана емес, және де
қоршайтын барлық
жасушалар да
қабілетті.
Апоптоздық денешіктерді қоршайтын жасушалар фагоцитоздар.
![]()
![]()
Апоптоз деген термин-грекше “жапырақтардың түсуі”деген мағына береді. Апоптоз процесі пайда болуына байланысты екі топқа бөліп
қарастыруға болады:
- Жасуша ішілік
факторлар әсерінен
болатын апоптоз
- “Негативті (жағымсыз) сигнализация”
сыртқы факторлар әсерінен болатын апоптоз
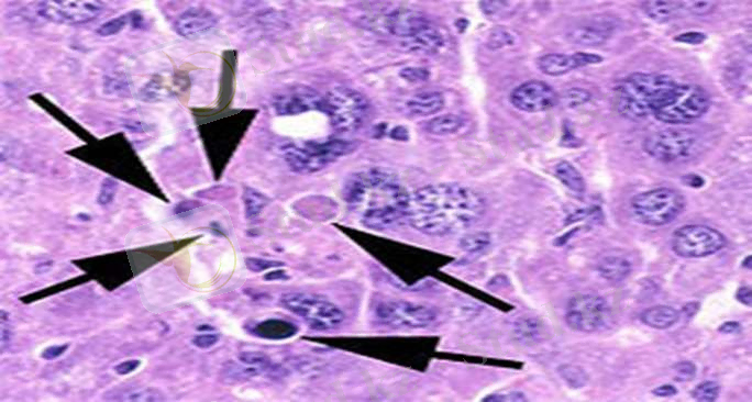
СТРЕЛКАЛАР АПОПТОЗҒА ҰШЫРАҒАН ЖАСУШАНЫ КӨРСЕТІП ТҰР.
- Нұрмұхамбетұлы Ә. Патофизиология: оқулық. -
Алматы-2007
- Хасенова К. Патологиялық физиологиядан
дәрістер жинағы. -Түркістан, 2005.
- Ахметқалиев С. Е., Қамбаров Ж. А. Клиникалық
патоморфологияға кіріспе: Оқу құралы. -Ақтөбе: Ақтөбе медициналық академиясы 1999
- Интернет желісі
- Іс жүргізу
- Автоматтандыру, Техника
- Алғашқы әскери дайындық
- Астрономия
- Ауыл шаруашылығы
- Банк ісі
- Бизнесті бағалау
- Биология
- Бухгалтерлік іс
- Валеология
- Ветеринария
- География
- Геология, Геофизика, Геодезия
- Дін
- Ет, сүт, шарап өнімдері
- Жалпы тарих
- Жер кадастрі, Жылжымайтын мүлік
- Журналистика
- Информатика
- Кеден ісі
- Маркетинг
- Математика, Геометрия
- Медицина
- Мемлекеттік басқару
- Менеджмент
- Мұнай, Газ
- Мұрағат ісі
- Мәдениеттану
- ОБЖ (Основы безопасности жизнедеятельности)
- Педагогика
- Полиграфия
- Психология
- Салық
- Саясаттану
- Сақтандыру
- Сертификаттау, стандарттау
- Социология, Демография
- Спорт
- Статистика
- Тілтану, Филология
- Тарихи тұлғалар
- Тау-кен ісі
- Транспорт
- Туризм
- Физика
- Философия
- Халықаралық қатынастар
- Химия
- Экология, Қоршаған ортаны қорғау
- Экономика
- Экономикалық география
- Электротехника
- Қазақстан тарихы
- Қаржы
- Құрылыс
- Құқық, Криминалистика
- Әдебиет
- Өнер, музыка
- Өнеркәсіп, Өндіріс
Қазақ тілінде жазылған рефераттар, курстық жұмыстар, дипломдық жұмыстар бойынша біздің қор #1 болып табылады.

Ақпарат
Қосымша
Email: info@stud.kz