Қан жасау жүйесі. Орталық қан жасау және иммуногенез мүшелері – сүйектің қызыл кемігі және тимус


Лекция:
«Қан жасау жүйесі. I. Орталық қан жасау және иммуногенез
мүшелері - сүйектің қызыл кемігі және тимус»
Қан, лимфа және оларды жасайтын мүшелер (қан жасау мүшелері) және де дәнекер тінмен эпителий тіндеріне көшіп барған қан жасушалары бірігіп қан жүйесін құрайды. Бұл жүйе гомеостазды , яғни ішкі ортаның тұрақтылығын , сүйемелдеуге және барлық бөгдеден организмнің генетикалық тұтастығын қорғауға қатысады.
Қандай патологиялық процесс болсын, ол қан жүйесінің хал-күйінде байқалады (көрінеді) . Сондықтан, бұл күн сайын аурулардың сырқатын диагнос-тикалауда қолданылады. Басқа жақтан, қан жасау процесінің бұзылулары , өз ретінде бір қатар ауруларға ұшыратады: анемияға, лейкоздарға, иммунодефициттерге және т. б. Сондықтан қалыпты қан жасалу процесі және қан жасайтын мүшелер жөнінде білім медицина саласының кез келген маманына қажет.
1. Эмбриондық гемопоэз - ұрықтағы гемопоэз
Қан жасушаларының пайда болу процесі гемопоэз немесе гемоцитопоэз деп аталады. Гемоцитопоэздің екі түрі бар: эмбриондық гемоцитопоэз және пост-эмбриондық гемоцитопоэз .
Эмбриондық гемоцитопоэз онтогенездің эмбриондық кезеңінде өтеді және ол мәні бойынша қанның алғаш рет тін ретінде қалыптасуы болып табылады. Постэмбриондық гемоцитопоэз қан түзуші органдарда туылғаннан кейін және бүкіл өмір бойы өтеді және ол мәні бойынша физиологиялық регенерация процесі болып табылады, яғни қан жасушаларының табиғи шығынын толтыру.
Эмбриондық гемопоэз бірнеше ағзаларда - олар қалыптасқан сайын, бірізді өтеді: а) сары уыз қабығының қабырғасында ; б) бауырда ; в) сүйектің кемігінде және г) лимфоидты мүшелерде (тимус, көкбауыр, лимфа түйіндері) . Осыған байланысты эмбриондық гемопоэздің 3 кезеңін ажыратады. Олар уақыт бойынша бірінен соң бірі қатаң тәртіппен кезектесіп өтпейді , ал бірі аяқталмай екіншісі басталады (Cурет 4) .
1. Мезобластикалық кезең. Алғаш рет қан тін ретінде эмбрион денесінен тыс - сары уыз қапшығының қабырғасында ( мезо дермасында - кезеңнің атауы осыдан) дамиды (1-сурет) . Мұнда, эмбриогенездің 2-ші аптасының соңынан бастап және 3-ші апта бойы өсінділі мезенхималық жасушалардың жиынтықтары - қан аралшықтары қалыптасады (2-сурет) . Аралшықтың шеткі мезенхимоциттері өсінділерінен айырылып, пішіні жалпайып , эндотелиоциттерге дифференциаланады (2-сурет) . Олар алғашқы қан тамырларының эндотелий қабатын құрайды. Қан аралшығының ортасында орналасқан мезенхимоциттер де өз өсінділерін
жоғалтып, бірақ пішіні дөңгеленіп , қанның дің жасушаларының бірінші генерациясы (буыны) - ҚДЖ-I -ге дифференцияланады. ҚДЖ-I -лердің бір бөлігі интраваскулярлы , яғни қан тамырының ішінде, эритро-поэзге , яғни эритроциттерді мына схема бойынша жасауға кіріседі: ҚДЖ-I → МЕГАЛОБЛАСТТАР → МЕГАЛОЦИТТЕР ( БІРІНШІЛІК ЭРИТРОЦИТ-ТЕР ) . Біріншілік эритроциттер әдеттегі эритроциттерден (нормоциттерден) келесі белгілерімен ерекшеленеді : 1 ) өлшемі үлкен ( мега - үлкен) ; 2) ядролары бар; 3) гемоглобиннің ерекше түрі - эмбриондық Hb бар. Эритропоэздің бұл түрі мегалобластикалық деп аталады, себебі біріншілік эритроциттердің (мегалоциттердің) ізашары мегалобласттар болып табылады.
Кейінірек сары уыз қапшығында нормобластикалық эритропоэз жүзеге асырылады, яғни әдеттегі эритроциттер дамиды. Екіншіден, экстраваску-лярлы, яғни тамырлардан тыс, бастапқы лейкоциттер , атап айтқанда гранулоциттер дами бастайды, . Дамудың 12-ші аптасында сары уыз қабығындағы гемопоэз аяқталады , бірақ оған дейін ҚДЖ-I -нің қалған бөлігі қанмен сарыуыз қапшығынан шығып , эмбрионның денесіне (3-сурет) -
дамып келе жатқан бауырға көшеді, бұл мүшеде гемоцитопоэздің келесі кезеңі өтеді.
2. Бауыр кезеңі эмбриогенездің 6-аптасынан басталады (Cурет 4) . Эмбриондық гемоцитопоэздің осы кезеңінің ерекшеліктері келесідей.
1) Қанның барлық формалық элементтері (эритроциттер, тромбоциттер, гра-нулоциттер, агранулоциттер) дамиды. 2) Қан жасалу экстраваскулярлы , яғни капиллярлардан тыс (айналасында) өтеді. 3) Эритроциттердің өлшемі қалыпты және құрамында O 2 -ге туыстастығы көтеріңкі HbF бар. 4) Мұнда дің жасушаларының екінші буыны (ұрпағы) - ҚДЖ-II қалыптасады. Олар кейін бауырдан басқа мүшелерге көшеді.
Бауырдағы қан жасалу жатыр ішілік дамудың 5-ші айында жоғары деңгейіне жетеді, содан кейін біртіндеп басылып , туылуына толығымен тоқтайды . Бауыр ас қорыту жүйесінің мүшесіне айналады.
3. Медулалық кезеңі. Осы кезеңде бауырдан ҚДЖ-II 4-5-апта ішінде тимустың , лимфа түйіндерінің , көкбауырдың және сүйектің қызыл кемігінің (медула!) бастамаларына - бұл мүшлер қалыптасқан сайын көшіп отырады (сурет 4) . Барлық осы мүшелер гемопоэзге осы кезеңде қосылады. Медулалық кезеңнің жалпы ерекшеліктері : 1) қан жасалу экстраваскулярлы өтеді; 2) пайда болған эритроциттерде негізінен HbF және аз мөлшерде HbA (ересектердің гемоглобині) болады; 3) барлық бұл мүшелер туылғаннан кейін де қан жасаушы болып қала береді . Алайда, сүйектің қызыл кемігінен басқаларында, қалыптасқан қанның формалық элементтерінің түрлері азаяды (төменде қараңыз) .
3. 1. Тимустағы (айырша без) қан жасау 7-8 аптада басталады, сол кезде сүйектің қызыл кемігінде пайда болған Т-лимфоциттердің ізашарлары - пре -Т-лимфоциттер тимустың эпителиін қоныстануды бастайды (4-сурет) . Мұнда олар антигентәуелсіз дифференциаланып , Т-лимфоциттерге пісіп жетіледі. Бұл - тимустың жалғыз, бірақ маңызды қызметі. Кейінірек тимустан шыққан Т-лимфоциттер иммуногенездің перифериялық мүшелеріне (лимфа түйіндері, көкбауыр, лимфоидты фолликулалар-түйіншектерге) көшіп, эффекторлық жасушаларға пісіп жетіледі (келесі дәрісті қараңыз) .
3. 2. Лимфа түйіндеріндегі және көкбауырдағы гемопоэз . Лимфа түйін-дері мен көкбауыр дамуы басталу бойына (эмбриогенездің 4-аптасының аяғында), бұларға бауырдан ҚДЖ-II көшіп келеді (4-сурет) . Олар көкбауырда экстраваскулярлы қанның формалық элементтерінің барлық түрлеріне дифференцияланады, яғни. ұрықтың көкбауыры универсалды (әмбебап) гемопоэзді жүзеге асырады. Көкбауырдағы мұндай гемопоэз әсіресе жатыр ішілік даму процесінің 5-ші айында айқын көрінеді. Осыдан кейін эритро- , грануло- және тромбоцитопоэз мүнда біртіндеп өшеді, есесіне лимфо-цитопоэз басым бола бастайды. Туылу алдында және постнаталды кезеңде (туғаннан кейін) көкбауырда тек лимфоциттер дамиды .
3. 3. Сүйектің қызыл кемігіндегі қан жасау . Сүйектің кемігі эмбриогенездің 8-ші аптасында пайда бола бастайды. Дамудың 12-ші аптасында мұнда ҚДЖ-II түсіп, олар экстраваскулярлы алғашында эритробласттар мен гранулоциттерді түзеді (Cурет 4) . 5-ші айдың ішінде сүйек кемігі универсалды (әмбебап) гемопоэзді атқара бастайды, яғни қанның формалық элементтерінің барлық түрлерін : гранулоциттерді, эритроциттерді, лейкоциттерді өндіреді. Олардан басқа, сүйектің қызыл кемігі тимусты пре - Т -лимфоциттермен және басқа да қан жасайтын мүшелерді В -лимфоциттермен қамтамасыз етеді. ҚДЖ - III -тің бір бөлігі сүйек кемігінде дифференциаланбаған күйінде сақталады және олар басқа мүшелер мен тіндерге таралуы мүмкін және қан жасушалары мен дәнекер тіндердің даму көз і бола алады. Осылайша, туылған сәтте және бүкіл өмірде сүйектің кемігі универсалды (әмбебап) гемопоэзді жүзеге асыратын орталық мүше болып табылады.
2. Гемопоэздің унитарлық теориясы.
Қанның дің жасушалары
ХХ ғасырдың басында орыс гистологы А. А. Максимов алғаш рет гемопоэздің унитарлық теориясын тұжырымдады ( уни - бір) . Бұл теорияға сәйкес қан жасушаларының барлық типтері қан жасайтын жасушалардың негіз салушы (ата-баба) бір түрінен - ҚДЖ -дан пайда болады. Бұл жасушалар эмбриондық кезеңде мезенхималық жасушалардан дамиды (1. 1 сұрақты, 1-суретті қараңыз) . Сол уақыттан бастап олар үнемі қан жасау қызметін жүзеге асырады: 1) қанның тін ретінде қалыптасуын, 2) оның регенерациясын , яғни қанның барлық формалық элементтерінің шығыны-ның орнын толтыруды қамтамасыз етеді.
ҚДЖ -лардың өздеріне ғана тән (сипатты) белгілері мен қасиеттері бар.
1. Морфологиялық тұрғыдан, яғни құрылысы бойынша олар пери-фериялық қанның кішкентай күңгірт лимфоциттеріне ұқсас.
2. Қолайсыз факторлардың әсеріне резистентті (төзімді) болып келеді.
3. Олар - дифференциалданбаған (жетілмеген) жасушалар. Алайда, олар полипотентті ( поли - көп, потенция - мүмкіндік), яғни қанның әр түрлі жасушаларына дами алады.
4. ҚДЖ -лар үнемі , оның үстіне салыстырмалы тұрақты жиілікпен α-митоз немесе симметриялы митоз арқылы бөлінеді. Бұл жағдайда әрбір ҚДЖ -дан екі бірдей (бірыңғай) еншілес (апалы-сіңлілі) ҚДЖ -лар пайда болады Мұндай бөліну сүйектің қызыл кемігінде ҚДЖ -лар пулының ( ҚДЖ -лардың жалпы қорының) сақталуын қамтамасыз етеді. Сонымен қатар, ҚДЖ -лар басқа жолмен - β-митоз , немесе асимметриялық митоз арқылы да бөлінуге қабілетті. Осындай митоздың нәтижесінде еншілес жасушалардың екі типі пайда болады: а) пулдың сақталуын қамтамасыз ететін, аналығына ұқсас ҚДЖ -лар; б) ҚДЖ -лар популяциясын тастап, одан шығып кететін ҚДЖ -лар, яғни олар дифферен-циалануға , яғни жаңа қасиеттер мен қасиеттерге ие болуға кіріседі (4 сұрақты қараңыз) .
3. Постэмбриондық гемопоэз және иммунопоэз.
Миелоидты және лимфоидты тіндер
Постэмбриондық гемоцитопоэз (1-сұрақты қараңыз) босанғаннан кейін
орталық (сүйектің қызыл кемігі, тимус) және перифериялық (лимфа түйіндері, көкбауыр, ас қорыту жолдарының және тыныс алу жолдарының қуыс мүше-лерінің қабырғаларында шашыраған барлық лимфоидтық құрылымдар) қан жасаушы және иммунопоэздік мүшелерде жүзеге асады. Бұл екі процесс (гемопоэз және иммунопоэз) бірге қарастырылады, өйткені иммундық (қорғаныс) реакциялар қан жасушаларының - лейкоциттер, моноциттер, лимфоциттердің белсенді қатысуымен жүзеге асады.
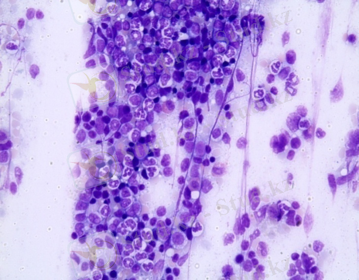
Қан жасау мүшелерінің негізгі тіні - қанның формалық элементтерін қалып-тасуына мамандандырылған гемопоэздік (қан жасайтын) тін . Оның екі түрі бар: а ) миелоидтық тін , мұнда миелопоэз өтеді, яғни миелоидты қатардың жасушалары - эритроциттер, гранулоциттер (нейтрофилдер, эозинофилдер, базофилдер), тромбоциттер, моноциттер дамиды және б ) лимфоидты тін , мұнда лимфопоэз өтеді, яғни лимфоидты қатардың жасушалары - Т - және В - лимфоциттер мен плазмоциттер дамиды.
Сур. 5. Сүйектің қызыл кемігінің жағындысы (миелоидтық тін)
Миелоидты тін сүйек кемігінің негізін құрайды, түтікті сүйектердің эпи-физдерінде және көптеген кеуекті сүйектердің қуыстарында орналасқан.
Сур . 6. Ретикулярлы (торлы) тін (лимфа түйіні)
Лимфоидты тіннің тимуста , көкбауырда және лимфа түйіндерінде орналасқан бірнеше түрлері бар.
Миелоидты және лимфоидты тіндер дәнекер тіннің түр бөлігі болып табылады және жалпы құрылысы ұқсас (5-сурет, 6-сурет) . Олар екі негізгі жасушалық линиялардан тұрады: а ) ретикулярлы тіннің жасушаларынан (ретикуло эпителий тіні бар тимусты қоспағанда) және б ) гемопоэздік жасу-шалардан . Ретикулярлы тін ретикулярлы жасушалардан және олар өндіретін ретикулин талшықтарынан құрылған. Ол макрофагтармен және синусоидты капиллярлармен (диаметрі кең, қабырғалары поралы) бірігіп, мүшенің үш өлшемді тор ( ретикулум ) тәрізді тіректік стромасын қалыптастырады. Строма гемопоэздік (қанның дамушы) жасушалар үшін микроорта рөлін атқарады. Макрофагтар өліп жатқан жасушалардың реутилизациясын (қайтадан қадеге жаратуды) қамтамасыз етеді. Ретикулярлы тіннің қуыстарында (ұяларында) гемопоэздік жасушалар аралшықтар түрінде қоныстанған (4 және 5 сұрақтарды, 7-суретті қараңыз) . Лимфоидты және миелоидты тіндердің бұл құрылымдық құрамдастары тығыз байланыста қызмет етеді.
4. Сүйектін қызыл кемігі: құрылысы және функциясы
Сүйектін қызыл кемігі (СҚК)
жалпақ сүйектердің
кеуекті затында
және түтікті сүйектердің
эпифиздерінде
орналасқан (сур. 7, сур. 5) . Онда
эритропоэз
басым болуына
байланысты
түсі қоңыр-қызыл
болады, консистенциясы -
қоймалжың
.
СҚК-
нің меншікті тіні
миелоидты
деп аталады (см. сұрақ 3) . Оның
ретикулярлы стромасы
арқылы
микроциркуляциялық арнаның
(
МЦА
) көптеген
Сур. 7. Сүйектің қызыл кемігінің құрылысы
қан тамырлары (синусоид типті капиллярлар, веналық синустар) өтеді. Олардың арасында, ретикулярлық строманың қуыстарында, жетілудің әр түрлі кезеңдерін өтіп жатқан гемопоэздік жасушалар орналасқан: дің, жартылай дің жасушалар, бласттар, проэритробласттар, промиело-циттер, метамиелоциттер, прелимфоциттер, мегакариобласттар, мегакариоциттер және қанның жетілген формалық элементтері (сур. 7) . Олардың дифференциялануына микроортасы да және өсуді ынталан-дыратын гемопоэздің арнайы факторлары - гемопоэтиндер де әсер етеді: эритропоэтиндер - эритробласттардың, гранулопоэтиндер - миело-бласттардың дамуын және т. б. Гемопоэздік (дамушы) жасушалар аралшықтар түрде орналасады. Мысалы, эритробласттар өздерін фаго-циттелген өлі эритроциттерден алынған темірмен (реутилизация - қайта өңдеу) қамтамасыз ететін макрофагты қоршап алады. Темір эритробласттарға Hb-нің синтезі үшін қажет. Жетілген сайын эритроциттер синусоид капиллярлардың поралары (тесіктері) арқылы қан арнасына еніп, ескі немесе өлген жасушалардың орнын басады (сур. 7) . Мегакаробласттар мен мегакариоциттер де синусоид капиллярларымен тығыз байланысады: олардың цитоплазмасының перифериялық бөлігі синустың қуысына тесіктері арқылы еніп, цитоплазмасының фрагменттерін (үзінділерін) тамыр қуысына тромбоциттер түрінде мезгіл-мезгіл бөліп отырады. Қалыпты жағдайда, СҚК-нің синусоид капиллярларының қабырғасы арқылы қанның тек жетілген жасушалары ғана енеді. Бұл ерекшелік В - лимфоциттерге (олардың эффекторлық жасушаларға - плазмоциттерге ақырғы жетілуі гемопоэз мен иммунопоэздің перифериялық мүшелерінде өтеді) және пре - Т - лимфоциттерге (олардың одан әрі дифференциялануы екінші орталық мүше - тимуста және қан жасаудың перифериялық мүшелерінде жүреді) тән емес . Тамыр арнасына жетілмеген жасушалардың енуі сүйек кемігіндегі гемопоэздің бұзылуының сенімді белгісі болып табылады.
... жалғасы- Іс жүргізу
- Автоматтандыру, Техника
- Алғашқы әскери дайындық
- Астрономия
- Ауыл шаруашылығы
- Банк ісі
- Бизнесті бағалау
- Биология
- Бухгалтерлік іс
- Валеология
- Ветеринария
- География
- Геология, Геофизика, Геодезия
- Дін
- Ет, сүт, шарап өнімдері
- Жалпы тарих
- Жер кадастрі, Жылжымайтын мүлік
- Журналистика
- Информатика
- Кеден ісі
- Маркетинг
- Математика, Геометрия
- Медицина
- Мемлекеттік басқару
- Менеджмент
- Мұнай, Газ
- Мұрағат ісі
- Мәдениеттану
- ОБЖ (Основы безопасности жизнедеятельности)
- Педагогика
- Полиграфия
- Психология
- Салық
- Саясаттану
- Сақтандыру
- Сертификаттау, стандарттау
- Социология, Демография
- Спорт
- Статистика
- Тілтану, Филология
- Тарихи тұлғалар
- Тау-кен ісі
- Транспорт
- Туризм
- Физика
- Философия
- Халықаралық қатынастар
- Химия
- Экология, Қоршаған ортаны қорғау
- Экономика
- Экономикалық география
- Электротехника
- Қазақстан тарихы
- Қаржы
- Құрылыс
- Құқық, Криминалистика
- Әдебиет
- Өнер, музыка
- Өнеркәсіп, Өндіріс
Қазақ тілінде жазылған рефераттар, курстық жұмыстар, дипломдық жұмыстар бойынша біздің қор #1 болып табылады.

Ақпарат
Қосымша
Email: info@stud.kz