Жоғарғы жақ молярларының екінші мезио-буккальды (MB2) каналын анықтау және инструментальды өңдеу: 65 пациенттің клиникалық зерттеуі

ЕКІНШІ МЕЗИО-БУККАЛЬДЫ КАНАЛДЫ ИНСТРУМЕНТАЛЬДЫ ӨҢДЕУ. Өзектілігі. Эндодонтия барлық каналдар емделген кезде ғана толық болып саналады. Екінші мезио-буккальды канал, ол "екінші медиальды-ұрт каналы" деп те аталады-жоғарғы жақ молярларының эндодонтиясындағы көптеген проблемалардың себебі. MB2 жоғарғы жақтың бірінші молярларында 90-95% жағдайда, екіншіде 90% кездеседі. Сонымен қатар, MB2 көбінесе "дентин сөресі" деп аталады, яғни оған кіру дентин қабатының астында болады. MB1 және MB2 арналары бір-бірімен байланысады, яғни егер MB1-де инфекция болса, ол MB2-де болады. Қайтымсыз пульпит кезінде MB2 іздеуден және өтуден бас тарту эндодонтиялық емдеуден кейін суық/ыстық реакцияға әкелуі мүмкін. Егер тіс сау емес болса, MB2 назардан тыс қалуы апикальды аймақта патологияны тудыруы мүмкін.
Зерттеу мақсаты. Жиі кездесетін эндодонтиялық асқынуларға байланысты mb2 каналының сәтті өтуі үшін манипуляциялар жүргізілді. Мб2 арнасының өтуі үшін осы техниканың тиімділігі мен сәттілігін бағалаңыз. MB2-ді қалай табуға және өңдеуге болады, сондықтан стоматологтар әр клиникалық жағдайда бірінші және екінші молярдың 3 түбір мен 4 арнасы (MB1, MB2, DB, P) немесе тек 3 арнасы бар-жоғын сенімді түрде анықтай алады. Бұл зерттеуге 65 пациент қатысты. Олардың жасы 18-ден 45 жасқа дейін өзгереді (ерлер 35, әйелдер 30) .
Материалдар мен әдістер. МБ2-ны сәтті анықтау және өткізу үшін қажет, оған жақсы жарықтандырылған бинокулярлар және эндо үшін ұзын, төмен жылдамдықты дөңгелек бор немесе ультрадыбыстық тұлба кіреді. Жоғарыда айтылғандай, үлкейту каналды табуда сәттілік ықтималдығын едәуір арттырады, ал дентин сөресін алып тастау үшін бор немесе тұлба қажет. Егер тіс қатты кальцификацияланған болса, сізге 2-3 мм тереңдеу қажет болуы мүмкін. Маңызды: МБ2-ге кіру оңай емес. Егер дентинді тегістеу бағыты дұрыс таңдалмаса, перфорация ықтималдығы жоғары. . Тұлбадағы бор көру аймағының едәуір бөлігін жабады, яғни сіз дұрыс көрмей жұмыс істеуге тура келеді, бұл нәтижеге теріс әсер етуі мүмкін.
Рентгенография MB2 іздеуде өте маңызды.
Көптеген стоматологтар бір рентген суретпен ғана жұмыс істей береді. Бұл жеткіліксіз. Үш түрлі бұрыштан рентгенография жасаған кезде (SLOB техникасы) біз тістің құрылымын жақсы көре аламыз. Қателіктер болмас үшін файлдарды қолдану тізбегін жоспарлау маңызды. Fanta Af F1 файлдары гибридті термиялық өңдеудің және тегіс беттің арқасында өте тар каналдарды қалыптастырудың қауіпсіз құралы болып саналады. Тіс қуысына еркін кіру алаңы барлық эндодонтиялық манипуляциялардың алғашқы қадамы екені белгілі және ол әрқашан маңызды. Жақсы жұмыс істеу үшін тегістелген және тазартылған осьтік қабырғаларға толық кіру алаңы қажет. Кіру алаңы үлкен болуы керек деп айтпаймын, сау тіс құрылымын бұзбай жеткілікті қол жеткізуге болады. Кейде жақсы қол жеткізу үшін барлық кіру алаңын қалпына келтірулерді, соның ішінде тәждерді алып тастау қажет.
Mb2 анықтау. Өздеріңіз білетіндей, әрбір MB2 анықтау оңай емес. Сирек кездесетін жағдай, біз жай ғана файлды алып, осындай арнаны табамыз. Көбінесе оны іздеу, өту және кеңейту үшін үлкен жұмыс істеу керек. Мұнда мен MB2-мен жұмыс істеу кезінде пайдалы болуы мүмкін бірнеше кеңестер мен амалдармен бөлісемін.
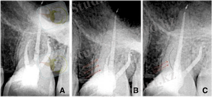
Ақ сызық тесті
Бор немесе ультрадыбыстық технология көмегімен қол жеткізу кезінде некротикалық тістерде үгінділер пайда болады, олар анатомиялық кеңістіктерде жиналуы мүмкін, мысалы, тіс қуысының түбіндегі ойықтар. Бұл "ақ сызық"суретін жасайды. Біз мұндай сызықтар туралы өте мұқият болуымыз керек, өйткені оларды қосымша арнаның аузын іздеген кезде қолдануға болады. Қызыл сызық тесті
Некротикалық тістер сияқты, өмірлік тістерде сіз "қызыл сызық"сынағына назар аудара аласыз. Пульпа қуысына қол жеткізгеннен және ашқаннан кейін, әрине, ол қан кетеді. Қан кетуді тоқтатқаннан және тіндерді шығарғаннан кейін сіз тіс қуысының түбіндегі ойықтардан шыққан кішкентай қан тамшыларын көре аласыз. Олар сонымен қатар қосымша каналдың болуының көрсеткіші бола алады.
Көпіршіктер тесті
Тест микроскопиялық эндодонтия дәуірінің басынан бері бірнеше рет айтылған. Бұл тестті жүргізу үшін натрий гипохлоритінің ерітіндісі целлюлоза қуысына енгізіледі, ол органикалық тіндермен байланысқан кезде бос оттегі шығарып, натрий мен хлорид иондарына ыдырайды. Реакция тіс қуысының түбінде көпіршіктердің пайда болуы ретінде байқалады және оны микроскопта көруге болады. Бұл тістің құрылымын зерттеудегі тағы бір нұсқа. Түс тесті
Түс сынағы туралы да есте ұстаған жөн. 2004 жылы Krasner эндодонтиялық журналында жарияланған пульпарлы камера анатомиясының үш Заңының бірі-түстердің өзгеру заңы. Тамырлардың дамуы мен бірігуі кезінде пайда болатын сызықтар немесе тамыр картасыбұл тіс қуысының түбіндегі тар жолақтар және қоршаған тіндерге қарағанда күңгірт көрінеді. Олар бізді қосымша арналарға апарады.
Mb2 өңдеу Қол жеткізгеннен кейін сіз MB2 табуға көмектесетін жоғарыда аталған бірнеше сынақтарды жүргізе аласыз. Кейбір жағдайларда микроскопты қолдана отырып, қосымша каналдың аузын тестілеу аяқталғаннан кейін анықтауға болады. Бірақ бұл әрдайым бола бермейді. MB2 анықтаудың тағы екі маңызды кезеңі бар. Бірінші кезең-бірінші жоғарғы молярдың барлық негізгі каналдарын табу. Сипатталған жағдайда бұл мезиальды-ұрттық (MB1), дистальды-ұрттық (DB) және палатиндік (P) каналдар болады. Үш ауызды оңай анықтау үшін анатомиялық кілтті есте ұстаған жөн: 1. MB1 мезиальды-ұрттық төбесінің шыңынан сәл қашықтықта орналасқан. 2. DB мезиальды ұрттық қатысты дистальды және біршама аз. Әдетте, оның аузы ұрттық фиссурасында орналасқан. 3. P мезиальды-палатальды төбеден гөрі алыс орналасқан.
Екінші кезең-MB2 орналасқан жерді анықтау. Ол әдетте негізгі MB1-ге қарағанда анағұрлым аз локализацияланған және MB1 мен Р арасында сызылған сызыққа қатысты сәл мезиалданған.
Нәтижелер мен талқылаулар. 65 пациентті зерттеу барысында 55 мб2 жағдай анықталды. Олардың жасы 18-ден 45 жасқа дейін өзгереді. 85% жағдайда mb2 арнасы табылды және өңделді. Осылайша, осы техниканың жетістігі эндодонтиялық асқынуларды азайтады. Бұл әдістеменің табыстылығы емделуден кейін 1. 5 - 2 жылдан кейін рентгенологиялық зерттеулерді жүргізу және бақылау жолымен пациенттердің 88% - ында байқалды.
Гендерге қатысты алынған деректерді талдау кезінде бірінші молярда MB-2 каналы бар пациенттердің 100% - дан 48, 6% - ы әйелдер, 51, 4% - ы ер адамдар екендігі атап өтілді. Екінші молярға келетін болсақ, сшамамен бірдей: 54, 2 % - әйелдер және 45, 8% - ер адамдар. Осылайша, кездесу жиілігі мен жыныс арасындағы байланыс анықталған жоқ.
Әдебиттер тізімі:
1. Sjogren U, Hagglund B, Sundqvist G, Wing K. Факторы, влияющие на долгосрочные результаты эндодонтического лечения. Дж Эндод. 1990 г. ; 16 (10) : 498-504.
2. Вертуччи, Ф. Дж., и Уильямс, Р. Г. (1974) . Фуркационные каналы первого моляра нижней челюсти человека. Оральная хирургия, оральная медицина, оральная патология, 38 (2), 308-314. дои: 10. 1016/0030-4220(74) 90073-5
3. Лин Л. М., Скрибнер Дж. Е., Генглер П. Факторы, связанные с неудачами эндодонтического лечения. Дж Эндод. 1992 год; 18 (12) : 625-627.
4. Коэн С., Бернс Р. «Эндодонтия»; под ред. А. М. Соловьевой. - 8-е изд., перераб. и доп. - СПб. : STBOOK, 2007. - 1026 с.
5. Петрикас А. Ж. «Пульпэктомия. Учебное пособие для стоматологов и студентов» - М. : АльфаПресс, 2006. - 300 с.
6. Бир Р., . Бауманн М. А, Ким С. ; пер. с англ. Коваленко А. В. ; под общ. ред. Виноградовой Т. Ф. «Эндодонтология: атлас по стоматологии» - М. : МЕДпресс-информ, 2004. - 363 с.
7. Кузьмина Д. А., Пихур О. Л., Иванов А. С. «Эндодонтическое лечение зубов: методология и технология: учеб. пособие. 2-е изд., испр. и доп. - СПб: СпецЛит, 2013. -223 с.
8. Ламли Ф., Адамс Н., Томсон Ф. пер. с англ. ; под общ. ред. проф. Макеевой И. М. . «Практическая клиническая эндодонтия» - М. : МЕДпресс-информ, 2007. - 128 с.
9. Johnson W. «Color atlas of endodontics» - Philadelphia, 2002. - 203 с.
10. Тронстад Л. ; пер. с англ. ; под ред. проф. Т. Ф. Виноградовой «Клиническая эндодонтия» - М. : МЕДпресс-информ, 2006. - 288 с.
11. Николаев А. И. , Цепов Л. М. «Практическая терапевтическая стоматология: Учебное пособие» (8-е изд. ) М. : МЕДпресс-информ, 2008. - 960 с.
12. Боровский, Е. В. «Клиническая эндодонтия» 2-е изд., доп. и испр. - М. : Стоматология, 2003. - 175 с.
13. Латышева С. В., Абаимова О. И., Будевская Т. В, «Ошибки, осложнения в эндодонтии и методы их профилактики : учеб. -метод. пособие» - Минск: БГМУ, 2012. - 43 с.
... жалғасы- Іс жүргізу
- Автоматтандыру, Техника
- Алғашқы әскери дайындық
- Астрономия
- Ауыл шаруашылығы
- Банк ісі
- Бизнесті бағалау
- Биология
- Бухгалтерлік іс
- Валеология
- Ветеринария
- География
- Геология, Геофизика, Геодезия
- Дін
- Ет, сүт, шарап өнімдері
- Жалпы тарих
- Жер кадастрі, Жылжымайтын мүлік
- Журналистика
- Информатика
- Кеден ісі
- Маркетинг
- Математика, Геометрия
- Медицина
- Мемлекеттік басқару
- Менеджмент
- Мұнай, Газ
- Мұрағат ісі
- Мәдениеттану
- ОБЖ (Основы безопасности жизнедеятельности)
- Педагогика
- Полиграфия
- Психология
- Салық
- Саясаттану
- Сақтандыру
- Сертификаттау, стандарттау
- Социология, Демография
- Спорт
- Статистика
- Тілтану, Филология
- Тарихи тұлғалар
- Тау-кен ісі
- Транспорт
- Туризм
- Физика
- Философия
- Халықаралық қатынастар
- Химия
- Экология, Қоршаған ортаны қорғау
- Экономика
- Экономикалық география
- Электротехника
- Қазақстан тарихы
- Қаржы
- Құрылыс
- Құқық, Криминалистика
- Әдебиет
- Өнер, музыка
- Өнеркәсіп, Өндіріс
Қазақ тілінде жазылған рефераттар, курстық жұмыстар, дипломдық жұмыстар бойынша біздің қор #1 болып табылады.
Ақпарат
Қосымша
Email: info@stud.kz