Листериоз патологиялық морфологиясы


ҚАЗАҚ ҰЛТТЫҚ АГРАРЛЫҚ ЗЕРТТЕУ УНИВЕРСИТЕТІ
коммерциялық емес акционерлік қоғам
«Ветеринария» факультеті
«Биологиялық қауіпсіздік» кафедрасы
СТУДЕНТТІҢ ӨЗІНДІК ЖҰМЫСЫ:
Листериоз патологиялық морфологиясы
тақырыбына орындалған
Орындаған:
Тексерген:
Алматы, 2020
Мазмұны
І Кіріспе
ІІ Негізгі бөлім
2. 1. Этиологиясы
2. 2. Патогенезі
2. 3. Патологиялық анатомиялық өзгерістері
2. 4. Патологиялық гистологиялық өзгерістері
ІІІ. Қорытынды
ІҮ. Пайдаланылған әдебиеттер
Кіріспе
Листериоз (Listeriosis) сүтқоректілер мен құстардың зооантропоноздар тобына жататын, ми мен жұлынның қабынуымен, іш тастаумен, сепсис, желінсау нышандарымен сипатталатын жіті инфекциялық ауруы.
Листериозбен жануарлар жасына қарамай ауырады, әйтсе де жас төл мен буаз малдардың бейімділігі жоғары. Ауруға қойлар жиі шалдығады. Ірі қара малда ауру көбінесе қыс және көктем айларында байқалады. Табиғатта листериялар негізінен тышқан тектес кемірушілер организмінде сақталады. [2]
Негізгі бөлім
Қоздырушысы - Listeria monocytogenes таяқша тәріздес, грамтеріс боялатын бактерия, ұштары дөңестеніп бітеді, кейбір ортада сәл ғана бүгіледі, спора мен қауашақ түзбейді. Listeria monocytogenes бактериясының қозғалу қасиеті бар, оның өте ұзын полярлы талшығы (жгутигі) болады. Рим бестігіне (V) ұқсап жеке-жеке, бір-біріне параллельді, жұп болып және қысқа тізбек болып орналасады.
Бас миы талшықтарынан алынған жағындыдағы Listeria monocytogenes (Грам әдісі бойынша боялған)
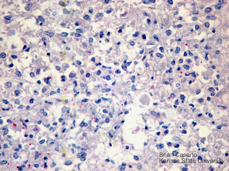
Иммуногистохимия (ми) : қызыл түсті ошақтар оң нәтижелі боялған Listeria monocytogenes
Патогенезі. Листериялар жануарлар организміне негізінен азық қорыту мүшелері арқылы жем-шөппен (сүрлеммен, т. б. ) бірге енеді. Тыныс жолдары, конъюнктива және зақымданған тері арқылы да енуі мүмкін Қоздырушы эндо- және экзотоксиндер бөліп, зардапты әсер етеді. Инфекция қақпасынан листериялар қанға, лимфаға өтіп, бүкіл организмді жайлайды. Инфекциялық процестің одан әрі өршуі қоздырушының уыттылығы мен мал организмнің физиологиялық ахуалына байланысты. Организмнің төзімділігі төмен бұзауларда септицемия өршиді, буаз сиыр мен саулықта листерия плацента арқылы өтіп, жатырдағы төлге енуі, нәтижесінде малдың іш тастауы, төлдің алғашқы апта ішінде ауырып, шығынға ұшырауы мүмкін. 1-4 апталық бұзауларда ауру экзогендік инфекция ретінде туындап, көбінесе мидың зақымдану белгілерінің басымдылығымен сипатталады. Еріннің, ауыз қуысы мен жұтқыншақтың кілегейлі қабықтары арқылы ішкі ортаға енген листериялар жүйке діңгектерін (тілжұтқыншақ, бет, тіластыңғылық) бойлай миға өтіп, миды және оның қабықтарын жіті қабындырады. Листериоз жіті және жітіліеу өтеді.
Патологиялық анатомиясы .
Патанатомиялық өзгерістер аурудың клиникалық нышандарына сәйкес әртүрлі болады. Олардың мынадай түрлері бар :
- жүйкелік
- сепсистік
- генитальды
- аралас
- субклиникалық
- латентті
1) Жүйкелік листериоз жіті іріңді сипатталады.
Жіті іріңді менингоэнцефаломиелит сопақша мидың, ми көпірінің, ортаңғы ми мен жұлынның бет бөлімінің алдыңғы бөлігінің, мишықтың, көру төмпектерінің зақымдалуымен сипатталады. Бұл мүшелердің ми заты мен ми қабықтарында жіті қабынған гиперемия және домбығу, сондай-ақ нүктелі және дақты қанталаулар, жұмсарған өлі ошақтар мен жұмсақ ұлпаның абсцессін көреміз. Жас төлдерде панэнцефалит пен отит байқалады. Жүйкелік-көздік формасында кератоконъюнктивит ажыратылады. [3]
Мидағы энцефалит ( сиыр)
Ми заты мен ми қабықтарының домбығу сұйығымен кеуленгені, онда нүктелі және дақты қанталаулар, ми тамырларының қанмен молайғаны байқалады. Ми қабықтарында қанталау гематома түрінде болуы, ми діңгегінің каудальды бөлігінде жұмсару ошақтары болуы мүмкін. Кейбір деректер бойынша (М. М. Халимбеков), қойда бұл қанталаулар жайылма сипатта да болады, мидың қарыншалары мен қатты қабығы астында ірің тәріздес сұйықтың болуы ықтимал. [1]
Сопақша мидағы абсцесс (сиыр)
Эпикард астында, жұтқыншақтық және жақастылық лимфалық түйіндерде, т. б. мүшелерде бірен-саран нүктелі және дақ қанталаулар кездеседі. [1]
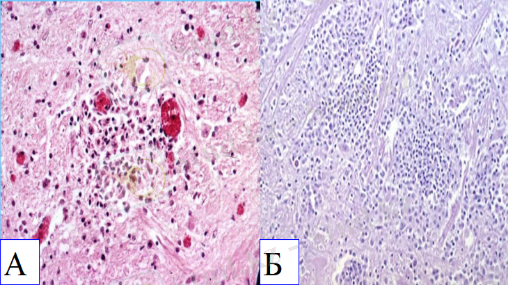
Бас миындағы лептоменингит аймағындағы тамырлардың анық гиперемисы (теке)
2) Сепсистік листериоз құстар, лақтар, қозылар мен ересек бұзауларда байқалады. Сепсистік листериоз бауырда, сирегірек лимфалық түйіндерде, талақта, өкпеде, жүрек (миокард) пен бүйректе өлі ошақтар пайда болуымен сипатталады. Кейін өлі ошақтар орнында гранулемалар қалыптасады.
Бауырдағы некроз ошақтары (қозы)
Ылғалды және кілегейлі қабықтарда, лимфалық түйіндерде қан молаяды, қанталаулар пайда болады, ішек - қарын жіті катарлы немесе қанараласа (геморрагиялық) қабынады (гастроэнтерит) , паренхималық мүшелерде нәруыздық дистрофиялық процестер туындайды, талақ пен лимфалық түйіндер гиперемия мен гиперплазияға, өкпе гиперемияға ұшырайды. Бұзаудың өкпесі көбінесе катарлы қабынады. [1]
Жүректегі сары түсті некроз ошағы (балапан)
3) Генитальдық листериоз эндометритпен, жануардың буаздықтың екінші жартысында іш тастауымен немесе зілді кеселге шалдыққан, тіршілікке қабілетсіз төл тууымен сипатталады. Іш тасталған шарананың домбығу сұйығымен кеуленгені, көкірек және кұрсақ қуыстарында қызғылт сұйықтың жиналғаны байқалады.
Бауырда, көкбауырда, миокард пен бас миында майда өлі ошақтар, кейбір авторлардың айтуынша майда абсцесстер де кездеседі. [1] Кейбір ішкі мүшелерде милиарлы некроздар мен абсцесстер ажыратылады. [3]
4) Аралас пошымды листериоз сирек кездеседі, ми мен жұлынның қабынуымен және ішкі мүшелердегі септицемияға тән өзгерістермен сипатталады, яғни жүйкелік және сепсистік листериоздардың қосындысы десек болады. [2]
Патологиялық гистологиясы:
Листериозға жұлынның, ми жүйкелерінің ( 5, 7, 9 немесе 12 жұптары), мидың белгілі бір бөлектерінің ҚАБЫНУЫ тән. Сопақша ми мен көпір зілді, ортаңғы ми мен жұлынның мойын бөлімі біршама бәсеңдеу қабынады, ал мишық пен көру дөңесінің қабынуы шамалы болады. Жұмсақ қабық өте зiлдi қабынып, лимфоциттермен, гистиоциттермен, бірен-саран нейтрофильдермен кеуленеді. [2]
Микроабсцесс белгілерімен жіті іріңді байқаймыз. [3]
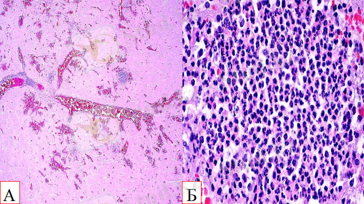
Энцефалит: А. Қозы миы Б. Ірі қара малдың сопақша миы
Мидағы қабыну мына көріністермен сипатталады:
1) Периваскулярлы инфильтрация- қан тамырларын торшалық муфталардың жан-жағынан қоршай орналасуы
2) Инфильтраттардың түзілуі ( торша элементтерінің қан және лимфамен араласып, ұлпада шоғырлануы)
- ошақты және диффузды полиморфты лейкоциттер мен гистиоциттердің инфильтраты;
- моноциттердің инфильтраты;
- лимфоциттермен макрофагтар инфильтраты - ми ұлпасында;
- жеке нейтрофильді лейкоциттер инфильтраты (іріңді инфильтрат) - орталық жүйке жүйесінің талшықтарында;
Бұл инфильтраттар нығызданады, осылайша мүше склерозға ұшырайды, склероз абсцесстің ( іріңді қабыну) пайда болуына әкеледі.
3) Пролиферация ( торшалар бөлініп, көбеюінен ұлпаның өсуі)
- глия элементтерінің өсуі
4) Нейрондар дистрофияға ұшырайды, глиоциттермен қоршалады (нейронофагия)
5) Тамырлардың кеңеюі[4]
Ми талшығы: А. Периваскулярлы инфильтрацияның майда ошақтары. Тамырлар қабынған торшаларға толып және қоршалып тұр.
Б. Нейрофилдерден (сандары әртүрлі макрофаг пен лимфоциттер) тұратын периваскулярлы қабынған торшалар.
Мида лейкоциттер мен гистиоциттердің шоғырланған, жайылған және қан тамырларын тікелей қоршаған шоғырлары байқалады. Қабыну процесі ми затындағы лейкоциттердің шоғырларымен басталады да, кейін микроглия көбейіп, гистиоциттер пайда болып полиморфты сипат алады. [2]
Мидағы қабыну көріністері: В. Лимфоцит, макрофаг пен плазмоциттерден тұратын анық периваскулярлы қабынған инфильтрат (ірі қара мал)
С. Нейропилдегі дегенерацияланған нейтрофилдерден тұратын қабынған инфильтраттардың майда ошақтары (қой)
D. Нейрофилдерден тұратын мультифокальды инфильтраттармен байланысқан көптеген базофильды бактериялардың нейропилдегі құрылымы
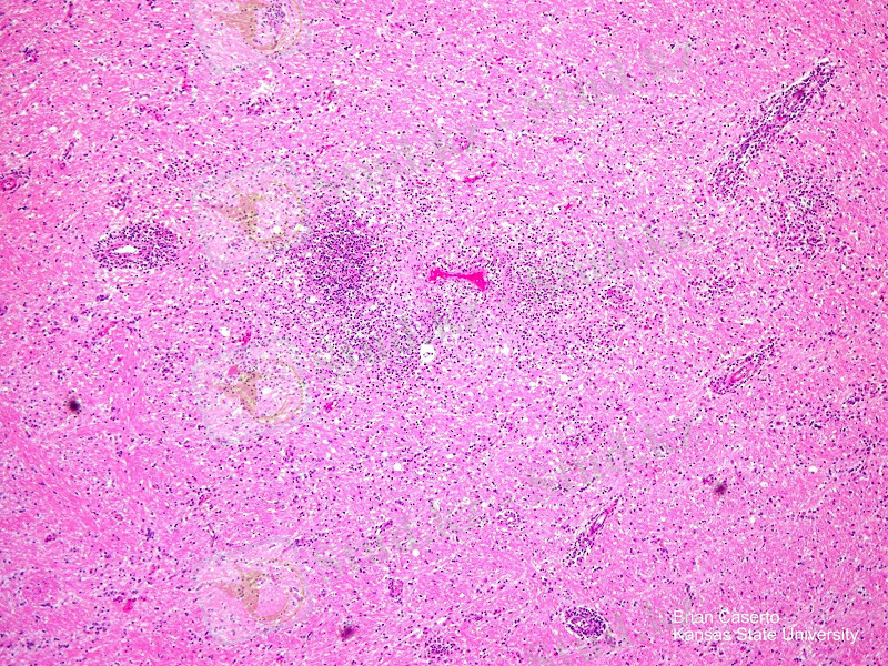
Мида майда НЕКРОЗ ошақтары кездеседі. [2]
Ми: майда некроз ошақтары, іріңді қабыну, периваскулярлы инфильтрация
... жалғасы- Іс жүргізу
- Автоматтандыру, Техника
- Алғашқы әскери дайындық
- Астрономия
- Ауыл шаруашылығы
- Банк ісі
- Бизнесті бағалау
- Биология
- Бухгалтерлік іс
- Валеология
- Ветеринария
- География
- Геология, Геофизика, Геодезия
- Дін
- Ет, сүт, шарап өнімдері
- Жалпы тарих
- Жер кадастрі, Жылжымайтын мүлік
- Журналистика
- Информатика
- Кеден ісі
- Маркетинг
- Математика, Геометрия
- Медицина
- Мемлекеттік басқару
- Менеджмент
- Мұнай, Газ
- Мұрағат ісі
- Мәдениеттану
- ОБЖ (Основы безопасности жизнедеятельности)
- Педагогика
- Полиграфия
- Психология
- Салық
- Саясаттану
- Сақтандыру
- Сертификаттау, стандарттау
- Социология, Демография
- Спорт
- Статистика
- Тілтану, Филология
- Тарихи тұлғалар
- Тау-кен ісі
- Транспорт
- Туризм
- Физика
- Философия
- Халықаралық қатынастар
- Химия
- Экология, Қоршаған ортаны қорғау
- Экономика
- Экономикалық география
- Электротехника
- Қазақстан тарихы
- Қаржы
- Құрылыс
- Құқық, Криминалистика
- Әдебиет
- Өнер, музыка
- Өнеркәсіп, Өндіріс
Қазақ тілінде жазылған рефераттар, курстық жұмыстар, дипломдық жұмыстар бойынша біздің қор #1 болып табылады.

Ақпарат
Қосымша
Email: info@stud.kz