Мыс және оның қорытпалары


ҚАЗАҚСТАН РЕСПУБЛИКАСЫНЫҢ ҒЫЛЫМ ЖӘНЕ БІЛІМ МИНИСТРЛІГІ
СЕМЕЙ қаласының ШӘКӘРІМ атындағы МЕМЛЕКЕТТІК УНИВЕРСИТЕТІ
Ақпараттық-коммуникациялық технологиялар факультеті
«Машина жасау технологиясы және механика» кафедрасы
Металл технологиясы пәні
СӨЖ
Тақырыбы: Мыс және оның қорытпалары.
Орындаған: Тохтабаева Қ.
ПСМ-219
Тексерген: Тілеуғали Е.
Семей
2015 ж.
Мазмұны
- Кіріспе
- Мыс және оның қорытпалары
- Қорытынды
Кіріспе
Мыстың тығыздығы 8, 94т/м 3 , балқу температурасы 1084˚С. Мыстың құнды техникалық қасиеттеріне жоғары электр және жылу өткізгіштігі мен пластикалығы жатады. Мыстың ауа, су, органикалық қышқылдар және т. б. ортада коррозияға төзімділігі жақсы. Мыстың кейбір технологиялық қасиеттері (ыстық және суық күйде илемделуі, дәнекерленуі) жақсы. Мыста кездесетін элементтерді үш топқа бөлуге болады.
1. Al, Fe, Ni, Sn, Zn сияқты элементтер мыста еріп, оның беріктігі мен қаттылығын жоғарылататындықтан, қоспалаушы элемент ретінде қолданыс тапты. Бірақ бұл элементтер мыстың электр және жылу өткізгіштігін төмендетеді.
2. Рb, Вi мыс пен негізі мыс бір фазалы қорытпалардың механикалық қасиеттерін төмендетеді. Егер висмут мыс пен мыс қорытпасының морттылығын ұлғайтса, пластикалығы жоғары қорғасын олай әсер етпейді. Қорғасын мыс қорытпасының антифрикциялық қасиетін және кесумен өңделгіштігін жақсартады. Қорғасын мен висмут мыстың электр өткізгіштігін аз төмендетеді.
3. О, S, Se, Te сияқты мыста ерімейтін элементтер аралық фаза түзеді. Оттек мыстың электр өткізгіштігін төмендетеді, ал күкірттің ондай әсері жоқ. Күкірт мыстың кесумен өңделгіштігін жақсартады. Мыстың механикалық қасиеті негізінен оның күйіне байланысты (14. 8-кесте) .
Мысты суықтай деформациялау, оның беріктік көрсеткіштерін жоғарылатып, пластикалығын төмендетеді, сонымен қатар электр өткізгіштігін төмендетеді. Химиялық құрамының тазалығына қарай техникалық мыстың мынадай маркалары болады: МОО(99, 99%Cu), MO(99, 95%Cu), M1(99, 9%Cu), M2(99, 7%Cu), M3(99, 5%Cu) . Электр және жылу өткізгіштігі бойынша мыс күмістен кейін екінші орында (ρ=0, 017241мk Ом м) . Сондықтан мыс электр тогын өткізгіштер, кабельдер, әр түрлі жылу алмастырғыштар, кристаллизатор, индуктор және т. б. жасау үшін қолданылады.
Мыстың кемшіліктері : жоғары тығыздығы, кесу арқылы нашар өңделгіштігі және сұйықтай аз аққыштығы. Мыстың біраз бөлігі негізі мыс болып келетін қорытпаларды алуға жұмсалады. Мыс қорытпаларын алу үшін негізінен мыста еритін элементтерді (Zn, Sn, Al, Be, Si, Mn, Ni`) пайдаланады.
14. 8-кесте - М1 маркалы мыстың механикалық қасиеті

35
550
Мыс қорытпалары мыстың пайдалы қасиеттерін (жоғары электр және жылу өткізгіштігін, коррозияға төзімділігін, пластикалығын және т. б. ) сақтай отырып, механикалық, технологиялық және антифрикциялық қасиеттерге ие болады. Барлық мыс қорытпалары екі үлкен топқа бөлінеді :
1) жез;
2) қола.
Жез. Негізгі қоспалаушы элементі мырыш болып келетін, екі және көп компонентті негізі мыс қорытпасын жез деп атайды. Жезді Л (латунь) әрпімен белгілейді. Екі компонентті жезді Л әрпімен және мыстың мөлшерін көрсететін екі орынды санмен маркалайды. Мысалы, Л90 маркалы жезде орташа есеппен 90% Сu және 10% Zn бар.
Жездің құрылымы құрамына байланысты Cu-Zn күйі диаграммасы (14. 1, б-сурет) бойынша анықталады. Ең көбірек тараған жездің құрылымы α-немесе (α+ β
) -фаза болып, 45%-ға дейін мырышы болады. Бір фазалы α -жездің құрамында 39 %-ға дейін мырыш болса, (α+β
) - жезде -39-45%Zn. Мырыштың мыстағы қатты ерітіндісі α - жез болса, Cu Zn электрондық қосылысы негізіндегі қатты ерітінді - β -жез. Жоғары температурада атомдары ретсіз орналасқан β - фаза пластикалы келеді. 454-468˚С температурадан төмен мыс пен мырыш атомдарының орналасуы ретті болып, фазаны β
деп белгілейді. β
-фазасы β -фазаға қарағанда жоғары қаттылығымен және морттылығымен ерекшеленеді.
Екі компонентті жез қасиетінің мырыш мөлшеріне байланыстылығы 14. 1, а-суретте көрсетілген. α -қатты ерітінді аймағында жездің беріктігі де, пластикалығы да артады. Жез беріктігінің артуы (α + β
) -фаза аймағында да орын алып, беріктік мырыш мөлшері 45%-ға жеткенше жоғарылайды. Содан кейін құрылымы тек β
-фаза болғанда, жез беріктігі күрт төмендей бастайды. Жездің ең жоғары пластикалығы мырыш мөлшерінің 37% -ында орын алады. Жез құрылымында β
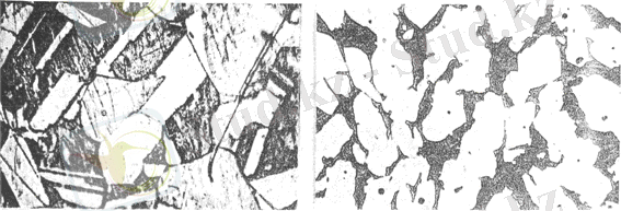
-кристалдары пайда болысымен, оның пластикалығы күрт төмендейді. Бір фазалы (α) және екі фазалы (α+β) жездің құрылымы 14. 2- суретте келтірілген. (α+β
) -немесе β
- фазаның пластикалығы төмен болғандықтан, бұл жездер тек қыздырылған күйде жақсы деформацияланады, ал α - жез әрі суық, әрі ыстық күйде жақсы деформацияланады.
а) б)
14. 1-сурет - Cu-Zn күйі диаграммасы (б) және мыс механикалық қасиетіне мырыштың әсері(а)
Деформацияланатын екі компонентті жез ыстықтай және суықтай илемделген немесе престелген сым, тілкем, қаңылтыр, құбыр және т. б. жартылай өнім түрінде жұмсартылған немесе қатты күйде болады. Жұмсартылған α-жездің σ
в
=250-300 МПа, δ=50-55%болса, (α+β
) жездің- δ=400-450МПа, δ =35-40%. Бір фазалы жездің беріктігін суықтай пластикалық деформациялау арқылы 450-700 МПа-ға дейін көтеруге болады, бірақ пластикалығы өте төмендейді (δ =3-5%) .
а) б)
а) бір фазалы; б) екі фазалы
14. 2-сурет - Жез құрылымы
Томпак деп аталатын Л96 маркалы жездің механикалық қасиеті жақсы, технологиялық қасиеті мысқа жақын және коррозияға төзімділігі жоғары. Жартылай томпак деп аталатын Л85, Л80 жез маркалары томпактан (Л96, Л90) арзандау, механикалық қасиеті жақсы, қысумен өңделуді өте жақсы және коррозияға төзімділігі жеткілікті. Л70, Л68, Л63 жездерінің механикалық және технологиялық қасиеттері жақсы болғандықтан техникада кеңірек қолданылады.
Мыс- мырыш қорытпаларының үлкен тобын көп компонентті немесе арнайы жез құрайды. Екі компонентті жезді бір немесе бірнеше элементтермен (Al, Fe, Ni, Sn, Mn, Pb және т. б. ) қоспалайтындықтан, олар алюминийлі, никельді, марганецті, темірмарганецті және т. б. болып аталынады.
Мыс қорытпасын маркалаған кезде қоспалаушы элементтерді мына әріптермен белгілейді:алюминий-А, никель-Н, темір-Ж, марганец-Мц, кремний-К, қалайы-О, қорғасын-С және т. б. Егер екі компонентті жез технологиялық қасиеті бойынша тек деформацияланатын болса, көп компонентті жез деформацияланатын және құйылатын болып екіге бөлінеді. Деформацияланатын жезді маркалағанда Л әрпінен кейін қоспалаушы элементтердің бірінші әріптерін жазып, мыстың және қоспалаушы элементтердің пайыздық мөлшерін көрсететін сандар келтіріледі (ГОСТ 15527-70) . Мысалы, деформацияланатын ЛАН-59-3-2 маркалы жездің құрамы орташа есеппен 59% Cu, 3%Al, 2%Ni, қалғаны 100-64=36%Zn.
Құйылатын жезді маркалағанда әрбір қоспалаушы элементтердің белгісінен кейін пайыздық мөлшері көрсетіледі (ГОСТ 17711-93) . Мысалы, құйылатын ЛЦ38Мц2С2 маркалы жездің құрамы орташа есеппен 38% Zn, 2% Mn, 2% Pb, қалғаны 100-42=58% Cu болады.
Қоспалаушы элементтер (никельден басқа) мырыштың мыста ерігіштігін азайтып, β′-фазаның түзілуіне әсер етеді, сондықтан арнайы жездер көбінесе екі фазалы (α+β′) . Никель мырыштың мыста ерігіштігін ұлғайтқандықтан, никель қосылған жездер көбінесе бір фазалы (α) . Арнайы немесе көп компонентті жездердің, екі компонентті жездерге қарағанда, механикалық (14. 9-кесте), технологиялық қасиеттері жоғары, сонымен қатар коррозияға төзімділігі жақсы.
Алюминий жездің беріктігін және қаттылығын арттырады. 4%-ға дейін алюминий қосылған (ЛА77-2) жездің құрылымы бір фазалы болғандықтан, жақсы деформацияланады. Алюминийлі жезге қосымша Ni, Fe, Mn, Si қосады(ЛАН 59-3-2, ЛАЖ60-1-1 және т. б. ) . Бұл элементтердің α - қатты ерітіндіде ерігіштігі өзгермелі болғандықтан, жезді шынықтыру+ескіру арқылы беріктендіруге болады.
Никель мырыштың мыста ерігіштігін ұлғайтып, жездің механикалық қасиетін жақсартады. Никельді жез, мысалы, ЛН 65-5 суық және ыстық күйде қысумен жақсы өңделеді. Марганецті жездің (ЛМц58-2, ЛМцА57-3-1) беріктігі және коррозияға төзімділігі жоғарылау.
14. 9-кесте-Деформацияланатын жездің механикалық қасиеті
Жез
маркасы
ЛК80-3
Темір жез түйіршігін ұсақтайтындықтан, темірмарганецті жездің (МЖМц 59-1-1) беріктігі мен тұтқырлығы жоғарылау болады. Жездің ауа мен теңіз суында коррозияға беріктігі және антифрикциялық қасиеті жақсы. Олардан кеме жасау саласының әр түрлі бөлшектері жасалынады.
«Теңіз жезі» деп аталынатын қалайылы жез (ЛО90-1, ЛО70-1, ЛО62-1, ЛО60-1) жоғары коррозияға төзімділігімен ерекшеленеді, әсіресе теңіз суында.
Қорғасынды жез (ЛС74-3, ЛС64-2, ЛС60-1, ЛС59-1 және т. б) кесумен жақсы өңделгіштігі жоғары антифрикциялық қасиетімен ерекшеленеді. Қорғасынды жез көбінесе станок - автоматқа дайындама ретінде пайдаланылады.
Кремнийлі жездің (ЛК80-3) жәй жезге қарағанда, ауа мен теңіз суында коррозияға төзімділігі жоғары. Сонымен қатар технологиялық қасиеті (суық және ыстық күйде деформациялануы, дәнекерленуі, пісірілуі) жақсы. Сондықтан коррозияға төзімді мәшине бөлшектері жасалынады. Қысу арқылы өңдеудің алдында қаттылығын төмендету үшін және жартылай өнімге керекті қасиетті алу үшін жезді қайта кристалдану жұмсартуынан өткізеді.
Құйылатын жездің негізгі қоспалаушы элементтері : Al, Si, Mn, Pb, Fe. Құйылатын жездің құйылғыштық қасиетін арттыру үшін, оған қосатын қоспалаушы элементтер мөлшері жоғарылау келеді. Құйылатын жездердің механикалық, технологиялық (сұйықтай аққыштығы, элементтердің химиялық ликвацияға бейімділігі), антифрикциялық қасиеті және коррозияға төзімділігі жақсы. Жездің газбен қанығуға бейімділігі төмен болғандықтан, алынатын құйма тығыз келеді.
Құйылатын жездің механикалық қасиеті құю тәсіліне байланысты. Металл қалыпқа құйылған құйманың механикалық қасиеті, құм қалыпқа құйылған құймаға қарағанда, жоғары келеді. Мысалы, ЛЦ30А3 жезді құм және металл қалыпқа құйғанда беріктік шегі 294 және 392 МПа болып салыстырмалы ұзару шегі 12 және 15%.
Қола. Мыстың Sn, Al, Mn, Si және т. б. элементтермен, Zn пен Ni негізгі қоспалаушы болып есептелмегендегі, қорытпасын қола деп атайды.
Химиялық құрамы бойынша қола қалайылы және қалайысыз болып екіге бөлінеді. Қалайысыз қола негізгі қоспалаушы элементке қарай алюминийлі, марганецті, кремнийлі, бериллийлі және т. б. болып бөлінеді.
Технологиялық қасиеті бойынша қола деформацияланатын және құйылатын болып бөлінеді. Деформацияланатын қоланы маркалағанда Бр (бронза) әріптерінен кейін қоспалаушы элементтерді белгілейтін әріптерді жазып, содан кейін элементтердің пайыздық мөлшерін көрсететін сандар келтіріледі (ГОСТ 5017 - 74) . Мысалы, Бр 0Ц4-3 маркалы қоланың құрамы : 4%Sn, 3%Zn, қалғаны мыс. Құйылатын қоланы маркалағанда әрбір қоспалаушы элементті белгілейтін әріптен соң, оның пайыздық мөлшерін көрсететін сан жазылады (ГОСТ 613- 79) . Мысалы, Бр 010Ф1 маркалы қоланың құрамы : 10%Sn, 1%P, қалғаны мыс.
Қолалардың жездерге қарағанда, механикалық және антифрикциялық қасиеттері, сонымен қатар коррозияға төзімділігі жоғары. Қоспалаушы элемент ретінде Sn, Al, Mn, Si, Be, Fe, Pb, P, Cr, Zr, Zn, Ni және т. б. қолданылады. Қалайы негізгі қоспалаушы элемент болатын қоланы қалайылы қола деп атайды.
... жалғасы- Іс жүргізу
- Автоматтандыру, Техника
- Алғашқы әскери дайындық
- Астрономия
- Ауыл шаруашылығы
- Банк ісі
- Бизнесті бағалау
- Биология
- Бухгалтерлік іс
- Валеология
- Ветеринария
- География
- Геология, Геофизика, Геодезия
- Дін
- Ет, сүт, шарап өнімдері
- Жалпы тарих
- Жер кадастрі, Жылжымайтын мүлік
- Журналистика
- Информатика
- Кеден ісі
- Маркетинг
- Математика, Геометрия
- Медицина
- Мемлекеттік басқару
- Менеджмент
- Мұнай, Газ
- Мұрағат ісі
- Мәдениеттану
- ОБЖ (Основы безопасности жизнедеятельности)
- Педагогика
- Полиграфия
- Психология
- Салық
- Саясаттану
- Сақтандыру
- Сертификаттау, стандарттау
- Социология, Демография
- Спорт
- Статистика
- Тілтану, Филология
- Тарихи тұлғалар
- Тау-кен ісі
- Транспорт
- Туризм
- Физика
- Философия
- Халықаралық қатынастар
- Химия
- Экология, Қоршаған ортаны қорғау
- Экономика
- Экономикалық география
- Электротехника
- Қазақстан тарихы
- Қаржы
- Құрылыс
- Құқық, Криминалистика
- Әдебиет
- Өнер, музыка
- Өнеркәсіп, Өндіріс
Қазақ тілінде жазылған рефераттар, курстық жұмыстар, дипломдық жұмыстар бойынша біздің қор #1 болып табылады.

Ақпарат
Қосымша
Email: info@stud.kz