Нуклеопротеидтер алмасуының бұзылуы жайлы мәлімет


Қазақстан Республикасы Білім және Ғылым Министірлігі
Семей қаласының Шәкәрім атындағы Мемлекеттік университеті
CӨЖ
Тақырыбы: Нуклеопротеидтер алмасуының бұзылуы
Орындаған: Ибрагимова А. Д
Тексерген: Нуркенова М. К
Семей қаласы 2015 жыл
Жоспар
I. Кіріспе
ІІ. Негізгі бөлім
1) Организмдегі нуклеопротейдтер және олардың қызметі
2) Нуклеопротейдтер алмасуының бұзылуының патологиялық көрінісі
3) Нуклеопротейдтердің алмасуының бұзылуының себептері (этиологиясы)
III. Қорытынды
IV. Пайдаланылған әдебиеттер тізімі
Кіріспе
Тірі ағзада көптеген процесстер жүріп отырада. Күніне бірнеше рет әр нәрсе жаңарып күделі алмасулар атқарылып отырады. Организмге ең керекті, қажетті процесс бұл зат алмасулар. Соның ішінде нуклеопротеидтер алмасуының өзі ерек орын алады. Нуклеопротеидтерге анықтама бермес бұрын бұл сөзге анықта беріп өтсем. Бұл сөзнемесе термин екі сөзден құралған нуклеин және протеин. Протеиндер - тек амиак қышқылдарының қалдықтарынан тұратын қарапайым ақуыздар. Ал нуклеин қышқылдары бұл - құрамында фосфор бар биополемерлер. Осыған орай ендігі нуклеопротеидтерге тоқталайым. Нуклеопротеидтер - нуклеин қышқылдарының белоктармен қосылуынан пайда болатын күрделі құрамалар. Құрамына кіретін кіретін нуклеин қышқылының түріне байланысты нуклеопротеидтер және рибонуклеопротеидтер болып бөлінеді. ДНП барлық торшалар ядроларының митохондрийларының құрамына кіреді, сперматозоидтардың басынан табылады. РНП рибосомалардың, информасомалардың және вирустардың құрамына кіреді.
Ағзада осы нуклеопротеидтердің алмасуының бұзылуының нәтижесінде ағза несеп қышқылдары көптеп жиналып қалып олардың тұздарының клеткаларға шөгуінен организм подагра, бүйрек тас ауруына сонымен қатар несеп қышқылды диатезге және несеп-қышқылды инфарктісіне шалдығады.
ІI. Негізгі бөлім
1) Организмдегі нуклеопротейдтер және олардың қызметі
Нуклеопротеидтер - нуклеин қышқылдарының белоктармен қосылуынан пайда болатын күрделі құрамалар. Құрамына кіретін кіретін нуклеин қышқылының түріне байланысты нуклеопротеидтер және рибонуклеопротеидтер болып бөлінеді. ДНК барлық торшалар ядроларының митохондрийларының құрамына кіреді, сперматозоидтардың басынан табылады. РНК рибосомалардың, информасомалардың және вирустардың құрамына кіреді. ДНК белоктары гистондар мен протоминдерден тұрады да, ДНҚ қос оралымы арасындағы саңылауларға орналасып, құрылымды бекіндіреді және негіздік қасиетін бақылайды. РНК құрамында бір немесе бірнеше молекула РНК және бірнеше кейде ондаған белок болады. Белоктар әрі құрылыс заттарының рөлін атқарады, әрі РНК құруға қатынасады. Нуклеин қышқылдарының алмасуы жоғары дәрежелігімен сипатталады, себебі олардың әрекетімен белоктік заттардың биологиялық түзілуі тығыз байланысқан.
Организмге түсу жолы мен онда жүретін процесстер.
Организмге азық арқылы түседі
Ауыз қуысында ұнтақталады, суланады
Өнеш арқылы асқазанға өтеді
Пепсин мен тұз қышқылымен байланысып
Нуклеин қышқылына және қарапайым белоктарға ыдырайды
Ащы ішекте нуклеопротеидтердің алмасуы аяқталады
Нуклеопротеидтер организмнің өзінде түзіледі және азық құрамында сырттан келеді. Азықта нуклеин қышқылдары нуклеопреидтер түрінде болады. Құрамында нуклеопроеидтері бар азық ауыз қуысында механикалық тұрғыдан ұнтақталады, сілекеймен шыланады да, өңеш арқылы асқазанға түседі. т-РНҚ - ның бірен-сараны сілекей рибонуклеазасымен (РНҚ-азасымен) олиго-және мононуклеотидтерге ыдырайды. Асқазанда пепсин және тұз қышқылының әсерімен нуклеопротеидтердің көпшілігі нуклеин қышқылдарына және қарапайым белоктарға ыдырайды. Нуклеопротеидтердің алмасуы ащы ішекте аяқталады. Қалған нуклеопротеидтерді трипсин нуклеин қышқылдарына қарапайым белокпен ыдыратады. Қарапайым белоктар (протаминдер және гистондар, альбуминдер және глобулиндер) ұйқы безінің және ішек сөлі ферменттерінің әсерімен амин қышқылдарына дейін ыдырайды да, ащы ішекте сіңіріледі.
Қызметі.
Организмдегі нуклеопротеидтер қатарына ДНП және рибонуклеопротеидтер РНП кіреді. ДНП ядроның соның ішінде хромасомалар құрамына кіріп, организмдегі тұқым қуалау белгілерін анықтайды. РНП болса белок түзілуінің ( синтезінің) негізгі реттеушісі болып есептеледі.
2) Нуклеопротейдтер алмасуының бұзылуының патологиялық көрінісі
Нуклеопротеидтер алмасуының бұзылуы организмде подагра, бүйрек тас, несеп қышқылына байланысты инфаркт ауруларын туғызады.
Подагра ауруының патологиялық көрінісі.
Несеп қышқылының натрий тұздары Майда буындарға шөгеді.
Біріншіден, ұлпаға несеп қышқылы жиналады. Екіншіден, ұлпа некрозданады, ұлпа айналасында қабыну реакциясы жүреді . Үшіншіден, инкапсуляция - бірте-бірте некроз ошағы қауашақталады. Төртіншіден, tophi urici - буындар айналасында үлкендігі жаңғақтай түйіндер пайда болады.
Бүйрек тас ауруының патологиялық көрінісі.
- Несептің кенет тоқталуы, алғашқы белгісі;
- Механикалық бітелуден және түбекше мен несеп жолдарында болатын спазм салдарынан дамиды;
- Бұл ауруда қызба, лейкоцитоз дамиды.
Бүйрек тасының құрамына жататындар :
- Қымыздық және фосфор қышқылының тұздары;
- Несептік қышқыл;
- Натрий және амоний ураттары;
- Кейбір кезде цистин және ксантин кіреді.
Тас құрамының бөліктері
Органикалық емес Органикалық
Патогенезінде тұздардың ерігіштігінің төмендеуі доминантты роль атқарады, оларға жататындар:
- Мочевина, креатинин, ксантин, циттраттар т. б. тұздарды еріткен күйде сақтайтын қабілеттің төмендеуі;
- Несепте кристалдануды ингибиция жасаушы заттар азаяды;
- Несепте натрии және цитраттармен жиынтық жасалу төмендейді;
- Несепте мукопротеидтер, пирожүзім қышқылдары, сульфаниламидтер, коллаген ыдырауының заттары пайда болады.
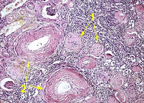
Микроскоп арқылы көру
3) Нуклеопротейдтердің алмасуының бұзылуының себептері
Нуклеопроеидтердің ыдырауы нәтижесінде несеп қышқылы түзіліп, ол несеп жолдарымен сыртқа шығарылады. Нуклеопротеидтер алмасуы бұзылғанда несеп қышқылы көп мөлшерде түзіліп, оның тұздары ағзаларға шөгіп қалады.
Нуклеопротеидтер алмасуының бұзылуы:
- Организмге пуриндердің сыртқы ортадан (ет құрамында) келіп түсуі күшейгенде;
- Олардың организмнің өзінде көп түзілуі нәтижесінде;
- Пуриндердің ыдырау өнімдерінің несеппен бөлініп шығуы қиындағанда (бүйрек ауруларында) ;
- Нуклеопротеидтер қалдықтарының бүйректен басқа ағзалардан ( тері арқылы, ішектен) бөлініп шығуы бұзылғанда байқалады.
Нуклеопротеидтер алмасуы бұзылғанда дамитын сырқаттар қатарына:
- Подагра;
- Бүйрек тас ауруы;
- Несеп қышқылына байланысты инфаркт кіреді.
Нукоепротеидтердің алмасуының негізгі себебі ол :
... жалғасы- Іс жүргізу
- Автоматтандыру, Техника
- Алғашқы әскери дайындық
- Астрономия
- Ауыл шаруашылығы
- Банк ісі
- Бизнесті бағалау
- Биология
- Бухгалтерлік іс
- Валеология
- Ветеринария
- География
- Геология, Геофизика, Геодезия
- Дін
- Ет, сүт, шарап өнімдері
- Жалпы тарих
- Жер кадастрі, Жылжымайтын мүлік
- Журналистика
- Информатика
- Кеден ісі
- Маркетинг
- Математика, Геометрия
- Медицина
- Мемлекеттік басқару
- Менеджмент
- Мұнай, Газ
- Мұрағат ісі
- Мәдениеттану
- ОБЖ (Основы безопасности жизнедеятельности)
- Педагогика
- Полиграфия
- Психология
- Салық
- Саясаттану
- Сақтандыру
- Сертификаттау, стандарттау
- Социология, Демография
- Спорт
- Статистика
- Тілтану, Филология
- Тарихи тұлғалар
- Тау-кен ісі
- Транспорт
- Туризм
- Физика
- Философия
- Халықаралық қатынастар
- Химия
- Экология, Қоршаған ортаны қорғау
- Экономика
- Экономикалық география
- Электротехника
- Қазақстан тарихы
- Қаржы
- Құрылыс
- Құқық, Криминалистика
- Әдебиет
- Өнер, музыка
- Өнеркәсіп, Өндіріс
Қазақ тілінде жазылған рефераттар, курстық жұмыстар, дипломдық жұмыстар бойынша біздің қор #1 болып табылады.

Ақпарат
Қосымша
Email: info@stud.kz