Нуклеопротеидтердің алмасуының бұзылуы


Қазақстан Республикасы Білім және Ғылым Министірлігі Семей қаласының Шәкәрім атындағы Мемлекеттік университеті
Ветеринариялық санитария кафедрасы
Бөж
Тақырыбы: Нуклеопротеидтер алмасуының бұзылуы
Орындаушы: Ануарбекова А. А
Тексеруші: Нүркенова М. К
2015 жыл
Жоспар
Кіріспе
І Жалпы бөлім
а) Организмдегі нуклеопротейдтер және олардың қызметі
ІІ Негізгі бөлім
а) Нуклеопротейдтер алмасуының бұзылуының патологиялық көрінісі
ә) Нуклеопротейдтердің алмасуының бұзылуының себептері (этиологиясы)
ІІІ Зерттеу бөлімі
а) Несеп қышқылды диатез
ә) Құстар подограсы
б) Төлдің несеп-қышқылды инфарктісі
Қорытынды
Пайдаланылған әдебиеттер тізімі
Кіріспе
Тірі ағзада көптеген процесстер жүріп отырада. Күніне бірнеше рет әр нәрсе жаңарып күделі алмасулар атқарылып отырады. Организмге ең керекті, қажетті процесс бұл зат алмасулар. Соның ішінде нуклеопротеидтер алмасуының өзі ерек орын алады. Нуклеопротеидтерге анықтама бермес бұрын бұл сөзге анықта беріп өтсем. Бұл сөзнемесе термин екі сөзден құралған нуклеин және протеин. Протеиндер - тек амиак қышқылдарының қалдықтарынан тұратын қарапайым ақуыздар. Ал нуклеин қышқылдары бұл - құрамында фосфор бар биополемерлер. Осыған орай ендігі нуклеопротеидтерге тоқталайым. Нуклеопротеидтер - нуклеин қышқылдарының белоктармен қосылуынан пайда болатын күрделі құрамалар. Құрамына кіретін кіретін нуклеин қышқылының түріне байланысты нуклеопротеидтер және рибонуклеопротеидтер болып бөлінеді. ДНП барлық торшалар ядроларының митохондрийларының құрамына кіреді, сперматозоидтардың басынан табылады. РНП рибосомалардың, информасомалардың және вирустардың құрамына кіреді.
Ағзада осы нуклеопротеидтердің алмасуының бұзылуының нәтижесінде ағза несеп қышқылдары көптеп жиналып қалып олардың тұздарының клеткаларға шөгуінен организм подагра, бүйрек тас ауруына сонымен қатар несеп қышқылды диатезге және несеп-қышқылды инфарктісіне шалдығады.
І Жалпы бөлім
а) Организмдегі нуклеопротейдтер және олардың қызметі
Организмде нуклеопротеидтердің кездесуі, пайда болуы.
Нуклеопротеидтер - нуклеин қышқылдарының белоктармен қосылуынан пайда болатын күрделі құрамалар. Құрамына кіретін кіретін нуклеин қышқылының түріне байланысты нуклеопротеидтер және рибонуклеопротеидтер болып бөлінеді. ДНП барлық торшалар ядроларының митохондрийларының құрамына кіреді, сперматозоидтардың басынан табылады. РНП рибосомалардың, информасомалардың және вирустардың құрамына кіреді. ДНП белоктары гистондар мен протоминдерден тұрады да, ДНҚ қос оралымы арасындағы саңылауларға орналасып, құрылымды бекіндіреді және негіздік қасиетін бақылайды. РНП құрамында бір немесе бірнеше молекула РНП және бірнеше кейде ондаған белок болады. Белоктар әрі құрылыс заттарының рөлін атқарады, әрі РНП құруға қатынасады. Нуклеин қышқылдарының алмасуы жоғары дәрежелігімен сипатталады, себебі олардың әрекетімен белоктік заттардың биологиялық түзілуі тығыз байланысқан.
Организмге түсу жолы мен онда жүретін процесстер.
Организмге азық арқылы түседі
Ауыз қуысында ұнтақталады, суланады
Өнеш арқылы асқазанға өтеді
Пепсин мен тұз қышқылымен байланысып
Нуклеин қышқылына және қарапайым белоктарға ыдырайды
Ащы ішекте нуклеопротеидтердің алмасуы аяқталады
Нуклеопротеидтер организмнің өзінде түзіледі және азық құрамында сырттан келеді. Азықта нуклеин қышқылдары нуклеопреидтер түрінде болады. Құрамында нуклеопроеидтері бар азық ауыз қуысында механикалық тұрғыдан ұнтақталады, сілекеймен шыланады да, өңеш арқылы асқазанға түседі. т-РНҚ - ның бірен-сараны сілекей рибонуклеазасымен (РНҚ-азасымен) олиго-және мононуклеотидтерге ыдырайды. Асқазанда пепсин және тұз қышқылының әсерімен нуклеопротеидтердің көпшілігі нуклеин қышқылдарына және қарапайым белоктарға ыдырайды. Нуклеопротеидтердің алмасуы ащы ішекте аяқталады. Қалған нуклеопротеидтерді трипсин нуклеин қышқылдарына қарапайым белокпен ыдыратады. Қарапайым белоктар (протаминдер және гистондар, альбуминдер және глобулиндер) ұйқы безінің және ішек сөлі ферменттерінің әсерімен амин қышқылдарына дейін ыдырайды да, ащы ішекте сіңіріледі.
Қызметі.
Организмдегі нуклеопротеидтер қатарына ДНП және рибонуклеопротеидтер РНП кіреді. ДНП ядроның соның ішінде хромасомалар құрамына кіріп, организмдегі тұқым қуалау белгілерін анықтайды. РНП болса белок түзілуінің ( синтезінің) негізгі реттеушісі болып есептеледі.
ІІ Негізгі бөлім
а) Нуклеопротейдтер алмасуының бұзылуының патологиялық көрінісі
Нуклеопротеидтер алмасуының бұзылуы организмде подагра, бүйрек тас, несеп қышқылына байланысты инфаркт ауруларын туғызады.
Подагра ауруының патологиялық көрінісі.
Несеп қышқылының натрий тұздары Майда буындарға шөгеді.
Біріншіден, ұлпаға несеп қышқылы жиналады. Екіншіден, ұлпа некрозданады, ұлпа айналасында қабыну реакциясы жүреді . Үшіншіден, инкапсуляция - бірте-бірте некроз ошағы қауашақталады. Төртіншіден, tophi urici - буындар айналасында үлкендігі жаңғақтай түйіндер пайда болады.
Бүйрек тас ауруының патологиялық көрінісі.
- Несептің кенет тоқталуы, алғашқы белгісі;
- Механикалық бітелуден және түбекше мен несеп жолдарында болатын спазм салдарынан дамиды;
- Бұл ауруда қызба, лейкоцитоз дамиды.
Бүйрек тасының құрамына жататындар :
- Қымыздық және фосфор қышқылының тұздары;
- Несептік қышқыл;
- Натрий және амоний ураттары;
- Кейбір кезде цистин және ксантин кіреді.
Тас құрамының бөліктері
Органикалық емес Органикалық
Патогенезінде тұздардың ерігіштігінің төмендеуі доминантты роль атқарады, оларға жататындар:
- Мочевина, креатинин, ксантин, циттраттар т. б. тұздарды еріткен күйде сақтайтын қабілеттің төмендеуі;
- Несепте кристалдануды ингибиция жасаушы заттар азаяды;
- Несепте натрии және цитраттармен жиынтық жасалу төмендейді;
- Несепте мукопротеидтер, пирожүзім қышқылдары, сульфаниламидтер, коллаген ыдырауының заттары пайда болады.
Несеп қышқылына байланысты инфаркт ауруының патологиялық көрінісі.
Несеп түтікшелері ішіне, эпителийне, мүше стромасына несеп қышқылының тұздары шөгеді.
Тіліп қарағанда бүйректің үстіңгі қабатында тарам-тарам болып орналасқан ақшыл-сары, қызғылт-сары тұз түйіршіктерін, жолақтарын көруге болады. Төлдің демалуына, қоректенуіне және оның денесіндегі зат алмасуының қайта құрылуына байланысты қандағы ядролы эритроциттер жаппай ыдырайды, мұның салдарынан қанда несеп қышқылының мөлшері көбейіп кетеді.
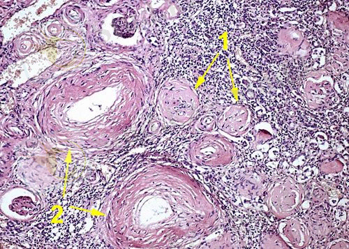
Микроскоп арқылы көру
ә) Нуклеопротейдтердің алмасуының бұзылуының себептері (этиологиясы)
Нуклеопроеидтердің ыдырауы нәтижесінде несеп қышқылы түзіліп, ол несеп жолдарымен сыртқа шығарылады. Нуклеопротеидтер алмасуы бұзылғанда несеп қышқылы көп мөлшерде түзіліп, оның тұздары ағзаларға шөгіп қалады.
Нуклеопротеидтер алмасуының бұзылуы:
- Организмге пуриндердің сыртқы ортадан (ет құрамында) келіп түсуі күшейгенде;
- Олардың организмнің өзінде көп түзілуі нәтижесінде;
- Пуриндердің ыдырау өнімдерінің несеппен бөлініп шығуы қиындағанда (бүйрек ауруларында) ;
- Нуклеопротеидтер қалдықтарының бүйректен басқа ағзалардан ( тері арқылы, ішектен) бөлініп шығуы бұзылғанда байқалады.
Нуклеопротеидтер алмасуы бұзылғанда дамитын сырқаттар қатарына:
- Подагра;
- Бүйрек тас ауруы;
- Несеп қышқылына байланысты инфаркт кіреді.
Нукоепротеидтердің алмасуының негізгі себебі ол :
- Организмде шамадан тыс несеп қышқылыңын жиналуынан болады.
- Несеп қышқылының тұздары клеткаларға, тіндерге түсіп шөккен кезде.
- Гиперурекимияның асқынған түрінде.
- Кейбір жағдайларда организмде су жетіспегенде пайда болуы да ықтимал.
ІІІ Зерттеу бөлімі
а) Несеп қышқылды диатез
Несеп қышқылдфы диатез - (грек. Diathesis бейім, бейім болу) нуклеопротеидтердің алмасуының бұзылуы салдарынан несеп қышқылы мен оның тұздарының қанда көбейіп(гиперуремия) мүшелер мен өрмелерде шөгуі.
Көбінесе құстарда, әсіресе тауық тектестерде, сирегірек сүт қоректілерде (ит т. б. ) кездесетін дерт. Бұл дерт күнделікті азық тым мол, оның құрамында нәруыз көп болған жағдайда, мысалы, рационда көк шөп пен витаминдік азық жетіспей, құс ұзақ уақыт жануар тектес азықпен (ет, балық, ет-сүйек ұны, балық ұны), құнарлы жеммен азықтандырылғанда байқалады. Бүйректің зақымдануы да осы дертке әкеліп соғуы әбден мүмкін.
Микроскоп арнайы құрал арқылы зерттеу.
Микроскоппен зерттегенде несеп қышқылы кристалл түрінде, ал оның тұздары аморфты зат түрінде көрінеді. Бұл заттар шөккен жерде өрме ыдырып өледі де, қабыну процесі басталады, осыған байланысты сол араға гистоциттер, лейкоциттер және алып торшалар жиналады. Зақымдалған жердің айналасында дәнекер өрме торшалары көбейеді, талшықты дәнекер өрме пайда болады.
ә) Құстар подограсы
Нуклеопроеидтер алмасуының бұзылғанда дамитын сырқаттардың бірі ол - подагра.
Подагра майда (қанат-аяқ буындары) және ірі (тізе, иық буындары) буындарда, синовиалдық қабықтарда, шеміршектерде несеп қышқылынгың натрий тұздарының шөгіп қалуына байланысты болатын сырқат. Көбінесе бұл сырқат тұқым қуалайды, тауық-әтештерде болса ауру олардың балапандарында подагра ерте басталып, ауыр түрде өтеді. Подаграмен негізінен әтештер, қораздар ауырады.
Буын диатезі немесе подагра (грек. Podos - аяқ, agros - қатты) . Бұл диатез кезінде несеп қышқылы және ураттар буын қабығына, сіңір қынабына, олардың айналасындағы өрмеге шөгеді. Көбінесе құстың секек буындары зақымданады. Олар қатайып, табиғи пішінін жояды, жуандайды. Буын тұсында бор сияқты өте нығыз құрғақ затқа немесе қаймақ тәріздес қойыртпаққа толған түйіндер (подагра томпақтары), буын шеміршегінде некроз ошқтары, ойылымдар пайда болады. Олардың айналасы қабынып, мұнда алып торшалар жиналады, талшықты дәнекер өрме өседі.
Аурудың өту барысы.
Несеп қышқылы шөгіп қалған жердегі тін некрозға ұшырап, айналасында қабыну реакциясы өрістейді және көпядролы алып жасушалар жиналады. Бірте-бірте некроз ошағы капсуламен қоршалып буындар айналасында үлкендігі жаңғақтай түйіндер (подагра түйіндері - tophi urici) пайда болады.
Подагра сырқатында негізінен құстардың қанаттары мен аяқтары ісіп, домбығып, мезгіл-мезгіл қатты ауырады. Егер осы өзгерістер иық буынында болса ол омагра , тізе буынында болса - гонагра , қанат буынында болатынды - хаирагара деп атайды паталогиялық анатомия ғылымында.
Құстардағы несеп қышқылды диатез кезіндегі визуальді түріндегі көрінісі
Подагра түрі
Біріншілік подагра
Бұл белгісі туылған кезде пуриндік алмасудың бұзылысының әсерінен пайда болады. Несеп қышқылының тұздары тінге, суставтарға шөгеді . осы процесспен қатар қабыну да жүреді. Осының әсерінен гранулематозды реакция беріп, нәтижесінде ірі клеткалар пайда болады және олардың жиналуымен әрі қарай өрбиді. Осыған орай подагралық төмпешіктер пайда болады ( подагрические шишки (tophi urici) ) және одан кейін суставтар деформацияға ұшырайды.
Екіншілік подагра
Бұл подаграның асқынған түрі:
- Клеткада, тінде ісік клеткаларының туындылары болса подаграның одан әрі өршуіне әкеп соғады;
- Эндокринді ауруларда;
- Бүйрек ауруларында нефроцирроз кезінде
Пайда болады да күрделі ауыр түрде өтеді.
б) Төлдің несеп-қышқылды инфарктісі
Төлдердің көбінесе бүйректің несеп-қышқылды инфарктісі байқалады (латынша infarcire -толтыру) .
... жалғасы- Іс жүргізу
- Автоматтандыру, Техника
- Алғашқы әскери дайындық
- Астрономия
- Ауыл шаруашылығы
- Банк ісі
- Бизнесті бағалау
- Биология
- Бухгалтерлік іс
- Валеология
- Ветеринария
- География
- Геология, Геофизика, Геодезия
- Дін
- Ет, сүт, шарап өнімдері
- Жалпы тарих
- Жер кадастрі, Жылжымайтын мүлік
- Журналистика
- Информатика
- Кеден ісі
- Маркетинг
- Математика, Геометрия
- Медицина
- Мемлекеттік басқару
- Менеджмент
- Мұнай, Газ
- Мұрағат ісі
- Мәдениеттану
- ОБЖ (Основы безопасности жизнедеятельности)
- Педагогика
- Полиграфия
- Психология
- Салық
- Саясаттану
- Сақтандыру
- Сертификаттау, стандарттау
- Социология, Демография
- Спорт
- Статистика
- Тілтану, Филология
- Тарихи тұлғалар
- Тау-кен ісі
- Транспорт
- Туризм
- Физика
- Философия
- Халықаралық қатынастар
- Химия
- Экология, Қоршаған ортаны қорғау
- Экономика
- Экономикалық география
- Электротехника
- Қазақстан тарихы
- Қаржы
- Құрылыс
- Құқық, Криминалистика
- Әдебиет
- Өнер, музыка
- Өнеркәсіп, Өндіріс
Қазақ тілінде жазылған рефераттар, курстық жұмыстар, дипломдық жұмыстар бойынша біздің қор #1 болып табылады.

Ақпарат
Қосымша
Email: info@stud.kz