Кеуде ішілік лимфа түйіндерінің туберкулезі


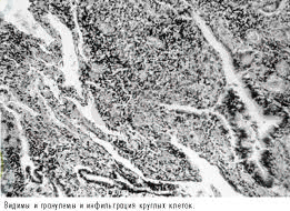
2. Кеуде ішілік лимфа түйіндерінің туберкулезі - біріншілік туберкулездің ең жиі кездесетін түрі. Ол имммундық жүйенің терең бұзылыстарында, МБТ популяциясының көбеюінде, кеуде ішілік лимфа түйіндерінде спецификалық қабынудың өршуінде дамиды. Патологиялық процесске кеуде ішілік лимфа түйіндерінің әртүрлі топтары араласуы мүмкін. Дегенмен өкпеден лимфаның ағу заңдылығына сәйкес қабыну әдетте бронхтардың өкпелік және кеңірдек бронхтық топтардың лимфа түйіндерінде дамуы. Бронхопульмональды топтардың лимфа түйіндерінің туберкулезінің зақымдануын жиі бронхоаденит деп атайды. Ұзақ уақыт кеуде ішілік лимфа түйіндерінің қабынуы өкпе тінінің спецификалық зақымдануынан кейін пайда болады деп есептелді. Өкпеде біріншілік туберкулез ошағы түзілмейінше кеуде ішілік лимфа түйінінде туберкулез дамуы мүмкін емес деп болжайды. Бірақ. Кейінірек ТМБ айқын лимфотропқа ие және жұқтырылғаннан кейін өкпе тініндегі ошақты өзгеріссіз, инфекция кеуде ішілік лимфа түйінінде болатыны анықталды. Лимфа түйінінде гиперпластикалық реакция дамып, содан соң туберкулездік гранулема түзіліп, казеозды некроз пайда болады. Спецификалық қабынудың өршуі біртіндеп лимфоидты тіннің туберкулез гранулемасына ауысуына әкеледі. (8. 1 -ші сурет)
Сурет 8. 1. Лимфа түйініндегі туберкулез гранулемасы. Гистологиялық препарат.
Казеозды некроз аймағы уақыт өте біршама үлкейіп және бүкіл түйінге өтуі мүмкін(8. 2 -ші сурет) Лимфа түйініне жақын маңдағы клетчатка, бронхтарда, тамыр, жүйке бағандары, медиастенальды плеврада параспецификалық және бейспецификалық қабыну өзгерістері пайда болады. Патологиялық процесс өршіп, басқа бұрын өзгермеген кеуде аралықтың лимфа түйіндеріне көшеді. Ошақты зақымданудың жалпы көлемі біршама айқын болады.
Сурет 8. 2. Лимфа түйініндегі казеозды некроз. Гистотопографиялық кесінді
Кеуде ішілік лимфа түйіндерінің туберкулезі- біріншілік туберкулездің ошақты клиникалық формасы, ол әдетте өкпе тінінде арнайы қабыну өзгерісінің дамуынсыз пайда болады. (8. 3. -ші сурет) .
Кеуде ішілік лимфа түйіндерінің зақымдану көлеміне байланысты және қабыну процессінің сипатына байланысты шартты түрде ауруды инфильтративті және тумарозды(ісік тәрізді) түрге бөледі. Инфильтративті формасында - перифокальды инфильтрация және айқын емес казеозды некрозбен жүретін лимфа түйіндеріндегі гиперпластикалық реакция. Тумарозды формасын лимфа түйініндегі айқын казеозды некрозбен және оны қоршаған тіндердегі әлсіз инфильтративті реакциямен ассоциациялайды.
Сурет 8. 3. Кеуде ішілік лимфа түйіндерінің туберкулезі. Макропрепарат суреті.
Кеуде ішілік лимфа түйіндері туберкулезінің асқынбаған ағымы жиі қолайлы, әсіресе оның ерте диагностикасында және уақтылы бастаған емінде.
Перифокальды инфильтрация сорылып, казеозды массаның орнына кальцинат түзіледі, лимфа түйінінің капсуласы гиализденеді, фиброзды өзгеріс дамиды. Бұл процесстер баяу жүреді. Ауру басталғаннан орташа 2-3 жылдан соң ауруға тән қалдықты өзгерістер клиникалық жазылумен аяқталады.
Кеуде ішілік лимфа түйіндерінің туберкулезінің асқынған және өршіген ағымы өкпе тінінің спецификалық зақымдануына әкеледі. Процесстің лимфогематогенді және бронхогенді генерализациясы науқастардың имммундық жүйесінде прогрессивті бұзылыстарда байқалады, бұл процесс туберкулезде тереңдейді. Бұл ауруды кеш анықтағанда және науқасты дұрыс емдемегенде жиі болады.
3. Біріншілік туберкулезді кешен - біріншілік туберкулездің анағұрлым ауыр түрі, тыныс жолдарын зақымдайды, бірақ басқада локализацияда болуы мүмкін. Біріншілік туберкулезді кешеннің пайда болуын ТМБ- ның жоғары вируленттілігімен және иммундық жүйенің біршама бұзылыстарымен байланыстырады. Өкпе және кеуде ішілік лимфа түйіндерінің зақымдануымен жүретін біріншілік туберкулезді кешен 2 жолмен дамиды.
Вирулентті ТМБ массивті аэрогенді зақымдануында өкпелік бөліктің біріншілік туберкулезді кешені түзіледі. Өкпе тініне микоьактерияның ену орнында біріншілік өкпелік аффект ацинозды немесе лобулярлы казеозды пневмония түрінде туындайды. Аффект жақсы желденетін өкпе бөліктерінде, әдетте плевра астында орналасады (8. 4- ші сурет) .
Өкпелік аффект айналасында перифокальды қабыну аймағы дамиды. Қабыну реакциясы лимфа тамырлары қабырғаларына тарайды. ТМБ лимфа ағысымен регионарлы лимфа түйіндеріне енеді. Микобактериялардың енуі лимфа тінінің гиперплазиясы мен қабынудың дамуына әкеледі және қысқа уақытта бейспецификалық эксудативті фазасынан кейін спецификалық сипат алады. Осылайша, зақымданған өкпе бөліктерінен, спецификалық лимфангит және регионарлы лимфа түйіндерінде туберкулезді қабыну аймақтарынан тұратын кешен қалыптасады.
Біріншілік туберкулезді кешеннің бұл даму жолы патологоанатомдармен толық зерттеліп, ұзақ уақыт жолы деп есептелді. Дегенмен, одан әрі зерттеу жұмыстары процесстің басқашада жүру мүмкіндігін дәлелдеді.
Сурет 8. 4. Өкпедегі біріншілік аффект. Гистологиялық препарат.
Ауадан жұғу жолында ТМБ бронхтың зақымдалмаған шырышты қабығы арқылы перибронхиальды лимфа шоғырларына, әрі өкпе түбірлері мен кеуде аралық лимфа түйіндеріне ене алады . Лимфа түйіндерінде спецификалық қабыну процессі дамиды. Оған жақын жатқан тіндерде бейспецификалық қабыну реакциясы туындайды. Қалыпты лимфа айналымы бұзылуы мүмкін. Пайда болған динамикалық бұзылыстар лимфастазға және лимфа тамырларының кеңеюіне әкеледі. ТТМ- ның ретроградты лимфа ағысымен лимфа түйіедерінен өкпе тініне ауысуы мүмкіндігі жоққа шығарылмайды. (лимфогенді ретроградты жолы) Қабынудың лимфа түйіндерінен маңындағы бронхтарға таралуында микобактериялар бронхогенді жол арқылы өкпе тініне өтуі мүмкін. Микобактерияның өкпе тініне өтуі қабыну реакциясының дамуына жағдай жасайды, ол әдетте терминалды бронхиоланы, бірнеше ацинус пен бөліктерді қамтиды. Қабыну тез арада спецификалық сипат алады- грануляциямен қоршалған казеозды некроз ошақ дамиды. Кеуде ішілік лимфа түйіндерінің зақымдануының артынша бірінші туберкулезді кешеннің өкпелік компоненті дамиды.
Алиментарлық жолмен жұққан жағдайда біріншілік туберкулездік аффект ішек қабырғасында қалыптасады. Ол тез жараға айналады. Микобактериялар шажырқайдың лимфа тамырларымен регионарлы шажырқай лимфа түйіндеріне таралады да, олар казеозды некрозға ұшырайды. Ішекте және шажырқай лимфа түйіндерінде біріншілік туберкулезді кешен түзіледі. Шажырқай лимфа түйіндерінің оқшауланған зақымдануы да болуы мүмкін.
Біріншілік туберкулезді кешен- біріншілік туберкулездің ошақты формасы. Оның спецификалық зақымдануының 3 компоненті бар: перифокальді реакциямен жүретін біріншілік аффект, регионарлы лимфа түйіндерінің туберкулезі және оларды байланыстыратын лимфангит туберкулезі аймағы (8. 5. және8. 6 -шы суреттер )
Сурет 8. 5. Өкпедегі біріншілік туберкулезді кешеннің компоненті. Гистологиялық кесінді
Біріншілік туберкулезді кешенде таралған спецификалық. Айқын параспецификалық өзгерістер байқалады . Десе де, аурудың қатерсіз өту мүмкіндігі сақталады. Кері дамуы баяу жүреді. Біріншілік туберкулезді кешеннің ерте диагностикасы және уақытында бастаған дұрыс емі оң нәтиже береді.
Сурет 8. 6. Өкпедегі біріншілік туберкулезді кешен (препараттан түсірілген сурет)
Біріншілік туберкулезді кешеннің кері дамуы өкпедегі перифокальді инфильтрацияның баяу сіңірілуімен, казеозды массалардың тығыздалып, кальций тұздарын сіңірумен сипатталады. Қалыптасқан ошақ айналасында гиалин капсуласы пайда болады. Біртіндеп өкпелік компоненттің орнына Гон ошағы түзіледі де, уақыт өте сүйектенеді. (8. 7. сурет) Зақымдалған лимфа түйіндерінде репаративті процесстер өкпелік ошаққа қарағанда біршама баяу жүреді. Оларда кальцинат түзілуімен аяқталады. Лимфангиттің жазылуы перибронхиальды және периваскулиярлы тіндердің фиброзды тығыздалуымен жүреді.
Өкпедегі Гон ошағы мен лимфа түйіндерінде кальцинаттың түзілуі біріншілік туберкулезді кешеннің клиникалық жазылуының морфологиялық дәлелі болып табылады да, орташа і біріншілік туберкулезді кешеннің клиникалық жазылуының морфологиялық дәлелі болып табылады да, орташа 3, 5- 5 жылда дамиды.
Сурет 8. 7. Гон ошағы.
Біріншілік туберкулезде спецификалық қабынудың дамуы әртүрлі ағзалар мен тіндерде жиі параспецификалық өзгерістермен жүреді.
Спецификалық химиотерапия нәтижесінде олар ешқандай қалдық өзгерістер қалдырмай тез кері дамиды.
Айқын иммунитет жетіспеушілігімен ауыратын науқастарда біріншілік туберкулез кейде созылмалы, толқын тәріздес, өте өршімелі ағым алады. Лимфа түйіндерінде баяу түзілетін кальцинаттармен қатар жаңа казеозды- некротикалық өзгерістер анықталады. Патологиялық процесске ақырындап лимфа түйіндерінің басқа топтары да қосылады, бұрын өзгермеген өкпе бөлімдерінің зақымдануымен жүретін лимфогемотогенді диссеминацияның қайталамалы толқындары байқалады. Гематогенді себінділер ошағы басқа ағзаларда да: бүйректе, сүйекте, көкбауырда қалыптасады. Осындай біріншілік туберкулездің өзіндік ағымы- созылмалы өтпелі біріншілік туберкулезді анықтауға мүмкіндік береді. Антибактериалды эраға дейін біріншілік туберкулездің ағымының мұндай түрі өлімге алып келеді. Қазіргі кездегі кешенді терапия нәтижесі өкпедегі процессті тұрақтандырып қана қоймай, сонымен бірге циррозбен аяқталатын регреске жеткізуге мүмкіндік береді.
... жалғасы- Іс жүргізу
- Автоматтандыру, Техника
- Алғашқы әскери дайындық
- Астрономия
- Ауыл шаруашылығы
- Банк ісі
- Бизнесті бағалау
- Биология
- Бухгалтерлік іс
- Валеология
- Ветеринария
- География
- Геология, Геофизика, Геодезия
- Дін
- Ет, сүт, шарап өнімдері
- Жалпы тарих
- Жер кадастрі, Жылжымайтын мүлік
- Журналистика
- Информатика
- Кеден ісі
- Маркетинг
- Математика, Геометрия
- Медицина
- Мемлекеттік басқару
- Менеджмент
- Мұнай, Газ
- Мұрағат ісі
- Мәдениеттану
- ОБЖ (Основы безопасности жизнедеятельности)
- Педагогика
- Полиграфия
- Психология
- Салық
- Саясаттану
- Сақтандыру
- Сертификаттау, стандарттау
- Социология, Демография
- Спорт
- Статистика
- Тілтану, Филология
- Тарихи тұлғалар
- Тау-кен ісі
- Транспорт
- Туризм
- Физика
- Философия
- Халықаралық қатынастар
- Химия
- Экология, Қоршаған ортаны қорғау
- Экономика
- Экономикалық география
- Электротехника
- Қазақстан тарихы
- Қаржы
- Құрылыс
- Құқық, Криминалистика
- Әдебиет
- Өнер, музыка
- Өнеркәсіп, Өндіріс
Қазақ тілінде жазылған рефераттар, курстық жұмыстар, дипломдық жұмыстар бойынша біздің қор #1 болып табылады.

Ақпарат
Қосымша
Email: info@stud.kz