Асқазан және он екі елі ішегінің жарасы


Асқазан және он екі елі ішегінің жарасы дегеніміз- эндогенді «қорғаныш» және «агрессия» факторларының бұзылуына жауап ретінде болатын негізінде организмнің қабыну процессі және асқазан-ішек жолдарының шырышты қабатының зақымдануы жүретін күрделі патологиялық үрдіс. Жара ауруы - созылмалы, рецидивті ауру. Қазіргі заманда жара ауруының жалпыға бірдей жіктелуі жоқ. Бірақ клиникалық практикада асқазан және он екі елі ішек жарасын Хеликобактер пилоримен ассосоцияланған және ассосоцияланбаған, медикаментозды және симптоматикалық жара деп бөледі. Эпидемиялық зерттеулер жара ауруын қорыту мүшелерінің арасында жетекші орын алатынын және дәрігерлер тәжрибесінде гастроэнтрологиялық патологиясында кең таралған аурудың түрі болып есептеледі.
Жара ауруының этиологиясы және патагенезі . Жара ауруының емдеуі және профилактикасының тиімді болуы аурудың этиология және патогенезді дәрежесіне байланысты. Клинико-физиологиялық, биохимиялық эндоскопиялық, морфологиялық және микробиологиялық зерттеулер арқылы асқазан және он екі елі ішек жарасының әртүрлі формаларын және аурудың өзіне тән клиникалық вариантын, емдеу мен профилактикада спецификалық жолды таңдауға болады.
«Агрессивті» факторларға пепсин және тұз қышқылы секрециясының жоғары болуы, гипергасьронемия, тұз қышқылының бірден он екі елі ішекке түсуі, өт қышқылының агрессиялық әсері, алкоголь, никотин, дәрілік препараттар(стероидты емес қабынуға қарсы дәрілер), хеликобактериялық инвазия.
Сонымен қатар жара ауруы мәселесінде Helicobacter pylori -дің ашылуы аурудың патогенезінде үлкен мәнділікке ие болды.
Helicobacter pylori - шартты-патогенді бактериялар қатарына жатады, алайда кейбір жағдайда оны симбиот қатарына жатқызуға болады, себебі бактерия асқазанның агрессиялық факторларына төзімді және де организмнің иммунды жауабын тудырады. Бірақ белгілі бір қоршаған ортаның өзгерулерінде жаңа патогенді қасиеті бар Helicobacter pylori штамдардың пайда болуы мүмкін. Асқазанды қаптайтын шырышты қабатта және қабат астында талшық арқылы қозғалуы бактериялардың колония түзуінің басты факторы болып табылады.
Helicobacter pylori уреазасы асқазан эпителийі үшін токсин болып табылады және моноцит, нейтрофил белсендіруі, цитоксин секрециясын тудырып, оттек және азот тотығының радикалдарын түзіп, қабынк реакциясын тудырады.
Жара ауруы - полиэтиологиялық және патогенетикалық көпфакторлы және бір басталғаннан кейін белгілі бір кезеңдер өтуімен асқынулар және ремиссиялар, рецидивтену жиілігімен ерекшеленеді.
Бізде бар мәліметтер бойынша, он екі елі ішек жарасы бар адамдардың 60%, асқазан жарасының 40%-дахеликобактерия инфекциясы анықталған.
Асқазан және он екі елі ішектің қорғаныс факторлары:
рН 1, 5-ке түскенде шырышты бикарбонатты тосқауыл өзінің қорғаныс рөлін тоөтатады. Шырыш - тосқауыл қызметін атқаратын эпителий жасушаларын жағымсыз факторлар әсерінен қорғайтын гликопротеин мен муциннің ерекше топшасы. Сонымен қатар құрамында сульфатты гликопротеид және беткей белсенді фосфолипидтер бар асқазан эпителийі және дуоденальды эпителиоциттердің секреті болып табылатын өнім. Беткей эпителийдің жасушалары бикарбонатты секреттеуі жасушаішілік метаболизм процесі арқылы жүзеге асады. Екінщілік қорғаныс қызметін өткізгіштігі төмен гастродуоденальды эпителиальды жасушасының шырышын қаптайтын мембрана атқарады. Ол асқазанды сыртынан қаптап асқазан сөлінің қайта түсуіне жол бермейді. Үшінші қорғаныс қызметін асқазан және он екі елі ішектің эпителиінде микроциркуляторлы қан ағысы атқарады. Ол эпителий жасушаларын сумен, оттегі, қоректік және буферлік заттармен қамтамасыз етеді.
Жара ауруының клиникалық әртектігі. Жара ауруында ауру сипаты, дәрежесі және ауру белгілері әр түрлә болады. Жара ауруының негізгі клиникалық белгілері (құсу, іштің күюі, құсу, жүрек айнуы, т. б. )
Асқазан және он екі елі ішекті емдеудің міндеті. Жаралы ауруды емдеудің тиімділігі науқасты оған белгіленген кеңестерді дұрыс сақтауында: ульцерогенді препараттарды қолданбау, стрессті жағдайларды болдырмау немесе алдын алу, шылым шегі және спиртті өнімдерді қолдануды тоқтату.
Жараға қарсы емнің мақсаты - асқазан және он екі елі ішек шырыш қабатын қалпына келтіру және ұзақ уақытқа дейін аурудың рецедивтілігін болдырмау.
Бұл мақсатқа жету үшін келесідей шарттар орындалуы керек:
- егерде асқазан қышқыл түзуі рН-метрия бойынша жоғары болса қышқылды-пептидті фактор деңгейін төмендету
- гастродуоденальды аймақтың моторикасын қалпына келтіру
- Helicobacter pylori -ның бар болған жағдайда эрадикационды терапияны жүргізу
- гастродуоденальды аймақтың шырышты қабатының резистенттілігі жоғарлату
Микроскоп астындағы Helicobacter pylori көрінісі
Асқазан жарасы
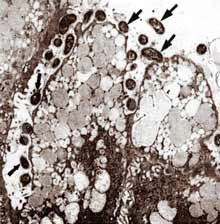
Электронды микроскоп астында асқазанның шырышты қабатының Хеликобактериймен зақымдалған аймағының бейнесі
... жалғасы- Іс жүргізу
- Автоматтандыру, Техника
- Алғашқы әскери дайындық
- Астрономия
- Ауыл шаруашылығы
- Банк ісі
- Бизнесті бағалау
- Биология
- Бухгалтерлік іс
- Валеология
- Ветеринария
- География
- Геология, Геофизика, Геодезия
- Дін
- Ет, сүт, шарап өнімдері
- Жалпы тарих
- Жер кадастрі, Жылжымайтын мүлік
- Журналистика
- Информатика
- Кеден ісі
- Маркетинг
- Математика, Геометрия
- Медицина
- Мемлекеттік басқару
- Менеджмент
- Мұнай, Газ
- Мұрағат ісі
- Мәдениеттану
- ОБЖ (Основы безопасности жизнедеятельности)
- Педагогика
- Полиграфия
- Психология
- Салық
- Саясаттану
- Сақтандыру
- Сертификаттау, стандарттау
- Социология, Демография
- Спорт
- Статистика
- Тілтану, Филология
- Тарихи тұлғалар
- Тау-кен ісі
- Транспорт
- Туризм
- Физика
- Философия
- Халықаралық қатынастар
- Химия
- Экология, Қоршаған ортаны қорғау
- Экономика
- Экономикалық география
- Электротехника
- Қазақстан тарихы
- Қаржы
- Құрылыс
- Құқық, Криминалистика
- Әдебиет
- Өнер, музыка
- Өнеркәсіп, Өндіріс
Қазақ тілінде жазылған рефераттар, курстық жұмыстар, дипломдық жұмыстар бойынша біздің қор #1 болып табылады.

Ақпарат
Қосымша
Email: info@stud.kz