Жүректің өткізгіш жүйесі


Жоспары:
- Кіріспе.
- Негізгі бөлім:
а) Өткізгіш жүйенің түйініндегі ( синустық) жасушалары .
б) Жүректің өткізгіш жүйесінің маңызы және оның ерекшеліктері.
в) Өткізгіш жүйесінде серпіндердің өткізілуі өзгерістерінен дамитын жүрек аритмиялары.
г) Жүрек-тамыр қызметінің функциялық көрсеткіштері
- Қорытынды.
IY. Пайдаланылған әдебиеттер.
Кіріспе.
Жүрек - қалың жолақты еттен тұратын төрт қуысты, үлкендігі адамның жұдырығындай жұмыр ағза.
Қанды қозғалысқа келтіріп, қан тамырына айдайтын негізгі мүше.
Жүректің өткізгіштік жүйесіне жиырылғыш кардиомиоциттерге нерв импульсін қалыптастырып, өткізетін ет жасушалары тобы жатады. Бұл жүйенің құрамына жүрекше түйіні, жүрекше мен қарыншадағы түйін немесе Гис шоғыры және оның тармақтары немесе Пуркенье талшықтары жатады. Бұлар жиырылғыш кардиомиоциттерге нерв импульсін өткізіп, жүректің ритмін реттейді. Осы жүйенің әр бөліктерінде ет жасушаларының әр түрлі қатынастағы үш түрін ажыратады:үшінші түрі секреторлы жасушалары гормон бөліп жиырылғыш ет жасушаларының қызметіне, артериялық қан қысымына, су мен тұздың алмасуына, несептің бөлінуіне әсер етеді.
Өткізгіш жүйенің түйініндегі ( синустық) жасушалары.
Синустік түйінде импульстің қалыптасуы жүзеге асады. Түйіннің ортасында өз бетінше жиырыла алатын бірінші типті жасушалар- өткізгіш немесе Пейсмекер жасушалары болады (Р-жасушалары) . Бұл жасушалар көпбұрышты, диаметрі 8-10 мкм, аздаған миофибриллалары бар. Миофибриллалары сирек орналасқан, онда А және І дискілері анық көрінбейді де, Т- жүйесі болмайды, бірақ кавеолалары мен көпіршіктері бар. Пейсмекер жасушаларының цитоплазмасындағы бос Са ионы синустық түйіндегі жасушалардың импульсті туғызып өздігінен жиырылуына мүмкіндік туғызады. Бұған қажетті энергия гликолиз процесіне алынады. Жасушалардың екінші типіне- аралық жасушалар тобы жатады, бұлар ұзынша келген, жіпше тәрізді жасушалар. Параллель орналасқан миофибриллалары жақсы дамыған. Т-жүйесі бар, олар бір-бірімен қыстырма дисклермен байланысады. Бұлардың ең негізгі қызметі- қоздуды Р-жасушаларынан Гисс шоғырының жасушаларына, одан жұмысшы кардиомиоциттерге береді. Жасушалар үшінші түріне Пуркенье талшықтарының жасушалары жатады. Бұл жасушалардың құрамында спираль тәрізді болып келген ұзын миофибриллалары болады. Қызметі қозуды аралық жасушалардан жүрек қарыншасының жұмысшы кардиомиоциттеріне береді. Бұл жасушалардың диаметрі ірі (15 мкм), Т- жүйесі болмайды, ядросы эксцентрлі орналасқан. Ал миофибриллалары өте жіңішке, көбінесе жасушалардың шетінде ретсіз орын алған. Пуркенье жасушалары- ең ірі, гликогенге бай, Т- жүйесі болмайтын жасушалар. Бұлар бір-бірімен нексустар мен десмосомалар арқылы байланысады.
Жүрек миокардында афферентті және эфферентті нерв талшықтары өте көп. Мұнда нерв пен кардиомиоциттер арсында синапс болмайды. Өткізгіш жүйенің нерв талшықтары, жүрекке келетін нервтердің тітіркенуі жүректің (жиырылу) ритмінің өзгеруін туғызады. Бұл болса нерв жүйесінің жүрек қызметінде (ритмінде) шешуші рөлін көрсетеді де, өткізгіш жүйесі арқылы нерв импульстері беріліп отырады.
Жүректің өткізгіш жүйесінің маңызы.
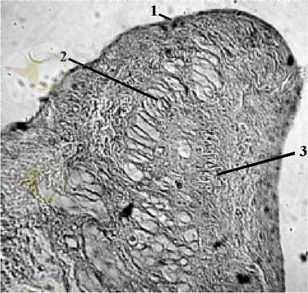
Жүрек түйңінің қабырғасы (1), (2), 3 - жүрек миокард, .
Миокардта ет талшықтарының екі түрі болады: жүрек етінің негізін құрайтын миоциттер-арнайы емес белсенді тін. Алғашқы аталған миоциттер жиырылуға бейімделген, ал екінші аталған миоциттер ешқандай әсер етпесе де өздігінен қозуға және қозу үрдісін өздері арқылы өткізуге бейімделген. Бейарналмалы миоциттер саркоплазмаға бай, олардың миофибрилдері аз, бірақ өте қозғыш, ет тінінің эмбриондық жасушаларына ұқсас. Жүректің өткізгіш жүйесі тап осы миоциттерден құралады. Олар топталып әртүрлі түйіндер құрайды, олардың шоғырлары тарамдалып жеке жіпшелерге айналады.
Жүректің өткізгіш жүйесі екі түйіннен тұрады. Солардың бірі оң жүрекшенің қабырғасында, жоғарғы қуыс венасы мен оң құлақша аралығында орналасқан синоатриалдық Кис-Флек түйіні, екіншісі- оң жүрекше мен оң қарынша аралығында, жүрекшеаралық пердеге жақын орналасқан атривентрикулярлық Ашофф-Тавар түйіні. Осы екі түйінді бір-бірімен және синоатриалдық түйінді сол жүрекшемен жалғастыратын жіпшелер- Бахман талшықтары. Атриовенкулярлық түйіннің төменгі жағында орналасқан, қарыншааралық пердеге қарай жақындаған жерде Гис шоғыры басталады. Гис шоғыры қарыншааралық перденің жоғарғы жағында орналасады. Одан екі- оң және сол аяқшалар шығады. Бұл аяқшалар қарыншааралық перденің ішкі бетін көмкерген эндокардтың астымен төмен қарай көтеріледі, жолшыбай осы арадағы еттерге, оның ішінде емізікше еттерге бұтақ тәрізденіп жайылады да, жеке Пуркенье талшықтарына айналады.
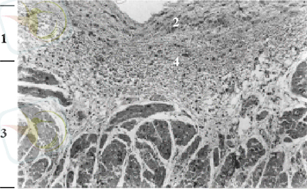
1) Жүрек түйінінің қақпашасы 2) Пуркенье жасушалары 3) каллоген және эластин таошықтары
Пуркенье талшықтары жүректің негізгі миоциттеріне жақындап онымен өзара түйіседі. Сонымен жүректің өткізгіш жүйесі синоатриалдық түйіннен басталып жеке Пуркенье талшықтарымен бітеді.
Жүректің өткізгіш жүйесі құрамындағы бөліктердің қайсысына болмасын өздігінен қозатын автоматиялық қасиеті тән болады. Бірақ олар бірдей емес, жүрек автоматиясында айырмашылық- градиент болады. 1883 жылы ағылшын ғалымы В. Гаскелл жүректің өткізгіш жүйісіндегі бөлімдер синоатриалдық түйіннен алыстаған сайын олардың автоматиялық дәрежесі төмендейді деген тұжырымға келді. Бұл заң бойынша атривентрикулярлық түйін автоматиясы синоатриалдық түйін автоматиясынан төмен, Гис шоғырының автоматиясы бұдан да төмен, ал Пуркенье талшықтарының автоматиясы бұдан да төмен. Бұлардың автоматиялық дәрежесі өздігінен туатын қозу санына байланысты
.
Жүрек түйінінің қабырғасымен Пуркень жасушалары(1) .
Демек, синоатриалдық түйінде өздігінен туатын қозу саны өте көп. Бұл сан жүрек соғуының жиіігіне сәйкес келеді. Демек, жүрек соғуы осы түйінде туатын қозу түйін олардың автоматиялық қасиетін басып, өздігінен қозуына жол бермейді. Сондықтан бұлар тек синоатрилдық түйіннен шыққан қозуды өткізеді.
Синоатриалдық түйіннің атривентрикулярлық түйінге тигізетін әсерін тоқтатып тастаса, соңғы аталған түйін өздігінен қозып, жүрек еті жиырыла бастайды. Бірақ жүректің соғу жиілігі көп төмен болады. Сонымен жүректің автоматиялық қасиеті әсіресе синоатриалдық түйінде өте жоғары, жүрек етінің жиырылуы осы түйіннің әсеріне байланысиы. Осыған орай бұл түйін жүректің пейсмекері деп аталады. Сонда пейсмекер - жүрек соғуының жетекшісі дегенге келеді.
Синоатриалдық түйіннің автоматиялық қасиеті әр түлікке әртүрлі, мысалы, пілдің жүрегі минутына 25 рет, адам жүрегі-70-72, қоян жүрегі-150, торғай жүрегі 600 рет соғады. Жүрек соғуы зат алмасу қарқынына қарай өзгеріп отырады. Мәселен, торғайда зат алмасу деңгейі өте жоғары, сондықтан да оның жүрегі өте жиі соғады. Демек, синоатриалдық түйінде туатын қозудың саны-зат алмасу деңгейін сипаттайтын көрсеткіштердің бірі.
Өткізгіш жүйесінде серпіндердің өткізілуі өзгерістерінен дамитын жүрек аритмиялары.
Синустық-жүрекшелік торапта пайда болған электр серпіндері жүректің төменгі бөліктеріне өткізгіш жүйесі арқылы өткізіледі де, оларда қозу үрдісін туындатады. Бұл серпіндер жасуша мембраналарына әсер етіп, олар арқылы иондардың алмасуын өзгертеді. Осының нәтижесінде әсер ету потенциалы бір жасушадан екіншісіне, ары қарай көрші жасушаларға өткізіліп, олардың деполяризациясы пайда болады. Осылай электр серпіндері жүректің өткізгіш жүйесінің жасушалары арқылы өткізіледі.
Жүректің өткізгіш жүйесінде электр серпіндері өткізілуінің бұзылыстары: - кардиомиоциттерде әрекет ету потенциалының өзгерістерімен; - жүрек ет жасушаларының қозымдылығы мен серпіндерді өткізу уақытының өзгерістерімен, бөгеттер дамуымен; - өткізгіштіктің бір бағытта бұзылыстарымен және қозу толқынының қайта оралуымен көрінеді.
Электр серпінінің синустық -жүрекшелік тораптан жүрекшелерге өткізілуінің бұзылыстарынан жүрек соғуының сиреуі байқалады, кейбір жүрек жиырылулары болмайды.
Жүрекшелердің қабырғалары арқылы өткізгіштің бөгеттері нәтижесінде оң және сол жүрекшелердің жиырылуы бір мезгілде болмайды. ЭКГ-да Р-өркеші екі айырылып көрінеді.
Атриовентрикулярлық бөгет кезінде синустық -жүрекшелік торапта пайда болған серпіндердің жүрекшелерден қарыншаларға өтуі бұзылады. Бұл кезде серпіндердің өтуі бұзылуы жартылай немесе толық болуы мүмкін. Жартылай атривентрикулалық бөгеттің үш дәрежесін ажыратады; - I-дәрежесінде жүрекшелерден серпіндердің жүрекше-қарынша аралық торап арқылы қарыншаларға өтуі баяулайды. Сондықтан қарыншалардың жиырылу жүрекшелер жиырылғаннан кейін біршама кешеуілдеп болады. ЭКГ-да жүрекшелердің жиырылуына Р- өркеші, қарыншалардың жиырылуына QRST кешені сәйкес келетіндіктен, Р-Q өркештерінің аралығы ұзарады. Қалыпты жағдайда бұл аралық 0, 12-0, 25 сек болса, ол атривентрикулалық бөгеттің I-дәрежесінде 0, 20 сек астам біркелкі ұзарады - II-дәрежесінде синустық-жүрекшелік торапта пайда болған серпіндердің жүрекше-қарынша аралық торап арқылы қарыншаларға өтуі біртіндеп нашарлай береді де, жүректің бірнеше жиырылуларынан кейін мүлде өтпей қалуға ұшырайды. Сол себептен ЭКГ-да Р-Q өркештерінің аралығы біртіндеп ұзарып, жүректің бірнеше жиырылуларынан кейін Р өркешінің артынан қарыншалардың жиырылуы болмайды. Содан кейін жүрекшелердің серпіннің қарыншаларға өткізілуі қалпына келеді де, біртіндеп қайта нашарлай береді. Бірнеше жиырылулардан соң қарыншалар жүрекшелердің жиырылуына тағы жауап қайтармайды. Осылай жүрекше-қарынша аралық торапта өткізгіштіктің өзгеруі белгілі заңдылықпен қайталана береді. Бұл оралымды Венкебах-Самойлов оралымы немесе кезеңі деп атайды. -III-дәрежелі серпіндердің жүрекшелерден атривентрикулалық торап арқылы қарыншаларға әрбір екіншісі, үшіншісі немесе төртіншісі ғана өткізіледі. Сондықтан жүрекшенің 2, 3, 4 жиырылуларына қарыншалар бір жиырылумен ғана жауап қайтарады. ЭКГ-да 2-3 немесе 4 Р өркешінен кейін бір QRS кешені пайда болады.
Толық атривентрикулалық бөгет кезінде қарыншаларға серпіндер мүлде өтпейді. Жүрекшелер синустық-жүрекшелік торапта пайда болған номотоптық ырғақ бойынша, қарыншалар өз беттерінше идилвентрикулалық ырғақ бойынша жиырылады. Сол себептен жүрекшелер минөтіне 70-80 рет жиырылса, қарыншалар минөтіне 30-40 рет қана жиырылады. Бұл бөгет кезінде жүрекшелер мен қарыншалардың жиырылуы бір мезгілде болуы мүмкін. Осыдан келіп жүрекшелердің тығындалып қалуы немесе олардың тампонадасы дамуы ықтимал. Сондықтан шеткері ағзалардың, әсіресе мидың, қанмен қамтамасыз етілуі қатты бұзылады, адам есінен айрылады, тырыспа-селкілдек дамиды. Бұндай жағдайды Морганьи-Эдемс+Стокс синдромы деп атайды. Осыдан адам тез жан тапсыруы мүмкін. Кейде қанайналым қалпына келіп, көрсетілген құбылыстар бірнеше рет қайталануы ықтимал. Кейде толық бөгет жартылай бөгетке ауысуы мүмкін. Толық атривентрикулалық бөгетті емдеу үшін жасанды электроширатқылар қолданылады.
Қарыншаларды қабырларындағы өткізгіштіктің бұзылыстары жиі Гис шоғының бір аяқшасында байқалады. Сондықтан қарыншалардың қозуын туындататын серпіндердің оң және сол қарыншаға өтуі кешеуілдеудейді, олардың жиырылуы бір мезгілде болмайды. ЭКГ-да R-өркеші екіге айрылып көрінеді.
Жүректің өткізгіш жүйесі синус түйінінен немесе Кисс-Фляк түйіні, атриовентрикуляр түйіннен, Гис будасынан, Гис будасының тарамдарынан, Пуркенье талшықтарынан тұрады.
Синус түйіні. Ересек адамда ұзындығы 1-2см, ені 3-5мм, оң жүрекшеде жоғарғы қуыс венасы басталар жерде, оң құлақша екеуінің арасында орналасады.
Атривентрикуляр түйіннің ұзындығы 5мм, ені 2-3мм. Оң жүрекшенің тәждік қуысының сағасы мен 3 жармалық құлақшаның бекитін жерінде орналасқан. Атривентрикуляр түйінінің жоғарғы жағынан талшықтары бірте-бірте тығыздалып, оң және сол жүрекшеге еніп орналасады. Төменгі бөлігі бірігіп жұқалау ортақ сабақ Гис будасын құрап, жүрекшелердің аралық пердесіне, оның жоғарғы артқы бөлігіне қарай бағытталған, оң және сол тарамға бөлінеді. Бұл тарамдар одан әрі - Пуркенье талшықтарына айналып, қарыншалардың эндокард астындағы ет қабатына жайылады. Қозу импульсі өткізгіз жүйесінің кез-келген жерінде басталады, оның мөлшері мен қозу жиілігін, уақыт мөлшеріне шаққанда, көбіне синус түйінінде жиі болады. Сондықтан синус түйіні әдетте ырғақ жүргізуші болып табылады. Бұл орталық автоматизмі, синус түйінінде импульс саны басқа өткізгіш жүйелеріне қарағанда, басым болып тұрған шақта сақталады. Қарынша тұсында басталатын ретроградты (кері қарай) өткізгіш пульсі болуы да мүмкін. Бұл жағдайда пуьс осы жолдарымен, сол жылдамдықпен, әдеттегі пульстің берілу бағытындағыдай жүреді. Синус түйінінің қызметі организмде гуморальды және нерв жүйесі арқылы бақылауда болады. Синус түйінінде көптеген симпатикалық және кезбе нерв тарамдары жатады.
Жүректің әр бөлімдерінің және ірі тамырлардың нервтенуі вегетативті нерв талшықтары арқылы жүзеге асады. Ол кезбе нерв талшықтарының мойын және кеуде тұсындағы бөліктерінің және симпатикалық түйіннің 3 мойын түйінінен басталады. Жаңа туған балада кезбе нервтің жүректегі сабақтары симпатикалық нервтерге қарғанда нашар жетілген. Жүрек-тамыр жүйесінде симпатиклық нервтенудің маңызы басым. Туғаннан соң кезбе нервтің жүректегі тармақтарының біртіндеп жетіле бастағаны байқалады, сонымен қатар, оның жүрек қызметін реттеудегі маңызы артады. 2-3 жаста вагустік әсер симпатикалық бөлімнен басым бола бастайды.
Ерте постнатальды кезеңде және бірінші жарты жылдықта жүректің айтарлықтай морфологиялық өзгерістер байқалады. Бұл кезең өткізгіш құрылымдарының қарқынды қайта құрылу кезеңі болып келеді. Нәрестенің өткізгіш антривентрикулярлық өсі ересек балалардың жүрегінің аталмыш будаларымен салыстырғанда шартты түрде үлкен және айқын бөлінбеген немесе “сабалақтанған” арнайы клеткалар будасы болып келеді. Буданың қайта құрылуы резарбтивтік дегенерация, некроз және макрофагальды инфильтрация есебінен жүреді. Қанша дегенмен қайта құрылу механизмінің негізгі апоптоз процессі болса керек. Бұл процестің нәтижесі ретінде арнайы ткандер талшықтарының, оның теңбілдерінің және өткізгіш өспен орталық фиброзды дененің арасында интердигитацияның пайда болуын көруге болады. Осымен қатар орталық фиброзды дененің жетелуі байқалады.
Сонымен қатар, қазір бала жүрегінің бұлшық ет және арнайы клеткалардың электрофизиологиялық қасиеттерінің ерекшеліктері туралы мәліметтер бар. Пуркенье талшықтарында пайда болатын әсер етуші потенциалдар төмен мембранды потенциалдарды, яғни ересектермен салыстырғанда төмендеу, сол потенциалмен пайда болады. Потенциальдардың өсуі өте жәй жүреді. Бұл Пуркенье клеткаларының мембраналарындағы каналдарда натрий тығыздығы төмен екендігінің куәсі болып келеді. Пуркенье талшықтарының реполяризациясы ересектермен салыстырғанда айтарлықтай тез жүреді. Калийдің мембранағы өтуі қарқынды болуы мүмкін. Сонымен қатар, көптеген жүрек және өткізгіш жүйе морфологиясын жүрек ырғағын реттейтін гуморальды және вегетативті компонентті қамтитын жасқа байланысты өзгешеліктер бар. Постнатальды кезеңнің дисбалансы жалпы немесе жүйелі феномен деп аталады. Бұл феноменге тер шығуының үдеуі, қоңыр май тканінде жылу пайда болуын бақылаудың бұзылуы, окулокардиальды рефлекстің күрт қарқындауы тән болып келеді. Бұндай автономды дисфункцияның белгісі болып түнгі кезіндегі әртүрлі типті апноэ жиілігінің сипаттамасы есептеледі. Бұндай апноэ бар балаларда зерттеу олардың 50-80 пайызында вегетативті нерв жүйесінде ауытқулар бар екені анықтайды.
... жалғасы- Іс жүргізу
- Автоматтандыру, Техника
- Алғашқы әскери дайындық
- Астрономия
- Ауыл шаруашылығы
- Банк ісі
- Бизнесті бағалау
- Биология
- Бухгалтерлік іс
- Валеология
- Ветеринария
- География
- Геология, Геофизика, Геодезия
- Дін
- Ет, сүт, шарап өнімдері
- Жалпы тарих
- Жер кадастрі, Жылжымайтын мүлік
- Журналистика
- Информатика
- Кеден ісі
- Маркетинг
- Математика, Геометрия
- Медицина
- Мемлекеттік басқару
- Менеджмент
- Мұнай, Газ
- Мұрағат ісі
- Мәдениеттану
- ОБЖ (Основы безопасности жизнедеятельности)
- Педагогика
- Полиграфия
- Психология
- Салық
- Саясаттану
- Сақтандыру
- Сертификаттау, стандарттау
- Социология, Демография
- Спорт
- Статистика
- Тілтану, Филология
- Тарихи тұлғалар
- Тау-кен ісі
- Транспорт
- Туризм
- Физика
- Философия
- Халықаралық қатынастар
- Химия
- Экология, Қоршаған ортаны қорғау
- Экономика
- Экономикалық география
- Электротехника
- Қазақстан тарихы
- Қаржы
- Құрылыс
- Құқық, Криминалистика
- Әдебиет
- Өнер, музыка
- Өнеркәсіп, Өндіріс
Қазақ тілінде жазылған рефераттар, курстық жұмыстар, дипломдық жұмыстар бойынша біздің қор #1 болып табылады.

Ақпарат
Қосымша
Email: info@stud.kz