Мыс алмасуының бұзылыстары. Вильсон-Канавалов ауруы


ҚР ДЕНСАУЛЫҚ САҚТАУ МИНИСТРЛІГІ
С. Д. Асфендияров атындағы Қазақ Ұлттық Медициналық Университеті.
Кафедра: Патологиялық анатомия.
СӨЖ.
Тақырыбы:Мыс алмасуының бұзылыстары. Вильсон-Канавалов ауруы.
Студенттің аты-жөні: Асылбеков Ерзат.
Факултет: . Жалпы медицина .
Курс:2
Топ:2050
Оқытушы: Мерейлі Қармантайқызы.
2008 - 2009 оқу жылы.
Жоспар:
I. Кіріспе.
Мыстың адам ағзасы үшін биологиялық маңызы.
II. Негізгі бөлім.
Мыс алмасуының бұзылыстары:
А) Мыстың жетіспеушілігі мен қалыптан тыс көп болуының
себептері, негізгі көріністері.
Ә) Ағзада мыстың жетіспеуі мен көбейіп кетуін реттеу.
Б) Вильсон-Коновалов ауруы(гепатоцеребральді дистрофия) .
III. Қорытынды.
Вильсон - Коновалов ауруының емделу жолдары.
IV. Пайдаланылған әдебиеттер.
I. Кіріспе.
Бұрынғы кездерге қарағанда, қазіргі кезде мыстың адам ағзасы үшін биологиялық маңызына өте зор көңіл бөлінеді. Мыс - барлық тірі организмдер үшін орны толмас элемент болып табылады.
Мыс адамның барлық ағзалары мен тіндерінде кездеседі: бауырда, мида, жүректе, бүйректерде, бұлшықет және сүйек тіндерінде жиналады.
Мыс - көп мөлшерде бауыр, ет, балық, жүгері, бидай және т. б. өнімдерде кездеседі (теуліктік қажеттілігі 2-5мг) . Тәуліктік қажеттілігі 2мг-нан аз болса мыстың жетіспеушілігі байқалады. Мыстың сіңірілуі ішектің кілегей қабатының металлотиониннің көмегімен іске асады. Қанға түскеннен кейін мыс транскупреин мен альбуминдермен байланысады. Бауырда алғашында мыс металлотионеиимен байланысады. Бұл белок мыстың усыздандыру рөлін және оны жасушаішілік тасымалдау рөлін атқарады.
Ары қарай мыс церулоплазмин қүрамына, басқа мысы бар ферменттердің (тирозиназа, ЦХО) және өт компоненттерінің қүрамына кіреді. Мыс көп мөлшерде бұлшық ет пен сүйектерде, 10%-ы бауырда болады. Мыс бауырда, бүлшық етте, сүйектерде қор ретінде жиналады. Қан плазмасында мыс церулоплазминнің қүрамында кездеседі. Кортикостерон және Т 4 қанда мыстың мөлшерін төмендетеді, эстрогендер жоғарылатады, церулоплазминнің синтезін арттырады. Дені сау адамдарда мыстың мөлшері түрақты, бірақ жүкті әйелдерде, көңіл күй кенет өзгергенде және т. б. артады.
Мыстың рөлі (церулоплазмин) .
1) Гемоглобиннің синтезіне қатысады, мыс ретикулоциттердің түзілуі мен жетілуі үшін қажет (ЦХО-ны активтеп, ферритиннен темірді бөлу феррохелаттардың активтілігін арттыру арқылы) .
2) Церулоплазмин екі валентті темірді үш валенттіге тотықтырады (ферроксидаздық активтілік көрсетеді), осы жолмен темірдің трансферрин құрамына кіруін қамтамасыз етеді.
3) Церулоплазмин - антиоксидант.
4) Церулоплазмин - қауіпті фаза белогы.
5) Кейбір элементтердің негізгі компонеттері: терінің Си- ферменті, ЦХО, гидроксилаза, СОД жөне т. б. .
6) ФЛ синтезіне қатысады.
7) Қабынуға қарсы әсер етеді. Қан сарысуында мыс 13-22мкМ/л.
Көбінесе ішектің жоғарғы бөлімдерінде сіңеді, мыс темірдің жұлынға ауысуына, тамақпен және сумен бірге түсетін органикалық емес темірдің органикалық байланысқан, қан түзуге қатысатын формаларға айналуына жағдай жасайды.
Организмге күніне тамақпен бірге 2 - 5 мг мыс түседі. Ал күніне 200 мг -дан асып кетсе адамға улы әсер етеді. Ол ішекте сіңіріледі, бауырға түседі, онда бауыр синтездейтін церулоплазминмен байланысады, қан сарысуының айналымын реттейді, оны қажет ететін ағзаларда таңдамалы түрде ұсталып қалады, ал өтпен экскрецияланады. Мыстың аз ғана мөлшері қанда иондалған формада альбуминмен лабильді комплекс түрінде кездеседі және зәрмен бірге сыртқа бөлініп шығарылады.
Организмге түскен мыстың 95 % - і асқазан - ішек жолдарында (ең жоғарғы көлемі асқазанда), содан кейін он екі елі ішекте, аш ішек және тоқ ішекте адсорбцияланады. Мыс маңызды элемент болып табылады, ол көптеген витаминдердің, гормондардың, ферменттердің, тыныс алу пигменттерінің құрамында болады, зат алмасу үрдісіне қатысады. Мыс - сүйектің, шеміршектің, сіңірдің, қан-тамыр қабырғаларының, өкпе альвеолаларының, терінің (эластиннің) эластикалық құрылымын қалыпты жағдайда ұстап тұруда маңызды роль атқарады. Мыс нервтің миленді қабатының құрамына кіреді. Мыс өте маңызды роль атқаратын ферменттердің - цитохромоксидаза, тирозиназа, аскорбиназа және т. б. құрамына кіреді.
II. Негізгі бөлім.
Мыс жетіспеушілігінің себептері:
- Мыстың керекті мөлшерде түспеуі.
- Кортикостероидтарды, қабынкға қарсы стероидтыемес препараттарды, антибиотиктерді ұзақ уақыт қабылдағанда.
- Ұзақ уақыт антацидтер мен цинктің өте жоғарғы дозасын қолданғанда гипокупремияға және мыс жетіспеушілігінің белгілеріне әкеледі.
- Толығымен ұзақ уақыт парентеральді тамақтанатын науқастарда мыс жетіспеушілігі байқалады.
- Мыс алмасуы реттелуінің бұзылыстары.
Мыс жетіспеушілігінің негізгі көріністері:
- Темірдің сіңірілуі тежеледі, гемоглобин түзілуі бұзылады, микроцитарлы гипохромды анемия дамиды.
- Лейкопения және нейтропения.
- Жүрек - қантамыр жүйесінің қызметі нашарлайды, жүректің ишемиялық ауруының қатері жоғарылайды, қантамыр қабырғаларында аневризм дамиды.
- Сүйек және байланыстырушы тіндердің жағдайы нашарлайды, сүйектің минералдануы бұзылады, остеопороз, сүйектердің сынуы.
- Иммунды жүйенің функцияларын төмендетеді.
- Бронхиальды астма, аллергодерматоз ауруларының мүмкіншілігің арттырады.
- Нерв жасушаларының миленді қабатының дегенерациясы, склероз дамуының қаупі жоғарылайды.
- Шаштың пигментациясы бұзылады.
- Қалқанша безі ұлғаяды (гипотиреоз, тироксиннің жетіспеуі) .
- Қыздардың жыныстық жетілуі тежеледі, менструальді цикл бұзылады, әйелдердің жыныстық қызығушылығы төмендейді, бедеулік.
- Жаңа туылған нәрестелерде дистресс-синдромы дамиды.
- Липид алмасуы бұзылады (атеросклероз, май басу, қант диабеті) .
- Ағзаның қартаюы жылдамдайды.
- Мыс жетіспеушілігі - гипокупремия және церуолплазминнің төмен деңгейімен (қалыпты жағдайдан 30% және одан да төмен) қатар жүреді.
- Мыс жетіспеушілігінің аз ғана болса (қалыпты деңгейдің ең төменгі шегінде) мына жағдайлар болуы мүмкін: артрит, пигментацияның жоғалуы, миокардтың аурулары және неврологиялық симптомдар.
Мыстың қалыптан тыс көп болуының себептері :
- Ағзаға көп түсуі (өндіріс жағдайында, құрамында мыс қосылыстары бар булар және шаң тозаңдармен тынысалу, мыс қосылыстары бар ерітінділермен тұрмыстық жағдайда интоксикация, мыс ыдыстарды пайдалану) .
- Мыс алмасуы реттелуінің бұзылыстары.
Мыстың қалыптан тыс көп болуының негізгі көріністері:
- Жүйке жүйесінің функциональды бұзылыстары (есте сақтау қабілетінің төмендеуі, депрессия, ұйқысыздық) .
- Булармен тыныс алған кезде ˝мыс лихорадкасы˝ көрінуі мүмкін.
- Құрамында мыс қосылыстары бар шаң-тозаңдардың әсерлері: жас шығу, конъюнктивиттің және шырышты қабаттардың тітіркенуі, бас ауруы, әлсіздік, бұлшық еттің аурулары, асқазан-ішек бұзылыстары.
- Бауырдың және бүйректің бұзылыстары.
- Аллергодерматоздар
- Атеросклероз дамуының қаупі жоғарылайды.
- Эритроциттердің гемолизі, гемоглобиннің зәрде пайда болуы, анемия.
- Адамның мысты өте көп қабылдауы, бұл элементтің ми тіндерінде, теріде, бауырда, өтте және миокардта көп жиналып қалуына әкеледі.
Мыстың алмасуы мен сіңірілуі тағамдағы басқа да макро- және микроэлементтермен және органикалық қосылыстармен тығыз байланысты.
Молибден және цинкті көп қабылдау мыстың жетіспеушілігіне алып келуі мүмкін. Темір, антацидтер, таниндер, аскорбин қышқылы да мыстың сіңісуін төмендетуге қабілетті.
Кобальт (қалыпты физиологиялық дозасында) организмнің мысты сіңіруін жоғарылатады.
Ағзада мыстың жетіспеуі мен көбейіп кетуін реттеу.
Мыс жетіспеушілігін қалпына келтіру үшін мысқа бай азық-түлік қолдану керек, әсіресе шоколад, какао, авокадо, теңіз тағамдарын, бауыр, басқа да құрамында мыс болатын препараттар және тағаммен бірге БАД.
Мыс қалыптан тыс жиналып қалған кезде диетотерапия, гепатопротекторлар, БАД және құрамында цинк, бор, молибден болатын препараттар қолданылады.
Мыс қосылыстарының қолданылуы.
Мыс тұздарының әртүрлі препараттары сыртқа; мазь түрінде шырышты қабықтың қабыну процесстері кезінде; физиотерапияда қолданылады.
Мыстың темірмен қосылысы балаларда гипохромды анемияны емдеуде қолданылады.
Мыспен созылмалы улану мыс қосылыстарын пистицид ретінде қолданатын жүзімдік жұмысшыларында кездеседі.
Адамдар үшін мыстың летальді дозасы анықталмаған.
Мыспен қатты улану: балалар кездейсоқ қолданған кезде, өзін-өзі өлтіруге талпынған кезде, сыртқа қолданғаннан кейін, ластанған жерлерден немесе мыстан жасалған контейнерлерде сақталған тағам мен сусындарды ішкеннен кейін болады.
Вильсон - Коновалов ауруы (гепатоцеребральды дистрофия) .
Сирек кездесетін, тұқым қуалайтын ауру, оның негізінде мыс метаболизімінің бұзылыстары және оның бауыр мен басқа да ішкі ағзаларда жиналып қалуы жатады. Бұл ауру бауырдың және ОЖЖ бұзылыстары, бүйрек және көру ағзасының патологиялық процесстерімен қатар жүреді. Ол 1:2 жиілікте кездеседі. Көп науқастарда аурудың белгілері 5 жастан 30 жасқа дейінгі аралықта көрінеді.
Ішекте сіңірілген 5% мыс, оның тәуліктік қажет ететін мөлшері 2-5мг, альбуминмен лабильді комплекс түрінде және 95% - қан сарысуының глобулиндерінің бірі, бауыр синтездейтін - церулоплазминмен комплекс түрінде тасымалданады.
Вильсон - Коновалов ауруы кезінде мыстың ішекте сіңірілуі жоғарылайды, өтпен экскрециялануы төмендейді және тәліктік зәрмен бірге экскрециялануы жоғарылайды.
Ішекте өте көп сіңірілген және церулоплазминмен байланыспаған мыс бірінші кезекте бауырда жиналады, онда бауыр жасушаларының цитоплазматикалық ақуыздарымен комлекс түзеді. Бауыр тініндегі мыстың концентрациясы қалыпты жағдайда 1 г құрғақ тінде 16 -30 мкг құрайды, накқастарда аурудың клиникалық және патоморфологиялық белгілері пайда болмай тұрған кезінде де 3000 мкг∕г деңгейіне жетеді.
Мыс депода толғаннан кейін гепатоциттерден босап шығып, бас миының сұр ядроларында, бүйрек және көздің мүйізді қабатында жиналады. Қанға мыстың көп мөлшерінің тез түсуінен айқын купремия дамиды, және эритроциттердің мембранасында, активтілігін тежейтін және гемолитикалық анемияның дамуына әкелетін белоктармен комплекс түзу арқылы фиксацияланады.
Вильсон - Коновалов ауруы бауыр ауруларының ішіндегі ең қиын диагностикаланатын аурулар қатарына жатады. Науқастар арасында ерлерде жиірек кездеседі, бірақ әйелдерде бұл ауру ертерек байқалады.
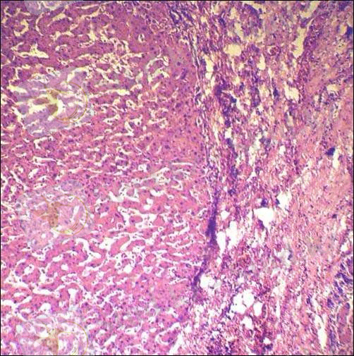
Вильсон - Коновалов ауруы кезіндегі бауырдың өзгерісі
(Цироз) .
Науқас бауырының биопсиясы.
Бауырдың пункциялық биопсиясы:гистологиялық, гистохимиялық зерттеледі. Қалыпты жағдайдағы бауырдағы мыстың концентрациясы: құрғақ массасы 50 млг∕ кг-дан төмен, ылғал массасы 10 млг∕кг-дан төмен.
Кайзер - Флешнер сақинасы.
Диагноздың дұрыс екендігін келесі белгілер растайды: Кайзер- Флешнер сақинасы немесе оның ˝ қалдықтары˝, ол жайкөзге де көрінеді немесе көзді арнайы зерттеу нәтижесінде анықтауға болады. Неврологиялық симптомдар бар болса, сақина 90-100% жағдайда анықталады. Вильсон-Коновалов ауруының қатерсіз формасы болса, Кайзер- Флешнер сақинасы көрінбеуі де мүмкін. Ол 20-25 жаста немесе одан да кешірек көрінеді. Аурудың ұзақтығы 10-15 жыл. Психиканың аффективті бұзылыстары. Бұлшық ет тонусының минималді өзгеруінен қатерсіз компонент өзгереді.
III. Қорытынды.
Вильсон - Коновалов ауруының алғашқы сатыларын мына белгілері арқылы анықтауға болады:
- Ауыспалы сарыауру.
- Мұрыннан қайта - қайта қан ағу, қызыл иектің қанауы және басқа да қанаушылықтар.
- Спецификалық буындық « жұлдызшалар » кеуде және арқа терісінде пайда болады.
- Аменорея түріндегі гормональды бұзылыстар.
- Интеллекттің жылдам төмендеуі және психиканың өзгерістері.
- Көздің мүйізді қабығындаКайзер- Флешнер сақинасының болуы.
- Іс жүргізу
- Автоматтандыру, Техника
- Алғашқы әскери дайындық
- Астрономия
- Ауыл шаруашылығы
- Банк ісі
- Бизнесті бағалау
- Биология
- Бухгалтерлік іс
- Валеология
- Ветеринария
- География
- Геология, Геофизика, Геодезия
- Дін
- Ет, сүт, шарап өнімдері
- Жалпы тарих
- Жер кадастрі, Жылжымайтын мүлік
- Журналистика
- Информатика
- Кеден ісі
- Маркетинг
- Математика, Геометрия
- Медицина
- Мемлекеттік басқару
- Менеджмент
- Мұнай, Газ
- Мұрағат ісі
- Мәдениеттану
- ОБЖ (Основы безопасности жизнедеятельности)
- Педагогика
- Полиграфия
- Психология
- Салық
- Саясаттану
- Сақтандыру
- Сертификаттау, стандарттау
- Социология, Демография
- Спорт
- Статистика
- Тілтану, Филология
- Тарихи тұлғалар
- Тау-кен ісі
- Транспорт
- Туризм
- Физика
- Философия
- Халықаралық қатынастар
- Химия
- Экология, Қоршаған ортаны қорғау
- Экономика
- Экономикалық география
- Электротехника
- Қазақстан тарихы
- Қаржы
- Құрылыс
- Құқық, Криминалистика
- Әдебиет
- Өнер, музыка
- Өнеркәсіп, Өндіріс
Қазақ тілінде жазылған рефераттар, курстық жұмыстар, дипломдық жұмыстар бойынша біздің қор #1 болып табылады.

Ақпарат
Қосымша
Email: info@stud.kz