Жалпақ құрттар типіне жататын жәндіктер туралы


Жалпақ құрттар
Жоспар:
І. Кіріспе
ІІ. Негізгі бөлім
- Жалпақ құрттар типіне жататын жәндіктердің негізгі ерекшеліктері
- Кірпікшелі құрттар класы
- Сорғыш құрттар класы
- Таспа құрттар класы
ІІІ. Қорытынды бөлім
ІV. Пайдаланылған әдебиеттер
Кіріспе
Құрттар - екіжақты симметриялы, үш қабатты, көпжасушалы жәндіктер. Бұлардың денесін тері-бұлшықетті қапшық қаптайды. Дене тұрқы шұбалаңқы келеді. Эктодерма мен энтодерма аралығында дененің үшінші қабаты - аралық қабат мезодерма орналасады. Зоология ғылымының паразит құрттарды зерттейтін саласы гельминтология деп аталады.
Жалпақ құрттар (Plathelmіnthes) - төменгі сатыдағы құрттар типі. Олардың ұзынша симметриялы денесі арқа-құрсақ жағына қарай қысыңқы келеді. Ұзындығы 0, 2 мм-ден 18 м-ге дейін. Жалпақ құрттардың 12500-дей түрі 5 класқа жіктеледі: кірпікшелі құрттар, сорғыш құрттар, моногенетикалық сорғыштар, таспа құрттар, цестода тәрізділер. Соңғы 4 класс өкілдері - нағыз паразиттер. Бірақ кейбір зерттеушілер кірпікшелі құрттардың 3 отрядын: темноцефалиданы (Themnoceрhalіda), удонеллидтерді (Udonellіda) және ксенотурбеллидтерді (Xenoturbellіda) класс ретінде қарастырады. Жалпақ құрттардың еркін қозғалатын түрлерінің денесінің сырты түкті эпителиймен қапталған, ал паразитті түрлері ядросыз қалың қабат - тегументпен жабылған. Жалпақ құрттардың негізгі ерекшелігі - тері-бұлшық ет қапшығының болуы. Ол эпителий мен оның астында орналасқан бұлшық ет талшықтарының бірігуінен түзілген. Бұл талшықтар бірнеше қабат (сақина тәрізді, ұзына бойына, қиғаш) түзеді. Жалпақ құрттар осы бұлшық ет талшықтарының жиырылуынан қозғалады. Жалпақ құрттарда дене қуысы болмайды, паренхима мүшелер арасындағы барлық кеңістікті алып тұрады. Ол тірек қызметін атқарады. Жалпақ құрттардың ас қорыту жүйесі біркелкі дамымаған. Аузы денесінің құрсақ (кейде алдыңғы) бөлімінде орналасқан. Ол эктодермальды жұтқыншақпен және тұйық бітетін энтодермальды ортаңғы ішекпен жалғасқан. Артқы ішегі және аналь тесігі болмайды. Ал паразит түрлерінде ауыз, ішектері мүлдем жоқ, қорегін сыртқы қабымен сіңіріп, паренхимада қорытады. Жүйке жүйесі бас жүйке түйінінен басталып, денесінің құрсақ жағына жүретін жүйке бағаналарынан (өзара сақина тәріздес өсінділермен байланысқан) тұрады. Қан айналу және тыныс алу жүйелері дамымаған. Зәр шығару мүшесі - протонефридии. Олардың тарамдалған каналдары паренхимада кірпікшелі жұлдыз тәрізді клеткалармен аяқталады. Жалпақ құрттар - гермофродиттер. Жыныс жүйесінің құрылымы өте күрделі. Бұлар негізінен еркек, ұрғашы жыныс бездерінен, ұрық өткізу түтіктері мен ұрпақ жетілдіру органдарынан тұрады. Жалпақ құрттар тікелей, құбылу, иесін ауыстыру арқылы өсіп дамиды. Жалпақ құрттардың көпшілігі адам мен жануарлардың паразиті (мыс., фасциолез, эхинококкоз, т. б. ) .
1970 жылдан бері кейбір жалпақ құрттар мен жұмыр құрттардың жүйке жүйесі, ас қорыту органдары, сондай-ақ, малдың еті мен өкпесі, жүрегі мен қан тамырлары, терісі гистология тұрғыдан айқындалды.
Негізгі бөлім
1. 1. Жалпақ құрттар типіне жататын жәндіктердің негізгі ерекшеліктері
Жалпақ құрттардың көпшілігінің пішіні жапыраққа немесе таспаға ұқсас. Таспа тәрізді жалпақ құрттардың денесі бунақты. Бас бөлігінде бунақ болмайды. Жалпақ құрттардың ішекқуыстылардан айырмашылығы - денесі екі қабаттан емес, үш қабаттан тұрады. Ұрықтың дамуы кезінде эктодерма мен энтодерма аралығынан аралық жасушалы қабат - мезодерма пайда болады. Мезодермадан әр түрлі мүшелер мен мүшелер жүйесі түзіледі. Дене жабынын цилиндр тәрізді жасушалардан тұратын жабын ұлпасы - эпителий қаптайды. Эпителий жасушаларында кірпікшелер бар. Еркін жүзетін жалпақ құрттардың (мысалы, ақ сұлама) жабын жасушаларында да кірпікшелі жасушалар бар. Жалпақ құрттардың паразиттік жолмен тіршілік ететін түрлері де бар. Олардың дене жабынының құрылысы ерекше, эпителий ұлпасында жасуша болмайды, оны тығыз түзіліс қаптайды. Ол түзіліс сірқабық деп аталады. Сірқабық қорғаныш және тірек қызметін атқарады.
Жалпақ құрттардың жүйке жүйесі дененің бас бөлігінде орналасады. Ол жүйке түйіндерінен басталып, денені бойлай екі бағана түзіп, созылып жатады. Екі бағананы көлденең орналасқан жүйкелер байланыстырады. Жалпақ құрттар типіндегі ағзалардың ішекқуыстыларда болмаған жаңа жүйесі бар. Жаңа жүйе зәршығару (қажетсіз заттарды бөлу) жүйесі деп аталады. Бүл - бұған дейін тірі ағзаларда болмаған жүйе. Жалпақ құрт типіндегі ағзалардың барлығында қантарату және тыныс-алу жүйелері мүлде жоқ. Олардың тыныс алуына бүкіл денесі қатысады. Жалпақ құрттардың асқорыту мүшесі екі бөліктен қүралады. Бір бөлігі - жұтқыншақ, екіншісі - ішектің ортаңғы бөлігі. Жалпақ құрттарда артқы ішек пен аналь тесігі жоқ. Жалпақ құрттар - қосжынысты гермафродит) жәндіктер. Олардың жыныс жүйесінің құрылысы өте күрделі. Жалпақ құрттар жыныстық жағынан жетілуге дейін бірқатар дернәсілдік сатылардан өтіп, өзгеріспен дамиды.
Жалпақ құрттардың 25000 түрі белгілі.
Еркін өмір сүретіндері жыртқыштар, ал паразиттер асты ауыз сорғышымен сорып алады немесе осмос арқылы асты бүкіл денесімен сіңіреді. Денесі екі жақты симметриялы. Дене қуысы жоқ. Сыртын 1 қабатты эпителий қаптап жатады. Барлығы 7 класы белгілі.
1. 2 Кірпікшелі құрттар класы
Ақ сұлама - еркін жүзіп қимылдайтын, жалпақ құрттарға жататын кірпікшелі құрт. (Денесі кірпікшелі эпителий жасушаларымен қапталғандықтан, кірпікшелілер класына жатады. ) Ол кірпікшелерінің көмегімен суда еркін жүзеді. Сұламаның дене қимылын реттейтін әр түрлі бұлшықеттері бар. Сыртқы қимылға сақиналы бұлшықеттер қатысады. Аралық қабат қимылын қиғаш бұлшықеттер реттейді. Ал ішкі қабаттағы қимыл бірыңғай салалы бұлшықеттермен реттеледі. Кірпікшелі құрттардың аузы, асқорыту, зәршығару және жыныс мүшелері бар. Кірпікшелі құрттарда сезім мүшелері дами бастайды. Мысалы, ақ сұламаның қарапайым көзшелері бар. Сипап-сезу сезімталдығы едәуір арта түскен. Ақ сұлама жұмыртқадан дамып, піллә түзеді. Ол жыныссыз да, жынысты да жолмен көбейеді.
Осы класқа жататын ақ сұлама арықтарда, су қоймаларында өмір сүретін түнгі жыртқыш. Денесінің бас жағында екі көзшесі бар. Кішкентай шаян тектестермен, құрттармен, ірі жануарлардың қалдықтарымен қоректенеді.
Жыныссыз жолмен де көбее алады. Денесі екіге бөлінеді де, әрқайсысы регенерация жолымен екі ағзаға айналады.
1. 3 Сорғыш құрттар класы
Бұл класқа жататын жәндіктер паразиттік жолмен өмір сүреді. Дене пішіні жалпақ, жапырақ тәрізді. Қоректік денеге сорғыштарымен жабысады. Екі сорғышы болады: біреуі - аузында, екіншісі - бауырында. Осы сорғыштармен қоректік денеге жабысып, бұлшықетті жұтқыншағының сору қимылы арқылы қорегін сорады. Бұлар сондықтан сорғыш құрт аталған. Сорғыш құрттың денесінде кірпікшелер болмайды. Негізгі иесінің бауырындағы өт жолында сорғыштарымен бекініп, өтпен қоректенеді. Сондықтан бауырсорғыш деп те аталады. Кірпікше тек дернәсілдерінде ғана болады. Қоректік зат қалдығын шығаратын өзек болмағандықтан, оны аузынан сыртқа шығарады. Көзі де жоқ. Тіршілік әрекеттерінің даму айналымы өте күрделі.
Сорғыш құрттар класында құрттардың 4000 түрі бар. Дене тұрқы бірнеше мм-ден 1, 5 м дейін жетеді. Сыртқы жабыны кірпікшесіз. Бекіну мүшелері- 2 сорғышы, оның бірі ауыз маңында, екіншісі құрсағында болады. Ұзақ уақыт бойы адамдар олардың екі аузы болады деген жаңсақ пікірде болды.
Сыртқы жабынының қалың болуы оларды йесінің асқазан сөлінің әсерінен қорытылып кетуден сақтайды.
Бауырсорғыш - гермафродит жәндік. Демек бір ағзада аталық та, аналық та жыныс жасушасы болады. Ұрықтанған жұмыртқа бауырдың қантамырлары арқылы ішекке түсіп, одан нәжіспен бірге сыртқа шығады. Жұмыртқаның бірден суға түсуі де, түспеуі де мүмкін. Суға түспегендері одан әрі дами алмайды. Ал суға түскендерінің денесін кірпікшелер қаптап, суда жүзетін дернәсілдерге айналады. Ондай дернәсілдер аралық иесі - кішкене тоспаұлудың денесіне түсе қалса, одан әрі дамып, көбейеді де, келесі ұрпақ үшін тағы бірнеше дернәсілдерге айналады. Ол дернәсілдер тоспаұлу денесінен суға түсіп, құйрықты дернәсілге айналады. Сөйтіп жұмыртқаның құйрықты дернәсілге айналуы 2, 5-3 айға созылады. Дернәсілдер бұдан соң құйрығын түсіріп, өсімдік сабағына жабысады. Денесін сірқабақ қаптап, қозғалмайтын күйге, цистаға айналады. Мал су ішкенде немесе су тартылған жердегі циста жабысқан өсімдікпен қоректенсе, циста ішекте жарылып, одан жас бауырсорғыш жетіледі. Ол қантамырлар арқылы - бауырға, одан өт жолына өтеді. Сөйтіп ересек бауырсорғыш көбею барысында екі иеде өмір сүреді. Ол негізгі иесі - мал, үй хайуанаттары, т. б., кейде адам да, аралық иесі - кіші тоспаұлу денесінде тіршілік етеді.
1. 4 Таспа құрттар класы
Бұлар - әсіресе жануарлардың және адамның ішкі мүшелерінде паразиттік ететін эндопаразит жәндіктер. Олардың денесі жалпақ, таспа тәрізді болғандықтан, класс таспа қарттар деп аталған. Паразиттік тіршілікке ерекше бейімделген құрттың бірі - сиыр цепені. Ересек цепень (жармасқақ) - адамның ішегінде, ал дернәсілдері мүйізді ірі қараның, яғни сиырдың денесінде дамиды. Бұл жәндік ішекке қармақшасымен және сорғыштарымен жармасып алады, сондықтан жармасқақ деп аталған. Дененің алдыңғы бөлігінде қысқа мойынды басы болады. Басында 4 дөңгелек сорғыштары бар. Дененің сыртын сірқабық қаптайды. Жүйке жүйесі басында жүйке жасушаларының жиынтығын түзіл, екі желілі жүйке құрттың денесін құйрығына дейін бойлай созылады. Оның көзі, асқорыту және тынысалу мүшелері, қанайналым жүйесі болмайды. Зәршығару жүйесі дененің ең соңғы бунағында екі өзектен қосылып, сыртқа ашылатын зәршығару түтіктерінен қүралады. Сиыр цепені - гермафродит жәндік. Сиыр ңепенінің тіршілік әрекеті өте күрделі. Ол денесінде жүмыртқадан дернәсілдің екі түріне ауысады: біріншісі - қармақшалы дернәсіл; екіншісі - таспақұрттың көзге байқалмайтын, мойынға жалғасқан басы бар кішкене көпіршігі - финна. Ересек таспақұрт негізгі несі - адам денесінде өмір сүреді. Жалпақ құрттар - сула, топырақта, ағзалар денесінің сыртылда және ішінде тіршілік ететін омыртқасыз паразит жәндіктер. Бұлардың еркін тіршілік ететін түрлері ұсақ шаяндар, құрттар және судағы жануарлардың қалдықтарымен қоректенеді. Паразиттік жолмен тіршілік ететін жалпақ құрттар, жануарлар мен өсімдіктер ағзасында әр түрлі аурулар туғызады. Халық шаруашылығына айтарлықтай зиян келтіреді.
Сонымен бірге таспа-құрттардың барлығы жануарлар мен адам өміріне зиян келтіреді. Ішекте өмір сүретін паразиттер - эндопаразиттер. Ал ағза денесінің сыртылда паразиттік жолмен тіршілік ететін жәндіктер эктопаразиттер деп аталады. Денесі жонынан қүрсағына қарай ығысып, жалпақ болғандықтан, құрттардың бүл типі жалпақ құрттар - ең алғашқы денесі үш қабаттан: эктодерма, мезодерма және энтодермадан түзілген екі жақты симметриялы жәндіктер. Жүйке жүйесі - басында жинақталған жүйке түйіні бар. Зәршығару жүйесі қарапайым құрылыста болып келеді. Артқы аналь тесігі жоқ. Жалпақ құрттар типіндегі ағзалардың барлығында қантарату, тынысалу жүйесі де мүлде болмайды. Олар бүкіл денесі арқылы тыныс алады. Еркін суда жүзіп өмір сүретін жалпақ құрттар - жыртқыштар, ал паразиттік жолмен тіршілік ететіндерінде асқорыту жүйесі жойылған. Бұлар - қос жынысты жәндіктер. Паразит ағзалардың тіршілік әрекет айналымы күрделі. Олар екі неде - алғашқы (тұрақты) және екінші (аралық) неде өмір сүрелі. Алғашқы неде паразит құрттардың жыныстық жолмен көбейетін ұрпақтары, аралық неде дернәсілдік ұрпақтары тіршілік етеді.
Таспа құрттар класы. 3000 түрі белгілі. Ұзындығы бірнеше мм-ден 30 метрге дейін барады. Денесі бас (сколекс), мойын және жекелеген бөліктерден тұрады. Бөліктердің саны 2-3-тен бірнеше мыңға дейін барады. Мысалы эхинококтың 2-3 қана бөлігі болады. Цепендерде олардың саны мыңнан асады. Басында бекінуге арналған ілмектері не хитин сорғыштары болады. Көбінесе аш ішекте өмір сүргендіктен ас қорыту жүйесі болмайды. Гермафродиттер. Жылына 600 млн жұмыртқа салады. Кейбіреулері 20 жылға дейін өмір сүреді
Сиыр цепені денесінің бір бөлігі. Пісіп жетілген бөлік денеден үзіліп түседі де сыртқа шығарылады. Бөлік бірнеше сағатқа дейін өмір сүруге қабілетті. Және осы уақытта ол бөліктің қозғалуға да қабілеті болады.
Шошқа цепенінің басы (сколекс) . Ішекке бекінуге қажетті ілмешектері анық көрінеді.
Бауыр сорғыштың көбеюі
Эхинококпен зақымданған бауыр
Дене тұрқы 3-5 мм, бас пен 3-4 бөліктен тұрады. . Басында 4 сорғышы, 35-40 ілмешектері болады. Негізгі йесі қасқыр немесе ит. Аралық йесі үй жануарлары немесе адам болу мүмкін. Бауырды, өкпені, бүйректі, кейде миды зақымдайды.
Зақымданған бауыр бірнеше есе ұлғаяды. УДЗ, рентген арқылы анықталады. Тек ота жасау арқылы емделеді.
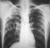
Мидың, бүйректің, өкпенің эхинококпен зақымдануы
Қорытынды бөлім
... жалғасы- Іс жүргізу
- Автоматтандыру, Техника
- Алғашқы әскери дайындық
- Астрономия
- Ауыл шаруашылығы
- Банк ісі
- Бизнесті бағалау
- Биология
- Бухгалтерлік іс
- Валеология
- Ветеринария
- География
- Геология, Геофизика, Геодезия
- Дін
- Ет, сүт, шарап өнімдері
- Жалпы тарих
- Жер кадастрі, Жылжымайтын мүлік
- Журналистика
- Информатика
- Кеден ісі
- Маркетинг
- Математика, Геометрия
- Медицина
- Мемлекеттік басқару
- Менеджмент
- Мұнай, Газ
- Мұрағат ісі
- Мәдениеттану
- ОБЖ (Основы безопасности жизнедеятельности)
- Педагогика
- Полиграфия
- Психология
- Салық
- Саясаттану
- Сақтандыру
- Сертификаттау, стандарттау
- Социология, Демография
- Спорт
- Статистика
- Тілтану, Филология
- Тарихи тұлғалар
- Тау-кен ісі
- Транспорт
- Туризм
- Физика
- Философия
- Халықаралық қатынастар
- Химия
- Экология, Қоршаған ортаны қорғау
- Экономика
- Экономикалық география
- Электротехника
- Қазақстан тарихы
- Қаржы
- Құрылыс
- Құқық, Криминалистика
- Әдебиет
- Өнер, музыка
- Өнеркәсіп, Өндіріс
Қазақ тілінде жазылған рефераттар, курстық жұмыстар, дипломдық жұмыстар бойынша біздің қор #1 болып табылады.

Ақпарат
Қосымша
Email: info@stud.kz