Шойындардың сыныпталуы


Мазмұны:
Кіріспе . . .
- Шойындардың сыныпталуы . . .
Қорытынды . . .
Кіріспе
Шойын (Чугун) -жақсы құйылатын қасиеті бар темірмен көміртектің (2% жоғарғы) қорытпасы; темірдің көміртек (2%-дан астам, әдетте, 3-4, 5%), қайсыбір мөлшерде марганец (1, 5%-ке дейін), кремний (4, 5%-ке дейін), күкірт (0, 08%-тен аспайды), фосфор (1, 8%- ке дейін), ал кейде басқа да элементтер қосылған қорытпасы. Шойында көміртек темір карбиді Ғе3С түрінде байланысқан күйде болуы мүмкін (сұр Шойын) . Шойын темір кендерін домна пештерінде балқыту арқылы алынатын өндеудің бастапқы өнімі; қолданылуы мен химиялық құрамына қарай шойын қолданбалы, яғни болат қорытуға арналған Шойын, құйма Шойын, арнаулы Шойын болып бөлінеді. Шойын құймалардың сапасын жақсарту үшін азғана мөлшерде түрленгіштер қосып түрлендіру және шойынды әр түрлі элементтермен қоспалау қолданылады.
Ақ шойын (Белый чугун) -карбид түрінде көміртек құрамына кіретін, ал омырық бетінің түсі күңгірт-ақшыл болатын шойын; құрамында көміртек темірмен химиялық қосылыс (цементит) түрінде болатын шойын. Ақ шойынның кристалдану процесі Fe-C диаграммасы бойынша жүреді. Қаттылық, беріктік, үйкеліске беріктік, морттық қасиеттері жоғары. Ақ шойын өндеуге келмейтіндіктен, одан қорытпалар гана алынады. Ақ шойынды соқаның тістерін, илем біліктерін, диірменнің шарларын құюға және соғылмалы шойын алу үшін пайдаланады.
Домна шойыны (Чугун доменный) -домна пешінде балқытылып алынған шойын; темір және марганецті кендерден домна пештерінде балқытып алынатын сұйық шойын. Домна шойынының 80-85%-інен болат өндіріледі.
Соғылмалы шойын (Чугун ковкий) - құрамына жапалақ түрлес графит кіретін және ақ шойынды босаңдату нәтижесінде алынатын шойын.
Сұйық шойын (Чугун жидкий) - домна пешінде немесе шойынпеште қорытылған шойын. Сұық шойын қатайған сон тасымалданып тұтынушыға жеткізіледі. белдігін, күпшектер, картерлер, фитингтер жасағанда соғылмалы шойын орнына қолданылады. Осының нәтижесінде құйма дайындамалардың массасы соғылмалы шойыннан құйылған дайындамалар массасынан шамамен екі еседей кем болады; құрылымында сфера түрлес графиттік кірме бар болатын, беріктігі жоғарғы шойын.
Шындалған шойын (Чугун ковкий) - механикалық қасиеттері жағынан сүр шойын мен болат аралығына сәйкес келетін шойын. Шындалған шойынды кейде соғылмалы шойын деп те атайды. Шойынның технологиялық қасиеттері бойынша және оның тіпті соғылмайтындыгын ескере отырып, шындалған шойын атауының дүрыс екенін ескерген жөн. Тұтқырлығы жоғары, құйма ретінде ақ шойындар қатарына жатады, ақ шойын құймаларын жоғары температурада ұзақ уақыт қыздырып, жасыту арқылы алады.
- Шойындардың сыныпталуы.
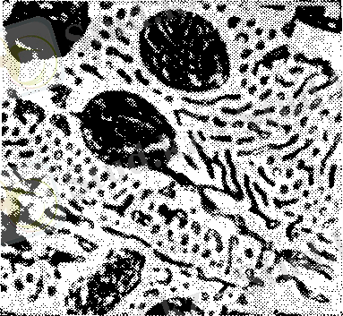
Шойындардың құрылымында кристалданудың нақты жағдайларына сәйкес көміртегі құрылымдық - бос күйінде болуымен негізделетін түрлі құралғыштардың болуы мүмкін. Осының негізінде шойындарды: ақ, сұр, жоғары берік, соғылғыш, легрленген және антифрикциондық деп бөлуге болады. Ақ шойын деп аталу себебі, ондағы көміртегінің барлығы байланысқан күйінде болады, атап айтсақ Fe 3 C қосылысы түрінде және мұндай шойындардың сынықтары ашық түсті (ақ сынық) жылтыр болады (1 - сурет) .
Ақ шойындарды машина тетіктерін жасау үшін қолданбайды, себебі олар жоғары қаттылыққа ие болады (НВ 450 - 550), морт сынғыш және тәжірибеде кесу аспаптарымен өңделмейді. Ақ шойынның жоғары қаттылығы мен морт сынғыштығы ондағы ледебуриттің болуымен түсіндіріледі.



а) б) в)
а - эвтектикаға дейінгі; б - эвтектикалық; в - эвтектикадан кейінгі
1 - сурет. Ақ шойынның микроқұрылымы (×500)
Сұр шойында барлық көміртегі бос күйінде болады, тек қана 0, 8 % С ғана байланысқан күйде болуы мүмкін. Сұр шойынның құрылымында графиті болады, олардың саны, пішіні және орналасуы кең көлемді өзгерісте болады. Сонымен қатар сұр шойынның құрамында ледебурит болуы мүмкін, бірақ құрылымдық бос күйінде емес, эвтектоид құрамында, атап айтсақ перлитте (ледебурит немесе екінші ретті цементит сұр шойынның құрамында болмайды) .
Сұр шойын деп сынықтың түсіне байланысты атаған. Сұр шойынның құрылымында графит әртүрлі пішінді болуы мүмкін: пластинка, үлпек және шар тәрізді (1 - сурет) . Әдеттегі сұр шойында графит пластинка түрінде болады. Шойында графит үлпек тәрізді болса, онда оны соғылғыш шойын деп аталады. «Соғылғыш» деген атау шартты, себебі ол созымдылығының төмен болғандықтан қысыммен өңделмейді. Шар тәрізді графиті бар шойындарды жоғары берік шойындар деп аталады.
Сұр, соғылғыш және жоғары берік шойындар кеңінен таралған және арзан құйылғыш конструкциялық материал болып табылады. Мұндай шойынның қасиеттері металдық негіздің құрылымынан, графиттік қосылыстардың сипатынан (пішіні, өлшемдері, мөлшері) байланысты болады. Шойынның беріктік қасиеттеріне металдық негіздің құрылымы әсер етеді, ал шойынның созымдылығы металдың негізіне тәуелді емес.



а - пластинка тәрізді; б - шар тәрізді; в - үлпек тәрізді
2 - сурет. Шойындағы графит қосылыстарының пішіні
Графит төменгі механикалық қасиеттерге ие болады және графит қосылыстары металдық негізде бос қуыстар, ішкі жарықтары бар сияқты әсер етеді. Шойынның құрамындағы графит қосылыстары беріктік пен созымдылықты төмендетіп қана қоймай, шойынның серпімділік модулін де төмендетеді. Шойындарда ол болаттарға қарағанда әлдеқайда төмен болады.
Кейбір жағдайларда шойынның құрамындағы графиттің болуы пайдалы және болатқа қарағанда артықшылық береді: графиттің болуы кесумен өңдеуді жеңілдетеді (жаңқа сынғыш болады), графиттің майлағыш әсерінен шойын жақсы антифрикциялық қасиеттерге ие болады, атап айтсақ, үйкелуге жақсы жұмыс істейді, графиті бар шойындар дірілді, тербелістерді жақсы басады, шойынның құрамындағы графит беттік сырылуға және беттің басқа да ақауларына тұрақтылықты жоғарлатады. Сонымен қатар шойындар болаттарға қарағанда жоғары құйылғыштық қасиетке ие болады.
Сұр шойындар С (серый) Ч (чугун) әріптерімен және сандармен белгіленеді. Әріптен кейінгі сандар созу кезіндегі уақытша кедергінің минималды мәнін көрсетеді (МПа . 10 -1 ) . Шойындардың стандартты ентаңбалары (ГОСТ 1412 - 85) : СЧ10, СЧ15, СЧ20, СЧ25, СЧ30, СЧ35. Тапсырыс берілген жағдайларда СЧ18, СЧ21, СЧ24 ентаңбалы шойындар алынады. Стандарт ентаңбалы шойындардың шамаланған химиялық құрамы: 2, 9 - 3, 7% С, 1, 2 - 2, 6% Sі, 0, 5 - 1, 1% Мn, 0, 2 - 0, 3 % Р көп емес және 0, 12 -0, 15 % S көп емес.
Жоғары берік шойын. Жоғары берік шойындағы графиттің пішіні шар тәрізді болады. Мұндай шойынды ерітіндіні магниймен түрөзгерту арқылы алады. Магнийді сұйық шойынға құюдың алдында 0, 03 - 0, 07 % мөлшерінде енгізеді. Магний әсерінен шойынның кристалдануы кезінде графит шар тәрізді пішінге ие болады. Шар тәрізді графит аса қолайлы және шойында жоғары механикалық қасиеттерді (созу кезіндегі беріктік және пластикалық) қамтамасыз етеді. Жоғары берік шойындар ВЧ әріптерімен (В - высркрпрочный, Ч - чугун) және сандармен ентаңбаланады. Мұндағы сандар созу кезіндегі уақытша кедергінің минималды мәнін білдіреді (МПа - 10 -1 ) . Жоғары берік шойындардың стандартты ентаңбалары және олардың механикалық қасиеттері (ГОСТ 7293 - 85) 1 - кестеде көрсетілген.
1 - кесте. Жоғары берік шойындардың механикалық қасиеттері
Шар тәрізді графиті бар шойындар механикалық қасиеттері бойынша болаттарға жақын боалды, жақсы құйылғыштық қасиетін, кесумен оңай өңделуін, дірілді жұту қасиеттерін сақтайды және жоғары тозуға төзімділікті қамтамасыз етеді.
Соғылғыш шойын. Соғылғыш шойынның құрамындағы графиттің пішіні үлпек тәрізді болады. Пластикалық графиті бар шойындармен салыстырғанда үлпек тәрізді графит шойынның металдық негізінде ықшамды орналасып, жарықтар сияқты әсер етпейді, сондықтан мұндай қосылыстар аз мөлшерде металдық негізді әлсіретеді. Жасыту кезінде толығымен жойылатын құю кернеулерінің болмауынан, графиттік қосылыстардың оқшаулығы және ыңғайлы пішіні соғылғыш шойындардың механикалық қасиеттерінің жоғары болуын қамтамасыз етеді. Соғылғыш шойынды шамамен келесі құрамды 2, 5 - 3 % С; 0, 7 - 1, 5 % Sі; 0, 2 - 1 % Мn; 0, 2 % S дейін, 0, 18 % Р дейін болатын, эвтектикаға дейінгі ақ шойындарды арнайы термиялық өңдеу арқылы алады. Ақ шойынның құймаларын жасыту арқылы соғылғыш шойын алады, олар жұқа қабырғалы болуы мүмкін (қимасы 50 мм аспауы керек) .
Қалың қабырғалы құймалар жылдам салқындамайды, сондықтан кристалдану кезінде өзегінде пластинкалы графит пайда болады. Мұндай шойын соғылғыш шойын алу үшін жарамайды, себебі жасыту процесінде түзілетін графит құрамындағы графит пластинкаларына қосылады. Ферритті соғылғыш шойынды алу үшін жасытуды, 10. 3 - суретте көрсетілген, 1 режим бойынша жүргізеді. Ақ шойын құймаларын 950 - 1000 °С (эвтектоидтық температурадан жоғары, бірақ эвтектикалық нүктеден төмен) температураға дейін баяу (20 - 25 сағат) қыздырамыз. Одан кейін осы температурада ұзақ уақыт (10 - 15 сағат) ұстаймыз. Ұстау процессі кезінде графиттелудің бірінші кезеңі өтеді - эвтектикалық цементиттің және екінші ретті цементиттің аустенитке пен графитке ыдырауы: Ц → А + Г жас .

графиттік қосылыстардың өсуін тудырады. 720 °С температураға (эвтектоидты түрлену температурасынан біршама төмен) жеткеннен кейін екінші ұзақ уақыт (30 сағат) қыздыру жүргізеді, осы процестің нәтижесінде графиттелудің екінші кезеңі - эвтектоидты цементиттің ыдырауы: Ц эв → Ф + Г жас өтеді.
Екінші кезең аяқталғаннан кейін шойын құрылымы толығымен тепе - теңдік (Ф + Г) күйде болады. Мұндай шойындардың сынықтары барқыт тәрізді қара болады, ол графиттің көп болғандығымен түсіндіріледі. Перлитті соғылғыш шойынды алу үшін жасытуды 2 режимі жүргізіледі. Сонымен қатар шойындарды аз мөлшердегі алюминий (0, 015 - 0, 20 %), бор және басқа да элементтермен легірленеді. Соғылғыш шойындарды КЧ (К - ковкий, Ч - чугун) әріптерімен және созу кезіндегі уақытша кедергінің минималды мәні (МПа-10 -1 ) мен салыстырмалы ұзаруды көрсететін, сандармен белгіленеді. Мысалы: КЧ35-10 ентаңбалы шойында - бұл соғылғыш шойын, оның созу кезіндегі уақытша кедергісі 350 МПа кем емес және салыстырмалы ұзаруы 10% кем емес болуы керек. Стандартты ентаңбалы соғылғыш шойындардың механикалық қасиеттері 2- кестеде көрсетілген.
2- кесте. Соғылғыш шойынның механикалық қасиеттері
σ в
МПа
σ в
МПа
- Іс жүргізу
- Автоматтандыру, Техника
- Алғашқы әскери дайындық
- Астрономия
- Ауыл шаруашылығы
- Банк ісі
- Бизнесті бағалау
- Биология
- Бухгалтерлік іс
- Валеология
- Ветеринария
- География
- Геология, Геофизика, Геодезия
- Дін
- Ет, сүт, шарап өнімдері
- Жалпы тарих
- Жер кадастрі, Жылжымайтын мүлік
- Журналистика
- Информатика
- Кеден ісі
- Маркетинг
- Математика, Геометрия
- Медицина
- Мемлекеттік басқару
- Менеджмент
- Мұнай, Газ
- Мұрағат ісі
- Мәдениеттану
- ОБЖ (Основы безопасности жизнедеятельности)
- Педагогика
- Полиграфия
- Психология
- Салық
- Саясаттану
- Сақтандыру
- Сертификаттау, стандарттау
- Социология, Демография
- Спорт
- Статистика
- Тілтану, Филология
- Тарихи тұлғалар
- Тау-кен ісі
- Транспорт
- Туризм
- Физика
- Философия
- Халықаралық қатынастар
- Химия
- Экология, Қоршаған ортаны қорғау
- Экономика
- Экономикалық география
- Электротехника
- Қазақстан тарихы
- Қаржы
- Құрылыс
- Құқық, Криминалистика
- Әдебиет
- Өнер, музыка
- Өнеркәсіп, Өндіріс
Қазақ тілінде жазылған рефераттар, курстық жұмыстар, дипломдық жұмыстар бойынша біздің қор #1 болып табылады.

Ақпарат
Қосымша
Email: info@stud.kz