Өкпенің жоғары ауалы синдромының визулді диагностикасы


Марат Оспанов атындағы БАТЫС ҚАЗАҚСТАН МЕМЛЕКЕТТІК
МЕДИЦИНА УНИВЕРСИТЕТІ
Мамандық:__Жалпы медицина
Дисциплина:__Визуалды диагностика
Курс:_310Б_
Тақырыбы: Өкпенің жоғары ауалы синдромының визулді диагностикасы___
Орындалу формасы:___реферат___
Орындаған: Жанболатқызы А.
Тобы:__310Б
Тексерген:_Мутигулина Г. А
Бағасы:
Ақтөбе қ., 2016 ж
Жоспар
І. Кіріспе
ІІ. Негізгі бөлім
- Респираторлы дистресс-синдром жайлы жалпы түсінік, тарихы және айқындалуы.
- Клиникалық көрінісі және диагностикасы.
ІІІ. Қорытынды
Пайдаланылған әдебиеттер
Кіріспе
Гипоксиялықтипте жүретін жедел тынысалудың жеткіліксіздігі.
Негізгі бұзылыстары болып альвеолалардың беткейінің сурфактантты бөліп шығаруының төмендеуі. Респираторлық дистресс-синдром көбінесе жаңа туған балаларда жиі кездеседі. Жиі баланың дамуының пренатальді және неонатальді кезеңдерінде дамиды. Негізінен ауру шала туған балаларда тіркеледі (60% -28 апталық мерзімінде босанғандарда, 15-20% - 32-36 апталық мерзімде) . Балаларда дистресс-синдромы тынысалудың ауыр бұзылыстарымен жүретін, өкпелердің дұрыс жетілмеуімен және жетіспеушілігімен жүреді. Қалыпты газ алмасуды қамтамасыз ету үшін сыртқы тыныс алу жүйесі алмаса кезде, осы заң бұзушылықтар, немесе ол шамадан тыс энергия шығындары есебінен сақталып отыр - Жедел тыныс жеткіліксіздігі (вентиляция-өкпе жеткіліксіздігі) . Басқаша айтқанда, АРФ - бұл жасушалар барабар оксигенация қамтамасыз ету барлық дене жүйелерінің декомпенсация туындайды, онда орган шарты болып табылады
Респираторлы дистресс-синдром жайлы жалпы түсінік, тарихы және айқындалуы
Ересектердің респираторлық дистресс синдромы (шоктық өкпе, ылғалды
өкпе) - өкпе капиллярлары қабырғасының өткізгіштігі күшейіп, плазманың, қанның белоктық және клеткалық құрамдарының интерстициальды кеңістіктер мен альвеоларға енуінен туындайтын өкпе шемені. Респираторлық дистресс - синдромының басты белгісі - жедел тыныс жетіспеушілігі. Дифузды инфильтрация және ауыр гипоксиямен сипатталатын, өмірге қауіп төндіретін өкпенің қабынуы. Бұл паталогиялық жағдай әр түрлі себептерден туындайды, ЖРДС жиі адамды өлімге ушырататын, өкпенің жасанды вентиляциясын және интенсивти емді талап ететін ауру болып табылады. Бұл ауру көбінесе қант диабетімен, жүрек қан тамыр жүйесінің ауруларымен және жатырлық қан кетулері бар анадан туған балалар ауырады. Сонымен қатар синдромның туындауына құрсақ ішілік гипоксия, асфиксия және гиперкапния әсер етуі мүмкін. ЖРДС өкпенің тікелей және тікелей емес зақымдануынан болады. Өкпенің тікелей зақымдануына: аспирация, пневмания, диффузды алвеоладан қан кету, майлы эмболия, өкпе ауыстыру. Өкпенің тікелей емес зақымдануы:сепсис, өкпенің ауыр жарақаты, күйік, кардиопульманальды шунт.
Ең бірінші рет ЖРДС-ның клиникалық көрінісі 1967 жылы 12 адамнан табылып оның 7-і қайтыс болған, сол кезде үлкендердің респираторлық дистресс деп термин қойған, кейіннен бұл ауруға көптеген атаулар қоя бастаған : “өкпенің кардиогенсіз ісінуі”, “дымқыл өкпе”, ”өкпе шогы” деп. 1994 жылы Эвропа-Америка конференция келісімімен жаңа атау берілді - Жедел респираторлық дистресс синдромы деп.
Жіктелуі. Этиологиялық қағидатына негізделген гипоксиялық респираторлық дистресс синдромы, инфекция, жұқпалы, гипоксиялық, эндотоксина, генетикалық (егер генетикалық бел патология ПБЗ) Жаратылыс ажырата.
Патологиялық өзгерістерді әзірлеу негізінде респираторлық дистресс синдромы 3 ауырлығын бөледі.
Мен (Жұмсақ) - Орташа ауырлықта мемлекеттің тууына салыстырмалы жетілген балалар пайда болады. Белгілер кезде ғана функционалдық транспорт дамыту: тамақтандыру, пеленания, манипуляциялар өткізу. Кем дегенде 72 мин BH. ; қан газ өзгермейді. 3-4 күн ішінде қалыпты жаңа туған мәртебесі.
II (Орта-ауыр) - Бала жиі реанимациялық талап ететін ауыр жағдайда, жылы туған. Респираторлық дистресс синдромы белгілері туғаннан кейін 1-2 сағат әзірлейді және 10 күнге дейін сақталады. оттегі қайырымдылық қажеттілігі әдетте өмір 7-8 күн кетеді. Әрбір екінші баланың респираторлық дистресс синдромы аясында пневмония бар.
III (Ауыр) - Әдетте жетілмеген және өте шала туылған балалардың кездеседі. Респираторлық дистресс синдромы (гипоксия, апноэ, арефлексия, цианоз, жылдам ҰҚК депрессия, Термореттеу бұзылуына) белгілері туған кезден бастап туындайды. Жүрек-қан тамыр тахикардия немесе брадикардия, гипотензия, ЭКГ миокард гипоксиясы белгілерін атап өтті. Қайтыс мүмкіндігі.
Қазірдің өзінде көрсетілгендей, жетілмеген өкпе ұлпасының және кейіннен жеткіліксіздігі факторы байланысты жаңа туған нәрестелердің респираторлық дистресс синдромы патогенезі - БАЗ, оның тапшылығы, ингибиция немесе жойылуын өсті.
АҚШ та ЖРДС жағдайымен 190 000 адам бақылауда тұр. Алғашында ЖРДС мен қайтыс болғандардың саны жоғары болған, кейінірек емнің жақсаруының нәтижесінде 35-40% ға тқмендеген. Интенсивті терапия бөлімінмің шамамен 10% осы ЖРДС мен зардап шегуде.
Клиникалық көрінісі және диагностикасы
ЖРДС негізгі ауруынан кейін 12-48 сағат аралығында туындайды, кейбір кездерде (5-7) күнде. Науқас ентігуіне, көкірек қуысының жайсыздығына, құрғақ жөтелге шағымданады. Жалпы қарағанда тынысының жиілеуі (тахипноэ), жүрек соғуының жиілеуі (тахикардия), тері жамылғысында цианоз, аускультацияда екі жақты сырыл естіледі. Ең ерте белгілері - үдемелі ентігу, тахипноэ, жайылмалы цианоз. Тыныстауға көмекші бұлшық еттер қатысады. Өкпеде жайыла тараған ұсақ көпіршікті ылғалды сырылдар естіледі. Патологиялық процесс үдей түскенде өкпенің альвеолярлық ісінуі көрініс береді: инспираторлы тұншықпа, бұрқылдаған тыныс, цианоз, малшып терге бату, екі жақтан да әр калибрлі ылғалды сырылдардың естілуі, тыныс энцефалопатиясының белгілері болуы мүмкін. РаО 2 с. б. 60 мм төмен, РаСО 2 нормадан жоғары көтеріледі. Асфиксия қаупі пайда болады. Көбінесе туған кезде ауру балалар асфиксия және гипоксия жағдайында болады, ал тыныс алудың жеткіліксіздігі туғаннан кейін бірден емес, бірнеше сағат өткенен кейін белгі береді. Респираторлық дистресс-синдромның басты белгілері:
- Ентігу, минутына 60 жуық демалу қимылын жасайды.
- Тері жамылғысының бозаруы
- Тыныс шығаруда кеуде клеткасының төмендеуі
- Аурудың даму сатысында төменде көрсетілген симптомдар жиілейді:цианоз күшейеді, жайылмалы крепитация, апноэ, ауыздан көпіршікті және қанды бөліністер көрінеді. Сонымен қатар осы ауруда жүрек қан тамыр жүйесі зақымдалады, сол себепті тахикардияның көрініс беруі шектелмеген . кардио- және гепатомегалия дамуы мүмкін.
Үлкен адамдарда этиологиясы
- Өкпенің диффузды инфекциясы
- Аспирациялық сұйықтық
- Шокты жағдай
- Жүрек және өкпені ауыстырып салу
- Ауыр жарақат
- Сепсис
- Үлкен мөлшерде қан кету
- Ауа және майлы эмболия
- Бронх-өкпелік аспирация
- Анафилактикалық реакция
- Токсиндердің әсері
- Аутоагрессиялық иммунды ауру
- Өкпе ісігі
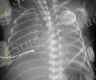
Диагностикасы. Тынысалудың дистресс-синдромын диагностикалауда рентгенологиялық әдіс қолданылады. Рентгенологиялық белгілері патологиялық процесстің дамуына байланысты. Оларды Е. К. Колесников бойынша төртке бөліп қарастырады.
Асқынулары:
1. Типтік сол қарыншаның жетіспеушілігі.
2. Екіншілік бактериялык инфекция.
3. Бронхтық абструкция.
4. Пневмоторакс және пневмомедиастинум жағдайы
ЖРДС бастапқы кезеңінде артериялық қандағы газдардың меншікті (парциялды) қысымын тексергенде РаО2(оттегінің меншікті қысымы) төмен, РН жоғарлағаны (алкалоз) пайда болады. Соңына қарай РаСО2 жоғарлайды және алкалоз ацидозбен ауысады.
Рентгенографияда - өкпенің екі жағы да диффузды инфильтрат байқалады.
... жалғасы- Іс жүргізу
- Автоматтандыру, Техника
- Алғашқы әскери дайындық
- Астрономия
- Ауыл шаруашылығы
- Банк ісі
- Бизнесті бағалау
- Биология
- Бухгалтерлік іс
- Валеология
- Ветеринария
- География
- Геология, Геофизика, Геодезия
- Дін
- Ет, сүт, шарап өнімдері
- Жалпы тарих
- Жер кадастрі, Жылжымайтын мүлік
- Журналистика
- Информатика
- Кеден ісі
- Маркетинг
- Математика, Геометрия
- Медицина
- Мемлекеттік басқару
- Менеджмент
- Мұнай, Газ
- Мұрағат ісі
- Мәдениеттану
- ОБЖ (Основы безопасности жизнедеятельности)
- Педагогика
- Полиграфия
- Психология
- Салық
- Саясаттану
- Сақтандыру
- Сертификаттау, стандарттау
- Социология, Демография
- Спорт
- Статистика
- Тілтану, Филология
- Тарихи тұлғалар
- Тау-кен ісі
- Транспорт
- Туризм
- Физика
- Философия
- Халықаралық қатынастар
- Химия
- Экология, Қоршаған ортаны қорғау
- Экономика
- Экономикалық география
- Электротехника
- Қазақстан тарихы
- Қаржы
- Құрылыс
- Құқық, Криминалистика
- Әдебиет
- Өнер, музыка
- Өнеркәсіп, Өндіріс
Қазақ тілінде жазылған рефераттар, курстық жұмыстар, дипломдық жұмыстар бойынша біздің қор #1 болып табылады.

Ақпарат
Қосымша
Email: info@stud.kz