Кеуде қуысының зақымдануы


Кеуде қуысының зақымдануы.
Кеуде қуысының зақымдануы кезіндегі емде дәрігердің негізгі шешетін мақсаты ол қабырға мен төс сынықтары кезіндегі асқынуларды анықтау (гемо-, пневмоторакс, өкпе, жүрек соққылары, пневмония) және олардың алдын алуын жүргізу.
1. Қабырға сынықтары.
Қабырға сынықтары барлық сынықтардың 15%- н құрайды, ал кеуденің жабық жарақаттарының 67%-н.
Анатомиялық- физиологиялық ерекшеліктері. Қабырға жіңішке иілген пластинка, артқы (ұзынырақ) бөлігі сүйектен, ал алдыңғы (кеңірек) бөлігі шеміршектен құралған. Қабырғаның артқы ұштарымен - басы және буындық бетімен омыртқалармен байланысады, ал қабырға денесіндегі төмпешікпен - омыртқалардың көлдеңен буындық тесіктерімен. Қабырға иілімі төмпешіктен латеральді орналасып, қабырғаның бұрышын түзеді. Жоғарғы жеті қабырға алдыңғы ұштарымен төспен симфиздар немесе жалпақ буындар арқылы қосылады. 7-9-10 қабырғалар (жалған) төске емес, шеміршек бөлігімен алдыңғы қабырғаның шеміршегіне қосылады. 11-12 қабырғалар бос жатады.
Дем алғанда артқы бөліктерде қабырғалар айналымы жүреді, кеуде қуысы алдыңғы- артқы бөлігінде кеңейеді. Қабырғаларын көтерген кезде шеміршектердің түйіндік йілімдері түзеледі, шеміршек пен төс арасында қозғалыстар пайда болады. Шеміршек созылып және бұралады. Дем алу ағында қабырғалар төмен түседі.
Жіктелуі. Қабырғалар сынықтары-
1. жекеленген (1-2 қабырға), көптеген (3 және одан көп),
2. біржақты немесе екі жақты,
3. ығысумен және ығысусыз
4. асқынумен және асқынусыз
- Пневмоторакс- ашық, жабық, клапанды (қатайған)
- Гемоторакс- кіші, орташа, тотальді, инфицирленген, ұйыған.
- Өкпе соққысы (контузия)
- Жарақаттан кейінгі пневмония
- Еселенген сынық («флотирленген») .
Жарақат механизмі. Тікелей ұрғанда сынық күш түскен жерде болады және сынған қабырғалар саны соққының күшіне байланысты, және де жарақаттаушы заттың мөлшеріне байланысты. Тікелей емес әсер еткенде қабырғалардың сынуы күш салынған жерден алыс болады. Жарақаттаушы заттың тікелей емес әсері көптеген сынықтарды шақырады. Кеуде қуысының қысылуы алдыңғы- артқы бағытта болғанда сынықтар әдетте көптеген, қолтық асты сызықтар астында орналасқан болады.
Қырынан қысылуда қабырғалар сынығы жауырын линиясы бойымен немесе алдынан төс маңы бойымен қабырға- төс қосылыстары аймағында орналасады. Сынық кезінде қабырғаның қайта жиырылуынан алдымен ішкі капсула зақымданады, ол сүйек қабы және париетальді плеврамен тығыз жанасқандықтан жиі оларды зақымдайды. Бір уақытта висцеральді плевраның бүтіндігі өкпе жарақатымен қатар бұзылуы мүмкін.
Оконч Сынықтарда кеуде қуысының қалпы бұзылады. Дем алу кезінде, бірнеше қабырғалардың екі еселенгген сынықтардан түзілген (қабырғалық клапан) қозғалмалы сегмент ішке тартылады, ал дем шығарған кезде, кеуде қуысының көлемінен тыс шығады. Оконч сынықтарда, науқастың ауыр жағдайы қабырғалық клапанның флотирленген қозғалысынан болған тыныс алу бұзылысы мен байланысты, ол парадоксальды тыныс алуды шақырады. Зақымданған жақтағы өкпе көлемінде дем шығару кезінде басқа өкпеден ауаның түсуі әсерінен ұлғаюы парадоксальдықты негіздейді. Дем алу кезінде, оконч сынықтың ішке қарай, түсуінде өкпе көлемінде кішірейеді және ауа одан қарама қарсы жаққа ( сау жақ ) ұмтылады. Бұл жағдай қабырғалық «терезе» қозғалысының көкет аралықтың ығысуының бірігуімен қиындай түседі. Мұндай тыныс алу өкпе - жүректік жетіспеушілік, плевропульмональді шок дамуына әкеледі.
Сурет1. Қабырғалардың оконч сынығы кезінде көкет аралықтың және қабырғалалық клапанның ығысуы.
А-дем алу кезінде, б-дем шығару кезінде. .
Диагностика. Ең алдымен жарақаттың механизімен болу жағдайын анықтау керек. Дем алу, жөтел, қатты қозғалыстар кезінде күштілігі кенеттен ұлғаятын кеуде қуысындағы ауырсынуды анықтайды. Жиі науқас мәжбүр жағдайды қабылдайды, зақымдану жағына еңкейеді, кеуде қуысын қолымен көтермелейді. Тыныс алу беткей, жиі. Терең дем алуға тырысу кезінде ауырсынудың күшеюінен терең дем алу үзіледі ( « үзілген дем алу» белгісі ) .
Тері түсінің, сырылулар түсінің өзгерісі қанталаулар жарақаттаушы күштің түсу орнын көрсетеді. Сынықтың клиникалық дәл орналасуын төстен омыртқаға дейінгі қабырғаларды сипап сезу арқылы анықтайды. Ең ауырсыну нүктесі, ісіну, сықырлау тура сынықты көрсетеді. Тыныс алу бұзулуларының ауырлығы қабырғалардың сыну санына, орналасуына байланысты екі жақты бірнеше қабырғалардың сынуы әдетте тыныс алудың ауыр бұзылыстарымен қатар жүреді.
Сүйек сынықтарының сықырын болжамалы сынық орнының пальпациясы мен аускультациясы кезінде анықтайды.
Жоғарғы қабырғалардың ( 1-2 қабырға ) зақымдануы кезінде бұғана және бұғана асты тамырлардың ( артерия және көктамыр ) зақымдануы мүмкін, ортаңғы қабырғалар (3-9 қабырғалар) негізінен жүрек және өкпе жағынан асқынулар гемо-, пневмо-, гемопневмоторакс, өкпе соққысы, гемоперикардиум түрінде дамиды. Төменгі қабырғалардың ( 9-12 қабырғалар зақымдану кезінде іш қуысы мүшелері -бауыр жыртылуы көк бауыр, бүйрек т. б зақымдануы мүмкін.
Радиологиялық диагностика. Кеуде қуысының «қорытынды» рентгенаграммасын алдыңғы артқы бағытта орындайды. Рентген суретіне тек қана оның жарақаттанған жағы ғана емес, бүкіл кеуде қуысының түсуі міндетті болып табылады. Қорытыңды рентгенограмада қабырғалардың артқұы бөлігі көлденең орналасқан немесе ішінен сыртына, жоғарыдан төмен жүреді; алдыңғы бөлігі-сыртынан ішке жоғарыдан төмен жүреді. Қабырғалардың сынуын анықтау үшін әр бір қабырғаны омыртқамен байланысқан жерінен бастап, төспен байланысқан жеріне дейін бөлік бойынша мұқият қарау керек. Тек қана сүйектік зақымдануларға ғана емес сонымен қатар плевра қуысындағы мүмкін болатын бос газдармен сұйықтарға назар аударады. Қорытыңды рентгенограммада қабырғалардың сынуы рентген көленкелерінің «түсуіне» байланысты әрқашан көріне қоймайды. Қабырғалардың сынуы кезінде зақымданған қабырғалар саны қорытыңда рентгенограммада анықталғандардан көбірек деп саналады. Және диагноз қоюда клиникалық мәліметттер басты болады. Рентгендік диагнозды дәлелдеу үшін бүйір проекцияда 30 және 45 градус иілімінде рентгенограммаларды жүргізу қажет. Қабырғалардың сынығын анықтау үшін жүргізілген рентгенограммалар өкпе тінінің жағдайы туралы толық мәлімет бермейді, сол үшінде басқа тәртіптегі рентгенограммаларды жүргізеді немесе рентгеноскопия жүргізеді.
Емдеу. Оқиға болған орында алғашқы дәрігенрлік көмек көрсеткенде жансыздандыруды бұлшық ет ішілік ( анальгин+димедрол, кетонал, наркотикалық анальгетиктер) жүргіземіз. Одан кейін науқасты статционарға тасымалдаймыз.
Стационар жағдайында асқынбаған қабырға сынықтары кезінде емдеуді сынық орнын блокададан бастаймыз ( 10 мл 1% новокаин немесе лидокаин ерітіндісін сынық аймағына ) . Қосымша қабырға аралық жүйкелерді блокадалау жүргізу тағайындалады- қабырға аралық ( сурет-2 ) немесе паравертебральді блокада.
Сурет 2. Қабырға аралық жүйкелерді блокадалау.
Толық жансыздандыру кеуде қуысының экскурсиясын үлкеюімен бірге дем алу кезінде өкпенің толық жазылуына, вентиляция жақсаруына, бронхтарда жиналған шырышты шығаруға мүмкіндік береді. Бұл жарақаттан кейінгі пневмонияның алдын алуда өте маңызды. Аурсынудың ауыр қайталануында блокадалар қайта 2-3 рет жүргізілуі мүмкін.
Көптеген және өкпенің зақымдануымен асқынған сынықтарда қосымша вагосимпатикалық блокадаларды А. В. Вишневский бойынша плеропульмональді шоктің алдың алу үшін (сурет3) - 0, 25% 40-60 мл новокаин ерітіндісін ұзын инемен төс-бұғана -емізік тәрізді бұлшық еттің артқы қыры бойымен төртінші мойын омыртқасы алдыңғы бетіне дейін. Блокаданың нәтижелігі Горнер триадасының ( птоз, миоз, энофтальм) пайда болуымен дәлелденеді.
Сурет3 А. В Вишневский бойынша вагосимпатикалық блокада .
Көптеген қабырғалық сынықтар кезіндегі қатты ауырсыну синдромыңда перидуральді анестезия жүргізу нәтижелі болып табылады, перидуральді катетер арқылы анестетикті бөлшектеп енгізу арқылы пролонгирленген жансыздандыру жүргізуге мүмкіндік арқылы.
Қабырғалардың сынығы арнайы емсіз- ақ бітісіп кетеді. Басты міндет- гипостатикалық асқынулардың алдын алу мақсатында адекватты өкпелік вентиляцияны ұстап тұру. Алғашқы күннен жүргізілетін емдік физкультураның (тыныс алу гимнастикасы) маңызы өте зор. Сынықтарды кеуде қуысын қысушы таңулар арқылы « иммобилизация» гипостатикалық пневмонияның дамуына жоғары қауып тудырады және адекватты медикаментозды жансыздандыру жағдайында жүргізілмеу керек. Терезелі қабырға сынықтарын емдеу кезінде кеуде қуысының қалыпін сынған қабырғаларды сыртқы фиксаторға қосу арқылы қайта қалпына келтіріледі ( Силин шинасы, пластиктан шина, пластмассалар -сурет 4а, б) . Қабырғалардың еселенген сынығында тігетін қысқыштармен немесе металл пластиналарымен остеосинтез жүргізу де мүмкін. ( СГР-20, СРКЧ-22 аппараттарымен) . Екі жақты парастернальді сынығы фонында флотирлеуші клапан болып төс табылса, төстік тартулар 1, 5-3 кг салмақпен 2-3 аптаға жүргізілу қажет (сурет 4в) .
Сурет 4. Кеуде қуысының қалпін қайта келтіру көмегімен: а- телескопиялық Силин шинасы, б-пластмассалық шина, в-төстен тарту.
Сынықтардың бітісуі әдетте 4 аптада жүреді, еңбекке жарамдылығы 5-6 апта ішінде.
Асқынулары. Егер кеуде қуысының жұмсақ тіндерінің соғылуы, қабырғалардың сынығы көп қиындық тудырмаса, ал кеуде жарақатының қосымша асқынулары - окпе соғуы, пневмо-, гемо-, пневмогемоторакс көп назарды қажет етеді. Асқынғанқабырғаар сынығы кезінде жарақаттанғанның ауырлық жағдайын уақытында анықтаған маңызды, ол ішкі мүшелердің зақымдану сипатына байланысты болады. Кеуде қуысының асқынған жарақаттарында науқастар алғышқы тәуліктерде реанимация және қарқынды емдеу бөлімдерінде жүрек және тыныс алу жүйелерінің үнемі бақылауында, олардың бұзылыстарында түзетуші керекті шараларды жүргізу мақсатында болады (блокадалардың барлық түрлері, перидуральді анестезия, плевра қуысының пункциясы мен дренирлеуі) . Екі жақтан 12 қабырғаның барлығының сынығы кезінде кеуде қуысының бүтіндігі (каркастығы) бұзылады. Науқас өздігінен тыныс алу қозғалыстарын жүргізе алмайды және оны ЖӨЖ ауыстыру керек. Бұл жакғдайда ЖӨЖ ішкі пневматикалық фиксация қызметін атқарады.
Пневмоторакс.
Өкре тінінің зақымдануы кезінде плевра қуысына ауаның шығуы өкпенің қысылуын, дірілін щақырады.
Пневмоторакстың негізгі клиникалық белгілері:
Аускультативті- везикулярлы тыныстың әлсіреуі және жоғалуы. Перкуторлы- тимпанит анықталады.
Тері астылық эмфиземаның болуы- плевра қуысында қысымның жоғарылауында ауа қабырға бөлшектерімен зақымдалған париетальді плевра арқылы тері асты қабатына өтеді (тері астылық эмфизема), ал көкет аралықтың зақымдануы кезінде тері астылық эмфизема біріншілік қабырғалар зақымдалған орын астында түзіледі, ал мойын аймағында пальпаторлы тері астында ауаның «жалжуы»ғ аускультативті- «қар сықыры» анықталады. Тері асты эмфиземасының өлшемдері жергіліктіден толыққа аяқтарға, мойынға, бетке, дейін әр түрлі (сурет 5) .
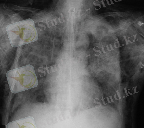
Пневмоторакстың рентгенологиялық белгілері-
- Тері астылық эмфизема- қорытынды рентгенограммада «қабатталған қамыр» түрінде көрінеді (сурет 6), толық тері асты эмфиземасында қабырғалар құрылымы, өкпе тіні нашар жіктеледі, үлкен кеуде бұлшықеті бойымен радиальді «сәулелер» анықталады (сурет 7) .
- өкпеліе суреттің жоғалуымен «ағару» аймақтары (сурет 8)
- өкпе шеті анықталады (сурет 8) .
![]()
Сурет 5. Дене, мойын, беттің толық тері асты эмфиземасымен науқастың типті түрі.
Сурет 6. Кеуде қуысының қорытынды рентгенограммасында пневмоторакс кезіндегі тері асты эмфиземасы.
Сурет 7. Толық тері асты эмфиземасы кезіндегі қорытынды рентгенограмма. Қабырға құрылымдары, өкпе тіні нашар жіктеледі, үлкен кеуде бұлшықеті бойымен радиальді «сәулелер» көрінеді.
![]()
Сурет 8. Пневмоторакс кезінде қорытынды рентгенограмма:
Сызықтармен өкпе суреті және өкпе шеті жойылған «ағарған» бөліктері көрсетілген.
Ашық пневмоторакс кезінде плевра қуысындағы ауа жара арқылы атмосфералық ауамен байланысады. Біріншілік дәрігерге дейінгі көмек ретінде жедел жәрдем дәрігерлері жараға стерильді ауа өткізбейтін таңғыш салады. Стационарлық жағдайда жараны БХӨ жүргізіп, герметикалық тігіс салады.
Теріасты эмфиземасының үлкен аймаққа жайылуы, ентікпе, тахикардия ішкі қақпақшалы пневмоторакстың дамуын дәлелдейді. Бұл кеуде қуысы жарақаттарының ішіндегі ең ауыр пневмоторакс түрі. Әр дем алған сайын өкпе тінінен плервра қуысына сорылады, ал дем шығаруда қақпақша жабылады да қысым жоғарылап, көкірек қуысының қан тамырлары қисайып, ығысады - кернеулі пневмоторакс. Тыныс және жүрек-қан тамыр жетіспеушілігі дамып, плевропульмональді шок дамуына қауіп төнеді. Бұл өмірге қауіп төндіретін жағдайды көпке созбай қарқынды емді тез арада бастау керек, біріншілік көмек ретінде плевра қуысын Петров әдісімен дренаждау, ал стационарға жеткізілгеннен кейін Бюлау дренажына ауыстыру қажет.
... жалғасы- Іс жүргізу
- Автоматтандыру, Техника
- Алғашқы әскери дайындық
- Астрономия
- Ауыл шаруашылығы
- Банк ісі
- Бизнесті бағалау
- Биология
- Бухгалтерлік іс
- Валеология
- Ветеринария
- География
- Геология, Геофизика, Геодезия
- Дін
- Ет, сүт, шарап өнімдері
- Жалпы тарих
- Жер кадастрі, Жылжымайтын мүлік
- Журналистика
- Информатика
- Кеден ісі
- Маркетинг
- Математика, Геометрия
- Медицина
- Мемлекеттік басқару
- Менеджмент
- Мұнай, Газ
- Мұрағат ісі
- Мәдениеттану
- ОБЖ (Основы безопасности жизнедеятельности)
- Педагогика
- Полиграфия
- Психология
- Салық
- Саясаттану
- Сақтандыру
- Сертификаттау, стандарттау
- Социология, Демография
- Спорт
- Статистика
- Тілтану, Филология
- Тарихи тұлғалар
- Тау-кен ісі
- Транспорт
- Туризм
- Физика
- Философия
- Халықаралық қатынастар
- Химия
- Экология, Қоршаған ортаны қорғау
- Экономика
- Экономикалық география
- Электротехника
- Қазақстан тарихы
- Қаржы
- Құрылыс
- Құқық, Криминалистика
- Әдебиет
- Өнер, музыка
- Өнеркәсіп, Өндіріс
Қазақ тілінде жазылған рефераттар, курстық жұмыстар, дипломдық жұмыстар бойынша біздің қор #1 болып табылады.

Ақпарат
Қосымша
Email: info@stud.kz