Сойып ашу хаттамасы. Хаттаманың кіріспе бөлімі


КІРІСПЕ
Қазақстан Республикасының егеменді ел болу кезеңінде әлеуметтік - экономикалық реформаны дамытуға ветеринарияның маңызы зор. Әлеуметтік экономиканы қайта құру нәтижелі ұйымдастыру деңгейіне байланысты. Ветеринария ісін ұйымдастыруды нашар жүргізу - шаруашылық ісінің бұзылуына, малдан алынатын өнім сапасының төмендеуіне, мал басының кемуіне және әр түрлі індет ошақтарының пайда болуына әкеп соқтырады.
Республикадағы ветеринарлық істің жағдайы әлеуметтік - экономикалық реформаларға байланысты. Оған жататындар: қоғамдық құрылыс, өндіріс деңгейі, ғылым мен мәдениеттің дамуы, жоғары және арнаулы орта ветеринарлық мекемелерді, өнеркәсіпті және ауыл шаруашылығын білікті мамандармен қамтамасыз ету, сонымен қатар материалдық - техникалық жағынан дұрыс жабдықтау. Мысал ретінде ветеринарлық заңдар ережесі, нормативтік құқықтық құжаттар, білікті мамандарды даярлау, әр түрлі ветеринарлық қызметке арналған құрал - жабдықтар, препараттар, дәрі - дәрмектер мен аспаптар жасау, ветеринарлық басқару қызметін жаңа құрамда қайта құру, мал шаруашылығындағы объектілерге қатаң түрде ветеринарлық санитариялық бақылау жасау және адам мен малға ортақ ауруларға қарсы тиімді күрес шараларын жүргізу сияқты жұмыстар атқарылып жатқаны мәлім. Ветеринария ісін ұйымдастыруда жіберілген қателіктер- шаралардың бұзылуына, малдардан алынатын өнім сапасының төмендеуіне, мал басының кемуіне және әртүрлі індет ошақтарының пайда болуына әкеп соқтырады. Ветеринария ісінің төмен деңгейде болуы малдың ауруын орасан зор экологиялық зиян шегуне, індеттермен күресуге қомақты шығын жасауға мәжбүр етеді. Еліміздегі ветеринария ісінің жағдайын нығайту үшін ҚР үкіметі және мемлекеттік ветеринария ұйымдары соңғы уақытта көптеген құқықтық-нормативтік құжаттар қабылдады. Соның бірі 25 шілде 1995 жылы
қабылданып, ҚР Ветеринария туралы заңы және қазіргі заман талаптарына сай 10-шы шілде 2002жылы қабылданып, жаңа заң Үкімет тарапынан мемлекеттік және жеке меншік кәсіпкерлік ветеринарлық қызыметінің құрылымын жетілдіру, мамандар дайындау сапасын арттыру, материалдық-техникалық, ветеринарлық-санитарлық жағдайына, шаралардың тиімділігіне қатаң талап қою сияқты жұмыстар жүргізілуде. Ветеринария ісінің арнайы шаралар жүйесі ретінде халық шаруашылығына немесе экономикалық зор маңызы бар. Мәселен, ветеринарлық қызыметтің тікелей қатысуымен мал ауруларнын сақтандыру, малдан сапалы өнім алу қамтамасыз етіледі.
Ал, ветеринарлық әлеуметтік маңызы -оның халықты зооантропонозды аурулардан сақтау, қорғау шараларын жүргізуде көрінеді.
1 . Сойып ашу хаттамасы
- Хаттаманың кіріспе бөлімі
Мал түрі - қашар
Малдың жынысы - ұрғашқы
Жасы - 2
Түсі - қара ала
Салмағы - 230 кг
Өлген күні - 01. 11. 2017
Мал иесінің аты - Муратбаев Н. Н.
Мал иесінің мекен-жайы - Қостанай қаласы, Дерзжинск көшесі 19 үй
1. 2 Анамнез
Мал иесінің айтуы бойынша аурудың алғашқы күндері жоғарғы температура 41 - 42ºC-қа дейін және одан да жоғары байқалған, тыныс алуы жиіліген. Өкпесінен сырыл естіледі. Төсенішке жасырынады, азыққа бармайды, қиналып тұрды. Аурудың дамуына байланысты әлсіздік күшейген, бөксенің тәлтіректеушілігі байқалады. Басында іштің жүрмеуі байқалған, қазір қан аралас іш өтуде. Көздің дәнекер қабығы қызарып кеткен, көздің қабығында құрғайтын ағулар бар. Бұған дейін шаруашылықта ешқандай малда осындай ауру белгісі байқалмаған. Қашар үш күн бойы қиналып өлді. Клиникалық болжамды диагнозы - альтернативті қабыну белгілері бар пневмония. Сойып ашу жұмыстары 2017 жылдың 02. 11 сағат 14. 00 де, Қостанай ауданының ветеринарлық зертханасында жүргізілді.
1. 3 Сыртқы көріністері
Көздің дәнекер қабығы қызарған, малдың іші домбыққан, ауызынан көбік аққан, мойын лима түйіндері ісінген, орнынан қозғалып тұрады, қатайып кеткен. Ішін басқанда жұмсақ, бауыр беткейі қатты.
1. 4 Патологиялық - анатомиялық немесе ішкі көріністер
Паренхиматозды торшаларда дистрофиялық өзгерістер мен некроз байқалады. Олар түйіршікті, вакуольді шырышты дистрофия, майлы дистрофия. Кілегей қабықтарында эпителийлердің түсуі байқалады (десквамативті катар) . Экссудативті өзгерстер гиперемия түрінде, ал пролиферативті - бөгде дәнекер - ұлпалы торшалардың көбеюі түрінде көрінеді. Өкпесінде пневмония ошақтары бар. Паренхиматозды ағзаларында, ішек қарын жолдарында некрозды ошақтар анықталды.
1. 5 Зертханалық зерттеулердің нәтежиелері
Зертханаға өлген сиырдың паренхиматозды ағзаларын жібердік. Патологиялық-анатомиялық зерттеу нәтежиелері бойынша альтернативті қабыну белгілері бар, басқа ағзаларға метастазаланған өткір-созылмалы пневмония диганозы қойылды.
1. 6 Қортынды
Зертханалық зерттеулердің қортындысы, ашып сою нәтежиелері бойынша қабынуға балау қойылды. Клиникалық көрінісі айқындалып, зерттеу нәтежиесі бойынша пат. ашып сою нәтежиесі дәлелденді. Аурудың себебі өткір-созылмалы метастазаланған пневмония екендігі анықталды жәнеде асқазан ішек жолдарында қабыну салдарының клиникалық көрінісі анықталды.
1. ӘДЕБИЕТКЕ ШОЛУ
1. 1 Қабынудың морфологиялық сипаттамасы
Қабыну (лат. inflamatio) - биологиялық, химиялық, физикалық және басқада факторлардың әсерінен туындаған, ағзаның функционалдық және биохимиялық бұзылысымен сүйемелденетін, альтерациямен, тамырлы реакциямен және пролиферациямен сипатталатын ұлпаның зақымдалуына деген күрделі тамырлық-ұлпалық, жергілікті жауап реакциясы. 1. Қызару қабыну ошағында артериальді гиперемияның дамуына байланысты.
2. Қызу жылы қан күшінің ұлғаюына, метобализмнің активациясына, биологиялық ашу үрдісінің бөлектенуіне негізделген 3. Ісік (ісіну) қабыну ошағында эксудация мен ісінудің дамуынан, ұлпалық элементтердің ісінуінен және тамыр арнасының сумарлық диаметрінің ұдғаюынан туындайды. 4. Ауыруы - жүйке ұштарының әр түрлі биологиялық белсенді заттардан тітіркенуі (гистамин, серотин, брадикинин және т. б. ) ортаның белсенді реакциясын қышқыл ортаға жылжыту, осмостық қысымның көтерілуі мен ұлпалардың механикалық созылуы немесе жылжуы салдарынан дамиды. 5. Қабынған ағза функциясының бұзылуы оның нейроэндокриндік регуляциясының бұзылуына, аурудың дамуына, құрылыстық зақымдалуға байланысты.
ЭКЗОГЕНДІК ФАКТОРЛАР
Қабыну деп жануарлардың даму сатыларында пайда болған, жергілікті бүлінуге жауап ретінде дамитын, микроциркуляциялық арналардың, қан жүйесінің, дәнекер тіннің бүліндіргіш әсерді шектеп аластауға, бүлінген тінді қалпына келтіруге бағытталған сатылы өзгерістерімен көрінетін біртектес дерттік үрдісті түсінеді.
Қабыну өзіне тән ішкі заңдылықпен дамиды және алдыңғы сатысы кейінгілерінің пайда болуына әкеледі. Қабынудың дамуында жергілікті механизмдер нервтік-эндокриндік реттеу жүйелерінің әсерлерінен басымырақ байқалады. Бірақ қабыну басқа біртектес дерттік үрдістермен (дене қызуымен, аллергиямен, стреспен, иммундық серпілістермен) тығыз байланысты болғандықтан организмнің, жергілікті ғана емес, жалпы серпілістерін көрсетеді. Қабыну үрдісі кез келген жағдайларда үш құбылыстан (компоненттен) : әлтерациядан, микроциркуляцияның бұзылыстары мен экссудациядан және пролиферациядан тұрады. Қабынудың бұл құбылыстары жиі бір мезгілде пайда болады. Бірақ, қабынудың алғашқы құбылысы болып әрқашан бірінші әлтерация есептеледі, ал пролиферация қабынудың соңғы сатысына тән. Қабынудың сыртқы белгілері өте ертеден белгілі. Оларды Цельс пен Гален бұдан 2000 жылдай бұрын жазып қалдырған. Оларға домбығу (tumor), қызару (rubor), қызу (color), ауыру (dolor) және қызметінің бұзылуы (function laesa) жатады.
Ағзадағы қабыну ағзаның латын атауына -ит жалғауын қосу арқылы аталады. Мысалы, ішектің қабынуын энтерит дейді. Бірақ, бұдан басқалары да бар. Мысалы, жұтқыншақтың қабыну ангина («ангис» - жан деген сөзден) дегенді білдіреді, өкпенің қабынуы - пневмония. Ірің жиналған бірнеше қуыстардың қабынуын эмпиема дейді. Мысалы, бүйрек астауының эмпиемасы және т. б.
Лимфа түйіндерінің қабынуын лимфаденит, ал лимфа тамырларының қабынуын лимфангит деп атайды. Егер қабыну тамырдың ішкі қабығының ғана қабынуымен шектелсе, артерияның қабынуын - эндоартериит деп атайды. Артерияның ортаңғы қабатының қабынуы - мезоартериит, венаның қабынуы - флебит. Сүт безінің қабынуы - мастит, жатырдың кілегей қабығының қабынуы - метрит. Ағзаның кілегей қабатының зақымдалуы пери жұрнағымен аталады: перинефрит, периметрит, перигепатит. Ағзаның маңайындағы ұлпалардың зақымдалу ауруларына пара жұрнағын қосу арқылы атайды: паранефрит, парагепатит және т. б. Сүйек пен сүйек кемігінің қабынуын остеомиелит дейді. Түкті фолликулалардың, май безінің және оған жақын жатқан ұлпалардың іріңді қабынуын фрункула, ал бірнеше фурункулалардың бірігуін карбункула деп атайды.
Қабыну үрдісі өткір, өткірлеу және созылмалы ағымды болуы мүмкін. Өткірлеу ағымы - аралық формасы - өткір үрдіске жақын. Өткір қабыну үрдісі кезінде барлық клиникалық белгілер байқалады, оның цикілі тез өтеді. Өткірелу ағым кезінде барлық клиникалық белгілері білінеді, бірақ кейбіреулері болмауы мүмкін. Қабынудың созылмалы үрдісі кезінде кейбір белгілер (қызару, дене температурасының көтерілуі) болмайды, ал қалғандары анық көрінеді. Зақымдалудың ауқымдылығына байланысты пролиферативті қабынуды екі түрге бөледі: диффузды және гранулематозды. Диффузды пролиферативті қабыну үрдісі ағзаның ауқымды аумақтарына таралады. Гранулематозды қабыну ошақты зақымдалумен сипатталады. Диффузды пролиферативті қабынудың себебі - біркелкі әлсіз. Созлымалы әсер етуші факторлар: шіріген, ашыған, қышқыл азықтық өнімдер, бруцеллез, актиномикоз, гельминт қоздырғыштары және т. б. Гранулематозды қабыну инфекциялық - аллергиялық (туберкулез, маңқа, бруцеллез, сальмонеллез және басқалары), инвазиялық (трихинеллез, строгилидоз, және т. б. ) аурулар кезінде байқалады. Қабыну үш түрлі компоненттерден тұрады: альтерация, экссудация және пролиферация.
Альтерация (лат. Alteratio - өзгеріс) деструкция, ұлпаның зақымдалуы. Біріншілік альтерация - бұл ауру тудырғыш (физикалық, химиялық, биологиялық) факторлардың әсер ету нәтежиесінде болатын зақымдалу. Оның нәтежиесінде ақуыздарға, майларға, көмірсуларға бұзушы әсер ететін лизоцим босайды. Екіншілік альтерация - бұл зат алмасудың бұзылуына әкеп соқтыратын, ұлпаларға ыдырау өнімдерінің, қабыну медиаторларының үлкен мөлшерде жинаоуы нәтежиесінде болатын ұлпаның зақымдалуы. Қабыну ошағында тамырлы реакция дамиды, ол сипатталады: - норадреналин медиаторларының бөлінуі, симпатикалық жүйкенің қозуы (тітіркенуі) нәтежиесінде тамырлардың қысқа уақыттық рефлекторлы құрысуымен; - қабыну медиаторларының жиналуына байланысты, қан ағысының баяулауы салдарынан тамырлардың кеңеюі; - тамыр қабырғасы мөлдірлігінің ұлғаюы: - қан айналымдағы лейкоциттердің қайта бөлінуімен, ол сүйемелденеді: а) олардың тамыр қабырғаларына жақындауы; б) олардың биологиялық белсенді заттармен активациялануы; в) тамыр қабырғалар арасындағы қуат айырмашылықтарының туындауы және кальцилі көпірдің пайда болуы.
Экссудация (лат. exsudare - терлеу) - құрамында ақуызы бар қанның сұйық бөлімдерінің тамыр қабырғасы арқылы қабынған ұлпаға ағуы. Экссудация механизмі: 1. Қабыну медиаторларының әсер етуі нәтежиесінде тамырдардың (вена, капиллярлар) өткізгіштігінің жоғарлауы; 2. Гиперемия салдарынан қабыну ошағындағы тамырлардың қан қысымының (фильтрациялық) ұлғаюы; 3. Альтерация нәтежиесінде қабынған ұлпаларда осмотикалық және онкотикалық қысымның өсуі. Сапалық құрамына байланысты экссудаттардың келесі түрлері болады: -Серозды - мөлдір сұйықтық, нейтрофилдердің аздаған мөлшерімен және құрамында біркелкі ақуыздардың (3-4%) болуымен сиптталады. Салыстырмалы салмағы 1015 - 1020; -Катаральді (кілегейлі) - секреторлық антиденелердің (lgA) және мукоплоисахаридтердің көп мөлшерде болуымен сипатталады; -Фибринозды - құрамында көп мөлшерде фибриногендердің болуымен ерекшеленеді;
Ие болатын компоненттері
бойынша қабынудың жіктелуі
Альтеративті Экссудативті Пролиферативті
Қабынуды тудыратын себептерінің
анықталуы бойынша
Спецификалық Спецификалық емес (банальді)
Орналасуы бойынша
Паренхиматозды Интерстициальді Аралас
Ағымы бойынша
Өткір (2 айға дейін) Өткірлеу(5 айға дейін) Созылмалы(6-8 ай)
- Геморрагиялық - қызғыл немесе қызыл түсті, құрамында эритроциттердің болуымен сипатталады; -Аралас экссудат ағзаның қорғаныш күшінің әлсіреуі және оның салдарынан екіншілік инфекцияның қосылуы түрінде байқалады; -Іріңді - жасыл реңді, күңгірт экссудат, құрамында глобулиндердің, альбуминдердің, ұлпалардың аутолизге ұшырау өнімдерінің, ферментердің, іріңді денелердің, өлген нейтрофилдердің көп мөлшерде болуымен сипатталады. Пролиферация (лат. Proliferatio - көбею) - әр түрлі ұлпалық компоненттер қатысатын торшалардың жергілікті көбеюінен тұрады. Осы үш компоненттердің біреуінің білінуі дәрежесіне байланысты алттеративті, экссудативті және прлиферативті түрлерге бөледі.
1. 1. 1 Альтеративті қабыну
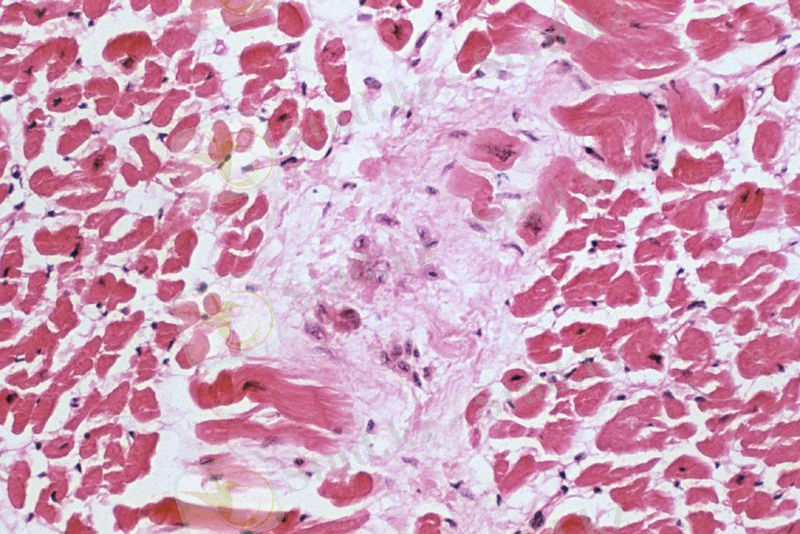
Альтеративті қабыну әдетте паренхиматозды ағзаларда, бас миы мен жұлында, перифериялық жүйкелерде пайда болады. Альтерациялық қабыну кезінде паренхиматозды ағзалар борпылдақғ күңгірт болады, кескен кезде пісукен еттің түріндей болады. Себебі: Альтеративті қабыну ұлпалық алмасудың терең бұзылуын тудыратын факторлардың әсерінен дамиды. Бұл, әдетте, ұзақ әсер етуші химиялық заттар, ұлпаның некроздалуына дейін (некроздаушы қабыну), зат алмасудың ауыр бұзылысын тудыратын токсикоинфекциялар мен гиперэргиалық реакциялар. Альтеративті қабынудың мысалдары альтеративті миокардит және альтеративті нефрит, вирусты энцефалит, полиомелит, өткір гепатит, ас қазанның өткір жарасы бола алады. Кейде, қабынудың бұл түрі баяу типтегі гипер сезімталдылық реакциясымен пайда болуы мүмкін.
Сурет 1. Миокардтағы альтернативті қабыну
Ағымы бойынша 2 түрге бөлінеді: өткір және созылмалы. Өткір формасы кезінде паренхиматозды торшаларда дистрофиялық өзгерістер мен некроз болады. Жиі түйіршікті, вакуольді шырышты дистрофия, майлы дистрофия. Кілегей қабықтарында эпителилердің түсуі байқалады (десквамативті катар) . Экссудативті өзгерстер гиперемия түрінде, ал пролиферативті - бөгде дәнекер - ұлпалы торшалардың көбеюі түрінде көрінеді. Өткір формасының мысалдарына жатады: қауіпті аусыл кезінде өткір альтеративті миокардит, туберкулез кезінде казеозды пневмония және т. б. Созылмалы формасы кезінде әлсіз токсинді факторлардың (азықтық интоксикация және токсикоинфекция) ұзақ уақыт әсер етуі салдарынан атрофиялық өзгерістерге ие болады. Патогенезі терең метаболикалық бұзылыстармен және пролиферативтік құбылыстармен сүйемелденетін, ағзаның паренхиматозды элементтеріне патогенді факторлардың тікелей әсер етуіне байланысты. Өткір ағым кезінде макроскопиясында паренхиматозды ағзалар (бауыр, бүйрек және т. б. ) ұлғайған, борпылдақ, күңгірт, гиперемияланған немесе түзу емес көрінетін тамыр реакциялы және ала бейнелі (қою-қызыл және сұр-сары аумақты), кейде жеке қанталаулары болады. Жүрек бұлшық еттерінің беткейлік кесіндісінде жолбарыс терісінің суретіне ұқсас болады (өткір миокардит кезінд жолбарысты жүрек) . Өкпесі казеозды пневмония жағыдайында. Лимфа түйіндері - сәулелі казеозды лимфаденитті. Созылмалы ағым кезінде ағзалардың көлемі ұлғайған, тығыз, капсулалы. Кескен кезде сұр-қызыл және сұр - ақшыл аумақтары және ұзарған дәнекер ұлпалары байқалады. Өткір кезеңде гистологиясы байқалады, ең бастысы дистрофиялық (көмірсулы, түйіршікті және гидротикалық дистрофия, майлы декомпозиция, кілегей қабықтар эпителилерінің кілегейлі дистрофиясы) және некротикалық үрдістер, эпители қабаты түсіп қалады. Тамырлы реакциясы қабынған гиперемия және ісік түрінде әлсіз көрінеді, кейде диапедезді түрдегі қанталаулар байқалады. Жас дәнекер ұлпалы торшалардың пролиферациясы білінеді. Созылмалы ағым кезінде паренхиматозды торшалардағы атрофиялық үрдістер дәнекер ұлпасының паренхимасымен байланысқан. Ақыры қабынған ағзаның зақымдалу дәрежесіне, ұлпаның зақымдалу тереңділігіне және оның функциональдық маңыздылығына байланысты. Жеңіл дәрежелері ешқандай ізсіз өтеді, ұлпалары толық қалыпқа келеді. Жүйке ұлпаларындағы альтеративті қабыну кезінде және миокардтағы болжамы, әдетте қолайсыз болады. Одан басқа, қабынудың ақыры зақымдалу дәрежесіне және зақымдалған ағза түріне байланысты. Әсіресе, жүйке жүйесі мен миокардтағы альтеративті қабыну қауіпті. Ол жиі, дәнекер ұлпасының өсіумен және оның паренхимасымен байланысуымен қабыну үрдісінің толық емес түрі бойынша аяқталады. Егер өлім болмаса, өлі ұлпа дәнекер ұлпасымен бірігеді (склероз) . Қазір көптеген қабыну дамуына қатысатын биологиялық белсенді заттар зерттелген. Оларды: жасушалардан пайда болатын (жасушалық) дәнекерлер және қан плазмасында болатын (гуморалдық) - медиаторлар деп екі топқа бөледі. Жасушалық медиаторларға гистамин, серотонин, лизосомалық ферменттер, катиондық нәруыздар, лимфокиндер, простагландиндер, циклдік нуклеотидтер жатады. Қан плазмасында калликреинкининді, комплемент және қан ұю жүйесіне қатысатын заттар болады және олар әсерленеді, қабыну дамуына дәнекерлер болады. Гистамин мес жасушаларда немесе лаброциттерде гепаринмен және химазамен байланысқан әсерсіз түрде болады. Бос күйінде ол ұсақ тамырларға (капиллярлар, венулалар), олардың кемерлерінің өткізгіштігін көтеріп, кеңітетін әсер етеді. Гистамин аз мөлшерде артериолаларды кеңітеді, ал көп мөлшерде - венулаларды жиырады.
Серотонин қабынудың келесі жасушалық медиаторы болып саналады. Ол адамда тромбоциттерде, ішектің шырышты қабығының хромафиндік жасушаларында, сонымен қатар мидың кейбір нервтік құрылымдарында болады. Жасушалардың бүлінуі кезінде серотонин сыртқы ортаға шығып, тамырлардың өткізгішгігін жоғарылатады. Мес жасушалары мен базофильдерден гепарин босайды. Ол капиллярлардың ішкі қабатында фибриннің құрылуына бөгет жасайды, қан ұю үрдісін тежеп, гистаминді байланыстырып, комплементті тежеп, қабынуға қарсы ықпал етеді. Фагоциттердің катиондық нәруыздары тамыр кемерлерінің өткізгіштігін көтереді, зат алмасуды күшейтеді және бактерицидтік әсер етеді. Лимфокиндер - лимфоциттерде болатын пептидтері қабыну медиаторларына жатады. 10-нан астам лимфокиндердің түрлері белгілі. Простагландиндер. Олар қан тамырларын кеңітеді, экссудацияға, хемотаксиске әкеледі, қан ұю үрдістерін кейде қарма-қарсы бағыттарда өзгертеді. Арахидон қышқылы гиперергиялық (аллергиялық) қабынудың қуатты дәнекерлері және экссудацияға, хемотаксиске, тамыр кемерлерінің кеңуіне әкеледі; бронхиолардың тегіс еттерін жиырылтады.
1. 1. 2 Экссудативті қабыну
Экссудативті қабыну - қабынудыңекінші экссудативті фазасын иеленумен, тамырлық өзгерістердің (гиперемия, лейкоциттердің көшуі, экссудация) дамуымен сипатталады. Капилярлар мен венул қабырғаларының зақымдалу дәрежесі мен медиаторлардың әрекет ету қарқындылығына байланысты түзілетін экссудаттардың сипаты әр түрлі болуы мүмкін. Тамырлардың жеңіл зақымдалуы кезінде қабыну ошағына тек төмен молеклалы альбуминдер сіңеді, ауыр зақымдалу кезінде экссудатта ірі молеклалы глобулиндер пайда болады, кейін, фибриногеннің ірі молеклалары фибрин ұлпаларына айналады. Экссудат құрамына тамыр қабырғасы арқылы көшетін қан торшалары және зақымдалған ұлпаның торшалық элементтері енеді. Олай болса, патологиялық үрдістің дәрежесіне байланысты экссудат құрамы әр түрлі болуы мүмкін. Экссудативті қабыну көп жағыдайда өткір түрде өтеді. Экссудативті факторлардың жіктелуінде екі факторлар есепке алынады: экссудат сипаты және үрдістің орналасуы. Экссудаттың сипатына байланысты ажратады:
- Серозды
- Катаральді (серозды, кілегейлі және іріңді)
- Фибринозды (крупозды, дифтеретикалық)
- Іріңді/ шіріткіш (флегмона, абцесс, карбункул, фурункул)
- Геморрагиялық қабыну
- Аралас қабыну
Серозды қабыну - құрамында 3-5% ақузы бар ұйымайтын сұйық экссудаттың тамырлардан бөлінуімен сипатталады (альбуминдер, глобулиндер) . Серозды қабыну формалары: серозды - қаьбынған ісік, серозды - қабынған шемен ауруы, буллезды формасы. Кілегей қабықтарда үрдістің орналасу ерекшелігін экссудативті қабынудың бір түрі - катаральді қабынудың дамуы анықтайды. Катаральді қабыну (грек. katarrheo - ағамын) кілегей қабықтарда дамиды және шырышта экссудаттың болуымен сипатталады. Себептері: тітіркенудің барлық түрлері (механикалық, химиялық, инфекциялық, инвазиялық және т. б. ) . Эксудаттарда сол немесе бөгде бөліктердің (серозды сұйықтық, лейкоциттер, шырыш, түскен эпителлилер) болуына байланысты катаральді қабыну келесі формаларға бөлінеді: серозды катар, шырышты катар, іріңді катар. Ағымы бойынша өткір және созылмалы болады. Катаральді қабынудың ағымы өткір және созылмалы болуы мүмкін. Өткрі катаральді қабыну инфекция қатарлары ұшін тән, әсіресе, өткір респираторлы вирустық инфекциялар үшін, осы кезде катар түрлерінің ауысуы байқалады - серозды катар шырышпен ауысады, кейін іріңдіге, ауыр жағыдайларда - іріңді - геморрагиялық. Созылмалы катаральді қабыну инфекциялық ауруларда да (созылмалы іріңді катаральді бронхит), сондай-ақ, инфекциялық емес ауруларда да (созылмалы катаральді гастрит) кездесуі мүмкін. Кілегей қабықтардағы созылмалы қабыну атрофи ме гипертрофияның дамуымен бірге, эпителиалды торшалардың регенерациясының бұзылуымен сүйемелденеді. Бірінші кезеңте қабықтар жіңішке және жазық болады, екінші кезекте жуандайды, беткейі қисықтанады, шел аурулары түрінде ағза саңылауларында ісінуі мүмкін. Өткір катаральді қабыну 2-3 аптаға дейін созылады және толық сауығумен аяқаталады. Созылмалы катаральді қабыну кілегей қабықтарда атрофия және гипертрофияның дамуымен қауіпті. Фибринозды қабыну ұлпалардан торшалар немесе талшықты масса түрінде түсетін, құрамында фибриноген ақуыздары бар экссудаттардың тамырлардан ағуымен сипатталады. Фибриннің түрі серпімді, жартылай мөлдір, сары - сұр массалы. Себептері: инфекциялық аурулардың қоздырушылары (ірі қара малдардың перипневмониясы, пастереллез, сальмонеллез, шошқа обасы, қауіпті катаральді қызба және т. б. ) . Фибринозды қабынудың екі негізгі формасы ажыратылады: крупозды және дифтериялық. Дифтериялық қабыну ағза ұлпасына терең өсетін, фибринозданумен сипатталады. Қабықшасын алған кезде, олардың астында жара түріндегі ақаулар түзіледі. Іріңді қабыну құрамында көп мөлшерде лейкоциттер болатын (іріңді денелер), іріңде экссудаттың пайда болуымен сипатталады . Экссудаттардың басқа түрлеріндегі секілді ірің негізін серозды сұйықтық құрайды. Одан басқа, ірің құрамында торшалар мен жергілікті ұлпаның ыдырау өнімдері болады. Себептері: микроағзалар, жиі кокктар, сондай-ақ, ұлпаға енген химиялық заттар (кретонды майлар, скипидарлар және т. б. ) .
Іріңді қабыну формасы: абсцесс, эмпиема, флегмона.
Түрлерге бөлінеді:
Шектелген
... жалғасы- Іс жүргізу
- Автоматтандыру, Техника
- Алғашқы әскери дайындық
- Астрономия
- Ауыл шаруашылығы
- Банк ісі
- Бизнесті бағалау
- Биология
- Бухгалтерлік іс
- Валеология
- Ветеринария
- География
- Геология, Геофизика, Геодезия
- Дін
- Ет, сүт, шарап өнімдері
- Жалпы тарих
- Жер кадастрі, Жылжымайтын мүлік
- Журналистика
- Информатика
- Кеден ісі
- Маркетинг
- Математика, Геометрия
- Медицина
- Мемлекеттік басқару
- Менеджмент
- Мұнай, Газ
- Мұрағат ісі
- Мәдениеттану
- ОБЖ (Основы безопасности жизнедеятельности)
- Педагогика
- Полиграфия
- Психология
- Салық
- Саясаттану
- Сақтандыру
- Сертификаттау, стандарттау
- Социология, Демография
- Спорт
- Статистика
- Тілтану, Филология
- Тарихи тұлғалар
- Тау-кен ісі
- Транспорт
- Туризм
- Физика
- Философия
- Халықаралық қатынастар
- Химия
- Экология, Қоршаған ортаны қорғау
- Экономика
- Экономикалық география
- Электротехника
- Қазақстан тарихы
- Қаржы
- Құрылыс
- Құқық, Криминалистика
- Әдебиет
- Өнер, музыка
- Өнеркәсіп, Өндіріс
Қазақ тілінде жазылған рефераттар, курстық жұмыстар, дипломдық жұмыстар бойынша біздің қор #1 болып табылады.

Ақпарат
Қосымша
Email: info@stud.kz