Қалқанды бездер


МАРАТ ОСПАНОВ атындағы БАТЫС ҚАЗАҚСТАН
МЕМЛЕКЕТТІК МЕДИЦИНАЛЫҚ УНИВЕРСИТЕТІ
Мамандығы: Жалпы медицина
Пәні: Гистология - 2
Кафедрасы: Гистология, цитология және эмбриология
Курсы: 2
Тақырыбы: Жайылмалы эндокринді жүйе
Орындаған: Базарбаева А. А,
Топ : 202 «А»
Қабылдаған: Бердалинова А. К
Ақтөбе 2018 жыл.
Жоспар
I. Кіріспе
II. Негізгі бөлім
- Эндокринді жүйеге сипаттама
- Эндокринді жүйелер жіктелісі
- Ортаңғы мүшелер: Гипаталамус, Гипофиз, Эпифиз
- Шеткі мүшелер:Қалқанша және бүйрек үсті бездері
- Аралас бездер: - эндо-экзокринді кызмет аткаратын бездер: гонадалар
III. Қорытынды
Қолданылған әдебиеттер
Кіріспе
Организм функциялары нерв және эндокринді жүйе арқылы реттеліп тұрады. Эндокринді жүйе бұл реттеуші жүйенің эфференттік звеносы болып табылады және ішкі ортаны қалыпты жағдайда сақтайды. Бұл қызмет эндокринді жүйенің қанға бөлініп шығатын гормондары арқылы атқарылады. Бұл органдардың белсенділігінің өзгеруі олардың құрылысы өзгеруімен жүреді, сонымен қатар керісінше олардың құрылысының бұзылуы өндіретін гормондарының мөлшерін өзгертеді. Осы тақырыптан алынған білім студенттер үшін гормоналды реттеу бұзылуларын түсінуге қажет.
Эндокриндік жүйе
Эндокриндік жүйе - ағзаның гуморальды реттелуінде маңызды рөл атқарады. Бұл жерде гуморальды реттелу дегеніміз - қанның құрамындағы гормондар және минералдық заттардың әсерлері арқылы организм қызметінің реттелуі. Ол ағзаның ішкі ортасына арнаулы биологиялық белсенді заттарды бөліп шығарады. Ішкі секреция бездері шығарған заттар гормон деп аталады. Бездер бөлген гормондар қанның ағысымен ішкі мүшелерге және мүшелер жүйелеріне келіп, олардың жұмысына әсер етеді
Эндокринді гормондар табиғаты негізінен құрамындағы қосылыстарға байланысты:
а) аминқышқылды (олигопептид, пептид, белок, т. б. )
б) гликопротеидті;
в) стероидты (холестеринді туындылары бар) .
Гормондар
Гормондар әсері, олармен әрекеттесуші рецепторлар табиғатына байланысты. Мысалы, нерв және бұлшық ет тоқымаларында рецепторлармен әрекеттеуші адреналин гормоны эффекті кейбір ағзаларда бұлшық ет қысқаруына, ал екіншілерінде бұлшық ет тоқымасының босаңсуына соқтырады. Оның себебі, тері асты терминалды бөлігіндегі тегіс бұлшық ет хұжайраларының - рецепторлары адреналинмен әрекеттеседі (адамдарда осы әсер арқылы шошып кетіп бозару құбылысы өтеді) . Өкпе бронхиолдары бұлшық етіндегі В - рецепторлардың адреналинмен әрекеттесуі арқылы бұлшық ет тоқымасы босаңсиды. Сондай-ақ адреналин табиғатына АМР - молекуласының қосылуы әсер етеді, соның үшін: гликогеннің глюкозаға өзгеруіне себепші болады. (Старленді) . Кейбір гормондар, белок синтезіндегі гендер жүйесі активтілігіне де әсер етеді. Мысалы, қалқан безі гормондары (стероидты) липидтермен әрекеттескенде ериді, полазматикалық мембранадан өтеді. Цитоплазмада гормон, арнаулы белокты рецепторлармен байланысады, гормон-рецептор комплексі сатылы реакциялар арқылы ядроға енеді. (А. Хэм, Д. Корман) .
Гормондардың қасиеттері:
а) олар өте белсенді, тым азғантай мөлшерде (микрограмм, нанограмм, пикограмм) әсер ете алады;
ә) әсері арнайы бағытталған, бір гормон жетіспегенде екінші бездің гормоны немесе басқа бір белсенді химиялық зат оның қызметін атқара алмайды;
б) ұлпаларға, мүшелерге өзінің пайда болатын жерінен дистантты, яғни қашық түрып, алыстан әсер етеді.
Гипаталамус дамуы
Дамуы. Ми негізінен (табаны) өсінді күйінде, гипофиздің арткы бөлімі дамиды, бездің қалған бөліктері эпителиалды және нейралды бөлімдерден бастама алады. Бас миы дамуының түтікше күйінде (эмбрионда) эктодермалды эпителийдің ауыз қуысымен жалғасатын жеріндегі бөртуден Ратка (гипофизарлық) калтасы құралады, одан соң эпителиалды қалташаға өзгереді (адиногипофизге - бастама құрайды) . Бұл қалташаның бас миы бастаманың аралык көпіршігімен жанасуынан 3 ші қарынша түтігі құралады
Гипаталамус құрылысы
Гипофизарлық қалтаның алдыңғы қабырғасы кеңейіп, гипофиздің алдыңғы бөлігін құрайды, артқы кабырғасы аралық бөлігін құрайды. Алдыңғы және аралық бөлік ортасында жіңішке гипофизарлық қуыстық (қалта қалдығы) қалады. Адам эмбрионында алдыңғы және аралық бөлік қосылып кетеді (куыс жоқ) . Түтікшенің (воронка) дисталды ұшының нейроглийлері - гипофиздің артқы бөлігін (нейрогипофизді) құрайды. Түтікшенің проксималды бөлігі жіңішкеріп, гипофизді гипоталамуспен жалғаушы гипофизарлык аяқшалар құрайды.
Гипофиздің ішкі құрылысы және орналасуы
Эпифиз
Дамуы. Адам эмбронында 5-6-шы аптада түтікшелі кезең аралық ми бөртуінен эпифиз қалыптасады. Хайуанаттарда домалақ ауыздылар, парапинеалды бөртпелер (эпителиалды нервті құрылыс) және жұнсыз маңдай симпатикалық нервтер арқылы сәуле тітіркенгіштігі эпифизге келеді. Эпифиз қабырғасы эпиндимдерінің бөртуінен қосымша субкомиссуралды ағза құралады (эпифиз құрамында болады) .
Құрылысы.
Эпифиздің сыртқы жағын дәнекер тоқымалы капсула қоршаған, олардан без паренхимасына дәнекер тоқымалы тосқауылдар өтеді (құрамында қан тамырлары бар) . Эпифизде 2 түрлі хұжайлар; пинелоциттер (паренхималы) және глиал хұжайлар бар.
Иннервациясы.
Мойын ганглийінен бастаушы эпифиздің наренхимасына (пинеалоциттер өндірілуші) келуші симпатикалық нерв талшықтарына импулстары эпивиздегі сиротониннің мелотонинге өзгеруін күшейтеді.
Жастық ерекшеліктері
Жас шамасы өзгеруіне қарай мысалы, адамда 5-6 жаста эпифиз жақсы қалыптасады, оның қызметі жас ұлғаюына қарай (ерлерде 60 жас, әйелдерде 60-65 жас) инвалюцияға ұшырайды, яғни: стромасы ұлғаяды, фосфатты және карбонатты тұздар көбейеді, олар қатпар-қатпар түйіршік түрінде болады ми құмы (топырақ) түйіршігі деп аталады.
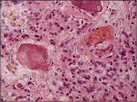
Қалқанды бездер.
Дамуы . Адам эмбрионында 3-4-ші аптада түтікшелі кезеңде жабралы қалтаның 1-ші және 2-ші жұбы аралығында өңеш қабырғасының бөртуінен қалқанды без бастамасы құралады. Бұл бастама (бөртпе-бүршік) эпителиалдық тұтам күйінде өңеш ішегін бойлай өседі (ұлғаяды), жабралық қаттаның III-IV-жұбында эпителиалды тұтам ұлғайып қалқанды бездің оң және сол бөліктерінің қалыптасуына бастама болады. Алғашқы эпителиалды тұтам шығарушы түтікке сәйкес келуші құрылым жойылып (атрофиялану) қалқанды бездің екі бөлігін жалғастырушы жіпше ретінде, сондай-ақ тіл түбірінде шұқыр күйіндегі проксималды бөлім болып сақталып қалады. Басқа сүт қоректілерде эпителиалды тұтамның дисталды ұшы да атрофиланады, сол үшін қалқанды бездің екі бөлігі тұтаспайды (жалғану байланысуы жоқ) бөлек-бөлек күйінде сақталады. Бөліктер бастамасы ұлғайып эпителиалды трабекуланың тармақталған сирек торын құрайды, олардың фолликулы дамиды, аралықтарына қан тамыры мен нервтері бар мезенхима орналасады (дамып өнеді) . Сондай-ақ адам және сүт қоректілерде алушы нейроэндрокринді нарафоллнулярлық хұжайралары болады.
Құрылысы.
Қалқанды без дәнекер тоқыма кансуласымен қоршалған, капсула тармақтары безді көптеген бөліктерге тілімдейді, олар қалқанды бездің құрылымдық функционалдық бірлігі - фолликулалар (аденомерлері) болып есептеледі, созылыңқы шар тәріздес көпіршікті құрылым. Бездің функционалдық активтілігі күшейген кезде көптеген тармақты қатпарлар құрайды, фолликула жұлдызды пішінге өзгереді, фолликула кеңістігінде коллоидты - секреторларды эпителиалды хұжайралар жинақталады, олар фолликула қабырғасын қаптайды. Функционалдық қызметті орындауда өндірілетін коллоидтар - тироглобулиннан құралған кілегейлі - қоймалжың сұйықтық зат. Фолликулаларды, құрамында: қан тамыры мен лимфакапиллялары бар дәнекер тоқымалар талшықтары бөліктерге тілімдейді, қан тамыры мен лимфа капиллялары және нерв талшықтары фолликуланы орайды. Бұл қабаттарда тироиды эпителиалды хұжайралар шоғыры жинақталған болады, сондай-ақ фолликулалар аралық дәнекер тоқымалы қабаттарда: лимфоциттер, плазматикалық хұжайралар және тоқымалы базофилдері болады.
Қалқанша маңы бездері
- қалқанша бездің жоғарғы және төменгі жағына жанаса орналасқан. Без паратгормон бөледі. Паратгормон - күрделі құрылысты зат. Ол денедегі кальций мен фосфаттардың алмасуын, тағамның ішектен қанға тез сіңірілуін, зәрмен бірге шығарылуын реттейді. Кальция алмасудың реттелуі паратгормонның және D дәруменінің қатысуымен болады. D дәрумені жетіспегенде сүйектің құрамында кальций азайып, оның қаттылық, мықтылық қасиеті төмендейді.
Айырша без
Айырша без - тимус көптеген бөлікшелерден тұратын қос без. Төстің ішкі бетінде, жүрек ұясының (ортаңғы қабырғаның) үстіңгі жағында орналасқан. Астыңғы жағы жүрек қабы - перикардпен, артқы жағы ірі-ірі қан тамырлармен шектескен. Айырша безін көзбен көріп, қолмен ұстау қиын, сондықтан ол ойдағыдай зерттелмеген. Без екі - қабық және ми қабаттардан тұрады. Онда екі түрлі жасуша бар - лимфоид жасуша (ұсақ микроциттер) негізінен қабық қабатта, торлы жасуша астыңғы қабатта орналасқан. Олар бірігіп селдір торға айналады, торда лимфоциттер орналасады.
Ұйқы безі
(Лангерганс аралы)
Қарынасты (ұйқы) безі аралас сөлініс безге жатады. Ол әрі ішкі, әрі сыртқы сөлініс қызмет атқарады. Сыртқы сөлініс қызметіне асқорыту сөлін өндіру қызметі жатады. Ішкі сөлініс қызметін Лангерганс аралшықтары атқарады. Лангерганс аралшықтары ұйқы безінің негізінен "үш" жағында және аздап басқа бөлімдерінде орналасқан ерекше тін. Аралшық жасушалардың өзектері болмайды. Ең алғаш аралшықты морфологиялық жеке құрылым ретінде 1863 ж. Лангерганс ашты. Лангерганс аралшықтарында 2 түрлі жасушалар бар және (түйірлі жасуша) . Олардың жалпы салмағы бездің 0, 01%. Аралшық тіндерінің салмағы аз болғанымен организмнің тірлігіне өте қажетті. Оның гипоқызметі қантты диабет ауруын тудырады. "Диабет" деген сөз грекше "тесіп өтемін" деген мағынада. Осы сөз бұл аурудың дәл негізін көрсетеді. Шынында, қант жасушалық тіндік кедергінің бәрінен өтіп көп мөлшерде сыртқа шығады
Бүйрекүсті бездері
Бүйрекүсті бездері бүйректердің жоғары жағында орналасқан. Олардың салмақтары 6-12 г. Әрқайсысы қыртысты және милы қабаттан тұрады. Қыртысты қабат без салмағының 4/5, милы қабаты 1/5 бөлігін алып жатыр.
... жалғасы- Іс жүргізу
- Автоматтандыру, Техника
- Алғашқы әскери дайындық
- Астрономия
- Ауыл шаруашылығы
- Банк ісі
- Бизнесті бағалау
- Биология
- Бухгалтерлік іс
- Валеология
- Ветеринария
- География
- Геология, Геофизика, Геодезия
- Дін
- Ет, сүт, шарап өнімдері
- Жалпы тарих
- Жер кадастрі, Жылжымайтын мүлік
- Журналистика
- Информатика
- Кеден ісі
- Маркетинг
- Математика, Геометрия
- Медицина
- Мемлекеттік басқару
- Менеджмент
- Мұнай, Газ
- Мұрағат ісі
- Мәдениеттану
- ОБЖ (Основы безопасности жизнедеятельности)
- Педагогика
- Полиграфия
- Психология
- Салық
- Саясаттану
- Сақтандыру
- Сертификаттау, стандарттау
- Социология, Демография
- Спорт
- Статистика
- Тілтану, Филология
- Тарихи тұлғалар
- Тау-кен ісі
- Транспорт
- Туризм
- Физика
- Философия
- Халықаралық қатынастар
- Химия
- Экология, Қоршаған ортаны қорғау
- Экономика
- Экономикалық география
- Электротехника
- Қазақстан тарихы
- Қаржы
- Құрылыс
- Құқық, Криминалистика
- Әдебиет
- Өнер, музыка
- Өнеркәсіп, Өндіріс
Қазақ тілінде жазылған рефераттар, курстық жұмыстар, дипломдық жұмыстар бойынша біздің қор #1 болып табылады.

Ақпарат
Қосымша
Email: info@stud.kz