ШЕМІРШЕК ҰЛПАСЫ


ШЕМІРШЕК ҮЛПАСЫ
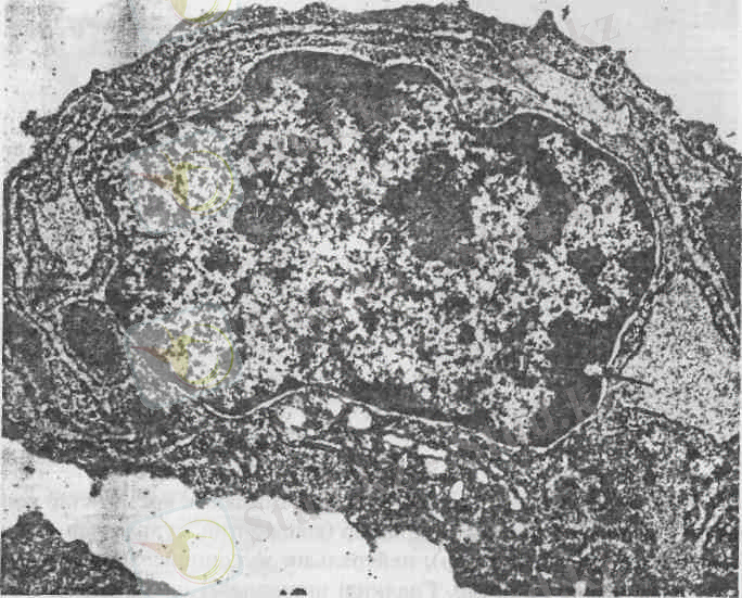
Шеміршек ұлпасы механикалык функция атқаратын дәнекер ұл-пасының жоғары дәрежеде жіктелген тобына жатады. Ол адам мен омыртқалы жануарлардың денесінде болады. Мезенхимадан дамиды, тығыз негізгі затта (матриксте) орналасқан клеткалар мен талшықтардан тұрады.
Шеміршек қатты, бірақ иілгіш ұлпа. Пішінінің өзгеруіне қарсы тұруға жақсы бейімделген, оның аралық заты серпілмелі келеді және сүйектердің буын беттерінің арасында жиі пайда болатын үйкеліс күшін кемітетін қасиеті бар. Тығыз дәнекер ұлпасына карағанда негізгі затқа бай келеді. Клеткаларын хондробластлер деп атайды. Хондробластлер даму процесі кезінде хондроциттерге айналады. Хондроциттер шеміршек үлпасының негізгі клеткасы, клеткааралык затта ерек-ше қуыстарда капсуламен қоршалып орналасады. Хондроцитгің беттері электрондық микроскоппен байқалатын микробүрлермен жабдықталған. Бұл клеткалардың ядросы жұмыр келеді, хроматин аз болады. Цитоплазмасыңда митохондриялар, белоктарды синтездейтін грану-лалық эндоплазмалық тор мен жаксы жетілген Гольдхи жүйесі бола-ды (84-сурет) . Хондроциттер 2-4-онан да көп болып топтасып бірігіп «изогендік топ» деп аталатын комплексті кұрайды. Әрбір топ бір хондробластының бөлінуінің нәтижесінде пайда болады. Қуыстың ішінде орналасқан изогендік топтар дәнекер үлпасынан тұратын капсулалар-мен қоршалған.
Шеміршекті мезенхиманың клеткаларынан түзілетін шеміршек қабықшасы, немесе перихондр деп аталатын тығыз дәнекер ұлпасы қаптап түрады. Перихондрдың екі қабатын ажыратады: тығыз талшықты дәнекер ұлпасынан тұратын сыртқы-фиброзалық қабат пен құрамында хондробластлер бар ішкі-хондрогендік қабаттан. Шеміршектің тіршілігінде оның өсуі мен қоректенуін қамтамасыз етіп үлкен рөл атқарады. Перихондрлық (шеміршек кабықшасының) клеткалары өздерінің митоздық беліну кабілетін сақтайды, шеміршектің өсуі мен закымдалған кезде калпына келуі қамтамасыз етіледі.
Шеміршекте қан тамырлары болмайды, қоректі заттарды кан та-мырларына бай қабыкдхасынан диффузиялық жолмен алады.
Коллагендік және эластиндік талшықтар мен негізгі заттың (мат-рикстің) санына байланысты шеміршек үлпасының үш түрін ажыра-тады: гиалинді, эластиндік және талшықты шеміршектерді.
Гиалинді (гректің гиалос - әйнек) шеміршек шеміршек үлпасы-ның ен көп тараған түрі (85-сурет) . Адам мен сүтқоректілер үрығы-ның қаңқасы шеміршектің осы түрінен тұрады, ал ересек организмдерде гиалинді шеміршек сүйектердің буын беттерін каптап түрады. Сонымен бірге кеңірдек пен ірі бронхтардың кабырғасында, қабырға үштарында, мүрын пердесінде кездеседі. Шеміршектердің ішіндегі қаттысы. Жалпы шеміршек ұлпасы сияқты хондробластер мен хондроциттерден, клеткааралық аморфты және талшықты заттан түрады.
Клеткааралық затты құраушы негізгі химиялық косылыстар кол-лаген, қышқыл мукополисахаридтер (хондроитин, сульфаттар А мен С жөне кератосульфаттар), нейтральдік мукополисахаридтер мен бейколлагендік белоктар. Гиалинді шеміршекті шеміршек қабық-шасы (перихондр) қаптап тұрады. Перихондрдың құрамында жас шеміршек клеткалары - хондробластлер, фибробластлер мен фиброциттер жөне коллаген талшықтарының жуан шоғырлары бо-лады. Олардың арасында борпылдақ қалыптаспаған дәнекер ұлпа-сының ете жұқа қабаты мен қан тамырлары және нервтер болады. Хондробластлардың жіктелуінен пайда болған хордоциттер коллагендік талшықтар мен клеткааралық аморфты затты синтездеу кабілетінен ажырайды.
Эластиндік (серпілмелі) шеміршек. Адам мен сүтқоректілердің кұлақ қалқаншасында, сыртқы есіту жолывда, кемекей үсті шемір-шекте және көмекейдің кейбір шеміршектерінде - мүйіз тәрізді және сына тәрізді шеміршектерінде кездеседі. Құрылысы гиалиндік шеміршекке үқсас, бірақ күрамында тығыз тор қүрайтын эластиндік талшықтар көп болады, изогендік топтарда аз кездеседі. гиалиндік шеміршекке карағанда аз болады. Эластиндік шеміршектің тағы да бір ерекшелігі известіленбейді (86-сурет) .
86-сурет. Бұзау кұлағының 87-сурет. Бұзаудың омыртқа аралық
эластиндік шеміршегі дискісінен алынған талшықты
(Н. А. Мануиловадан) : шеміршек (Н. А. Манушовадан) :
- - шеміршек клеткалары; 1 - шеміршек клеткасы;
- - эластиндік талшықтар; 2 - негізгі зат; 3 - коллаген
3 - перихондр. талшықтарының шоғы
Талшықты шеміршек үлпасы адам мен сүтқоректілердің омыртқа-аралык дисклерінде, санның жүмыр сіңірінде, жамбастың шат сүйектерінің байланысқан жерінде, төменгі жақ буынында байқалады. Талшықгы шеміршектің қүрылысы гиалиндік шеміршекке үқсас. Айырмасы коллаген талшықтарының шоғырлары параллель орналас-қан қатарлар құрап орналасқан; шеміршек клеткалары коллаген талшыктар шоғырының қатарларының арасында параллель қатар күрап жайгаскан (87-сурет) .
Шеміршек үлпасы тірек функциясын атқарумен бірге көмірсулар-дыңалмасуына да қатысады.
Сүйек тіні
Сүйек мезинхимадан дамитын жасушалар мен қатты негізгі заттан тұратын известленген дәнекер ұлпасынан тұрады. Клеткааралық негізгі заты органикалық матрикс пен тұздардан тұрады. Сүйектің коллаген талшықтарын оссен талшықтары деп атайды.
Клеткааралық заттың бәрі коллаген талшықтары мен аморфты заттың аздаған мөлшерінен және кальций тұздарынан тұрады. Сүйектін ішіндегі" каналдар аркылы қан тамырлары өтеді. Сүйек қуыстарының каналшықгары өзара және сүйектің ішіндегі пе-риваскулалық қуыстармен байланысып остеоциттер мен ұлпалық сүйық арасындағы заттардың алмасуын қамтамасыз етеді.
Остеокластлар (грекше osteon - сүйек, сіао - талкандау) - сүйек пен шеміршекті талқандаушы ірі көп ядролы клеткалар . Цитоплазмалык тор нашар жетілген, оның есесіне митохондрийлер мен лизосомалар және вакуольдар көп болады. Гольджи кешені де жақсы жетілген. Остеокласт гликолиздің есебінен езінің бетівде қышқыл орта құрай алады. Қышқыл орта остеокластының бөлетін протеолиздеуші және лизосомалардың басқа ферменттерінің белсеңцілігін арттыруға себепші болады.
Сүйектің клеткааралық затындағы коллаген талшықтарының ор-наласуынабайланысты сүйек үлпасының екі түрін ажыратады: ірі тал-шыкты және пластинкалық. Үрықтар мен жаңа туған жануарларда сүйек ұлпасының клеткааралық заттарының талшықтары ірі болады және түрлі бағытта орналасады, мұндай сүйекті ірі талшықты сүйек деп атайды (91-сурет) . Жануарлардың өсіп, даму кезінде ірі талшыкты
сүйек қүрамында жіңішке парал-лель орналасқан коллагендік фибрилдер бар пластинкалардан тұратын пластинкалық сүйекке айналады.
91-сурет. Суйек клеткалары (Л. А. Мануиловадан) : 1 - ядро; 2 - цитоплазма; 3 - өсінділер.
1 - Гаверс каналдары; 2 - сыртқы негізгі пластинкалар;
3 - аралық пластинкалар; 4 - Гаверс жүйесі.
Кемік, немесе трабекулалық, сүйек трабекула (көлденең шабақ) деп аталатын бірі-бірімен байланысып жататын жіңішке сүйек эле-менттерінен тұратын тор. Көлденең шабақтардың арасы майға толы болады. Трабекулалардың орналасуы сүйекке әсер ететін салмақтың бағытына сәйкес келеді. Кемік сүйек ұрықтар мен есуші организм-дерге тән, ал ересек организмде жіліктердің эпифиздерінде сақтала-ды. Тығыз сүйек коршап орналасқан сүйек пластинкаларынан қү-ралған кептеген цилиндрлерден тұрады. Әрбір цилиндрдің ортасында Гаверс каналы деп аталатын канал болады (93-сурет) . Осы канаддар арқылы қан тамырлары өтеді. Олар қоректік заттарды клеткаға жеткізеді де клеткадан метаболизм қалдықтарын алып кетіп отырады.
Ортасында Гаверс каналы бар пластинкалардың барлық жүйесін ашқ-ан ғалымның атымен Гаверс жүйесі, немесе остеон дейді. Остеон сүйектің тығыз затының қүрылымдық бірлігі (94-сурет) . Жілік сүйек бірі-біріне жанаса орналасқан остеондардың көптеген санынан тұрады. Сүйекте қан тамырлары көп болады. Остеондардағы қан тамырларын, Гаверс тамырлары деп атайды, олар бойлы бағытта орналасады. Бүлар-ды көлденең тамырлар немесе Фолькман тамырлары жалғастырып түрады. Сүйек пластинкаларының арасында сүйектің тірі клеткалары - остеобластлер болатын куыстар болады. Остеобластлер клеткааралык, заты бөліп сүйек ұлпасын түзеді. Гаверс каналында борпылдақ дәне-кер үлпасына оралған нервтер мен лимфалық тамырлар орналасады. Остеондар арасында калған аралыкты аралық гшастинкалар деп ата-латын пластинкалар алып жатады.
Жілік сүйекті сыртынан сырткы негізгі пластинкалар жүйесі Kan-Tan түрады. Сүйек қуысының ішкі беті ішкі негізгі пластинкалармен астарланған. Оны жұқа дәнекер үлпалық кабықша - эндост қаптап тұрады. Сүйектің сыртқы жөне ішкі беттерінде сүйек пластинкалары цилиндрларды құрамайды, олардың маңында жайғасады. Сүйекті сүйек қабықшасы, немесе периост деп аталатын қүрамында қан тамырлары мен остеобластлер болатын дәнекер ұлпалық қабықша қаптап түрады. Ол сүйек тіршілігінде үлкен рөл атқарады. Остеобластлер сүйек сын-ған кезде сүйекті түзуге қатысады. Периост екі қабаттан тұрады: ішкі және сыртқы.
Сүйек қабықшасының ішкі қабаты коллагендік және эластиндік талшықтардан түрады. Осы талшықтардың арасында остеобластлер жатады. Бүлар әсіресе жас есуші сүйектерде көп болады. Периосттың сыртқы қабаты тығыз келеді және коллагендік талшыктардың жуан шоғырларынан тұрады. Осы кабат арқьшы нервтер мен қан тамырла-ры өтеді, олар Гаверс каналдарына етіп сүйекті қоректендіреді.
Сүйектің дамуы, немесе остеогенез
... жалғасы- Іс жүргізу
- Автоматтандыру, Техника
- Алғашқы әскери дайындық
- Астрономия
- Ауыл шаруашылығы
- Банк ісі
- Бизнесті бағалау
- Биология
- Бухгалтерлік іс
- Валеология
- Ветеринария
- География
- Геология, Геофизика, Геодезия
- Дін
- Ет, сүт, шарап өнімдері
- Жалпы тарих
- Жер кадастрі, Жылжымайтын мүлік
- Журналистика
- Информатика
- Кеден ісі
- Маркетинг
- Математика, Геометрия
- Медицина
- Мемлекеттік басқару
- Менеджмент
- Мұнай, Газ
- Мұрағат ісі
- Мәдениеттану
- ОБЖ (Основы безопасности жизнедеятельности)
- Педагогика
- Полиграфия
- Психология
- Салық
- Саясаттану
- Сақтандыру
- Сертификаттау, стандарттау
- Социология, Демография
- Спорт
- Статистика
- Тілтану, Филология
- Тарихи тұлғалар
- Тау-кен ісі
- Транспорт
- Туризм
- Физика
- Философия
- Халықаралық қатынастар
- Химия
- Экология, Қоршаған ортаны қорғау
- Экономика
- Экономикалық география
- Электротехника
- Қазақстан тарихы
- Қаржы
- Құрылыс
- Құқық, Криминалистика
- Әдебиет
- Өнер, музыка
- Өнеркәсіп, Өндіріс
Қазақ тілінде жазылған рефераттар, курстық жұмыстар, дипломдық жұмыстар бойынша біздің қор #1 болып табылады.

Ақпарат
Қосымша
Email: info@stud.kz