Шегрен ауруы


Марат Оспанов атындағы Батыс Қазақстан мемлекеттік медицина университеті
Студенттің өзіндік
жұмысы
Дисциплина: Патологиялық физиология
Мамандығы: Стоматология
Курс: 2
Тақырыбы: Ауыз қуысында жүретін біртектес дерттік үдерістердің ерекшеліктері
Орындаған: Нурсейтов Саламат
Группа: 205
Тексерген:
Ақтөбе 2018
Жоспары:
І. Кіріспе
ІІ. Негізгі бөлім
1. Ауыз қуысы сипаттамасы
2. Ауыз қуысы ауруларына сипаттама
3. Организм жағдайына байланысты ауыз қуысы дерттерінің сипаттамасы
ІІІ. Қорытынды
Кіріспе
Ауыз қуысы (лат. cavum oris ) - ас (азық) корыту жүйесі бас бөлімінің аддыңғы бөлігі. Ауыз қуысының сүйектік негізін: тұмсық сүйек, жоғарғы жақ сүйек, тандай сүйек, төменгі жақ сүйек, тіл асты сүйек құрайды. Ауыз қуысының жоғарғы және төменгі еріндер аралығындағы кіреберіс тесігін - ауыз саңылауы, ал оның тіл түбірі мен жұмсақ таңдай аралығындағы жұтқыншаққа шығатын тесігін - есін деп атайды. Ауыз қуысының алдыңғы сыртқы қабырғасын - жоғарғы және төменгі ерін, ішкі қабырғасын - күрек тіс пен қызыл иек, екі бүйірінің сыртқы қабырғасын - оң және сол ұрт, ішкі қабырғасын - оң және сол жақтағы азу тістер мен қызыл иек, төбесін - қатгы және жұмсақ тандай, ал төменгі жақаралық кеңістікте орналасқан ауыз қуысының түбін тіл құрайды. Ауыз қуысы ағзаларына аталған мүшелерден басқа қабырғалық (интрамуральды) майда сілекей бездері (ерін, тіл, таңдай, ұрт сілекей бездері) және ауыз қуысы қабырғасынан тыс жатқан ірі (экстрамуральды) сілекей бездері (қүлақ түбі, төменгі жақ және тіласты жүп сілекей бездері) жатады. Ауыз қуысы екі бөліктен: ауыз қуысының кіре берісінен және негізгі ауыз қуысынан тұрады. Ауыз куысында ас (азық) механикалық өңдеуден өтеді: ол шайналады, ұсақталады, сілекеймен араласып жібиді, жүтуға дайындалады. Сілекей құрамындағы ферментгердің әсерінен ас (азық) құрамындағы крахмал қорытыла бастайды (глюкозаға ыдырайды) .
Негізгі бөлім
Ауыз қуысының микрофлорасының өзгерісіне байланысты туындайтын аурулар сипаттамасы:
Афты (грек. (phthaі - жара) - шырышты қабатта пайда болатын күлбірек жара. Ол ауыздың, мұрынның, көздің, жыныс мүшелерінің шырышты қабатында әр түрлі аурулардың салдарынан (вирустық герпес стоматиті, Бехчет, Турен синдромдары, герпес баспасы) пайда болады. Афтының үлкендігі 5 мм-дей, жара жиегі шеңбер сияқты, ол қызарып тұрады. Жаралар саны 50-ден 100-ге дейін жетеді, 5 - 30 күн аралығында ізі қалмай жазылып кетеді. Афтыны емдеуге антисептикалық майлар, А витамині, интерферон пайдаланылады. Тазалық ережелерінің сақталуы қажет.
Лейкоплакия от көне грекше: λευκός - "ақ" және көне грекше: πλακός - "пластинка") - ақ таңба. Ауыздың шырышты қабығының созылмалы қабынып ауруы. Алғаш пайда болған ақ нүктелер бірі-бірімен қосылып жайылады, сөйтіп ақ таңбаға айналады. Бұл тілмен ұртқа, ерін мен таңдайға жиі түседі. Асқынған түрлерін диспансерлік, дәлірек айтқанда онкологиялық бақылауға алу керек.
Глоссит . Тілдің қабынуы. Ауыз ішінің зақымданып қабынуынан тілге түскен инфекция. Тез емделмесе абсцесс және тісте флегмонаға айналатын қауіпті дерт.
Стоматит (көне грекше: στόμα - ауыз) - ауыздың шырышты-кілегей қабығының қабынуы. Клиникалық ағымына қарай стоматиттың жедел және созылмалы түрлері бар. Егер қабыну тілде болса - глоссит, ал қызыл иекте болса - гингивит деп атайды. Аурудың пайда болу себептері:
- механика, физика және химия жарақаттану, улану (мысалы, темекіні көп тарту, мөлшерден тыс арақ-шарап қабылдау, өте ыстық не өте салқын, сондай-ақ, өте қышқыл не өте тұзды тағам ішу) ;
- түрлі жұқпалы ауруларға (қызылша, кандидоз, тұмау, т. б. ) шалдығу;
- дәрі-дәрмек аллергиясы;
- дәрумен жетіспеушілік (гиповитаминоз) ;
- жүйке жүйелерінің, ішкі органдардың созылмалы аурулары, ағзада зат алмасу процесінің және ішкі секреция бездері қызметінің бұзылуы, т. б.
Сондай-ақ стоматит жыныстық жетілу кезінде немесе ақыл тіс кеш шыққанда дамиды. Стоматиттің қай түрінде де ауыздың шырышты қабығы қызарады, сілекей аға бастайды, жақасты лимфа түйіндерінің айналасындағы тіндер ісінеді. Дақ, бөртпе, бұдыр-төмпешіктер пайда болып, кейде олар іріңдеп, жараға айналуы мүмкін. Стоматитті емдеу тәсілдері аурудың негізгі себебіне қарсы бағытталады. Ауру белгісі пайда болысымен ауыз қуысын көмір тотығы, фурациллин, калий перманганаты (ашық қызғылт түсті) ерітінділерімен шаю керек. Физиотерапия жолымен, шырғанақ майымен де емделеді. ==Акрил стоматиті==. Акрилден ауыздың қабынуы. Протез базисінде акрилды пластмассаның монамері мөлшерден көп болған соң, шырышты қабыққа зиян тигізіп, ауыз қуысының қабынуына әкеп соғады.
Қызба кезінде ауыз қуысының өзгерістеріне әсер ететін микроорганизмдер (этиологиясы)
Қалыпты жағдайда 1 мл сілекейде 108-109 бактерий кездеседі: стрептококктар, диплококктар, спирохеталар, лактобациллалар, актиномициттер, Candida туыстастықты саңырауқұлақтар, жиі Herpessimplex вирусы және т. б. Гипосаливация және ксеростомия кезінде ауыз қуысы микрофлорасы өсуін жоғарылатады, ауыз қуысының қабынбалық процесстері туындайды, қабынбалық процесстер нәтижесінде ас қорыту төмендейді. Септикалық асқынулардың инфекция ошағы болуы мүмкін.
Шегрен ауруының патологиялық процесінің дамуында негізгі рольді вирустық инфекциялар мен апоптоз механизмі бұзылыстары алып жатыр. Қосымша этиологиясында Шегрен ауруының иммунологиялық бұзылыстары (поликлональді В-жасушалық активация, иммундық кешендердің көп болуы, сарысулық β 2 -микроглобулин мөлшерінің төмен болуы, қышқылға төзімсіз интерферонның болуы, интерлейкин-2 және қанның киллер жасушаларының санының азаюы) . Шегрен ауруы кезінде және ЖИТС кезінде. Этиологиялық паротит жіті инфекциалық ауру, парамиксовирус тұқымдастығына жататын вирустармен шақырылады. Көбіне 7-14 жастағы балалар ауырады. Вирустың антигендік құрылымы бірқалыпты. Эпидемиялық паротит вирусы антиденелердің 6-7-ші тәулікте қалыптасады. Ауырып болған соң иммунитет қалаптасады. Эпидемиялық паротит кезінде инфекция көзі адам болып табылады. Жұқтыру ауалы-тамшылы жолмен беріледі.
Қызба кезінде ауыз қуысының сілемейлі қабатында қандай өзгерістер байқалатындығын және оның салдарын анықтау (патогенезі мен салдары)
Қызба кезінде симпатикалық нерв жүйесі орталықтарының қозуы өз кезінде ағзалардың бірқатар өзгерістеріне алып келеді. Қызба кезінде айтарлықтай өзгерістер асқазан ішек жолдарында байқалады. Сілекей бөлінуінің азаюы ауыздағы құрғақтыққа алып келеді, еріндердің эпителиальді қабаты құрғайды және жарылады, тілде дақ пайда болады. Осыған қоса ауыз қуысында орналасқан әртүрлі микробтардың көбеюіне қолайлы жағдай туындайды (стрепто-, стафилококктар, Винцента таяқшаларының, Мюллер спирохетасының және т. б. ), ауыздан жағымсыз иіс пайда болады. Берілген тақырыптың өзектілігі болып қызба кезінде(емдеу мақсатында жасанды түрде жасалған немесе инфекциялық және инфекциялық емес пирогендер әсерінен) ауыз қуысындағы сілемейлі қабаттың жағдайы мен сілекей бездерінің өзгерістері кейіннен астын қорытылуына қатысады, сілекей бездері ауруының пайда болуына, ауыз қуысында патогенді микрофлораның пайда болуына алып келеді. Кейіннен айтылған өзгерістер жалпы ағзаның патологиялық жағдайына алып келеді. Енді қызба кезінде болатын ауыз қуысының сілемейлі өзгерістеріне жеке тоқтала кетсек:
Гипосаливация және ксеростомия
Негізінен қызба кезінде температураның жоғарылауына байланысты ауыз қуысында гипосаливация байқалады, ол өз кезегінде міндетті түрде ксеростомияға алып келеді. Гипосаливация кезінде ауыз қуысында - тілде және қызыл иекте зақымдалған эпителийден дақтар пайда болады. Бұл микрофлора үшін таптырмас қоректік орта болып табылады Ксеростомия дәм сезу бұзылыстарына, тәбеттің төмендеуіне немесе болмауына алып келеді. Агевзия немесе гипогевзия - дәм сезу қызметінің төмендеуі немесе болмауы. Дәм сезу анализаторлары құрылымдарының функционалды бұзылыстарымен сипатталады. Дәм сезу бұзылыстары (нағыз адекватты тітіркендіргіштерге) . Парагевзия - дәмдегі қалыпты жағдайдан тыс басқа дәмнің пайда болуын көрсететін сапалық өзгерісі. Мысалы, ащыны қышқыл ретінде немесе тәттіні тұзды ретінде қабылдау. Дисгевзия - дәм сезу мен бейімділіктің патологиялық өзгерістері(бұрмалануы) . [9] Гипорексия және анорексия - тәбеттің төмен болуы немесе мүлдем болмауы. Анорексия патогенезінде орексиндер, кахетин (ФНОа), холецистокин, нейропептид Y және басқа да нейропептидтер метаболизмі бұзылыстары өте маңызды болып келеді.
Салдары: дене салмағының төмендеуіне, тіпті арып азуға (кахексия) дейін; ас қорыту бұзылыстарына; дистрофияларға; иммундық жеткіліксіздікке (ауыр жағдайларда) алып келеді. Қызба кезінде дене температурасының көтерілуіне байланысты науқас көбіне көп аузы арқылы тыныс алады, бұл өз кезегінде ауыз қуысының, сілекей бездерінің вирустық закымдалуына алып келеді. Нәтижесінде салдары сәйкес ауруларға алып келеді. Көбіне көп Шегрен және эпидемиялық паротит сынды ауруларға келеді.
Шегрен ауруы.
Шегрен ауруының морфологиялық субстраты ацинусқа ену тенденциясы бар перудоктальді орналасқан, инфильтрация болып табылады. Ауру агрессиялық мәнге ие, инфильтрат жасушалары интраэпителиальді түрде ацинустар мен ішкі ағыстарды анықтап оларды жойып секрет бөлетін бездер паренхимасына кері әсерін тигізеді. Лимфоидты инфильтрация фокусы - 4 мм 2 кемінде 50 лимфоретикулярлы жасушалар.
Темір инфильтрациялаушы жасушалардың көбі Т-лимфоциттермен көрсетілген, солардың ішінде CD4 - 70%. В-лимфоциттер инфильтрат жасушаларының тек 1/4-1/5 бөлігін алып жатыр. Көз жас, үлкен және кіші сілекей бездерінен басқа ұқсас өзгерістер мұрынның сілемейлі қабатының, бронхтардың, асқазанның, жатырдың және тер бездерінде байқалады.
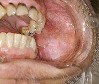
Шегрен ауру диагнозын қою үшін бірнеше әйгіленімдердің анықталуы керек. Аурудың диагностикасында міндетті түрде үш маман қызметіне жүгіну керек. Олар: окулист, стоматолог және ревматолог. Науқас ауыз қуысындағы үнемі болытын құрғақтыққа, кеуіп кетулерге, құлақ маңы бездерінде үнемі ауырсыну сезімінің болатындығына, жалпы әлсіздікке, тез шаршағыштыққа, 50-70% жағдайда үнемі болатын құлағының екі жақты ісінулеріне, тістерінің қарқынды бұзылыстарына шағымданады. Кей жағдайда бастапқы кезде көздің сулы қабықшасының кеуіп кетуіне, жарықтан қорқу сезімінің пайда болуына, көздеріне құм түскендей сезімде болатындарына шағымданады. Осымен қоса буындардағы, бұлшықеттердегі ауырсыну сезімінің болуына, астан кейін эпигастральді аймағындағы ауырлық пен дискомфорт сезімінің болуына, жүрек айнуына, тәбетінің төмендеуіне, оң жақ қабырға астында ауырлық пен ауырсыну сезіміне, аузындағы қышқылдық сезімге, майлы тамақты көтере алмауына, тамағындағы құрғақтыққа, құрғақ жөтелге және ентігуге, терісінің қызаруына т. б әйгіленімдерге шағымдануы мүмкін.
Шегрен ауруының қайталанатын, міндетті белгілерінің бірі - созылмалы екіжақты паренхиматозды паротит. Сиалограммада паренхиматозды паротиттің алғашқы стадияларына тән өзгерістер паренхимада (1мм дейін) ұсақ жасушалық беткейлерді немесе паренхиманың «бұлт» тәрізді бірқалыпты емес толтырылуы және кіші калибрлі ағынды контрастілеу (5-4 тәртіппен) .
Шегрен ауруының айқын кезеңінде науқастар ауыз қуысындағы үнемі болатын құрғақтыққа, құрғақ астан кейін үнемі суды ішу керектігіне. Көбіне паротиттің асқынулары байқалады. Сілекей бездерінің ұлғаюы, температулық реакциямен, жалпы жағдайдың нашарлауымен көрінеді. Қарау кезінде құлақ маңы бездерінің ұлғаюы айқын байқалады, бездер көбіне бөлік болып көрінеді. Өршуден кейін де көлемі толығымен кішіреймейді. Ауыз қуысын қарау барысында сілемейлі қабықтың ашық-қызыл түсті, сілекей аз, сілекей көбік тәрізді немесе кілегей тәрізді болады. Үлкен сілекей бездерін басып көргенде ағындардан сілекейдің өте аз мөлшерінің бөлінетіндігін байқауға болады. Кариестің дамуын. Ауыз қуысы дисбактериозының айқын көріністерін, жиі кездесетіні стоматит (саңырау құлақтық, вирустық, травмалық) . Сиалометрия кезінде секреция төмендеуінің екінше кезеңі анықталады, сілекейде қабынулық бөлшектер табылады.
Кіші сілекей безі биоптаттарына жүргізілген анализ науқаста лимфогистарлы инфильтратта барлық типті иммунокомпетенті жасушаларды анықтады. Кіші сілекей безінің 57 биоптатына жасалған анализде В-жасушалық инфильтрат компонеті (49%), Т-жасушалық компонент 33% табылған, аралас экспрессия Т- және В-жасушалық пропорция тек 11%. Ядролық антиденелерде байқалған. Кіші сілекей бездерінің эпителиальды жасушаларында 61% HLA-DR - молекулаларының анықталуы олардың ауру патогенезінде ерекше маңызды екендігін көрсетіп тұр. Осылайша қалыпты жағдайда секреторлық функция атқаратын жасушалар, өздеріне тән емес иммунокомпонетті функцияны атқарады.
... жалғасы- Іс жүргізу
- Автоматтандыру, Техника
- Алғашқы әскери дайындық
- Астрономия
- Ауыл шаруашылығы
- Банк ісі
- Бизнесті бағалау
- Биология
- Бухгалтерлік іс
- Валеология
- Ветеринария
- География
- Геология, Геофизика, Геодезия
- Дін
- Ет, сүт, шарап өнімдері
- Жалпы тарих
- Жер кадастрі, Жылжымайтын мүлік
- Журналистика
- Информатика
- Кеден ісі
- Маркетинг
- Математика, Геометрия
- Медицина
- Мемлекеттік басқару
- Менеджмент
- Мұнай, Газ
- Мұрағат ісі
- Мәдениеттану
- ОБЖ (Основы безопасности жизнедеятельности)
- Педагогика
- Полиграфия
- Психология
- Салық
- Саясаттану
- Сақтандыру
- Сертификаттау, стандарттау
- Социология, Демография
- Спорт
- Статистика
- Тілтану, Филология
- Тарихи тұлғалар
- Тау-кен ісі
- Транспорт
- Туризм
- Физика
- Философия
- Халықаралық қатынастар
- Химия
- Экология, Қоршаған ортаны қорғау
- Экономика
- Экономикалық география
- Электротехника
- Қазақстан тарихы
- Қаржы
- Құрылыс
- Құқық, Криминалистика
- Әдебиет
- Өнер, музыка
- Өнеркәсіп, Өндіріс
Қазақ тілінде жазылған рефераттар, курстық жұмыстар, дипломдық жұмыстар бойынша біздің қор #1 болып табылады.

Ақпарат
Қосымша
Email: info@stud.kz