Тырысқақ ауруының отаны Индиядағы Бенгалия және Ганга өзенінің төменгі ағысынын жағалаулары


Студенттің өзіндік жұмысы
Тақырыбы : Микробтық паразитизмнің эволюциясы және патогенді микроорганизмдердің шығу тегі.
Жоспары:
- Кіріспе
- Негізгі бөлім
- Патогенді микроорганизмдердің таралуы.
- Паразитизм.
- Қорытынды
- Пайдаланылған әдебиеттер
- Бағалау парағы
2. 1 Патогенді микроорганизмдердің таралуы
Ауру қоздырушы, яғни патоген микробтар бір адамнан екінші адамға тікелей жұғуы мүмкін. Мәселен, мерез ауруын қоздырушы гонококк микробы, әсіресе әйел мен еркектің жыыыстық қатынасы кезінде, ал әр түрлі іш аурулары кір қол немесе заттар аркылы таралады. Мәселен, оба және іш-сүзегімен ауырған адамдардың төсек орны және баска да заттары арқылы сау адамдарға жұғады. Көптеген зиянды микробтар науқас адамдар тыныс алғанда ауаға тарайды. Осы ауамен дем алған сау адамның науқастануы да ықтимал.
Әрбір патогендік микробтар тек бір ауруды ғана қоздыруы мүмкін, яғни олардың атқаратын қызметі жекеленген болады. Кейде адамдарға белгілі бір аурулар тек жануарлардың бір түрінен жұғады. Мәселен, маңқа ауруы адамға жылқы немесе мысыктан жұғады. Ал кейбір ауру адамға қауіпсіз. Мысалы, ит, шошқа және ірі қара обасы адамға қауіпсіз.
«Сібір жарасы»- біздің дәуірден мың жылдай бұрын белгілі болған. Атақты Гомер IX ғасырда малды және адамды қырғынға ұшыратқан «қасиетті от», яғни «Сибирь жарасы» туралы өз еңбектерінде жазған болатын. Бүл ауру әуелі Италияда етек алып, содаы кейін Европаға ауысты. Шығыс елдерінде оны «Парсы оты» деп те атаған. «Сибирь жарасы» жүққан мал бір-екі күн ғана ауырып өледі. «Сібір жарасын» коздырғыш бациллус антрахис, ірітаяқшалар, қозғалмайды, ауалы жерде спора түзеді.
Сондықтан оларды бацилдарға жатқызады. Клеткаларын қоршап түратын капсулалары бар. Грам әдісімен оялады. Бацилдар бір немесе осқостан, көбіне қысқа шын-жырша тәрізденіп орналасады.
XVIII-XIX ғасырларда Орта Азия елдерінде оба ауруы етек алды. Тіпті сол XIX ғасырдың езінде Россияда, соның ішінде Волга жағалауында, Ставрапольеде, Одессада, Қырымда обадан бірқатар адамдар қүрбан болды. 1894 жылы Гонконг қаласында ете зор оба эпидемиясы байкалады. Дәрігерлер обадан өлген адам денесін тексергенде, онда оба ауруын коздырушы өте үсақ микробтарды байқаған болатын.
Бұл микробты бактериум пестис деп атайды.
Ауру әдетте организмнің өлуімен аяқталады. Адам, кемірушілер және түйе обасының бәрінің де қоздырушысы біреу. Оба бактериясы - қысқа таяқшалар, кейде бір-бірден, кейде тіркесіп, ұзынша шынжыр тәрізденіп орналасады. Қоректік ортада олар капсула түзеді, спора түзбейді, қозғалмайды. Олар пастерелла туысына жатады. Оба микробы аэроб, әдеттегі қоректік ортада жақсы өседі, қолайлы температура +28, +30°. Маннит, салицил, глюкоза, мальтоза және араби-ноза углеводтарын ыдырата алады. Аурудың инкубациялык кезеңі 1-5 күн шамасында. Әдетте ауырған адамдар мен малдардың барлығы дерлік өледі. Обаны таратушылар кемірушілер және олардың паразиттері - бүргелер. Әдетте бөртпе обамен ауырғандардың 40-тан 90%-ке дейіні қаза болса, өкпе обасынан іс жүзінде адам тірі қалмайды. Қазір оба вакцинасы әлсіретілген оба микробынан жасалады және адамға міндетті түрде егіледі. Осының нәтижесінде обаның жеңіл түрімен адам ауырып тұрады да, онда иммунитет пайда болып, ол екінші рет ауырмайтын болады.
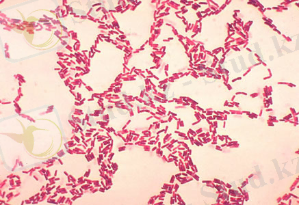
Азиялық холера (тырысқақ) . Тырысқақ ауруының отаны Индиядағы Бенгалия және Ганга өзенінің төменгі ағысынын жағалаулары. Сондықтан оны Азия тырысқағы деп те атап кеткен. Әдетте адамдар тырысқак микробы таралған су арқылы зақымдалады. Бүл аурудың нағыз қоздырушысы - тырысқақ микробы, яғни холера вибрионы екені 1880 жылдары белгілі болды. Оның пішіні кәдімгі үтір тәріздес (вибрио - латынша үтір деген сөз. Алғаш рет оны 1883 жылы Р. Кох тапкан болатын. Ол Египеттегі осы тырысқақ ауруынан өлген адамдардың нәжістерінен микробты бөліп алып зерттеген. Ауру тым ауыр өтеді, кейде 40- 50%-ке дейін аурулар қаза табады. Ауру тек адамнан жүғады. Табиғи жағдайда ешбір тірі организм бүнымен ауырмайды. Лаборатория жағдайында жануарларға тырысқақ жүқтыру аса қиынға соғады. Тырысқақ үтіршесі қозғалғыш, шеттерінде жіпшелері бар, спорада, капсула да түзбейді. Көбінесе екі-екіден «5» пішіндес болып орналасады. Тырысқақ вибрионы тым өзгергіш келеді. Крахмал, гликоколь бар коректік ортада таяқша тәрізденш, бүйраланып, жіпшеленіп, шар тәрізді болып, тіпті ашыткы саңырауқұлақтары сияқты да өніп-өседі. Әдеттегі қоректік ортада олардың түрі қайтадан «үтір» тәрізденеді. Тырысқақ вибрионы коректік ортаны талғамайды, аэроб, +16-дан +40° аралығында өніп-өседі. Дегенмен оған тым қолайлысы -(-37°. Ортада азғана мөлшерде қышқыл болса, ол өсіп-өне алмайды. Жалпы орталықка жеке улар бөлмейді. Организмде вибрион өніп-өскенде ғана адамды улай-ды. Сонда олар эндотоксиндер бәлетін болады. Тырысқақ ауруымен ауырғаннан кейін адамда иммунитет пайда болады да, ол екінші қайталап ауырмайды. Организмде мүндайда вибрионды ірітіп жіберетін антителалар Қазіргі кезде өлтірілген тырысқақ вибрионынан жасалған акцинаны қолданады. Ол қурғақ және сұйық күйінде шығарылады. Тырысқақ микробынан даярланған вакцинаның бір миллилитрінде 4 миллиондай вибриондар бар. Осындай вакцинамен аралығын 7-10 күннен ала отырып үш рет егеді.
2. 2. Паразитизм
Паразитизм (гр. parasіtos - арамтамақ) - белгілі бір организмнің (паразиттің) екінші бір организмді (иені) тіршілік ортасы ретінде пайдаланып, сонда өсіп дамуы, қоректенуі.
Паразит организмнің сыртында тіршілік етсе эктопаразит, ал ішкі органдар мен тін, ұлпаларда тіршілік етсе эндопаразит деп аталады. Паразитизм вирустар мен бактериялардан бастап, өсімдіктер арасында да, жануарлар арасында да кездеседі. Сондай-ақ, түгелімен паразиттерден ғана тұратын «кластар» мен «отрядтар» бар. Мысалы, қарапайымдардан споровиктер, жалпақ құрттардан трематодалар, моногенеялар, цестодалар, жәндіктердің ішінде бүргелер мен биттер, т. б.
Жоғары сатыдағы өсімдіктер арасында омела (лат. vіscum ) және сұңғыла (лат. orobanche ) туыстарын айтуға болады. Жалпы бір организмде паразиттің бірнеше түрі тіршілік етеді, олар әр түрлі органдар мен тіндерде (ұлпаларда) орнығады да, өзгеше қауымдастық - паразитоценоз құрады. Паразиттің даму сатысының бір кезеңі иесі организмінде (мысалы, тек қоректену кезінде) өтетін болса, оны «уақытша паразитизм» деп, ал дамуының көпшілік уақыты иесі организмінде өтетін болса «тұрақты паразитизм» деп атайды. Паразиттер облигатты (міндетті) және факультативті (міндетті емес) деп бөлінеді. Паразиттерге тән ерекшелік - тіршілік ету жағдайына байланысты оларда бір органдары (мысалы, ас қорыту, сезім жүйесінің, т. б. ) жойылса, керісінше екінші бір органдары (мысалы, көбею, бекіну, т. б. ) күрделене түседі. Паразитизм процесі кезінде паразиттердің дамуы бір ғана емес, бірнеше сатыда өтуі мүмкін. Мысалы, безгек қоздырғышының иелері - адам мен анофелес туысына жататын маса; эхинококк ауруы қоздырғышының иелері - адам мен ит, т. б.
Қорытынды
Ертеде прокариотты организмдер арқылы өте көп жұқпалы аурулар тараған. Олар - тырысқақ, күйдіргі, оба (әр жануарларда әр түрлі аталады), т. б. аурулар. Қазақстанда осы аурулардың табиғи ошақтары әлі күнге дейін бар. Жұкпалы ауруларға жататын жіңішке ауруы, сарып, іш өту және сүзек сиякты ауру түрлері адамдар үшін қазір де қауіпті. Көптеген ішек ауруларын прокариоттар тудырады. Асқазан, тоқ ішек жаралары және қарындағы ісік, карып асты безінің ісік аурулары - хеликобактер пилориум микроорганизмі арқылы таралады. Аурулардың осы микроорганизмдер арқылы тарайтынын 1983 жылы Австралия дәрігерлері Б. Дж. Маршал мен Дж. Р. Уоррен ашқан. Б. Маршал осы микроорганизм жасушасының себіндісін (культурасын) ішіп, өзіне тәжірибе жасап көрген. Жарты айдан соң ол гастритпен қатты ауырып, әрең дегенде тетрациклин және Денол дәрісін ішіп жазылған. Ішек және асқазан аурулары тазалық сақтамаған кезде қол орамал арқылы прокариотты организмдерден жұғады. Сондықтан да коғамдык орындарға барғанда, қолды сабынмен жақсылап жуған дұрыс және шыбын-шіркей, тарақандардан сақтанған жөн. Қазіргі кезде ғылымның жетістіктеріне байланысты, осы прокариоттар тарататын кауіпті ауруларға қарсы емдеу жұмыстары жақсы жолға қойылған. Прокариоттардың өзінен өндірілетін биологиялық белсенді заттар - антибиотиктерді пайдаланып емдеу жұмыстары қолға алынды.
... жалғасы- Іс жүргізу
- Автоматтандыру, Техника
- Алғашқы әскери дайындық
- Астрономия
- Ауыл шаруашылығы
- Банк ісі
- Бизнесті бағалау
- Биология
- Бухгалтерлік іс
- Валеология
- Ветеринария
- География
- Геология, Геофизика, Геодезия
- Дін
- Ет, сүт, шарап өнімдері
- Жалпы тарих
- Жер кадастрі, Жылжымайтын мүлік
- Журналистика
- Информатика
- Кеден ісі
- Маркетинг
- Математика, Геометрия
- Медицина
- Мемлекеттік басқару
- Менеджмент
- Мұнай, Газ
- Мұрағат ісі
- Мәдениеттану
- ОБЖ (Основы безопасности жизнедеятельности)
- Педагогика
- Полиграфия
- Психология
- Салық
- Саясаттану
- Сақтандыру
- Сертификаттау, стандарттау
- Социология, Демография
- Спорт
- Статистика
- Тілтану, Филология
- Тарихи тұлғалар
- Тау-кен ісі
- Транспорт
- Туризм
- Физика
- Философия
- Халықаралық қатынастар
- Химия
- Экология, Қоршаған ортаны қорғау
- Экономика
- Экономикалық география
- Электротехника
- Қазақстан тарихы
- Қаржы
- Құрылыс
- Құқық, Криминалистика
- Әдебиет
- Өнер, музыка
- Өнеркәсіп, Өндіріс
Қазақ тілінде жазылған рефераттар, курстық жұмыстар, дипломдық жұмыстар бойынша біздің қор #1 болып табылады.

Ақпарат
Қосымша
Email: info@stud.kz