Инфаркттың түрлері


Кіріспе.
Инфаркт деп тіннің немесе органның бір бөлігінің қан айналымының бұзылуына байланысты некрозға ұшырауы. Сонымен байланысты инфарктты қан тамырлық немесе ишемиялық некроз деп аталады. Инфаркт дамуының
тікелей себептерінің бірі ұзақ уақыт бойы спазм,
артерия эмболиясы немесе тромбоз болып табылады.
Сонымен қатар органның функциялық кернеу жағдайында қанмен қамтамасыз етудің жетіспеушілігі. Инфаркттың пайда болуының әсері анастомоздардың және коллатералдардың жетіспеушілігі, олар артерия қабырғаларының зақымдау деңгейімен және қан айналым бұзылыстарының, эмбол немесе тромб артерияларының обтурация деңгейіне байланысты болады. Сондықтан инфаркттың дамуы көбінесе артериялар өзгерістерімен және жалпы қан айналым бұзылыстарымен анықталады. (атеросклероз, гипертониялық ауру, ревматизм, жүрек ақаулары) Инфаркттың түрлері: Ақ инфаркт - қан тамырлар арнасының шиеленісуі нәтижесінде магистралды артериялық тармақтардың өтпеуінде және коллатералдық функциялардың жетіспеушілігінде дамиды. Әсіресе көк бауырда жиі кездеседі. Қызыл инфаркт - некроз зонасы қара - қызыл қанмен сіңген. Бұл тип өкпеде, бас миында байқалады. Оның дамуы венозды тоқырау және органның қанмен қамтамасыз етуі нәтижесінде.
Венозды тоқырау айқындалмаған деңгейінде геморрагиялық инфаркт тудыруы мүмкін. Геморрагиялық инфаркттың негізгі формасы веноздық инфаркт болып саналады, соның себептері окклязия болып табылады. Миокард инфарктында коронарлық артериялардың қатты жиырылуынан немесе бүліну ошағында биологиялық белсенді заттардың ( брадикинин, гистамин, серотонин, аденозин т. б. ) жиналып қалуынан қатты ауыру сезімі болады және ол қатты қобалжу, қорқу сезімімен қабаттасады. Ауыру сезімі сол жақ қолға, жауырынға, иыққа, астыңға жаққа, тіске берілуі мүмкін. Ол жұлында ішкі ағза нейрондарынан қозудың тері мен шырышты қабықтардағы сезімтал нейрондардың аймақтарына таралуынан дамиды. Кейде клиникада миокард инфарктының ауырмайтын түрін де жиі кездесетіруге болады. Ол макрофагтарда көптеп эндогендік эндорфиндер өндірілуімен түсіндіріледі. Миокард инфарктінің ең бір ауыр асқынулары болып кардиогендік шок және өкпе ісінуі есептелінеді. Бұл кезде жүректен қан шығарылуы төмендейді, қан тамырларының жалпы шеткері кедергілік қасиеті жоғарылайды. Ол артериялық қысымды белгілі деңгейде ұстап тұруға бағытталған бейімделістік серпіліс. Бірақ артынан шеткері қан тамырлары кеңіп, олардың меже қуаты азаюдан артериялық қан қысымы күрт түсіп кетеді. Ірі ошақты миокард инфаркты жүрек аневризмасына, тромбоэмболияға, бүлінген жүрек етінің жыртылуына әкелуі мүмкін. Миокарда инфаркты кезіндегі бүлінген ет тінінің орны дәнекер тін жасушаларымен толтырылады, тыртық пайда болады. Соңғысының жиырылғыштық қасиеті, ет талшықтарына қарағанда, өте аз болғандықтан жүрек ішіндегі қысыммен артық керіліп, аневризма дамуына әкеледі. Миокард инфарктының ең қауіпті асқынуының бір түрі болып, тромбоэмболия даму мүмкіншілігі есептеледі. Бүлінген тіннен, қан тромбоциттерінен т. б. жасушалардан тіндік тромбопластин босап, тромбоциттердің адгезиясы мен агрегациясы және қан ұю үрдісінің артуынан жүрек қуыстарында қан қатпарлары пайда болады. Содан бұл қан қатпарларының бөлшектері үзіліп кетіп, эмболға айналуы мүмкін. Бұл эмбол жиі үлкен қанайналым шеңберіне тарап, орнласқан жеріне қарай ауыру малдың тез өліміне әкеледі. Жүрек қабырғасының жыртылуы үлкен трансмуралдық миокард инфарктынан болады. Бұл кезде ауыру мал өліп кетеді. Егер ол біртіндеп дамыса, қан перикард қуысына құйылып, жүректің сыртынан қысылып қалуына және ауыр кардиогендік шок дамуына әкеледі.
Негізгі бет.
Инфаркт бүтін ағзаның немесе оның бір бөлігінің қанайналымының бүзылуына байланысты өлуін атайды. Демек инфаркт қантамырлық (ишемиялық) некроз. Инфарктың пайда болуына: әдетте қан тамырларының тромбозы, эмболиясы немесе спазмы себеп болады. Кейде инфаркт, ағып келген қан мөлшерінің ағза қызметін қамтамасыз ете алмауынан дамиды. Осыған байланысты инфаркты циркуляторлық некроз деп те атайды.
Көбінесе инфарктың дамуы жалпы қан айналуының бүзылуы-на байланысты, сондықтан инфаркт созылмалы жүрек, өкпе ауру-ларында көп кездеседі. Қан тамырының тыгындалу жылдамдығы, инфаркт пайда болуының ең бір шешуші факторы. Инфаркт кол-латералдық жолдар ашылып үлгермеген жағдайда ғана дамитын қүбылыс.
Қан тамырының кенеттен пайда болган эмболиясы тек сол тамырдың ғана емес, оның бойындағы барлық тармақтарының да рефлекторлық түрде тарылуымен (спазм) қатарласа жүреді. Әдет-те инфаркт ушбүрышты болып көрінеді. Инфарктьщ пішіні қан тамырларының ағзада таралу ерекшеліктеріне байланысты. Өкпе-де, бүйректерде, көкбауырда үшбүрыштың түбі ағзаның қабына қарай жайғасады да, оның үшында тромбпен тыгындалған қан тамыры табылады.
Инфаркт көлемді болуы, яғни белгілі бір мүшені түгелге дерлік, тіптен түгел қамтуы мүмкін. Сондай-ақ өте ұсақ тек микроскоп арқылы ғана көрінетін инфарктерде болады. Жүректе, бүйрек пен талақта инфаркт құрғақ, әрі нығыз, ал ми мен ішекте жұмсақ, әрі дымқыл болып келеді. Бүлінген тіннен, қан тромбоциттерінен т. б. жасушалардан тіндік тромбопластин босап, тромбоциттердің адгезиясы мен агрегациясы және қан ұю үрдісінің артуынан жүрек қуыстарында қан қатпарлары пайда болады. Содан бұл қан қатпарларының бөлшектері үзіліп кетіп, эмболға айналуы мүмкін. Бұл эмбол жиі үлкен қанайналым шеңберіне тарап, орнласқан жеріне қарай ауыру малдың тез өліміне әкелед
Инфаркт түсіне қарай
Қызыл ифаркт
Ақ инфаркт
- Ақ инфаркт- қан тамырлар арнасының шиеленісуі нәтижесінде магистралды артериялық тармақтардың өтпеуінде және коллатералдық функциялардың жетіспеушілігінде дамиды. Әсіресе көк бауырда жиі кездеседі. Ақ инфаркт ақшыл сары түсті, жиектері айқын шектелген болып келеді.
1 сурет. Мидағы ақ инфаркт
2 сурет. Бүйректегі ақ инфаркт микроскопиялық көрінісі
Инфарктың ишемиялық сатысын анықтау үшін төмендегідей зерттеу жұмыстары жүргізіледі
Гистохимиялық зерттеу әдісі
Электронды микроскоп арқылы зерттеу
Люминесценттік микроскоп арқылы зерттеу
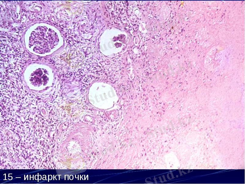
- Қызыл инфаркт- некроз зонасы қара - қызыл қанмен сіңген. Бұл тип өкпеде, бас миында байқалады. Оның дамуы венозды тоқырау және органның қанмен қамтамасыз етуі нәтижесінде. Венозды тоқырау айқындалмаған деңгейінде геморрагиялық инфаркт тудыруы мүмкін. Геморрагиялық инфаркттың негізгі формасы веноздық инфаркт болып саналады, соның себептері окклязия болып табылады. Қызыл инфарктіні микроскоппен коргенде мүшенің қалыпты құрылымы жойылған, қанмен лық толған ұсақ қантамырынан тыс жерде быжынағанэритроциттер көрінеді. Венада қанның іркіліп ағуы мұндай инфарктке әкеліп соғатын қолайлы жағдай. Әдетте қызыл инфаркт ішекте, өкпеде, талақта кейде бүйректе де кездеседі.
3 сурет Бүйректегі қызыл инфаркт
4 сурет. Қызыл инфаркттың микроскопиялық көрінісі
5 сурет Бүйректің қызыл жиекті ақ инфаркті
6 сурет Қызыл жиекті ақ инфаркттің
микроскопиялық көрінісі
Миокард түрлері
Ангиноздық түрі миокард Астмалық түрі - миокард
Аритмиялық түрі - миакард Абдоминальдік түрі
Диспепсиялық түрі. Коллапстық түрі.
Церебральдік түрі. Шетік (перифериялық) түрі .
Симптомсыз, ''мылқау'' түрі. Оң қарыншаның жедел
шамасыздығымен дамитын түрі .
Тотальді жүрек шамасыздығымен Миокард инфарктының ауырсынусыз
дамитын түрі. түрлері
Миокард инфаркты
Миокард инфаркты - тәж қанағымының миокардтың мүқтаждығын қамтамасыз ете алмауынан дамитын миокардтың ишемиялық некрозы.
Этиологиясы . Миокард инфарктының негізгі себебі - тәж артерияларының стеноздаушы артеросклерозы. Миокард инфаркты дамуының тікелей себептері:
1) тромбоздың салдарынан тәж артериясының оккюзиясы.
2) артеросклероз түймедағының арасында қан құйылып ісінуінен тәж артериясының бітелуі.
3) критикалық стеноздың үстінде тәж артериясының түйілуі.
4) тәж артериясның критикалық стенозы үстінде миокардтың оттегіге сүранысының күрт артуы (мәселен ауыр дене қызыметінең симпатоадренал жүйесі белсенділігінің аса жоғарылауынаң) .
Аталған тікелей себептерімен бірге миокард инфарктының дамуында келесі бейімдеуші факторлардың манызы зор: тәж артерияларының тармақаралық коллатеральдік байланыстарының жеткіліксіздігі, қанның тромбтар түзу қасиетінің артуы, микроциркуляциялық бұзылыстар .
Ангиноздық түрі миокард
инфаркты ангиноздық статустан басталады -төстің немесе жүректің тұсыедағы ауыру устамасынан. Көбіне ауырсынудын сипаты аса қатаң салмақ батқандай кеудені жыртқандай немесе ашытып күйдірілгендей болып сезіледі. Ауру сол қолқа иыққа сол жауырынға мойынның сол жақ бетіне жақтын сол жартысына тарайды. Нитроглицериннен женілдік болмайды. Ауыру стенокордияға қарағанда ұзаққа созылады, мысалы бірнеше сағатқа. Ұстама кезінде науқасты өлім үрейі беилеп, салқын тері басады .
Астмалық түрі - миокард
инфаркты ауырсынусыз, бірден жүрек астымасынан басталады. Миокард инфарктының мұндай бастамасы жүрегінде бірнеше постинфакттың аыртығы немесе диффузды кардиосклерозы бар қарт адамдарға және папиллярлық бұлшықеттің некрозына тән. Науқас ентігіп орпопноэ күйінде болады. Өкпеде алдымен ұсақ көпіршікті, кейін орта және ірі көпіршікті ылғалды сырылдар алыстан естілген қырылды тыныс пайда болады. Өкпе артериясянда 1 тонның акценті естілді. Шулы қырылды тыныс кейде жүрек тондарын естіртпейді. Миокард инфарктының астмалық түрі өте ауыр болғандықтан, көбіне өлімге алып келеді.
Аритмиялық түрі - миакард
инфаркты пароксимзмдік ырғақ бұзылысынан (жыбыр аритмия, атриовентрикулалық блокададан) басталады. Мүндай жағдай өткізу жүйесінің некрозға немесе ишимияға ұшырауынан болады.
Абдоминальдік түрі
инфаркттың бұл түрінде ауырсыну эпигастрий кіндік мықын және қабырға асты аймақтарында орналасады. Сондықтан науқас ауырсынуды іш қуысы ағзалаының патологиясымен байланыстырары. Клиникалық көрінісі асқазан мен онекіелішектің жара ауруына панкреатитке, жедел холециститке, аппендицитке ұқсайды. Диогноз қате қойлылғанда науқас ихирургиялық емге алынуы ықтимал. Сырқаттың белгілерін сүрыптағанда ауырсынудынң іш қуысында басым орналасқанымен, оның диафрагма күмбезінен жоғары, яғни кеуде қуысында тарауын ескерген жөн.
Диспепсиялық түрі. Абдоменальдік түрден айрықша, инфаркттың бұл түрінде іш қуысында ауырсыну болмайды. Басты белгісі - тағамдық интоксикацияға ұқсас дтспепсиялық бұзылыстар; жүрек айнуы, құсу . Бұл вариант мезентериялық артериялардың артеросклерозы және ас қорту жолдарының ілеспелі аурулары бар қарт науқастарда кездеседі
Коллапстық түрі.
Миокард инфаркты жедел тамыр шамасыздығынан басталады, артериялық және веналық қысымдар күрт төмендейді, науқастын әлі құрып тері басады, терісі бозарады, есі кіресілі - шығасылы болады ағыл - тегіл терлейді веналары жасырынады. Әрі қарай диурез азаяды және микроциркуляциялық бұзылыстар аса көлемді некроздын дамуында кездеседі.
Церебральдік түрі.
Миокард инфаркты неврологиялық белгілерден басталады. Онын белгілері ми қанайналымы бұзылысының көрінісіне ұқсайды. Миокард инфарктының бұл түрі ауыр церебральдік атеросклерозы бар науқастарда байқалады.
Шетік (перифериялық) түрі
. Бұл түрі жүрек тұсында, төс маңында, тіпті кеуде сарайында аурсыну болмайды. Ауырсыну иррадиация аймақтарында
ғана (иықта, жақта, мойында т. б. ) сезіледі. Ауырсыну деңгеиі әртүрлі, бірақ көбіне айтарлықтай емес. Инфарктің бұл түрі көбіне егде, қарт, ауыр атеросклерозға шалдықан адамдарға тән.
Симптомсыз, ''мылқау'' түрі. Миокрад инфаркты жасырын дамиды. Көрінісінде себепсіз әлсіздік бастын аздап ауруы мен ауыруы мен айналуы, шамалы ентікпе, тәбеттің төмендеуі, ұйқының бұзылуы, АҚ құбылысы, субфебрильдік қызба байқалуы мүмкін. Науқас өз жағдайын жағмсыз ауа райымен, салқындаумен байланыстырып, бұл белгілерге мән берместен аяқ устінде жүре береді. Симптомсыз миокаард инфаркты кездесоқ тексерілгенде немесе ЭКГ-да қалған тыртықтық өзгерістерден анықталады. Миокрд инфарктының симптомсыз түрі кенет өлім себебінің бірі болып табылады.
Оң қарыншаның жедел шамасыздығымен дамитын түрі . Миокард инфаркты оң қарыншаның жедел шамсыздығынан басталады. Бұл жағдайда оң қабырғалықта асты өткір ауырады, бауыр тез ұлғаяды, жүрек айнуы, құсу байқалады және 18-20 сағаттан кейін ісіну пайда болады. Бұл оң қарыншаның жәке инфарктыда (өте сирек) немесе төменгі артқы инфаркттың оң карыншаға таралуынан болады. Оң қарыншалық инфаркт кеуденің оң жартысынан түсірілген кеуде тіркемерілнен анықталады.
Тотальді жүрек шамасыздығымен дамитын түрі. Миокард инфарктының бұл түрінде ауырсыну болмайды. Сол және оң қарыншаның қатар көлемі некрозға ұшырауынан іркілес екі шенберде бір уақытта дамиды. Сол қарынша шамасыздығы журектік астма және өкпенің ісінуімен, оң қарынша шамасыздығы үлкен шенбердегі жетіп дамитын іркіліспен білінеді (бауырдың тез ұлғайып, қатты ауырсынуы, журек айнуы, құсу т. б. )
Шартты түрде миокард инфарктының астмалық коллапстық, церебральдік, диспепсиялық аритмиялық симптомыз және оң қарыншаның жедел шамасыздығымен, тотальді жүрек шамасыздығы мен дамитын түрлері жатады. Инфаркттың типті түріне қарағанда бұлардың барысы ауыр және өлімге жиілеу алып келеді. Өлімнің жиілігі бір жағынан кеселдің уақытылы анықталмай, науқастың ауруханаға кеш түсуінен де болады.
Миокард инфаркыының ауырсынусыз түрлері көбіне жас ұлғайған шақта, жүйелі атеросклероздың ауыр түрінде, миокард инфарктымен бірнеше рет ауырған адамдарда, ЖИА артериялық гипертониямен, қантты диабетпен қатар жүргенде, яғни ауырсынуға сезімталдық төмендеген жағдайларда дамиды. Бұдан басқа барысына қарай миокард инфарктының рецидивтеуші, созылыңқы және қайталамалы түрлерін айырады.
Рецидивтеуші миокард инфаркты - инфаркттың өткір және өткірлеу кезендерінде (3-4апта ішінде) жаңа некроз ошақтарының дамуы. Егер жаңа некроз ошақтары 8 аптадан (бұрынғы инфаркт тыртықтталғаннан ) кейін пайда болса, оны қайтатамалы миокард инфаркты атайды. Миокард инфарктының созылыңқы барысы - некроз ошағындағы репарация процесінің бояу жүруі. Бұл жағдайда лабораторриялық, ЭКГ-лық көрсеткіштердің динамикасы қалынқы. Инфаркттың барысы ұзарып, науқастың сауығуы көпке созылады. Мұндай барыс әлсіреген, ілеспелі аурулары, ауыр стеноздаушы коронароскллерозы бар кәрі жануарларға тән.
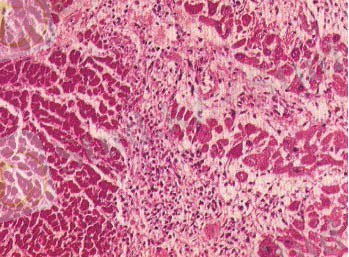
7 сурет. Миокард инфаркті.
... жалғасы8 сурет. Миокард мироскопиялық көрінісі
Ми инфаркты. ми қан тамырларының окклюзиясына, тромбо-зына, эмболиясына байланысты дамиды. Ми инфарктының даму-ыңда ми қан тамырлары арасындағы коллатералдық жолдардың маңызы зор, себебі ми қан тамырлары бір-бірімен өте тығыз бай-ланысқан. Вимизий шеңбері осы жолдарды байланыстырып түра-ды. Мидағы инфаркт негізінен мидың орта артериясының бассейнінде дамиды. Ми артерияларының окклюзиясы (тарылып қалуы, тығындалуы) негізінен атеросклероздық өзгерістерге байланысты. Атеросклероздық өзгерістер ми артерияларыңда ғана емес, омыртқа артериясында (a. vertebralis) және ішкі үйқы артериясын-да да дамуы мүмкін. Пайда болған атеросклероздық табақшалар артериялар саңылауын тарылтып немесе бүтіндей бітеп тастайды.
Ми тамырларының эмболиясы өртүрлі жағдайларда кездеседі - тромбоэмболиялар: 1) жүрек инфарктындағы қабырғаішілік тром-бтар нәтижесінде; 2) ревматизмдік сүйелді эндокардит ошақтарынан; 3) жүректің ауыр аритмиясында; 4) атеросклероздық табақ-шаларда; 5) жүрекке операция жасалғанда пайда болуы мүмкін. Май, ауа эмболияларында мидағы өзгерістер инфарктқа дейін жетпейді. Эмболиялық ишемия аймақтарьшың айналасында май-да қан қүйылу ошақтары көрінеді (168-сурет) . Сирек жағдайларда түйінді периартериит, жүйелі қызыл жегі және де басқа васкулит-тердегі қан тамырларының өзгерістері де мида инфаркт дамуының себебі бола алады.
Морфологиясы бойынша инфаркттың ақ (ишемиялық), қызыл (геморрагиялық) және аралас түрлерін ажыратады. Мидың ақ инфаркты (ишемиялық инсульт) дамыған аймақтарда алғашқы 6-12 сағатта ісіну, жүмсару белгілері пайда болады. 1 тәуліктен кейін мидың ісінген жерлері өте болбыр, кесіп қарағанда пышаққа жа-бысатын болып қалады. Инфаркт аймағыңда мидың сүр және ақ заттары арасындағы шекара жойылады. Тек 48-72 сағаттан кейін ғана ишемиялық некроз ошақтары ісіп, былжырап, ыдырап, аньгқ көрінеді. Микроскоппен қарағанда инфаркт аймағында нерв жасушаларының хроматолизі, пикнозы, ишемиялық өзгерістері, некрозы көрінеді. Нерв аксондары бөлшектеніп кетіп, олардың миелиндік қабығы ьдырайды. 48 сағаттан соң инфаркт аймағында лейкоциттёр пайда болады.
![]()
- Іс жүргізу
- Автоматтандыру, Техника
- Алғашқы әскери дайындық
- Астрономия
- Ауыл шаруашылығы
- Банк ісі
- Бизнесті бағалау
- Биология
- Бухгалтерлік іс
- Валеология
- Ветеринария
- География
- Геология, Геофизика, Геодезия
- Дін
- Ет, сүт, шарап өнімдері
- Жалпы тарих
- Жер кадастрі, Жылжымайтын мүлік
- Журналистика
- Информатика
- Кеден ісі
- Маркетинг
- Математика, Геометрия
- Медицина
- Мемлекеттік басқару
- Менеджмент
- Мұнай, Газ
- Мұрағат ісі
- Мәдениеттану
- ОБЖ (Основы безопасности жизнедеятельности)
- Педагогика
- Полиграфия
- Психология
- Салық
- Саясаттану
- Сақтандыру
- Сертификаттау, стандарттау
- Социология, Демография
- Спорт
- Статистика
- Тілтану, Филология
- Тарихи тұлғалар
- Тау-кен ісі
- Транспорт
- Туризм
- Физика
- Философия
- Халықаралық қатынастар
- Химия
- Экология, Қоршаған ортаны қорғау
- Экономика
- Экономикалық география
- Электротехника
- Қазақстан тарихы
- Қаржы
- Құрылыс
- Құқық, Криминалистика
- Әдебиет
- Өнер, музыка
- Өнеркәсіп, Өндіріс
Қазақ тілінде жазылған рефераттар, курстық жұмыстар, дипломдық жұмыстар бойынша біздің қор #1 болып табылады.

Ақпарат
Қосымша
Email: info@stud.kz