Хламидилер - торша ішілік тоғышарлар


Жоспары:
Кіріспе.
Негізгі бөлім:
- Хламидиоз дегеніміз не?
- Қой және ешкінің хламидиоздық іш тастауы
- Қой және ешкінің хламидиоздық іш тастауы кезіндегі ветсан сараптау.
Қорытынды.
Пайдаланылған әдебиеттер.
Кіріспе. Қазақстан Республикасында қой шаруашылығы -мал шаруашылығының жоғары сапалы мол өнім беретін ұтымды саласы. Қойдың басын және өнімін көбейтуде инфекциялық ауруларға дер кезінде диагноз қойып, аурудың алдын алудың маңызы зор.
Саулықтарға буаздықтың соңғы кезінде іш тастататын, осы іш тастаудан кейін сепсистен саулықтарды өлтіретін, сонымен қатар әлсіз, тіршілікке қабілеті төмен төлдер туатын, ересек қозыларда пневмония, артрит тудыратын және саулықтарды қысыр қалдыратын хламидиоз ауруы үлкен экономикалық зиян кетіреді.
Хламидиоз ауруының қой шаруашылығында кең тарауына ауруға диагноз қою мен алдын алу шараларының әлде болса жеткіліксіздігі себеп болып отыр.
Сонымен қатар аурудың кең таралуына хламидиоз ауруынан кейін көп малдардың хламиди тасымалдаушы болып қалып, аурудың таралуына қолайлы жағдай жасайды.
Қой хламидиозына диагноз қою мен тәндік алдын алу осы күнге дейін зерттелуде.
Осы ауруды зерттеуде ТМД елдерінің көптеген ғалымдарының еңбектері зор (И. И. Носов, А. А. Волкова, 1965; А. Актаев, 1970; Ю. Д. Караваев және басқалар 1971; Н. З. Хазипов және басқалар 1984 ; Х. З. Гафаров 1984; ) .
Қазақстанда қойдың хламидиозды іш тастауын алғаш рет 1966жылы О. Ш. Байтурина және Б. А. Матвиенко (1969) ашты. Республиканың оңтүстік аймағында бұл ауруға диагноз қоюға атсалысқан Ш. Б. Абишева (1970) .
Қазіргі уақытта қой хламидиозы республикамыздың барлық аймақтарында кездеседі. Сол себепті қойдың хламидиоз ауруына диагноз қою мен алдын алу өзекті мәселе болып саналады.
Хламидиоз - жыныстық қатынас арқылы жұғатын жұқпалы ауру. Хламидиоздың қоздырғышы - хламидия бактериясы (лат. Chlamydia trachomatis) . Жұқпалы жыныс ауруларының ішіндегі ең кең таралғаны болып есептеледі.
Хламидия (лат. Chlamydia trachomatis) - жұқпалы хламидиоз ауруын тудыратын бактерия. Хламидиядың қауіптілігі-ағзада ешбір белгі білдірмейтіндігі жатыр. Індеттің бар-жоғын анықтау үшін арнайы медициналық тексерулерден өту қажет. Егер жұқпалы ауруды уақытылы ауыздықтамасаң оның зиянды салдарына душар боласыз. Сол үшін дер кезінде емделу қажет-ақ. Хламидия жатыр түтікшелерінің қызметін бұзып, оның салдары бедеулік пен жатырдан тыс жүктілікке әкеп соқтырады. Инфекцияның алғы белгісі іштің төмен жағына ауырлық түсіретіндігінде. Ол басқа мүшелердің ауруын қоздырады. Хламидиядан қорлық көріп жүрген еркектердің жұмыртқасына суық тиіп, қуық жолары ісініп, кей жағдайда қызарып, дәрет сындыра алмайтындай жағдайға түседі.
Хламидилер прокариотты грамм әдісімен теріс боялатын микроорганизмдер қатарына жатады . Микробиология қоғамының Халықаралық комитетінің шешімі бойынша 1980 жылдың 1-ші қаңтарынан бастап өзіндік тәртіппен жіктелді. Chlamydiales қатары Chlamydiacea тұқымдастығына бөлінеді . Бұл тұқымдастыққа бір ғана туыс енгізілді : Chlamydіа. Ал Chlamydia туысы Chlamydia psittaci және Chlamydia trachomatis болып екі түрге бөлінеді .
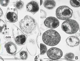
Хламидилер - торша ішілік тоғышарлар . Хламидилердің жетілген жұқпалы түрі элементарлы денешіктер түзейді (ЭД) . Өсіп-өнуінде вегетативті торшалар мен ретикулярлы денешіктердің пайда болуымен сипатталады . Элементарлы денешіктердің пішіні шар тәрізді, көлемі 270-350 нм. Хламидилердің элементарлы денешігі ригидалық торшалар қабырғасы мен цитоплазмалық қабатпен шектелген . Цитоплазмаының ортасында ДНҚ мен рибосома бар . Торша қабырғасының қалыңдығы 80А болатын күрделі құрамнан тұрады . Торша мембранасының ішкі қабатының диаметрі -20 нм болатын бірліктерден тұрады . Хламидилердің генетикалық аппараты нуклеоид түрінде сыртына қарай орналасқан тығыз бір молекулалы ДНҚ-дан тұрады.
Хламидидің өзіндік зат алмасу қасиеті болғанымен тоғышарларға жатады, олардың өмірі иесінің торшасының энергия алмасуына байланысты . Хламидилердің өсіп-өнуі бірнеше сатыдан тұрады . Алдымен адсорбция сатысы басталады . Хламидилердің элементарлық денешіктері сезімтал торшаларға жабысады . Екінші сатысында ЭД ретикулярлық денешіктерге (РД) айналады . РД көлемі 500-1200 нм дейін барады . Ретикулярлық денешіктердің даму циклінде «аралық денешіктер» пайда болады, ал аралық денешіктер элементарлы айналады да, торшадан шығады . Хламидилердің торшадан шығуы екі түрде өтеді. Иесінің торша қабықшасы жыртылғанда белсенді лақтыру жолымен және плазмолемма жыртылғанда ақтарылу жолымен шығады. Бір элементарлық денешіктің өзінен ғана 200-1000-ға дейін ұрпақтары бөлініп шығады . Хламидилердің өсіп-өнуінен торшадағы биосинтетикалық процесстер тежеледі .
Іш тастау - буаздық кезең тоқтап, жатырдағы ұрық жартылай немесе түгелдей жойылып кетуі, болмаса дамыған немесе өлген ұрықтың жатырдан сыртқа шығарылуы. Кей мал үнемі, кейбіреулері 1 - 2 рет іш тастайды да, одан әрі қалыпты төлдейді. Іш тастаудың жасырын түрі де кездеседі. Бұл жағдайда өлі төл жатырда жатады. Әдетте төл өлгеннен кейін 2 - 3 тәулік өткен соң мал іш тастайды, кейде төл іште солып, ферменттердің әсерінен оның жұмсақ тіндері іріп түседі де, жатырда тек сүйегі ғана қалады. Болмаса төл іште шіріп, малдың өліміне соқтырады. Іш тастау - жұқпалы емес және жұқпалы деп екіге бөлінеді. Жұқпалы емес Іш тастаудың себептеріне: дамып жатқан ұрықтың табиғи кемшілігі, малдың жатыр, бауыр, жүрек, бүйрек, өкпе, т. б. аурулары, буаз малға құнарсыз, бұзылған азық беру, жарақаттану, құлау, буаз малдың шамадан тыс шаршауы және жатырдың дұрыс жетілмегендігі жатады. Жұқпалы Іш тастау - бруцеллез, қылау, вибриоз, трихомониаз, т. б. аурулар әсерінен болады. Буаздық мерзімінің алғашқы үштен бір бөлігінде Іш тастау белгілері алдын ала білінбейді, әдетте төл шаранамен бірге шығып қалады немесе жатырда ыдырап, малдың бойына сіңеді. Іш тастау бұдан кеш болса, онда малдың азыққа тәбеті нашарлайды, дене температурасы көтеріледі, іш тастағаннан кейін шуы түспей, жатыры қабынып, одан қан аралас қоңыр жалқаяқ ағады. Малдың қандай аурудан іш тастағанын анықтау үшін қаны алынып, түсікпен бірге мал дәрігерлік бактериология лабораторияға жіберіледі. Іш тастау белгісі білінген малды дереу оқшаулап, оның тұрған қорасы мен құрал-саймандарға дезинфекция жүргізу керек. Іш тастаған малдың бөксесін, желінін, құйрығын креолиннің 3%-дық ерітіндісімен жуады. Мал іш тастаған орынға ағаш үгіндісі, шымтезек немесе топан шашып, кейін оны қағанақпен бірге жинап алып өртеп жібереді. Бұдан кейін қораны тазартып, сөндірілген әктің 10 - 20%-дық, күйдіргіш натрдың 2%-дық ерітіндісімен, т. б. залалсыздандырады. Іш тастаған малдың шуы түспей, жатыры қабынып, ауруы асқынса, оны әдеттегідей емдеуден өткізеді
Қойдың хламидиозды іш тастауын алғаш рет Шотландия ғалымы И. Стемп 1950 жылы ашқан Ол ауру қоздырушысын қойдың қынабынан аққан сұйықтан бөліп алған. Қоздырушыны тауық эмбрионына пассаж жасау арқылы және буаз қойларға енгізу арқылы осы ауруды дәлелдеген .
Бұрынғы кеңес мемлекетінде қойлардың хламидиозды іш тастауы жөнінде И. И. Носов (1965) , Н. Ф. Шербань және басқалар (1967) , А. А. Волкова мен А. Ф. Тимофеев (1967), О. Ш. Байтурина (1969) хабарламалар жасады. Олар кейбір шаруашылықтарда күйлі қойлардың жаппай іш тастауын байқаған.
Х. З. Гафаров (1984) шаруашылықтағы 560 буаз қойдың 62-сінің іш тастағанын хабарлайды . Іш тастау буаздықтың 5 айында жас және кәрі қойларда кездескен. Іш тастаған қойлардың жатырынан Cl. psittaci қоздырушысын бөліп алған.
Н. З. Хапизов және басқалар микроорганизмдерге қарағанда хламидилердің өсу, даму циклі тек торша ішінде болатындықтан, олар жануарларды жіті және созылмалы аурулар шақыратындығын, ал қойларда жаппай іш тастайтындығын айтады .
Болгариялық ғалымдар П. Нейков, Г. Гейчев, Д. Арнаудов (1988) 656 қойдың қан сарысуын серологиялық әдіспен тексергенде 20, 2 % хламидиозға оң нәтиже бергенін хабарлайды.
Ағылшын ғалымы M. Prettejohn (1988) қойлардың хламидиозды іш тастауының қоздырушысы Cl. рsittaci екендігін дәлелдеп, бұл қоздырушыға қой, ешкі және адамдарда сезімтал екенін хабарлайды .
И. И. Носовтың (1965) айтуы бойынша қойлар хламидиоз қоздырушысымен алиментарлық жолмен және күйек кезінде қошқарлар арқылы зақымданады.
Ағылшын ғалымдары I. P. Aitken және басқалар (1990) қойдың хламидиозды іш тастауының қоздырушысы Cl. рsittaci екенін айтып, Ұлыбританияда осы аурудан жылына 10-20 миллион фунт-стерлинг зиян шегетіндігін хабарлайды.
Азербайжан ветеринариялық ғылыми зерттеу институтының ғалымдары Г. А. Сариев және басқалар (1984) қойдың хламидиоз ауруының қоздырушысын жабайы құстар тасымалдайтынын айтады.
Біздің университеттің ғалымдары Ш. Б. Абишева (1972), О. Ш. Байтурина, Б. А. Матвиенко, Д. Е. Арзымбетов (1985, 1987), А. Ж. Макбузов (1993) ; Қ. А. Түлкібаев (2002) ; Қазақстанның шаруашылықтарындағы қойлардың хламидиозды іш тастауын зерттей отырып, аурудың 70 % іш тастағаннан кейін анықтауға болатындығын, содан кейін ауруды анықтау төмендейтінін, 3 ай өткеннен кейін 18 %, ал 12 айдан кейін тек 3, 4 % диагностикалық титрмен анықталатынын, сонымен қатар ұрықтандыру алдында хламидиоз 9 % анықталса, буаздық кезінде 20 %, ары қарай жартысы зақымдалып іш тастайтынын хабарлайды.
Жасырын түрде ауырған, тексерген кезде оң нәтиже берген қойлар инфекцияның көзі болып табылады . Тексерілген 2861 қошқарлар мен 896 жас қошқарлардың 9 % -ті хламидиозға оң нәтиже берген. Бұл хламидиоз ауруының қой шаруашылығында кең тарағандығын көрсетеді .
Сонымен қатар қойдың хламидиоз ауруы шаруашылықтарда басқа инфекциялық аурулармен бірге кездеседі.
К. Водас, С. Мартинов (1987) , Н. Worbes, J. Streu (1988) қойлардың іш тастауы кезінде бір мезгілде риккетсий, хламидий, сальмонелла, кампилобактериялар бөліп алған, яғни аралас инфекция болғанын хабарлайды. О. Ш. Байтурина және басқалар (1985) ; А. Ж. Макбузов( 1993) ; Түлкібаев Қ. А. (2002) ; шаруашылықтарда қойлардың хламидиоз ауруы сальмонеллезбен бірге кездесетінін анықтаған.
Отандық және шет ел ғалымдарының зерттеулері бойынша қой шаруашылығында хламидиоз аурулары жиі кездесетіні және олардың моно- немесе аралас түрде өтетіні анықталды. Сол себептен хламидиоз ауруының алдын алудың маңызы зор. Осы салада бірнеше талпыныстар болды.
Хламидиоз ауруы кезінде иммунитет және оның пайда болу механизмі әлі толық зерттелмеген .
И. З. Хапизов және басқалар (1984) зерттеулері егілген қойлардан төлдеріне антидене туғаннан кейін 5-6 күнге дейін берілетінін көрсетеді.
Қой хламидиозының арнаулы алдын алу үшін дүние жүзінде әртүрлі тәжірибелік тірі және әлсіретілген вакциналар алынған.
Шет елдерде инактивтендірілген және гидроокись алюминий қосылған тауық эмбрионының тұқым қабықшасы мен сары уызының суспензиясынан жасалған вакцина қолданылады .
Германияда ағылшын фирмасы жасаған «Вэллком» майлы адъюванты инактивтендірілген вакцина сыналған. Осы кезде Венгрияның «Филаксия» фирмасы жасаған инактивтендірілген эмульгирленген вакцинасы кең қолданыс табуда. Сонымен қатар Бүкіл Ресейлік ветеринариялық тәжірибе институтында Ю. Д. Караваевтың басшылығымен жасалған эмульгирленген вакцина қой хламидиозының алдын алуда жақсы нәтиже көрсетті. Егілген малдарды 90 % -ға дейін хламидиоздан сақтаған. (И. З. Хапизов және басқалар (1984) бойынша жазылған) .
Р. Х. Хамадеев және басқалар (1983) қой хламидиозына қарсы тірі және инактивтендірілген вакциналардың шаруашылыққа енуі жөнінде вакцинаның тиімділігі эпизоотологиялық жағдайға, еккен жеріне, буаздықтың кезеңдеріне және басқа жағдайға байланысты екенін хабарлаған . О. Ш. Байтурина және басқалар (1985, 1987) , А. Ж. Макбузов (1993) К. С. Шманов және басқалар (1998) , Ұ. М. Нарымбетова және басқалар (1998) , Түлкібаев Қ. А. (2002) қойлардың хламидиоз ауруларының арнаулы алдын алуда Венгрияның «Филаксия» фирмасының вакцинасын моно- және кешенді қолданғанда тиімді екенін көрсетеді.
Хламидиозды зерттеуге арналған материал ретінде түсік тасталған төлдер, олардың паренхиматозды органдары және плацента алынады. Зерттеуге қажетті материал төлдеу науқаны кезеңінде жиналды, ол үшін тығыны бар стерильді банкілер пайдаланылды. Банкідегі материал физиологиялық ерітіндіде (NaCl) ерітілген стрептомицинмен өңделген, оның қатынасы 500 ә. б. /мл құрады . Алғашқы материалдан стерильді жағдайда ет-пептонды сорпадағы (ЕПС) 10 %-дық суспензиялар дайындалды, рН -7, 2-7, 4 . Содан соң суспензияларды ЕПС, ет-пептонды агар (ЕПА) қоректік орталарына өсіру арқылы стерильділікке тексердік . Хламидилерді анықтау үшін тексерілген алғашқы материал 6-7 күндік тауық эмбриондарына жұқтырылды . Тәжірибеге 10 тауық эмбрионы алынды.
Қой хламидиозының клиникалық белгілері мен паталогоанатомиялық өзгерістері осы инфекцияға ғана тән емес. Көптеген түсіктер, плаценталар және өмір сүре алмайтын қозылардың тууы тек хламидиялық түсікті болжауға негіз береді. Сондықтан балауды аурудың клиникалық белгілерін, эпизоотологиялық жағдайын ескеріп, паталогоанатомиялық өзгерістерді тексеріп және зертханалық зерттеулердің нәтижелерін қосып барып қана қояды. Хламидиоздық іш тастау ауруының диагнозы мына зертханалық зерттеулер арқылы қойылады .
... жалғасы- Іс жүргізу
- Автоматтандыру, Техника
- Алғашқы әскери дайындық
- Астрономия
- Ауыл шаруашылығы
- Банк ісі
- Бизнесті бағалау
- Биология
- Бухгалтерлік іс
- Валеология
- Ветеринария
- География
- Геология, Геофизика, Геодезия
- Дін
- Ет, сүт, шарап өнімдері
- Жалпы тарих
- Жер кадастрі, Жылжымайтын мүлік
- Журналистика
- Информатика
- Кеден ісі
- Маркетинг
- Математика, Геометрия
- Медицина
- Мемлекеттік басқару
- Менеджмент
- Мұнай, Газ
- Мұрағат ісі
- Мәдениеттану
- ОБЖ (Основы безопасности жизнедеятельности)
- Педагогика
- Полиграфия
- Психология
- Салық
- Саясаттану
- Сақтандыру
- Сертификаттау, стандарттау
- Социология, Демография
- Спорт
- Статистика
- Тілтану, Филология
- Тарихи тұлғалар
- Тау-кен ісі
- Транспорт
- Туризм
- Физика
- Философия
- Халықаралық қатынастар
- Химия
- Экология, Қоршаған ортаны қорғау
- Экономика
- Экономикалық география
- Электротехника
- Қазақстан тарихы
- Қаржы
- Құрылыс
- Құқық, Криминалистика
- Әдебиет
- Өнер, музыка
- Өнеркәсіп, Өндіріс
Қазақ тілінде жазылған рефераттар, курстық жұмыстар, дипломдық жұмыстар бойынша біздің қор #1 болып табылады.

Ақпарат
Қосымша
Email: info@stud.kz