Токсоплазмоз қоздырғышы


I. Кіріспе
1. 1. Токсоплазмоз
II. Негізгі бөлім
2. 2. . Токсоплазмоз қоздырғышы
2. 3. Токсоплазмоз этиологиясы
III. Қорытынды
IV. Пайдаланылған әдебиеттер тізімі
Кіріспе
Токсоплазмоз - іштен туа бітетін немесе жүре пайда болатын, айқын клиникасында ОНЖ, РЭС-ағзалардың, жүрек, көз зақымымен көбінесе латентты және созылмалы формада өтетін зоонозды жұқпалы ауру. Токсоплазмозды - Т. Гонди деген қарапайымдар тудыратын, көбінесе мысықтар арқылы тарайды. Негізінде бұл өте кең тараған ауру, бірақта әлі күнге дейін дәрігердің көбі оған көңіл аудырмай, тіпті клиникасы мен диагностикасында біліңкіремей қоймайды. Бұл инфенкцияның маңызы келесі жағдайларға байланысты:
1. ауру қоздырғышы табиғатта кең тарауда
2. көптен адамдар осы қарапайымдармен инфекцияланған (дүние жүзінде 6-9% аралығында, бұрынғы КСРО-да 25-30%)
3. осы инфекция анадан іштегі баласына жұғуы мүмкіндігі өте жоғары. Нәтижесінде баланың ОНЖ зақымданып, кемтар, жарымжан балалар туады
4. осы инфекция көбінесе кезде нығаяды ( әсресе СПИД көрінісі)
5. бактериологиялық қарулар тобына кіреді
Негізгі бөлім.
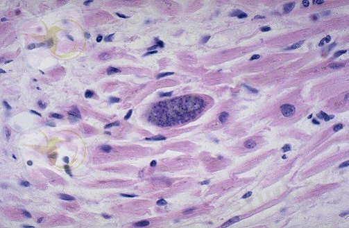
Токсоплазмоз - қоздырғышы бірнеше механиздер мен берілетін, клиникалық белгілері әр түрлі жасырын және созылмалы түрде дамыитын ауру. Қоздарғышы - апельсиннің бір бөлігіне ұқсас, бір шеті үшкірленген, екіншісі - жұмырланған, ұзындығы - 4-7 микрон. Токсоплазмалар барлық сүткөректілердің эритроциттерінен басқа жасаушалардың бәрінің ішінде өсіп-өніп көбейді. Қоздырғыштар бөліну жолымен көбееді және бірнеше жыл тіршілік етеді. Токсоплазмозмамен ластанғыш заттар құрғатылған кезде қоздырғыштар жылдам қырылады. Токсоплазмалар 40-50С температурада 15-20 мин, ал 60-80С-та 5-10 минуттан кейін өледі. 5-8С температуралық жағдайда токсоплазмалар суда бір тәулік, сутте - 2 тәулік тіршілігін сақтай алады. Ал, малдардың өлігінде 8 тәулікке дейін сақталады. Токсоплазмоз қоздырғыштары жыныстық және жыныссыз жолмен көбейеді. Жыныстық даму циклі-мысықтар мен мысық тұқымдастардың ішек жолында өтеді. Ауру мысықтарға тышқанды жеу арқылы жұғады. Жабайы кеміргіштермен қоректеген мысықтың нәжісінен адамға жұғады. Адам организмінде даму циклы 1-3 аптада аяқталады. Созылмалы процесе кезінде қоздырғыш бұлшық етте, мида және басқа органдарда түзіледі. Олардың даму циклы тоқтаусыз жүріп жатады. Мысықтар және мысық тұқымдастар - токсоплазмоз инвазия көзі және резервуары болып табылады. Сондай-ақ қоздырғыштары сүтқоректілер мен құстардан да табылады, олар паразиттің аралық иесі болып табылады. Әсіресе тышқан тектес кеміргіштер мен қояндар жиі зақымданады. Адам организмде болған токсоплазмоз қоздырғыштары құрсақтағы балаға өте зиян.
Этиологиясы
Т. Гонди (1908ж) -клеткалардың ішінде паразиттік тіршілік ететін қарапайым. Организмде 4 формада болуына тиісті:
-вегетативті (жедел токсоплазмозды тудыратын)
-негізгі циста түрінде (созылмалы жасырын формаларда)
-жалған циста түрінде (көбінесе жедел формаларда)
-оциста-тек қана негізгі иесінде-мысықта болатын түрі
Мысық бір аптаның ішінде 1, 5 млрд ооцисталарды шығарады екен.
Эпидемиологиясы
Эпидемиологиясы табиғат ошақтарды құратын зоонозды инфекия. Көптеген мал-хайуандарда, құстарда токсоплазмозды жұқтыру қабілеті зор болады. Сырқат көбінесе жылы жақтарда кең тараған. Айтып кеткендей, дүние жүзінде орташа алғанда 20-25% халық токсоплазмоздармен инфекцияланған. Ауру көзі ретінде мал мен құстар шығуы мүмкін. Иттер өздері ауруға мүмкіншіліктері бар, бірақта ауруды таратпайды. Адамнан сырқат жұқпайды, тек анадан-перзентке іштен бітуі мүмкін.
Берілу жолдары:
1) алиментарлы-95-96% 2) тері және шырышты қабаттардың жарақаттарынан-3-4% 3) трансплацентарлы Бірақта ойда сақтайтын жағдай: анадан балаға жұғу мүмкіншілігі тек анасы екі қабат кезінде жедел токсоплазмозбен ауырған кезде болады. Ал мұндай аса көп емес. Екі қабат әйелдер арасында жедел токсоплазмоз 0, 5-1% ғана болады. Ал созылалы формалармен ауырған немесе тасымалдаушылар осы инфекцияны тұқымға таратпайды. Қауіпті УІ айлар, ІХ ай латентті. - Қоздырғыш негізінде ауыз және нәжіс механизмімен таралады. Ол бірнеше жолмен атқарылуы мүмкін:
1. Ауыз арқылы шикі немесе жартылай шикі етті, фаршты пайдаланғанда;
2. Жанасу жолы-тұтас мал етін мүшелеу кезінде қасапшылардың және зарарлы заттармен жұмыс атқаратын лабораториялық қызметкелердің жарақаттанған қол терісі мен шырышты қабаттары арқылы;
3. Жүктіліктің бастапқы мерзімінде анасының құрсақ ішіндегі нәрестеге планцента арқылы жұғады.
Токсоплазманың жұғуы барлық елдерде кең таралған. Жасы ұлғайған сайын токсоплазмаларды жұқтыру ықтималдығы ұлғая түседі. Токсоплазманың жұғушылығы Қазақстанда, сонын ішінде Алматы қаласында бірдей емес, көрсеткіш 4-70% дейін байқалады. Себебі диагностикалық жұмыстың деңгейімен және гигиеналық ережелерді дұрыс орындау жағдайлары түсіндірілмейді.
Патогенезі:
Ас қорыту жолы арқылы-регионарлы лимфа түйіндеріне көбейеді- қабыну өзгерістер - инфекциялық гранулемалар. Лимфа түйіндерінен қанға өтуі мүмкін -бауыр, көк бауыр ОНЖ, миокард, бет, көзге т. б. Цисталар көп жылдар латентты түріне өтнді, сақтылынады. Патогенезінде өте маңызды роль аллергиялық өзгерістер (ГЗБ) 95-98%-инфекцияланған адамдарда - латентті инфекция (ГЗТ+ZdJ) (алл. пр. ) (Егерде инфекцияланған кезде әйел адам жүкті болса, ІІІ-УІ айларында қауіпті) .
Иммунитеті төмен адамдарда
(СПИД) -инфекция генерализденіп-сепсис түрінде өтіп, ауыр энцефалит - өлімге әкеледі. Созылмалы ағымында-өршу кезеңдері болады: туа біткен токсоплазмозда
-ІІІ айларында инфекцияланса - 50% клиникасымен туады
ІІІ-УІ айларында -25%
УІ-ІХ айларында клиникалық көріністерсіз
түсік, өлу туу, кемтар бала жүре пайда болады да, өзгерістер көбінесе бауыр, көк бауыр, лимфа түйіндерінде, миокардта.
Туа біткен токсоплазмозда
Көпшілік жағдайда токсоплазма жұққаннан кейін симптомсыз тасымалдаушылық қалыптасады. Токсоплазмалар жүйке жүйесінде, жатыр, көз тіндерінде өсіп-өнуге бейімделген, сондықтан ауру жұқтарған адамның ағзалары зақымданып, дертке шалдығады, түсік тастау, өлі бала туу т. б. жағдайлар болады. Токсоплазмом жылдың барлық кезеңдерінде болады, дегенмен, күзгі-қысқы, қысқы-көктемгі маусымдарда жиірек байқалады. Қала тұрғындары арасында токсоплазма жұғушылың біршама жоғары.
Клиникасы:
жүре пайда болатын токсоплазмоз: инкубациялық мерзім 3-21 күн, бірнеше айларға дейін ауырлығына байланысты. Температура 38-39С-продром
бөртпе-дақты- папулезды
лимфоаденит
гепатомегалия
спленомегалия
миокардит
энцефалит
Созылмалы түрі:
- әлсіздік - шаршағыштық - бас ауру - ұйқысыздық
Туа біткен токсоплазмоз
Туа біткен токсоплазмоз жедел немесе созылмалы формада өтеді.
Жедел формасы
клинкалық белгілері Туғаннан дами түседі. Яғни, баланың ыстығы көтеріліп, интоксикация пайда болып, денесіне бөртпе шығады. ОНЖ, бауыры, көзі зақымданған көріністер байқалады. Бөртпе характері белгінің бірі - дененің төменгі жағына кең тараған розеолезды-папулезды түрде.
ОНЖ
ОНЖ- энцефалит, менингоэнцефалит белгілері табылады.
Көзі
Көзі- хореоретинит, катаракта. Бала кейде өліп кетуі мүмкін. Кейде созылмалы формаға ауады - субфебрилитет, микроаденит, гепатоспленомегалия, баланың физикалық және ақыл-ойы дамуы төмен болады - олигофрения, эписиндром, микроцефалия, R-граммада - мида кальцификаттар табылады. Кейбір балаларда ең басынан баяу өтетін энцефалит түрінде болады. Онда бала 7-10-ға келгенде - көбінесе олигофрения деген диагноз қойды. Бірақта бәр олигофрендер - токсоплазмоздың нәтижесі деуге болмайды. Диагнозы қою үшін келесі лабораториялық әдістерді қолдануға болады:
паразитологиялық әдіс (табылуы қиян)
иммуноресцентты әдіс
гистологиялық тексеру (биопсия)
серологиялық әдістер КБР
РНГА, Сейбин-Фельдман реакциясы
аллергиялық проба (токсоплазминмен)
... жалғасы- Іс жүргізу
- Автоматтандыру, Техника
- Алғашқы әскери дайындық
- Астрономия
- Ауыл шаруашылығы
- Банк ісі
- Бизнесті бағалау
- Биология
- Бухгалтерлік іс
- Валеология
- Ветеринария
- География
- Геология, Геофизика, Геодезия
- Дін
- Ет, сүт, шарап өнімдері
- Жалпы тарих
- Жер кадастрі, Жылжымайтын мүлік
- Журналистика
- Информатика
- Кеден ісі
- Маркетинг
- Математика, Геометрия
- Медицина
- Мемлекеттік басқару
- Менеджмент
- Мұнай, Газ
- Мұрағат ісі
- Мәдениеттану
- ОБЖ (Основы безопасности жизнедеятельности)
- Педагогика
- Полиграфия
- Психология
- Салық
- Саясаттану
- Сақтандыру
- Сертификаттау, стандарттау
- Социология, Демография
- Спорт
- Статистика
- Тілтану, Филология
- Тарихи тұлғалар
- Тау-кен ісі
- Транспорт
- Туризм
- Физика
- Философия
- Халықаралық қатынастар
- Химия
- Экология, Қоршаған ортаны қорғау
- Экономика
- Экономикалық география
- Электротехника
- Қазақстан тарихы
- Қаржы
- Құрылыс
- Құқық, Криминалистика
- Әдебиет
- Өнер, музыка
- Өнеркәсіп, Өндіріс
Қазақ тілінде жазылған рефераттар, курстық жұмыстар, дипломдық жұмыстар бойынша біздің қор #1 болып табылады.

Ақпарат
Қосымша
Email: info@stud.kz