Аурудың өту ұзақтығына байланысты фиброзды - кавернозды өкпе туберкулезінің морфологиясы


Аурудың өту ұзақтығына байланысты фиброзды - кавернозды өкпе туберкулезінің морфологиясы
К І Р І С П Е
Мәселенің өзектілігі
Қазіргі кезде туберкулез ауруын дер кезінде анықтауда және емдеу шараларын жүргізуде көптеген жетістіктерге қол жетуіне қарамастан, күні бүгінге дейін ол бүкіл әлемде кең таралып, медико - биологиялық мәселе болып қалып отыр.
Соңғы жылдары өкпе тінінің деструкциясымен, үрдістің жайылмалылығымен сипатталатын оның жедел үдемелі, асқынған түрлері жиі кездеседі [Сазыкин В. Л, Сон И. М., 2006; Ерохин В. В, Гедымин Л. Е., 2008] . Екіншілік туберкулезбен алғаш ауырған науқастар арасында ФКТ- дің үлестік салмағының 13, 0%-ға дейін жоғарылауы аса көңіл тоқтатар мәселе болып отыр, себебі ол қолайсыз эпидемиологиялық жағдайдың сақталғандығын және деструктивті өкпе туберкулезінің кеш анықталғандығын көрсетеді [Шилова М. В., 2005] .
Аутопсиялық материалда негізгі өлім себептерінің ішінде екіншілік өкпе туберкулезінің түрлерінің арасында ФКТ алғашқы орында бола отырып, 65, 5 -67, 2% құрайды [Раимова Г. Д., Жаксылыкова Н. Т., Набокова И. П., 2006; Кобелева Г. В., Копылова И. Ф., 2007] . Көп жағдайда туберкулездік үрдістің өршуі өлім себебі болып табылды. Қазіргі таңда ФКТ өршуі экссудативтік тіндік реакцияның басымдылығымен, тез арада казеозды пневмонияның дамуымен және өкпе тінінің ыдырауымен сипатталады [Приймак А. А., Бутыльченко О. В., 2007; Нефедов В. П., Валиев Р. Ш., Девликамов Р. Ш., 2009] . Үдемелі туберкулездің морфологиялық көрінестері оның жедел, ауыр ағымды өтетіндігін көрсетеді және морфологиялық тұрғыдан антибактериалды ем жүргізілген кезеңге дейінгі туберкулездік үрдісті еске түсіреді. Туберкулездік үрдіске үнемі бронхтардың қатысып, казеозды панбронхиттердің дамуы туберкулездік қабынудың басым жағдайда бронхогенді жолмен таралуының дәлелі бола алады [Арифханова С. И., Исроилов Р. И., 2007] .
Туберкулез ауруы анықталғаннан бастап қайтыс болғанға дейінгі аурудың өту ұзақтығы қысқа мерзімге созылған науқастар санының үлестік салмағаның артуы ерекше көңіл аударар жағдай болып отыр: соның ішінде 26, 5% жағдайда бір жылға дейін созылған, ал 51, 5% байқауда оның ұзақтығы екі жылдан аспайды [Макаров И. Ю., 2007] .
Соңғы жылдары өкпе туберкулезінің деструктивті түрлерінде емнің тиімділігінің төмендеуі қоздырғыштың туберкулезге қарсы дәрілерге төзімділігінің кең таралуымен байланыстырылады [Шевченко А. А., 2001; Ағзамова Р. А., Қожамқұлов У. А., 2006; В. Н. Пряхина және т. б., 2007] . Қазақстан республикасында 2007ж дәріге төзімді туберкулез көрсеткіші 62, 5% тең болды, соның ішінде бұрын емделген науқастар арасында 76, 8%, ал алғаш анықталғандар арасында 49, 0% құрады [Исмайлова Ш. Ш., Бисмилда В. Л., Чингисова Л. Т., 2008] . Тұрғындар арасында ТМБ - ның дәріге төзімді штамдарының кездесуінің жоғарылауы инфекция көзінің және өлім көрсеткіштерінің артуының себебі болып отыр [Зюзя Ю. Р., Лепеха Л. Н., 2006; Мишин В. Ю., 2006; Берикова Э. А., 2008] .
Туберкулез ауруының ауыр үдемелі ағымды түрлерінің пайда болуына иммунитетті елулі төмендететін маскүнемдіктің, нашақорлықтың және АИВ- инфекциясының кең таралуымен байланысты дамитын әлеуметтік қолайсыздықтар ықпал етеді деген пікірлер бар [Задремайлова Т. А., Аксенова К. И., 2003; Пархоменко Ю. Г., Ерохин В. В., Зюзя Ю. Р., Лепеха Л. Н., 2007] . Патогенетикалық тұрғыдан бір-бірімен байланысы жоқ екі нозологияның қосарланып кездесуінің өзіндік ерекшеліктері болады және оларды дұрыс бағаламау диагностикада қиыншылықтар туғызып, қосарланған инфекцияның болжамын өте қолайсыз етіп, бұл мәселені қазіргі заманның ең маңызды мәселелерінің біріне жатқызуға болады [Тусупбекова М. М., Савченко В. Л., 2004; Хаертынова И. М., Валиев Р. Ш., 2009] .
Туберкулездің аурушаңдық және өлім көрсеткіштері КСРО-да ХХ ғасырдың 90-шы жылдарына дейін төмен болды, әрі қарай елдегі саяси өзгерістерге байланысты ол күрт нашарлады. Туберкулезбен күресу үшін соңғы уақытта көптеген шаралар қолданылды - туберкулезге қарсы ұлттық бағдарламалар ұйымдастыру, Қазахстанда ДДҰ - ның DOTS стратегиясы, DOTS (+), Stop TB бағдарламаларын қолдану туберкулезбен күрестің жаңа кезеңінің басталғанын дәлелдейді [Муминов Т. А., 2002; Диканбаева С. А., Ракишев Г. Б., Баймуханова К. Х., 2004] және жиі кездесетін туберкулездің түрлерінің морфологиялық өзгерістеріне талдау жасауды талап етеді.
Қазақстан Республикасының статистикалық мемлекеттік комитетінің мәліметтері [2009] бойынша туберкулездің аурушаңдық және өлім көрсеткіштерінің төмендеуі байқалып отыр, бірақ оның құрылымында деструктивті түрлерінің көбейуі және жедел өршіп, тез өлімге әкелуі фиброзды-кавернозды өкпе туберкулезінің өту ағымының ерекшеліктеріне, өлім себептеріне, оның эпидемиологиялық және морфологиялық аспектілеріне талдау жасауды талап етеді. Бұл жұмыстың маңыздылығы оның қазіргі заманға сай зерттеу әдістерін қолдана отырып морфологиялық талдау жасау арқылы ем жүргізілген науқастарда фиброзды-кавернозды туберкулезінің өршу себептерін анықтауға мүмкіндік береді.
Зерттеу мақсаты
Жұмыстың мақсаты аутопсиялық материал негізінде дәріге төзімділік түрлерін ескере отырып, фиброзды-кавернозды өкпе туберкулезін өту ағымының ерекшеліктерін зерттеу.
Зерттеудің міндеттері
1) Аутопсиялық материалдар негізінде аурудың өту ұзақтығына байланысты өкпелердің фиброзды-кавернозды өкпе туберкулезінің өту ағымының морфологиялық ерекшеліктерін зерттеу.
2) Дәріге төзімді фиброзды-кавернозды өкпе туберкулезі кезіндегі өзгерістердің морфологиялық ерекшеліктерін сипаттау.
3) Екіншілік аурулар кезіндегі фиброзды-кавернозды өкпе туберкулезінің патоморфологиялық өзгерістерін зерттеу.
4) Ақтөбе қаласының Облыстық патологиялық анатомия бюросының мәліметтері бойынша өлім құрылымындағы фиброзды-кавернозды өкпе туберкулезінің алатын орнын анықтау.
Ғылыми жаңалығы
Қазіргі заманғы өкпелердің фиброзды-кавернозды өкпе туберкулезінің өршу ерекшеліктеріне морфологиялық тұрғыдан сипаттама берілді. Фиброзды-кавернозды өкпе туберкулезінің өлім себептерінің ішінде туберкулездік үрдістің үдеуі 62% құрайтындығы көрсетілді. Қазіргі заманғы өкпелердің фиброзды-кавернозды өкпе туберкулезінің өршуінің морфологиялық көріністері:
- үлкен каверналардың басым кездесуі, перифокалды қабыну аймағының көлемді болып, сегментарлы және полисегментарлы казеозды пневмонияның дамуы;
- барлық бронхиалдық тармақтың патологиялық үрдіске қатысып туберкулездік панбронхиттердің дамуы;
- туберкулездік қабынудың лимфогенді және гематогенді таралуы нәтижесінде гранулематоздық лимфаденит және васкулиттердің дамуы;
- туберкулездік үрдістің ұзақтығы және фибропластикалық үрдістердің үдеуі мен деструктивті өзгерістердің дәрежесі арасында өзара байланыс анықталды.
Тәжірибелік маңыздылығы
Алынған мәліметтер үдемелі ағымда өтетін фиброзды-кавернозды өкпе туберкулезінің морфологиялық өзгерістеріне құрылымдық түсінік береді. Нәтижесінде өкпе туберкулезімен ауыратын науқастарда туберкулездің ағымының ерекшеліктеріне талдау жасауға жаңадан мүмкіндіктер ашады және ем тағайындау барысында қосымша көмек болады.
Үлкен бронхтарда анықталған арнамалы өзгерістер науқастарда бронхоскопия әдісін қолданып, өзгерген аймақтан биопсия алу арқылы морфологиялық тұрғыдан диагнозды нақтылауға және туберкулезге қарсы дәрілерді интратрахеалды жіберу арқылы қосымша емдеу тәсілін таңдауға мүмкіндік бере отырып, емнің нәтижелілігін жоғарылатады.
ЖИТС және қант диабетімен қосарланған кездегі туберкулездік ошақтың морфологиялық сипаты және олардың морфометриялық көрсеткіштері клиникада қосарланған патология кезіндегі туберкулездік үрдістің ауырлық дәрежесін, иммундық және эндокриндік статустың жағдайын бағалауға көмектеседі.
Қорғауға шығарылған негізгі қағидалар
1) Біздің зерттеулерімізде өкпелердің фиброзды - кавернозды туберкулезінің үдемелі ағымда өтуінің негізінде экссудативті-некротикалық тіндік реакцияның басымдылығымен, талшықты құрылымдардың деструкциясының күшейуімен, әлсіз көрінетін өнімді реакциямен және фибропластикалық үрдістердің төмендігімен сипатталатын морфологиялық өзгерістер жатыр.
2) Өкпелердің фиброзды-кавернозды туберкулезінің үдемелі ағымда өтуіне әсер етуші факторлар: екінші аурулар, 30-49 жас арасындағы бас бостандығынан айырылған, тұрақты мекені жоқ ер адамдардың басым болуы.
3) Арнамалы үрдістің өту ағымын және ақырын асқындыратын 53% жағдайда туберкулез микобактериясының туберкулезге қарсы дәрі-дәрмектерге төзімділігінің дамуымен сипатталады.
4) Өкпелердің фиброзды-кавернозды туберкулезі кезіндегі өлім құрылымында 62% байқауда туберкулездік үрдістің үдеуі басым орын алады.
Жұмыстың нәтижелерінің сыннан өтуі
Ғылыми зерттеу жұмысының нәтижелері «Қазіргі теориялық, клиникалық медицина мен медициналық білім берудегі өзекті мәселелер» халықаралық қатысымдағы Республикалық ғылыми-практикалық конференцияда (Ақтөбе, 2007), М. Оспанов атындағы Батыс-Қазақстан мемлекеттік медицина университетінің морфология саласы бойынша мәселелік комиссиясының отырыстарында 2008, 2009, 2010жж баяндалды.
Басылымдар
Диссертация тақырыбы бойынша 7 ғылыми жұмыс жарияланды.
Диссертациялық жұмыстың көлемі мен құрылымы
Диссертация 104 бетте мазмұндалған, мәтіні компьютермен терілген келесі бөлімдерден: кіріспе, әдебиеттерге шолу, зерттеу материалдары мен әдістері, меншікті зерттеу тараулары, қорытынды, тұжырымдар бөлімдерінен тұрады. Қолданылған әдебиеттер 195 отандық және шет ел әдебиеттер тізімінен тұрады. Зерттеу жұмысы 12 кестелермен, 45 суреттермен толықтырылған. Зерттеу жұмысы М. Оспанов атындағы Батыс Қазақстан мемлекеттік медицина университетінің адам анатомия кафедрасында ғылыми-зерттеу жұмыстарының «Онтогенездегі, қалыпты және патология жағдайындағы дестабилизациялаушы факторлардың ішкі мүшелерге әсер етуі», мемлекеттік тіркеу нөмірі 0405 ҚР 00080, 2003-2012 жж. тақырыбының жоспары шегінде жасалды.
НЕГІЗГІ БӨЛІМ
Зерттеу әдістері мен материалдары
Морфологиялық зерттеу материалдарына Ақтөбе қаласының Облыстық патологиялық анатомия бюросында зерттелінген фиброзды - кавернозды туберкулезден (ФКТ) қайтыс болған 132 адамның өкпелері алынды. Клиникалық мәліметтер стационарлық науқастың медициналық картасынан алынды. Аурудың анықталған уақытынан қайтыс болған мезгіліне дейінгі аралықтағы аурудың өту ұзақтығы бойынша материалдар әдістемелік өңделіп 3 топқа бөлінді:
I- топ - 21 байқауда - аурудың ұзақтығы анықталған уақытынан бастап 1 жылға дейін созылған.
II-топ - 58 - байқауда аурудың ұзақтығы 1 - 5 жылға дейін созылған;
III-топ - 53 байқауда - аурудың ұзақтығы 5 жылдан жоғары уақытқа созылған;
Материалды талдау барысында жасына, жынысына, әлеуметтік жағдайына, туберкулез микобактериясының (ТМ) дәріге төзімділігіне, екінші ауруларына, асқынулары мен өлім себептеріне көңіл бөлінді.
1-ші кесте - Зерттеулердің жасы мен жынысына байланысты сипаттамасы
17-19
жас
20 -29
жас
30-39
жас
40-49
жас
50-59
жас
60-69
жас
Біздің байқауларымызда (кесте 1) 30-49 жас арасындағы ер адамдар 50, 8%, ал әйелдер - 12, 9% құрады. Әлеуметтік жағдайларына қарай сараптау барысында жұмыс жасайтындар - 12, 1%, жұмыссыздар - 53, 0%, мүгедектер - 10, 6%, зейнеткерлер - 5, 3%, тұрақты мекен жайы жоқ жандар - 18, 9% құрады. Анамнезіне талдау жасау барысында олардың -32, 5% бұрын бас бостантығынан айырылған жандар екендігі және - 40, 1% жағдайда аурухана ережесін бұзғандығына байланысты емдегі үзіліс анықталды.
2 кесте - Зерттеу топтарындағы өкпелердің ФКТ кезіндегі морфологиялық сипаттамасы
Туберкулездік үрдістің жайылу көлеміне қарай 72, 7% жағдайда екі жақты, 27, 3% - бір жақты болды, соның ішінде көбінесе оң жақ өкпеде - 63, 9%, сол жақ өкпеде - 36, 1% дамығандығы анықталды. Біздің зерттеулерімізде каверналардың орналасу реті бойынша: үлкен- 26, 5%, орташа - 21, 2%, кіші- 11, 3%, алып - 13, 6% және 27, 3% байқауда - олар аралас (ұсақ + орташа; орташа + үлкен) түрде кездесті. Барлық жағдайда сыртқы ортаға бактерия бөлу байқалды, соның ішінде - 40, 2% жағдайда ТМ-ның дәріге төзімді түрлері анықталды.
3 кесте - Топтарды ТМ-ның туберкулезге қарсы препараттарға төзімділігі бойынша сараптау
Монорезистент-
тілік
Біздің (3 кесте) байқауларымызда 52, 8% байқауда үш препаратқа; 41, 5% - төрт препаратқа төзімділік анықталды.
Біздің зерттеулерімізде қосымша аурулар 83, 3% жағдайды құрады: олардың ішінде созылмалы маскүнемдік - 27, 2%; нашақорлық - 7, 5%; қант диабеті және ЖИТС - 3% жағдайдан, ас қорыту жолдарының аурулары - 17, 3%; жүрек - қан тамыр жүйесінің - 3, 6% және зәр шығару жүйесінің аурулары - 7, 3%; ФКТ тән өкпелердің обструктивті үрдістері - 22, 7% байқауда кездесті.
Жұмысты орындау мақсатында кешенді морфологиялық зерттеулер қолданылып, препараттар төмендегі әдістермен боялды:
-Гематоксилин және эозин;
-дәнекер тінін анықтау үшін - ван-Гизон;
-Гистохимиялық әдістер:
- анықтау - ШИК реакциясы;
-коллаген және эластикалық талшықтарды анықтау - Маллори;
-тіндердегі амилоидты анықтау - Конго-қызыл.
- әдіс-өкпе тініндегі ТМ анықтау - Ziehl-Neelsen әдісі.
Сандық морфометриялық әдіс - Bio-Vision компьютерлік бағдарламасы арқылы каверналар қабырғасының қалыңдығын, себінді ошақтардағы некроз көлемін анықтадық.
Статистикалық өңдеу PENTIUM IV (Windows) компьютерлік базасындағы Statistika7 бағдарламасымен жүргізілді, Р < 0, 05 шамалардан басталатын мәндер статистикалық сенімді деп саналынды.
Зерттеу нәтижелері мен оларды талдау
Аурудың ұзақтығы 1 жылға дейін созылған ( І топ) ФКТ-дің морфологиялық сипаттамасы
Бірінші зерттелу тобында макроскопиялық: көкірек қуысының жапырақшалары каверналардың проекцияларында қалыңдаған. Өкпелердің көлемдері кішірейген, деформацияланған. Өкпелерде әр түрлі мөлшердегі, қабырғалары тығыз, пішіндері дұрыс емес, дөңгелек каверналар анықталды. Негізінен орташа және кіші мөлшерлі каверналар басым кездесті.
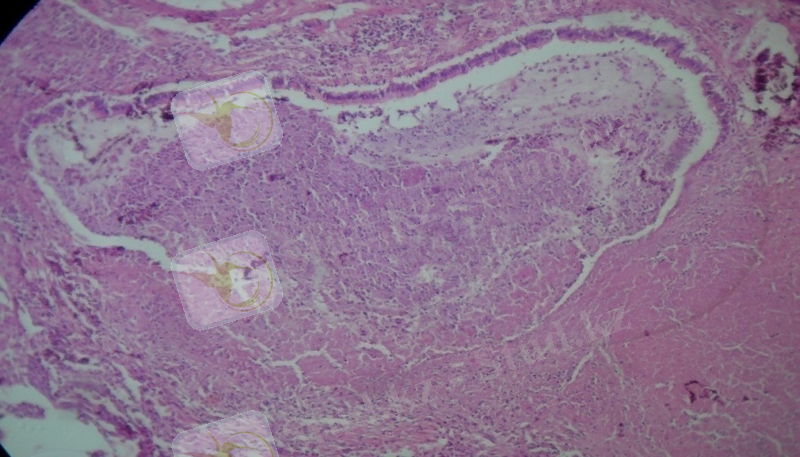
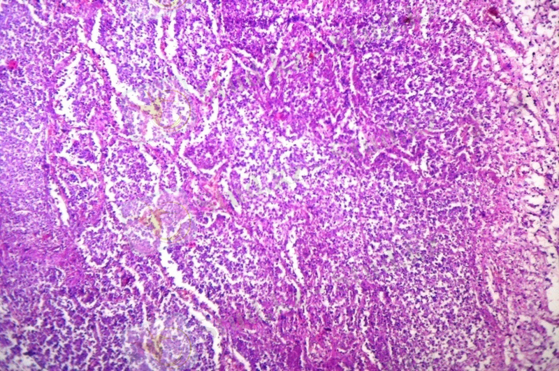
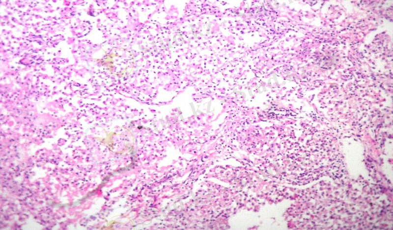
Микроскопиялық зерттеулерде каверналар әдеттегідей үш қабаттан тұрды. Фиброзды қабат жіңішке болды, грануляциялық қабаты нашар жетілген, аз мөлшерде лимфоидты элементтерден, нейтрофильдерден, макрофагтардан тұрады, бірлі-жарым эпителиоидты және Пирогов-Лангханс жасушалары кездесті. Казеозды некроз қабаты өте көлемді болды. Кавернаның айналасындағы өкпе паренхимасында көптеген себінді ошақтар анықталды, олардың ортаңғы бөліктерінде казеозды некроз, айналасында сирек орналасқан эпителиоидты және Пирогов-Лангханс типті көп ядролы алып жасушалар анықталады. Перикавитарлы аймақтарда сегментарлы және полисегментарлы серозды пневмония ошақтары анықталып, серозды экссудаттың казеозды некрозға ұшырауы нәтижесінде сегментарлы казеозды пневмония дамыған (1 сурет) . Казеозды ошақтардың ортаңғы бөлімдерінде ыдырау үрдістері дамып, жаңадан пневмониогенді қуыстар пайда болды. Казеозды массаларда көп мөлшерде ТМ анықталды (2 сурет) . Үлкен бронхтарда гранулематозды мезобронхиттер дамыды, ал субсегментарлы және кіші бронхтарда казеозды бронхиттер анықталды, олардың қабырғаларының сегментарлы және тоталды еруі байқалды (3 сурет) .
1-ші сурет. Казеозды пневмония ошағы. 2-ші сурет. Өкпе тінідегі ТМ жинақталуы
Гематоксилин және эозин бояуы. Ziehl-Neelsen бояуы.
Үлкейту х 200. Үлкейту х 400.
Қан тамырлар қабырғасының адвентициясында созылмалы туберкулездік қабыну үрдісі анықталып, туберкулездік қабыну лимфоидты және Пирогов-Лангханс типті алып жасушалардан тұратын гранулематоздық қабыну түрінде кездесті. ШИК- реакциясы теріс мәнді болды.
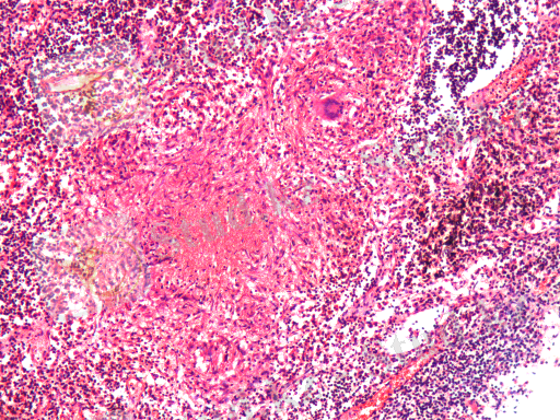
Кеуде ішілік лимфа түйіндерінде (бифуркациялық және бронхопульмоналдық) туберкулездік лимфадениттер дамыды. Олардың стромасында гиперпластикалық үрдістер, субкортикалдық аймақтар мен милы қабатының синустарында макрофагалды реакция, ретикулярлы жасушалардың пролиферациясы байқалды. Барлық көру аймақтарында ортасында казеозды некрозы бар эпителиодты-жасушалық, Пирогов-Лангханс типті алып жасушалардан тұратын туберкулездік гранулемалар анықталды (4 сурет) .
3-ші сурет. Казеозды-некротикалық 4-ші сурет. Лимфа түйіндеріндегі
бронхит, бронх қабырғасының казеозды туберкулездік гранулемалар.
еруі. Гематоксилин және эозин бояуы. Гематоксилин және эозин бояуы.
Үлкейту х 200. Үлкейту х 200.
4 кесте - Каверналардың қабырғасының қабаттарының қалыңдығының морфометриялық көрсеткіштері
5-ші сурет - Каверна қабырғасының қалыңдығы
5 кесте - Себінді ошақтардың және некроздың морфометриялық көрсеткіштері
6-шы сурет - себінді ошақтардың және некроздың
салыстырмалы көрсеткіштері
Морфометриялық зерттеулерде аурудың өту ұзақтығына сәйкес фиброзды қабаттың қалыңдығы 13, 5 мкм-ге төмендеді (р< 0, 05) ; ал грануляциялық қабаты 11, 3 мкм-ге жоғарылады (р< 0, 05) ; керісінше себінді ошақтың көлемі 4390 мкм-ге жоғарылады (р< 0, 05), ал некроздың орташа көлемі 1115 мкм-ге төмендеді (р< 0, 05) .
Қорыта айтқанда, 1-ші топта туберкулездік үрдістің өтуі үздіксіз-үдемелі ағымды болып, бронхогенді диссеминация ошақтары, жедел каверналар, казеозды панбронхиттер дамыды, кеуде ішілік лимфа түйіндерінде туберкулездік лимфедениттер анықталды. аурудың асқынуларының ішінде ең жиі кездескені өкпеден қан кету- 23, 8%, кеуде қуысының эмпиемасы мен спонтанды пневмоторакс - 9, 5%, ӨЖШ - 4, 8% байқауда анықталды. Бұл топтың танатогенезінде туберкулездің үдеуі - 95, 3%, ӨЖШ - 4, 7% жағдай құрады.
2 Аурудың ұзақтығы 1 жылдан 5 жылға дейін созылған ( ІІ топ) ФКТ-дің морфологиялық сипаттамасы
Макроскопиялық сипаттамасы: көкірек қуысының жапырақшалары қалыңдаған. Өкпелердің көлемдері кішірейген, деформацияланған. Бұл топта үлкен, орташа каверналар басым кездесіп, алып каверналар табылды.
Микроскопиялық каверналардың сыртқы қабатының қалыңдығы, дөрекі талшықты дәнекер тінінен тұрды. Грануляциялық қабаты жасушалық құрамында айырмашылық жоқ, бірақ болбыр орналасқан дезорганизация жағдайындағы, тармақталған коллаген талшықтарының үзінділері кездесті.
Морфомертияда фиброздық қабат 1 топпен салыстырғанда сәйкесінше 6, 3±0, 1 мкм төмен (р< 0, 05), ал грануляциялық қабат 4, 7±0, 2 мкм жоғары (р< 0, 05) болды. Казеозды - некротикалық қабат кең көлемді.
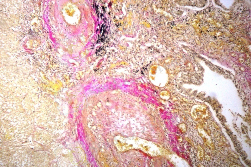
Қан тамырларының айналасындағы фиброзды тіннің өсуінің нәтижесінде саңылаулары тарылып, олардың перикалибровкасы және резервтегі қан тамырларының ашылуынан пайда болған «ангиоматоз» байқалды (7 сурет) . Бұл құбылысты өкпе тінінің деформациясы нәтижесінде дамыған өкпе артериясы жүйесінің гипертензиясымен түсіндіруге болады. Перифокалды қабыну аймағы ошақты серозды пневмония түрінде көрініс беріп, альвеолалардың қуысында жас макрофагалды элементтерден және бірлі жарым фибрин жіпшелерінен тұратын серозды экссудат анықталды (8 сурет) .
7-ші сурет. Қан тамырларының 8-ші сурет. Альвеолалардың қуысында
перикалибровкасы, резервтегі қан жас макрофагтар және фибрин
тамырларының толыққандылығы. жіпшелері. Гематоксилин және эозин.
Ван-Гизон бояуы. Үлкейту х 100. Үлкейту х 200.
Себінді ошақтар басым жағдайда айналасындағы өкпе тінінен айқын шектелмеген, бір-бірімен бірігуге бейім және ортасында ыдырау үрдістерінің нәтижесінде қуыстардың пайда болуымен сипатталды. Бронхтардың қабырғасында эпителиоидты, Пирогов-Ланхганс типті алып жасушалардан тұратын гранулемалар анықталды. Кіші бронхтарда казеозды панбронхиттер анықталды. Қан тамырларының қабырғаларының ортаңғы қабаттарында Пирогов-Лангханс типті алып жасушалар кездеседі. Казеозды ошақтарға жақын жерлердегі қан тамырларының интимасындағы казеоздық өзгерістер арнамалы үрдістің гематогенді жолмен таралғандығын дәлеледейді. ШИК -реакция теріс мәнді болды. Кеуде ішілік лимфа түйіндерінде 74, 5% жағдайда туберкулездік өзгерістер анықталды.
Жоғарыда айтылғандарды қорытындылай келе бұл топта туберкулездік үрдіс үдемелі сипатта болды, сонымен қатар фиброздану үрдістері де байқалды.
Асқынуларының ішінде ӨЖШ - 24, 1%, өкпеден қан кету - 10, 3%, кеуде қуысының эмпиема мен спонтанды пневмоторакс - 6, 9%, сонымен қатар осы топта жыланкөздер- 3, 4%, ішкі мүшелер амилоидозы - 1, 7% байқауда анықталды. Танатогенез барысында туберкулездің үдеуі - 69, 1%, ӨЖШ - 25, 9% байқауды құрады.
3 Аурудың ұзақтығы 5 жылдан ұзақ уақытқа созылған ( ІІІ топ) ФКТ-дің морфологиялық сипаттамасы
Макроскопиялық кеуде жапырақшаларының өте қалың фиброзды жабысқақтану нәтижесінде кеуде қуысының толық облитирациясы байқалды. Бронхтар қабырғасы қалыңдаған, деформацияланған, өкпе тінінде көлемді склероздық өзгерістер және көптеген бронхоэктаздар анықталды. Бұл топта да орташа және үлкен мөлшерлі каверналар басым кездесті.
Гистологиялық зерттеулерде каверналардың фиброзды қабаты дөрекі дәнекер тінінен тұрып, дезорганизация, гиалиноз үрдістері байқалды. Грануляциялық қабатта лимфоциттер, эпителиоидты және Пирогров-Лангханс типті алып жасушалар табылды. Морфометриялық зерттеу мәліметтерін 1-, 2-ші топпен салыстырғанда каверна қабырғасының фиброзды қабатының қалыңдығы төмен, грануляциялық қабаты жоғары; себінді ошақтың жоғары және ондағы некроз төмен болды. Казеозды некроз қабаты көлемді болды.
... жалғасы- Іс жүргізу
- Автоматтандыру, Техника
- Алғашқы әскери дайындық
- Астрономия
- Ауыл шаруашылығы
- Банк ісі
- Бизнесті бағалау
- Биология
- Бухгалтерлік іс
- Валеология
- Ветеринария
- География
- Геология, Геофизика, Геодезия
- Дін
- Ет, сүт, шарап өнімдері
- Жалпы тарих
- Жер кадастрі, Жылжымайтын мүлік
- Журналистика
- Информатика
- Кеден ісі
- Маркетинг
- Математика, Геометрия
- Медицина
- Мемлекеттік басқару
- Менеджмент
- Мұнай, Газ
- Мұрағат ісі
- Мәдениеттану
- ОБЖ (Основы безопасности жизнедеятельности)
- Педагогика
- Полиграфия
- Психология
- Салық
- Саясаттану
- Сақтандыру
- Сертификаттау, стандарттау
- Социология, Демография
- Спорт
- Статистика
- Тілтану, Филология
- Тарихи тұлғалар
- Тау-кен ісі
- Транспорт
- Туризм
- Физика
- Философия
- Халықаралық қатынастар
- Химия
- Экология, Қоршаған ортаны қорғау
- Экономика
- Экономикалық география
- Электротехника
- Қазақстан тарихы
- Қаржы
- Құрылыс
- Құқық, Криминалистика
- Әдебиет
- Өнер, музыка
- Өнеркәсіп, Өндіріс
Қазақ тілінде жазылған рефераттар, курстық жұмыстар, дипломдық жұмыстар бойынша біздің қор #1 болып табылады.

Ақпарат
Қосымша
Email: info@stud.kz