Иммуноморфология


ҚАЗАҚСТАН РЕСПУБЛИКАСЫ БІЛІМ ЖӘНЕ ҒЫЛЫМ МИНИСТРЛІГІ
Семей қаласының Шәкәрім атындағы мемлекеттік университеті
СӨЖ
Тақырыбы : Иммуноморфология
Орындаған: Бекенов Н. С
Тобы: ВС - 505
Тексерген: Оразалиева С. Б
Семей 2018 жыл
Жоспар:
- Кіріспе
- Негізгі бөлім
- Иммуноморфология қай ғылым саласы
- Иммуноморфологияның қысқаша даму тарихы немесе зерттелу әдістері.
- Иммуноморфологиялық зерттеулердің мақсаты мен мазмұны
- Жасушалық иммундық жауап
- Антиген реакцияларының жасушалар мен тіндердегі 6 түрлі сипаты немесе нәтижесі.
- Қорытынды
- Пайдаланған әдебиет
ИММУНОМОРФОЛОГИЯ (иммунология + морфология) - ағзадағы иммунологиялық процестердің морфологиялық көріністерін зерттейтін иммунология бөлімі. Иммуногенездің морфологиясы иммундық жүйенің орталық және перифериялық мүшелерінің морфосфункционалды сипаттамаларын, әртүрлі класстар мен түрлердің антиденелерін синтездеуді, иммунолды, жады мен иммунолды, толеранттылықты кеңінен қамтиды.
Иммунол, сенсибилизацияланған денеде кездесетін реакциялар әртүрлі гиперчувствительности (тіндік аллергия), сондай-ақ трансплантация иммунитетінің көріністері болып табылады. Иммуноморфология иммунопатолды зерттейді. Жасушалар мен ұлпаларда кездесетін процестер иммунологияның ғана емес, патологияның, анатомияның ажырамас бөлігі болып табылатын иммунопатологияның проблемасын шешеді.
Иммуноморфологияның негізін қалаушы И. И. Мечников 1901 жылы иммунолдағы лейкоциттер мен макрофагтардың қатысуын, организмнің реакцияларын құрған деп санауға болады. Ұзақ уақыт бойы жүйесін жасушаларының ішілік әкімшілік антигендік заттардың жинақталуына тапса бақылау В. К. Высоковичқа негізделген ретикулоэндотелиальді (макрофаг) жүйесінде антидене қалыптастыру иммунология теориясын басым (бауыр, көкбауыр, сүйек кемігін, лимфа), әр түрлі эксперименттік әсерінен антиденелер түзілуі сипаттамаларына көптеген бақылаулар ретикулоэндотелиальді жүйесінде қайшы түсіндірулерді алынған.
Морфологиялық бойынша бақылау, антиген ынталандыру бойынша лимфалық тіндердің өзгерістер тұжырымдамасы қалыптастыру лимфоцит антиденелер атап көрсетті. Антиденелер мазмұны - ол, аймақтық лимфа түйіндерінің ағып қан антигенді внутримышечного кейін күрт лимфоциттердің санын арттырады, және лимфа көрсеткендей болды.
Алайда, антидене өндіру лимфоциттердің рөлі лимфоидты тіндердің және антиденелердің қалыптастыру параллель зерттеу әсер түрлі эксперименттер расталған жоқ.
Алайда, плазмалық жасушалар тарту антидене қалыптастыру. Дәлелденген болатын. 1948 ж Фагреус (А. Fagraeus) . Көкбауырда және лимфа түйіндерінде плазмалық жасушалар тікелей қарым-қатынас таратпау бар екенін көрсетті, бірінші, және антидене титрі бойынша hyperglobulinemia арттыру бірі, барынша антидене титр барынша plazmatizatsiey көкбауыр целлюлоза және плазма жасушалардың жинақтаушы болып табылады рибонуклеопротеиндер. Кейіннен plazmotsitarnoy қалыптастыру саны электрофоретического әдістерін және седиментациялық, Гисто, электронды микроскопия және авторадиографии пайдаланып антиденелер жасушаларының көптеген зерттеулер расталды.
Иммунолдарда үлкен маңызға ие, реакциялар макрофагтарды береді (көзге қараңыз), оның көзі сүйек кемігін жасуша болып табылады. Гуморальды антиденелерді дамытуға иммундық жауаптың афференттік сілтемесінде макрофагтардың қатысуы дәлелденді. Облыстық лимфа түйіндерінің макрофагтары ағзада табылған антигенді ұстайды, оны антигендік детерминанттардың босатылуына әкелетін лизосомалық ферменттермен «сіңіреді», содан кейін антиген туралы ақпараттарды жеткізуге (ағылшын-көмекші деген мағына береді) көмектеседі.
Егер макрофаг антигенді толығымен дайындайтын болса, иммундық жауап дамымайды.
Антиденелер пайда болғаннан кейін макрофаг иммундық реакцияның тиімді бөлігіне кіреді: бетінде цитофилді антиденелер адсорбируют, оның көмегімен макрофагтың антигенмен өзара әрекеттесуі, яғни иммундық фагоцитоз жасушалық иммунитеттің ажырамас бөлігі ретінде жүзеге асырылады. Цитофильді антиденелердің тасымалдануы және олардың макрофагтарға өтуі лимфоциттермен жүзеге асырылады деп саналады.
Цитофильді антиденелермен қатар, комплемент иммундық фагоцитозға қатысады, ал макрофагтар оның фракцияларын синтездей алады. Мәселен, макрофаг пен Т-лимфоциттердің көмекшісін морфол деп санауға болады, субстрат, гуморальды және жасушалық иммунитеттің реакциясын қосады.
Иммуноморфологиялық зерттеулердің мақсаты мен мазмұны иммуноморфологиялық реакция, оның компоненттері, тартылған тіндік және жасушалық құрылымдар, нәтижесінде келтірілген зиянның сипаттамасы. Бұл тапсырманы орындаған кезде морфолдың және иммунолдың деректерін салыстыру қажет. (функционалдық) зерттеулер: морфол, иммундық жауаптың өзгеруінің өзгеруі, яғни оның компоненттерін оқшаулау (антиген, антиденелер, комплемент) иммунолмен (қандағы, зәрдегі, лимфадағы антигендер мен антигендер деңгейі) және морфолмен қатарлас бағаланады. лимфоидтық тіндердің жай-күйінің көрсеткіштері.
В. И. иммуногистохимиялық әдістер иммуноглобулиндерде люминесцентті антиденелердің немесе радиоактивті этикеткалар бар антигендердің комбинацияларын қолдана отырып әр түрлі модификацияларда қолданылады. люминесценцияны нақты сандық бағалауды (микрофторметрияны) қамтитын контрастын маркерлер; жарық, поляризация, гистохиммен, реакциялармен бірге электронды микроскопия; иммунол.
Антигендерді, антиденелерді анықтау әдістерін, тіндерде және дене сұйықтықтарында толықтырады. Олардың арасында жетекші орын иммуногистохим. иммундық кешендерді анықтау үшін ғана емес, олардың «декодтау» үшін де антигенді, антиденелерді, толықтырушыны анықтауға қызмет ететін әдіс. Иммуноморфтың көмегімен. әдістер зерттелді: иммуногенез, иммуногенездің бұзылыстарынан туюдағы өзгерістер, жергілікті аллергиялық реакциялар.
Иммуногенез, яғни иммундық реакцияларды қалыптастыру және дамыту механизмі тән морфолға, өрнекке ие. Гуморальдық иммундық жауапта афференттік, орталық және эфференттік байланыстар ерекшеленеді. Афференттік байланыс антигенді алу туралы барлық мәліметтерді лимфоидтық тінге беруді қамтиды. Денеге енген антиген қан клеткалары және ретикулоэндотелия жүйесі арқылы фагоцитозға ұшырайды.
Алайда, иммундық фагоцитоздағы негізгі рөл макрофагтарға жатады. макрофаг антигенді арқылы өту Т-лимфоциттердің танылған оның факторлары, жәрдемші шығарды кейін ғана, антиген туралы ақпарат лимфоидтық ұлпалардың, содан кейін клеткалар сүйек кемігін беріледі. гуморальдық иммундық жауап орталық бөлігі осы ақпаратты тимус және лимфоидтық тіндердің оның В-лимфоциттердің туралы хабарлама «есте», тимус туралы циркуляциясын лимфоцит антиген ақпаратты тасымалдайды. Осы сілтемені бөлігі гипотетикалық иммуногенеза, бірақ антиген және В-лимфоцитов арасындағы делдал бірдей лимфоцит рециркуляция екенін анықтады.
Эфферентті сілтеме - B-тәуелді Иммунитеті жасушаларының сілтеме таратпау лимфоидты тіндердің гиперплазиясы ол түйіршікті эндоплазмалық тордың жүреді, сондықтан олар пиронинофильді (пиронинофильді жасушалар) . Бұл жасушалар иммунобласттарға (иммуноглобулиндерді шығаруға қабілетті жасушалардың атаулары) айналады, содан кейін плазмалық және плазмалық жасушалар; лимфоидтық тіннің плазмазизациясы бар. Лимфоидтық тканьдердің плазмациясының биіктігінде сарысудағы антиденелердің ең көп мөлшері байқалады. Бұл процестер антигенді байланыстыратын және иммундық комплекстерді жоюға қабілетті арнайы антиденелерді қалыптастыруға бағытталған.
Антигенді ынталандыру кезінде антиденелер мен иммундық кешендер антигендерде айналысады және қосымша компоненттерді байланыстырады. Мұндай иммундық кешендер клеткалар мен тіндерге, иммундық негіздегі қабынуда зиянды әсер етеді.
Жасушалық иммундық жауап үш фазадан тұрады. Теріде жерсіндірілген антигені байланысқа Т-лимфоциттердің, шырышты және ішкі органдардың бірінші фазасында, Т-лимфоциттердің сенсибилизация жетекші - сондықтан пайда деп аталатын. лимфоидті тіннің антигені туралы ақпаратты тарататын сезімтал лимфоциттер . Екінші кезеңде лимфоидті ткандардың Т-тәуелді аймақтарының жасушаларының пролиферациясы және жарылыс трансформациясы бар. Нәтижесінде алынған жасушалық пішіндер ультраструктуральды және гистоцизматикалық плазмобласттардан ерекшеленеді, олар антиденелерді шығара алмайды. Үшінші кезең - сенсибилизацияланған лимфоциттердің антигенмен реакциясы. Бұл реакцияда Т-лимфоциттердің көмекшісі цитопатикалық (гистопатикалық) әсерін антигенге - яғни деп атайды. мақсатты ұяшық.
Антиген реакциясы кезінде лимфоцитке қосымша иммундық фагоцитозды жүзеге асыратын макрофагдар қатысады және лимфоцит пен макрофаг арасында тығыз байланыстар пайда болады, цитоплазмалық көпірлер пайда болады. Жасушалық иммундық жауап макрофагтың көмегімен сезімтал лимфоциттермен антигенді жоюға бағытталған. Антигенді ынталандыру кезінде бұл реакция жасуша мен ұлпалардың зақымдалуымен, иммундық негіздегі қабынудың дамуымен аяқталады.
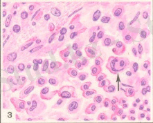
Морфологиялық өзгерістер антигенді ынталандыру кезінде пайда болған өзгерістер көбінесе антиген аймағында және көкбауырда лимфа түйіндерінде көрінеді. Лимфа түйіндерінде, толыққанды және қаныққан, лимфоциттерді ауыстыратын плазмалық плазма және плазмалық жасушалар кортикальды аймақта, фолликулдардың жарқын орталықтарында пайда болады. Синхронды жасушалардың пролиферациясы және деструвациясы, макрофагтардың және ақуыз-полисахаридтердің көп мөлшерін стромада пайда болуы (1-3 сурет) .
1. Қызылшадағы лимфа түйінін микробағдарламасы: мидың тінінің плазмазитикалық түрленуі (көрсеткілермен көрсетілген) ; Браше реакциясы.
2. Лимфа түйінін суық сүлгімен микро-препарат: фолликулдағы плазма-жасуша трансформациясы (көрсеткілермен көрсетілген) және макрофагтың тығыздығы; Браше реакциясы.
Антигендерден туындаған аутоиммундық патология |
- Іс жүргізу
- Автоматтандыру, Техника
- Алғашқы әскери дайындық
- Астрономия
- Ауыл шаруашылығы
- Банк ісі
- Бизнесті бағалау
- Биология
- Бухгалтерлік іс
- Валеология
- Ветеринария
- География
- Геология, Геофизика, Геодезия
- Дін
- Ет, сүт, шарап өнімдері
- Жалпы тарих
- Жер кадастрі, Жылжымайтын мүлік
- Журналистика
- Информатика
- Кеден ісі
- Маркетинг
- Математика, Геометрия
- Медицина
- Мемлекеттік басқару
- Менеджмент
- Мұнай, Газ
- Мұрағат ісі
- Мәдениеттану
- ОБЖ (Основы безопасности жизнедеятельности)
- Педагогика
- Полиграфия
- Психология
- Салық
- Саясаттану
- Сақтандыру
- Сертификаттау, стандарттау
- Социология, Демография
- Спорт
- Статистика
- Тілтану, Филология
- Тарихи тұлғалар
- Тау-кен ісі
- Транспорт
- Туризм
- Физика
- Философия
- Халықаралық қатынастар
- Химия
- Экология, Қоршаған ортаны қорғау
- Экономика
- Экономикалық география
- Электротехника
- Қазақстан тарихы
- Қаржы
- Құрылыс
- Құқық, Криминалистика
- Әдебиет
- Өнер, музыка
- Өнеркәсіп, Өндіріс
Қазақ тілінде жазылған рефераттар, курстық жұмыстар, дипломдық жұмыстар бойынша біздің қор #1 болып табылады.

Ақпарат
Қосымша
Email: info@stud.kz