Кавернозды туберкулез



ҚАРАҒАНДЫ МЕМЛЕКЕТТІК МЕДИЦИНА УНИВЕРСИТЕТІ ФТИЗИАТРИЯ КАФЕДРАСЫ
СӨЖ
Кавернозды туберкулез
Орындаған:Қошқар А. 4-051 ЖМФ
Қабылдаған: Түсіпжанова Г. Т
Қарағанды 2017

Жоспары:
Кіріспе
Негізгі бөлім
Кавернозды туберкулез анықтамасы
Патогенезі
Жіктелуі
Клиникалық көрінісі
Диагностикасы
Қорытынды
Пайдаланылған әдебиеттер

Кавернозды туберкулез - өкпе тінінде жекешеленумен және қуыстың тұрақты өзіндік өлшемімен және айқын емес инфильтративті және қоршаған тіндерде фиброзды өзгерістердің болуы. Кавернозды туберкулездің маңызды ерекшелігі - морфологиялық өзгерістердің қайтымды және шектеулі сипатта болуы жатады.

Патогенезі
Кавернозды туберкулез туберкулездің басқа түрлерінің өршуінен дамиды. Сирек жағдайда аурудың дер кезінде анықталмауы салдарынан, емдеу процесін кеш бастауынан, қайталамалы емдік тәртіптердің бұзылыстарымен жүреді. ТМБ популяциясының ұлғаюы бұл өз кезегінде адамның иммундық жүйенің әлсіреуіне алып келеді. Ең алғаш өкпе тінінде казеозды массалар трансформирленеді де, бронхтарға жетеді. Пайда болған қуыс ауамен толып, пневмогенді ыдырау қуысының пайда болуына алып келеді. Басқа жағдайларда деструктивті үрдіс ұзақ бронхтардың шырышты қабаттың зақымдалуымен және панбронхиттің дамуымен басталады.

Сипатына және пайда болу механизміне байланысты жіктелуі:
Протеолитикалық кавернаның пайда болуы пневмониялық фокустың орталық бөлігінің еруінен басталып, біртіндеп шеткері қарай таралады.
Секвестрлі кавернаға казеозды массалардың шеткері аймақтан орталыққа қарай еруі тән болады.
Атероматозды кавернаның пайда болуы қалталы казеозды ошақта казеозды массаның еруі
Баламалы кавернаның пайда болуы жеке бөліктегі некрозбен туберкулездік қабыну аймағындағы тіндердің қоректенуіне және микроциркуляцияның бұзылыстарына әкеледі.

Клиникалық көрінісі
Кавернозды туберкулезбен ауыратын науқастарда көбінесе жөтел аз мөлшердегі шырышты қақырық, тәбеттің төмендеуі, көңіл - күйдің тұрақсыздығы мазалайды. Бұл шағымдар сирек ұзақ еммен және үлкен медикаментозды жүктемемен негізделеді.
Перкуссия кезінде: каверна аймағының үстінде өкпе дыбысының қысқаруы анықталуы мүмкін.
Аускультацияда: терең тыныс алғанда және жөтелгеннен кейін зақымдалған аймақта құрғақ ылғалды сырылдар естіледі.

Өкпенің кавернозды туберкулезі кезінде негізгі зерттеу әдістері:
Бактериологиялық
Рентгенологиялық
КТ
Жалпы зәр анализі
Жалпы қан анализі

Лабораториялық жəне инструменталдық зерттеулер:
1. Туберкулез микобактериясын жұғынды микроскопиясы жəне қақырықты себу əдістері арқылы анықтау.
2. ЖҚА: ЭТЖ 30-50 мм/сағ. дейін жоғарылауы, аздаған лейкоцитоз болуы мүмкін, лимфопения, моноцитоз, лейкоциттік формуланың орташа нейтрофилдік солға жылжуы, рецидивтік қан кетулерден анемия болу.
3. ЖЗА: аздаған протеинурия, бірнеше лейкоциттер жəне эритроциттер болуы.

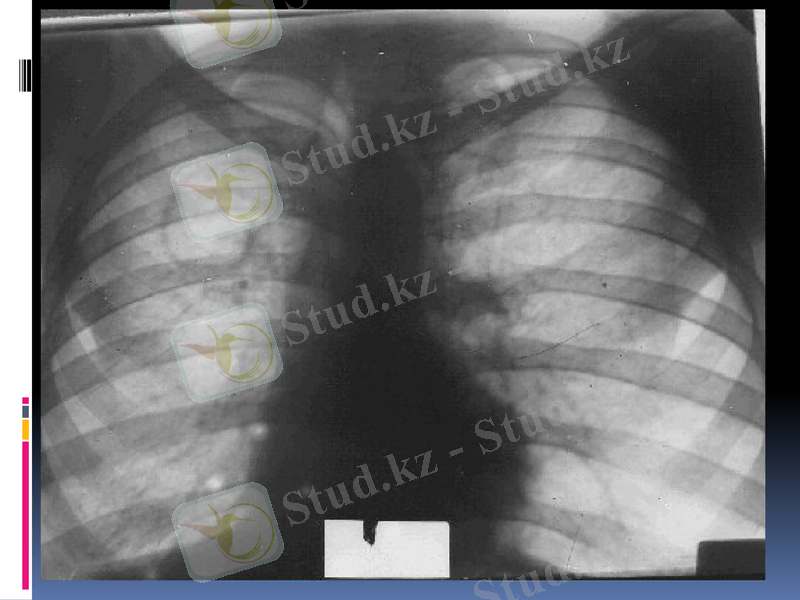
Кавернаның негізгі рентгенологиялық белгісі перпендикулярлы проекцияда сақталатын тұйық сақина тәрізді көлеңке болып табылады.
Сақина тәрізді көлеңкемен шектелген өкпе бөлігі кавернаның терезесі деп аталады. Айналасындағы өкпе тініне қарағанда, ол мөлдірлеу болады. Өкпенің элементтері негізделген құрылымдарында кавернаның терезесінде көлеңкелер көрінбейді




ГОСПИТАЛИЗАЦИЯ
Госпитализациялау үшін көрсетімдер: интоксикация симптомдарының болуы, бактерия шығару, өкпе туберкулезінің белсенділігінің рентгендік көрінісі жəне асқынулардың болуы.
Ауруханаға жатқызу алдындағы қажетті тексеру көлемі: ЖҚА, ЖНА, туберкулез микобактериясын тексеруге жағынды алу, кеуде торының ағзаларына шолу рентгенограмма.


Пайдаланылған әдебиеттер
Фтизиатрия М. И. Перельман, И. В. Богадельникова 2014 Мәскеу
www. google. kz

Назарларыңызға рахмет!!!
- Іс жүргізу
- Автоматтандыру, Техника
- Алғашқы әскери дайындық
- Астрономия
- Ауыл шаруашылығы
- Банк ісі
- Бизнесті бағалау
- Биология
- Бухгалтерлік іс
- Валеология
- Ветеринария
- География
- Геология, Геофизика, Геодезия
- Дін
- Ет, сүт, шарап өнімдері
- Жалпы тарих
- Жер кадастрі, Жылжымайтын мүлік
- Журналистика
- Информатика
- Кеден ісі
- Маркетинг
- Математика, Геометрия
- Медицина
- Мемлекеттік басқару
- Менеджмент
- Мұнай, Газ
- Мұрағат ісі
- Мәдениеттану
- ОБЖ (Основы безопасности жизнедеятельности)
- Педагогика
- Полиграфия
- Психология
- Салық
- Саясаттану
- Сақтандыру
- Сертификаттау, стандарттау
- Социология, Демография
- Спорт
- Статистика
- Тілтану, Филология
- Тарихи тұлғалар
- Тау-кен ісі
- Транспорт
- Туризм
- Физика
- Философия
- Халықаралық қатынастар
- Химия
- Экология, Қоршаған ортаны қорғау
- Экономика
- Экономикалық география
- Электротехника
- Қазақстан тарихы
- Қаржы
- Құрылыс
- Құқық, Криминалистика
- Әдебиет
- Өнер, музыка
- Өнеркәсіп, Өндіріс
Қазақ тілінде жазылған рефераттар, курстық жұмыстар, дипломдық жұмыстар бойынша біздің қор #1 болып табылады.

Ақпарат
Қосымша
Email: info@stud.kz